共4页/73条首页上一页123下一页尾页
回复:73 阅读:16464
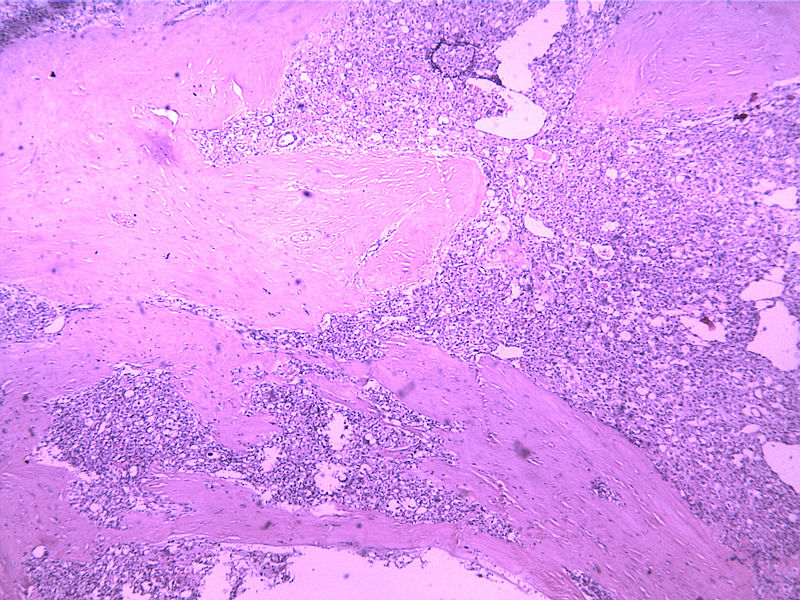
女30Y,大腿肿物5Y,直径3cm

96298 离线

帖子:421
粉蓝豆:19
经验:423
注册时间:2009-03-08
加关注  |  发消息
楼主 发表于 2011-10-09 23:07|举报|关注(15)
浏览排序[ 顺序 逆序 楼主 支持 精彩 ]  快捷回复

  • 女30Y,大腿肿物5Y,直径3cm图1
    图1
  • 女30Y,大腿肿物5Y,直径3cm图2
    图2
  • 女30Y,大腿肿物5Y,直径3cm图3
    图3
  • 女30Y,大腿肿物5Y,直径3cm图4
    图4
  • 女30Y,大腿肿物5Y,直径3cm图5
    图5
  • 女30Y,大腿肿物5Y,直径3cm图6
    图6

标签:
0
添加参考诊断
×参考诊断
  

wy1992 离线

帖子:4858
粉蓝豆:1
经验:7320
注册时间:2007-06-30
加关注  |  发消息
73 楼    发表于2012-10-22 21:52:38举报|引用
返回顶部 | 快捷回复

首选脂肉.

0
回复
signature

朱正龙

梦想的海洋 离线

帖子:178
粉蓝豆:278
经验:621
注册时间:2011-05-12
加关注  |  发消息
72 楼    发表于2012-10-22 13:35:59举报|引用
返回顶部 | 快捷回复

软组织恶黑

 

0
回复

leanna 离线

帖子:119
粉蓝豆:34
经验:683
注册时间:2011-07-02
加关注  |  发消息
71 楼    发表于2012-10-22 12:49:58举报|引用
返回顶部 | 快捷回复

上皮样血管肉瘤

0
回复
signature
pathology

热爱病理的人 离线

帖子:1585
粉蓝豆:2372
经验:2048
注册时间:2012-05-28
加关注  |  发消息
70 楼    发表于2012-10-14 13:19:16举报|引用
返回顶部 | 快捷回复

恶性颗粒细胞瘤?

0
回复
signature
这样的路,还需要走很久很久......

年华似水 离线

帖子:328
粉蓝豆:981
经验:644
注册时间:2009-09-25
加关注  |  发消息
69 楼    发表于2012-10-14 11:48:12举报|引用
返回顶部 | 快捷回复

 年龄,部位,组织学形态均符合腺泡状软组织肉瘤,主要的鉴别诊断是副节瘤。

0
回复
signature
stay hungry,stay foolish.

蓝宝石6628 离线

帖子:16787
粉蓝豆:321
经验:17245
注册时间:2012-03-30
加关注  |  发消息
68 楼    发表于2012-09-02 12:17:58举报|引用
返回顶部 | 快捷回复

透明细胞肉瘤

0
回复
signature
乐观向上,不断进取!

jcw62 离线

帖子:2267
粉蓝豆:468
经验:4978
注册时间:2009-05-23
加关注  |  发消息
67 楼    发表于2012-09-02 09:54:19举报|引用
返回顶部 | 快捷回复

软组织透明细胞肉瘤。

0
回复

cklas 离线

帖子:880
粉蓝豆:0
经验:1016
注册时间:2011-05-19
加关注  |  发消息
66 楼    发表于2012-07-14 13:41:45举报|引用
返回顶部 | 快捷回复

恶性颗粒细胞瘤?

