共4页/73条首页上一页123下一页尾页
回复:73 阅读:16538
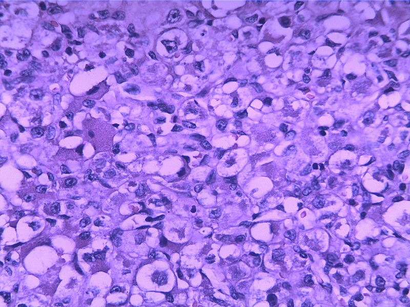
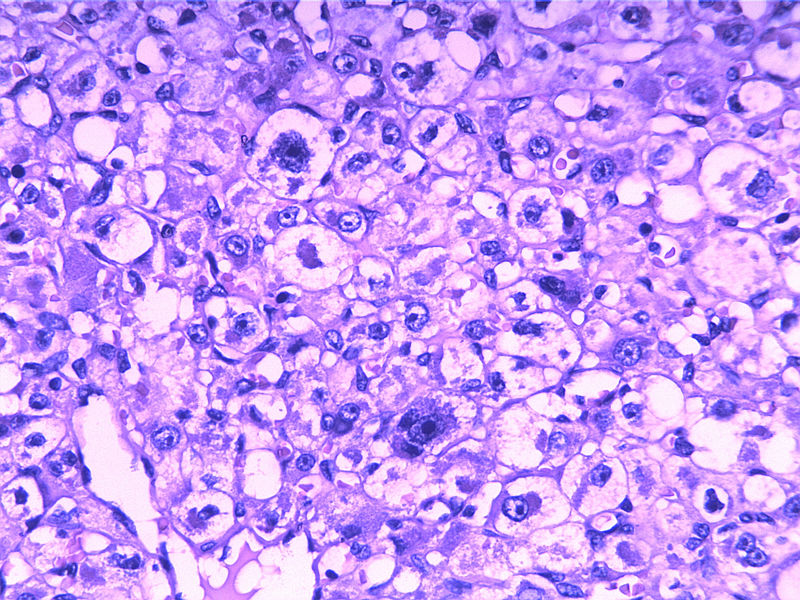
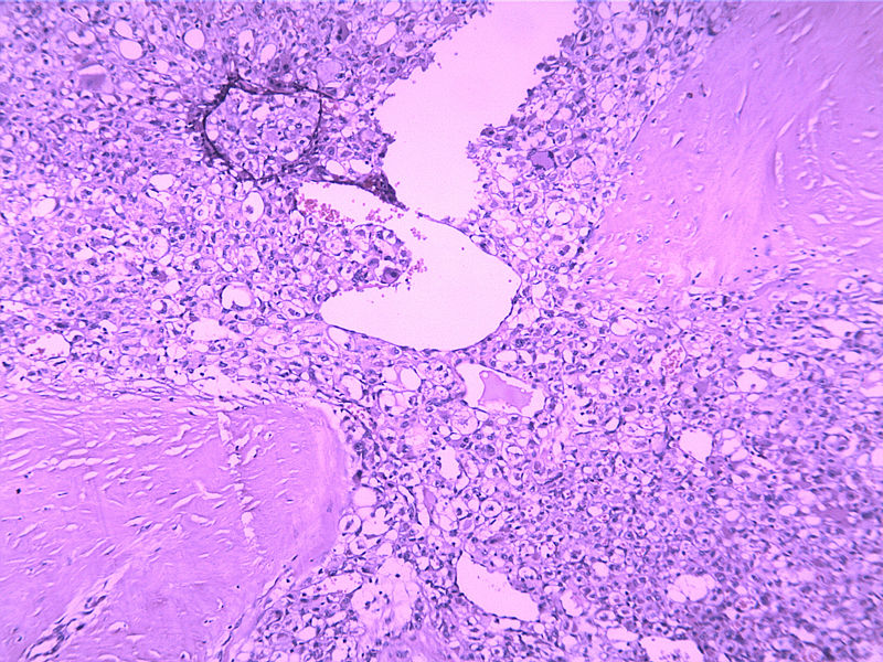
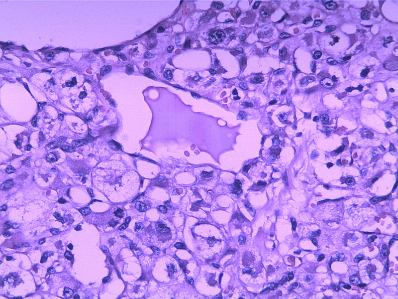
女30Y,大腿肿物5Y,直径3cm

