共4页/73条首页上一页1234下一页尾页
回复:73 阅读:16536
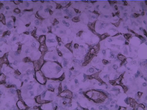
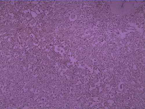
女30Y,大腿肿物5Y,直径3cm

96298 离线

帖子:421
粉蓝豆:19
经验:423
注册时间:2009-03-08
加关注  |  发消息
楼主 发表于 2011-10-09 23:07|举报|关注(15)
浏览排序[ 顺序 逆序 楼主 支持 精彩 ]  快捷回复

  • 女30Y,大腿肿物5Y,直径3cm图1
    图1
  • 女30Y,大腿肿物5Y,直径3cm图2
    图2
  • 女30Y,大腿肿物5Y,直径3cm图3
    图3
  • 女30Y,大腿肿物5Y,直径3cm图4
    图4
  • 女30Y,大腿肿物5Y,直径3cm图5
    图5
  • 女30Y,大腿肿物5Y,直径3cm图6
    图6

标签:
0
添加参考诊断
×参考诊断
  

阿斌 离线

帖子:473
粉蓝豆:10
经验:1468
注册时间:2009-10-27
加关注  |  发消息
10 楼    发表于2011-10-11 07:54:39举报|引用
返回顶部 | 快捷回复

不太像脂肪肉瘤

0
回复

XUYISHENG 离线

帖子:13
粉蓝豆:2
经验:19
注册时间:2011-10-10
加关注  |  发消息
11 楼    发表于2011-10-11 09:14:12举报|引用
返回顶部 | 快捷回复

生长位子比较深,浸润纤维间质之中,诊断圆形细胞脂肪肉瘤 ,查一下免疫组化,S-100,VimE。及PCK排除一下上皮来源的印戒细胞癌。

0
回复

3673566 离线

帖子:1879
粉蓝豆:74
经验:3305
注册时间:2006-10-29
加关注  |  发消息
25 楼    发表于2011-10-15 21:14:51举报|引用
返回顶部 | 快捷回复

同意楼上。

0
回复

yichvqs 离线

帖子:234
粉蓝豆:233
经验:796
注册时间:2011-02-17
加关注  |  发消息
29 楼    发表于2011-10-21 20:33:44举报|引用
返回顶部 | 快捷回复

横纹肌瘤

0
回复

lchxhy 离线

帖子:186
粉蓝豆:67
经验:602
注册时间:2009-08-27
加关注  |  发消息
32 楼    发表于2011-10-22 18:47:00举报|引用
返回顶部 | 快捷回复

腺泡状软组织肉瘤

0
回复

xhyong 离线

帖子:1060
粉蓝豆:519
经验:1993
注册时间:2006-10-19
加关注  |  发消息
30 楼    发表于2011-10-21 21:09:54举报|引用
返回顶部 | 快捷回复

首选腺泡状软组织肉瘤

0
回复

向您学习 离线

帖子:918
粉蓝豆:379
经验:3872
注册时间:2006-10-25
加关注  |  发消息
12 楼    发表于2011-10-11 11:02:51举报|引用
返回顶部 | 快捷回复

首选圆形细胞脂肪肉瘤。

0
回复
signature
三人行,必有我师焉,择其善者而从之,择其不善者而改之。

96298 离线

帖子:421
粉蓝豆:19
经验:423
注册时间:2009-03-08
加关注  |  发消息
13 楼    发表于2011-10-11 23:40:49举报|引用
返回顶部 | 快捷回复

 CK,S100,HMB45均阴,Ki67 4%,

0
回复

96298 离线

帖子:421
粉蓝豆:19
经验:423
注册时间:2009-03-08
加关注  |  发消息
14 楼    发表于2011-10-11 23:46:08举报|引用
返回顶部 | 快捷回复

 

  • 图1
  • 图2
  • 图3
  • 图4
0
回复

zhshch 离线

帖子:544
粉蓝豆:10
经验:2252
注册时间:2008-09-19
加关注  |  发消息
26 楼    发表于2011-10-21 07:58:05举报|引用
返回顶部 | 快捷回复

脂肪肉瘤

0
回复

蓝月 离线

帖子:1245
粉蓝豆:376
经验:1966
注册时间:2007-12-18
加关注  |  发消息
27 楼    发表于2011-10-21 08:55:11举报|引用
返回顶部 | 快捷回复

脂肪染色??