0
回复
signature
从事病理需要付出更多!并非人人都适合本专业!

茉莉花开 离线

帖子:526
粉蓝豆:12
经验:2772
注册时间:2009-06-21
加关注  |  发消息
65 楼    发表于2012-07-11 16:53:11举报|引用
返回顶部 | 快捷回复

腺泡状软组织肉瘤

0
回复

越后之龙 离线

帖子:194
粉蓝豆:8
经验:294
注册时间:2012-03-16
加关注  |  发消息
64 楼    发表于2012-06-23 23:20:50举报|引用
返回顶部 | 快捷回复

镜下见不典型脂肪细胞,结构不清,有侵袭现象,病理性核分裂现象多见,核距边。怀疑脂肪肉瘤。

0
回复
signature
面对病魔要求在座的诸位医师有善战则胜的医学功底,但是我们要培养白衣天使面对病魔不战而胜的威慑力量!

小小向日葵 离线

帖子:24
粉蓝豆:1
经验:29
注册时间:2012-03-15
加关注  |  发消息
63 楼    发表于2012-03-29 22:43:37举报|引用
返回顶部 | 快捷回复

 透明细胞肉瘤?恶黑?等待结果。

0
回复

左右逢源 离线

帖子:2052
粉蓝豆:68
经验:2526
注册时间:2009-12-23
加关注  |  发消息
62 楼    发表于2012-03-29 09:24:39举报|引用
返回顶部 | 快捷回复

期待最终结果,谢谢!!!

0
回复
signature
不憧憬明天,不留念昨天,只把握今天。

祝平 离线

帖子:2130
粉蓝豆:19
经验:3720
注册时间:2012-03-10
加关注  |  发消息
61 楼    发表于2012-03-29 07:25:31举报|引用
返回顶部 | 快捷回复

考虑:透明细胞肉瘤。标记一下。

0
回复
signature
病理小笨。我爱病理。

zblzbl2001 离线

帖子:82
粉蓝豆:3
经验:171
注册时间:2011-07-21
加关注  |  发消息
60 楼    发表于2012-03-29 06:40:18举报|引用
返回顶部 | 快捷回复

成人型横纹肌样瘤

0
回复

soulmate 离线

帖子:50
粉蓝豆:14
经验:354
注册时间:2012-03-27
加关注  |  发消息
59 楼    发表于2012-03-27 10:52:47举报|引用
返回顶部 | 快捷回复

不像脂肉

0
回复

cy3163 离线

帖子:330
粉蓝豆:293
经验:618
注册时间:2008-07-07
加关注  |  发消息
58 楼    发表于2012-03-26 21:43:35举报|引用
返回顶部 | 快捷回复

期待最终的结果,病例拿出去会诊了吗?

个人考虑:透明细胞肉瘤。

HMB45在无色素性恶黑中就是阴性,我一般在诊断恶黑时会加做melan-A,还有一个抗体PNL-2诊断恶黑也是不错的。

1

lantian0..
回复

灿烂星空 离线

帖子:776
粉蓝豆:79
经验:1391
注册时间:2009-10-20
加关注  |  发消息
57 楼    发表于2012-03-26 21:35:58举报|引用
返回顶部 | 快捷回复

脂肪肉瘤可能性大

0
回复
signature
方寸之中,看情节跌宕起伏;微观世界,须显我英雄本色

失常的比喻 离线

帖子:53
粉蓝豆:52
经验:212
注册时间:2008-11-18
加关注  |  发消息
56 楼    发表于2012-03-25 21:32:16举报|引用
返回顶部 | 快捷回复

期待免疫组化结果

考虑:血管肉瘤;恶性颗粒细胞瘤;

0
回复

越后之龙 离线

帖子:194
粉蓝豆:8
经验:294
注册时间:2012-03-16
加关注  |  发消息
55 楼    发表于2012-03-25 17:49:20举报|引用
返回顶部 | 快捷回复

怀疑圆形脂肪肉瘤。

0
回复
signature
面对病魔要求在座的诸位医师有善战则胜的医学功底,但是我们要培养白衣天使面对病魔不战而胜的威慑力量!

200406 离线

帖子:1385
粉蓝豆:145
经验:2735
注册时间:2011-08-08
加关注  |  发消息
54 楼    发表于2012-02-29 20:05:14举报|引用
返回顶部 | 快捷回复

上皮样肉瘤。

0
回复
回复:73 阅读:16464
共4页/73条首页上一页123下一页尾页
【免责声明】讨论内容仅作学术交流之用,不作为诊疗依据,由此而引起的法律问题作者及本站不承担任何责任。
快速回复
进入高级回复
您最多可输入10000个汉字,按 "Ctrl" + "Enter" 直接发送
搜索回复/乘电梯 ×
按内容
按会员
乘电梯
合作伙伴
友情链接