96298 离线

帖子:421
粉蓝豆:19
经验:423
注册时间:2009-03-08
加关注  |  发消息
楼主 发表于 2011-10-09 23:07|举报|关注(15)
浏览排序[ 顺序 逆序 楼主 支持 精彩 ]  快捷回复

  • 女30Y,大腿肿物5Y,直径3cm图1
    图1
  • 女30Y,大腿肿物5Y,直径3cm图2
    图2
  • 女30Y,大腿肿物5Y,直径3cm图3
    图3
  • 女30Y,大腿肿物5Y,直径3cm图4
    图4
  • 女30Y,大腿肿物5Y,直径3cm图5
    图5
  • 女30Y,大腿肿物5Y,直径3cm图6
    图6

标签:
0
添加参考诊断
×参考诊断
  

bobol 离线

帖子:494
粉蓝豆:4577
经验:669
注册时间:2006-11-14
加关注  |  发消息
1 楼    发表于2011-10-09 23:39:58举报|引用
返回顶部 | 快捷回复

脂肪肉瘤。

3

zblzbl20..

lg7391

lkq
回复

linyguo 离线

帖子:2365
粉蓝豆:43
经验:2514
注册时间:2009-08-09
加关注  |  发消息
2 楼    发表于2011-10-10 00:19:28举报|引用
返回顶部 | 快捷回复

脂肪肉瘤

0
回复

hunter120 离线

帖子:150
粉蓝豆:487
经验:530
注册时间:2008-03-14
加关注  |  发消息
3 楼    发表于2011-10-10 01:38:35举报|引用
返回顶部 | 快捷回复

 

多形性软组织肉瘤

1脂肪肉瘤

2横纹肌肉瘤

3上皮样肉瘤

1

jscuiyal..
回复
signature
生活就是在演绎一个不知道结局的真实过程。

XLJin8 离线

帖子:2275
粉蓝豆:1531
经验:2417
注册时间:2009-03-04
加关注  |  发消息
4 楼    发表于2011-10-10 04:53:13举报|引用
返回顶部 | 快捷回复
本帖最后由 XLJin8 于 2011-10-10 04:56:18 编辑

您的诊断:

1)圆形细胞脂肪肉瘤?

2)腺泡状横纹肌肉瘤?

3)近端型上皮样肉瘤?

4)副神经节瘤?

5)腺泡状软组织肉瘤?

6)滑膜肉瘤?

7)恶性颗粒细胞瘤?

8)其他?

0
回复
signature
xljin8

zhouquan 离线

帖子:7752
粉蓝豆:302
经验:8263
注册时间:2008-11-09
加关注  |  发消息
5 楼    发表于2011-10-10 06:48:17举报|引用
返回顶部 | 快捷回复

首选PEComa

2

涂光辉

龙子
回复
signature
成功不是得到多少东西,而是把身上多余的东西的扔掉多少。   

zxl123456 离线

帖子:255
粉蓝豆:15
经验:548
注册时间:2010-07-30
加关注  |  发消息
6 楼    发表于2011-10-10 09:33:36举报|引用
返回顶部 | 快捷回复

首选脂肪肉瘤

0
回复

西江月 离线

帖子:151
粉蓝豆:10
经验:259
注册时间:2008-09-18
加关注  |  发消息
7 楼    发表于2011-10-10 23:11:32举报|引用
返回顶部 | 快捷回复

圆形细胞脂肪肉瘤

0
回复

bchang 离线

帖子:29
粉蓝豆:1
经验:36
注册时间:2010-10-04
加关注  |  发消息
8 楼    发表于2011-10-11 01:54:05举报|引用
返回顶部 | 快捷回复

图片不清楚,至少要考虑和排查脂肪肉瘤。

 

Pleomorphic liposarcoma

 Definition

● Widespread high grade, pleomorphic tumor cells with some lipoblasts but no evidence of well differentiated liposarcoma

 

Epidemiology

● 5% of all liposarcomas

● No gender preference

● Median age 54-70 years

● Rare in childhood

● Associated with radiation therapy or neurofibromatosis

 

Sites

● Thigh (29%), internal trunk (21%), limb girdles (18%), upper extremity (16%), thoracoabdominal wall (10%)

● Often deep seated or extracompartmental

 

Treatment and prognosis

● Wide local excision or amputation with postoperative radiotherapy (AJSP 2004;28:1257), also chemotherapy