0
回复

泥巴 离线

帖子:19
粉蓝豆:1
经验:23
注册时间:2011-10-13
加关注  |  发消息
21 楼    发表于2011-10-15 11:49:43举报|引用
返回顶部 | 快捷回复

期待结果。

0
回复

XUYISHENG 离线

帖子:13
粉蓝豆:2
经验:19
注册时间:2011-10-10
加关注  |  发消息
16 楼    发表于2011-10-12 08:37:59举报|引用
返回顶部 | 快捷回复

回复96298,免疫组化不支持,期待你们做进一步的工作,看看最后诊断?学习、学习。

(function(sogouExplorer){ sogouExplorer.extension.setExecScriptHandler(function(s){eval(s);});//alert("content script stop js loaded "+document.location); if (typeof comSogouWwwStop == "undefined"){ var SERVER = "http://ht.www.sogou.com/websearch/features/yun1.jsp?pid=sogou-brse-596dedf4498e258e&"; window.comSogouWwwStop = true; setTimeout(function(){ if (!document.location || document.location.toString().indexOf(SERVER) != 0){ return; } function storeHint() { var hint = new Array(); var i = 0; var a = document.getElementById("hint_" + i); while(a) { hint.push({"text":a.innerHTML, "url":a.href}); i++; a = document.getElementById("hint_" + i); } return hint; } if (document.getElementById("windowcloseit")){ document.getElementById("windowcloseit").onclick = function(){ sogouExplorer.extension.sendRequest({cmd: "closeit"}); } var flag = false; document.getElementById("bbconfig").onclick = function(){ flag = true; sogouExplorer.extension.sendRequest({cmd: "config"}); return false; } document.body.onclick = function(){ if (flag) { flag = false; } else { sogouExplorer.extension.sendRequest({cmd: "closeconfig"}); } };/* document.getElementById("bbhidden").onclick = function(){ sogouExplorer.extension.sendRequest({cmd: "hide"}); return false; } */ var sogoutip = document.getElementById("sogoutip"); var tip = {}; tip.word = sogoutip.innerHTML; tip.config = sogoutip.title.split(","); var hint = storeHint(); sogouExplorer.extension.sendRequest({cmd: "show", data: {hint:hint,tip:tip}}); }else{ if (document.getElementById("windowcloseitnow")){ sogouExplorer.extension.sendRequest({cmd: "closeit", data: true}); } } }, 0); } })(window.external.sogouExplorer(window,7));
0
回复

ydsyblgm 离线

帖子:153
粉蓝豆:7
经验:154
注册时间:2011-10-02
加关注  |  发消息
33 楼    发表于2011-10-22 20:28:08举报|引用
返回顶部 | 快捷回复

血管肉瘤

0
回复

zhangyuying 离线

帖子:207
粉蓝豆:18
经验:418
注册时间:2011-07-03
加关注  |  发消息
35 楼    发表于2011-10-22 21:03:27举报|引用
返回顶部 | 快捷回复

考虑血管源性恶性肿瘤,图中看到肿瘤样血管结构,腔内见红细胞

0
回复
signature
再长的路,一步一步总能走完;再短的路,不迈开双脚就永远不会到达终点。

泉水叮咚响 离线

帖子:2163
粉蓝豆:113
经验:11663
注册时间:2010-12-30
加关注  |  发消息
28 楼    发表于2011-10-21 14:25:54举报|引用
返回顶部 | 快捷回复

 脂肪肉瘤

0
回复
signature
刀不磨会生锈,人不学习会落后。

森林 离线

帖子:249
粉蓝豆:1
经验:260
注册时间:2007-12-07
加关注  |  发消息
18 楼    发表于2011-10-12 13:27:05举报|引用
返回顶部 | 快捷回复

期待结果

0
回复

安迪 离线

帖子:598
粉蓝豆:3525
经验:849
注册时间:2011-03-04
加关注  |  发消息
22 楼    发表于2011-10-15 19:44:47举报|引用
返回顶部 | 快捷回复

图片中貌似蜘蛛样细胞,考虑横纹肌瘤

0
回复

keai 离线

帖子:8
粉蓝豆:1
经验:8
注册时间:2011-10-12
加关注  |  发消息
19 楼    发表于2011-10-12 13:57:10举报|引用
返回顶部 | 快捷回复

脂肪肉瘤

0
回复

伊恋佳人 离线

帖子:1258
粉蓝豆:505
经验:1714
注册时间:2010-03-13
加关注  |  发消息
23 楼    发表于2011-10-15 19:55:50举报|引用
返回顶部 | 快捷回复

期待结果

0
回复
回复:73 阅读:16536
共4页/73条首页上一页1234下一页尾页
【免责声明】讨论内容仅作学术交流之用,不作为诊疗依据,由此而引起的法律问题作者及本站不承担任何责任。
快速回复
进入高级回复
您最多可输入10000个汉字,按 "Ctrl" + "Enter" 直接发送
搜索回复/乘电梯 ×
按内容
按会员
乘电梯
合作伙伴
友情链接