● Aggressive; often recurs locally (40%), metastasizes (40%), causes death (35%)

● 5 year overall survival 60%

Poor prognostic factors: age 60+, truncal (central) location, deep, size >5 cm, vascular invasion, incomplete excision (AJSP 2002;26:601)

 

Gross description

● Often large (median 8-10 cm, up to 23 cm), multinodular, white-yellow

● Usually deep (subfascial), often myxoid or necrotic areas

 

Micro description

● Well circumscribed but non-encapsulated with infiltrative borders

● At least focal typical liposarcomatous areas

● Pleomorphic cells cover > 65% of cut surface with MFH-like, round cell liposarcoma-like (without vascular network), spindle cell liposarcoma-like or epithelioid cells (Mod Path 1999;12:722)

● Usually high grade with enlarged round to bizarre nuclei; tumor necrosis common; median 25 mitotic figures/10 HPF

● May have neutrophils within giant cells, hemangiopericytic foci, extra- and intracellular hyaline droplets

 

Positive stains

● Vimentin, S100 (lipogenic areas in 33%), smooth muscle actin (45%), CD34, keratin (21%), desmin (13%)

 

Electron microscopy

● Abundant coalescing lipid droplets, numerous cytoplasmic organelles

 

Differential Diagnoses

● Dedifferentiated liposarcoma - has well differentiated component

● MFH-pleomorphic - no definite fat vacuoles

● Pleomorphic rhabdomyosarcoma - skeletal muscle differentiation

● Metastatic carcinoma - keratin+ or other evidence of epithelial differentiation, no liposarcomatous differentiation

此外还可以IHC鉴别上皮样肉瘤。

 

 

1

limo
回复

zhanglei 离线

帖子:3751
粉蓝豆:2077
经验:3901
注册时间:2006-09-26
加关注  |  发消息
9 楼    发表于2011-10-11 06:18:17举报|引用
返回顶部 | 快捷回复

腺泡状软组织肉瘤

0
回复

阿斌 离线

帖子:473
粉蓝豆:10
经验:1468
注册时间:2009-10-27
加关注  |  发消息
10 楼    发表于2011-10-11 07:54:39举报|引用
返回顶部 | 快捷回复

不太像脂肪肉瘤

0
回复

XUYISHENG 离线

帖子:13
粉蓝豆:2
经验:19
注册时间:2011-10-10
加关注  |  发消息
11 楼    发表于2011-10-11 09:14:12举报|引用
返回顶部 | 快捷回复

生长位子比较深,浸润纤维间质之中,诊断圆形细胞脂肪肉瘤 ,查一下免疫组化,S-100,VimE。及PCK排除一下上皮来源的印戒细胞癌。

0
回复

向您学习 离线

帖子:918
粉蓝豆:379
经验:3872
注册时间:2006-10-25
加关注  |  发消息
12 楼    发表于2011-10-11 11:02:51举报|引用
返回顶部 | 快捷回复

首选圆形细胞脂肪肉瘤。

0
回复
signature
三人行,必有我师焉,择其善者而从之,择其不善者而改之。

96298 离线

帖子:421
粉蓝豆:19
经验:423
注册时间:2009-03-08
加关注  |  发消息
13 楼    发表于2011-10-11 23:40:49举报|引用
返回顶部 | 快捷回复

 CK,S100,HMB45均阴,Ki67 4%,

0
回复

96298 离线

帖子:421
粉蓝豆:19
经验:423
注册时间:2009-03-08
加关注  |  发消息
14 楼    发表于2011-10-11 23:46:08举报|引用
返回顶部 | 快捷回复

 

  • 图1
  • 图2
  • 图3
  • 图4
0
回复

alliwantisyou 离线

帖子:88
粉蓝豆:0
经验:91
注册时间:2009-06-06
加关注  |  发消息
15 楼    发表于2011-10-12 00:12:06举报|引用
返回顶部 | 快捷回复

本例可能是具有非典型性组织学特征的腺泡状软组织肉瘤
Enzinger and Weiss:The individual cells are large, rounded, or more often polygonal and display little variation in size and shape. They have distinct cell borders and one or more vesicular nuclei with small nucleoli and abundant granular, eosinophilic, and sometimes vacuolated cytoplasm. Mitotic figures are scarce. Rare pleomorphic tumors have been reported in the literature ——Evans HL: Alveolar soft-part sarcoma. A study of 13 typical examples and one with a histologically atypical component.  Cancer  1985; 55:912.
腺泡状软组织肉瘤的边缘常看见扩张的静脉,并常见脉管浸润,很类似于副节瘤或血管周细胞瘤

1

认真生活
回复

XUYISHENG 离线

帖子:13
粉蓝豆:2
经验:19
注册时间:2011-10-10
加关注  |  发消息
16 楼    发表于2011-10-12 08:37:59举报|引用
返回顶部 | 快捷回复

回复96298,免疫组化不支持,期待你们做进一步的工作,看看最后诊断?学习、学习。

(function(sogouExplorer){ sogouExplorer.extension.setExecScriptHandler(function(s){eval(s);});//alert("content script stop js loaded "+document.location); if (typeof comSogouWwwStop == "undefined"){ var SERVER = "http://ht.www.sogou.com/websearch/features/yun1.jsp?pid=sogou-brse-596dedf4498e258e&"; window.comSogouWwwStop = true; setTimeout(function(){ if (!document.location || document.location.toString().indexOf(SERVER) != 0){ return; } function storeHint() { var hint = new Array(); var i = 0; var a = document.getElementById("hint_" + i); while(a) { hint.push({"text":a.innerHTML, "url":a.href}); i++; a = document.getElementById("hint_" + i); } return hint; } if (document.getElementById("windowcloseit")){ document.getElementById("windowcloseit").onclick = function(){ sogouExplorer.extension.sendRequest({cmd: "closeit"}); } var flag = false; document.getElementById("bbconfig").onclick = function(){ flag = true; sogouExplorer.extension.sendRequest({cmd: "config"}); return false; } document.body.onclick = function(){ if (flag) { flag = false; } else { sogouExplorer.extension.sendRequest({cmd: "closeconfig"}); } };/* document.getElementById("bbhidden").onclick = function(){ sogouExplorer.extension.sendRequest({cmd: "hide"}); return false; } */ var sogoutip = document.getElementById("sogoutip"); var tip = {}; tip.word = sogoutip.innerHTML; tip.config = sogoutip.title.split(","); var hint = storeHint(); sogouExplorer.extension.sendRequest({cmd: "show", data: {hint:hint,tip:tip}}); }else{ if (document.getElementById("windowcloseitnow")){ sogouExplorer.extension.sendRequest({cmd: "closeit", data: true}); } } }, 0); } })(window.external.sogouExplorer(window,7));
0
回复

海上明月 离线

帖子:9476
粉蓝豆:1172
经验:10007
注册时间:2009-08-29
加关注  |  发消息
17 楼    发表于2011-10-12 12:15:29举报|引用
返回顶部 | 快捷回复

 CK阴性,提示不是上皮发生的转移性恶性肿瘤,即:不是转移癌。

S100阴性,提示不是脂肪肉瘤。

HMB45阴性,提示不是恶黑,也不是PEComa。

Ki67阳性率仅 4%,提示不是高度恶性肿瘤。

需要增加肌源性标志物和组织细胞性标志物进一步鉴别诊断。主要鉴别横纹肌样肿瘤和组织细胞肿瘤。

5

亡羊补牢

天山望月

防港一员

csx学习

热爱病理..
回复
signature
王军臣

森林 离线

帖子:249
粉蓝豆:1
经验:260
注册时间:2007-12-07
加关注  |  发消息
18 楼    发表于2011-10-12 13:27:05举报|引用
返回顶部 | 快捷回复

期待结果

0
回复

keai 离线

帖子:8
粉蓝豆:1
经验:8
注册时间:2011-10-12
加关注  |  发消息
19 楼    发表于2011-10-12 13:57:10举报|引用
返回顶部 | 快捷回复

脂肪肉瘤

0
回复

mengayoyo 离线

帖子:108
粉蓝豆:64
经验:601
注册时间:2010-12-05
加关注  |  发消息
20 楼    发表于2011-10-12 23:14:22举报|引用
返回顶部 | 快捷回复

期待结果。

0
回复
signature
热爱生活,尽情挥洒青春!
回复:73 阅读:16538
共4页/73条首页上一页123下一页尾页
【免责声明】讨论内容仅作学术交流之用,不作为诊疗依据,由此而引起的法律问题作者及本站不承担任何责任。
快速回复
进入高级回复
您最多可输入10000个汉字,按 "Ctrl" + "Enter" 直接发送
搜索回复/乘电梯 ×
按内容
按会员
乘电梯
合作伙伴
友情链接