共4页/73条首页上一页234下一页尾页
回复:73 阅读:16480
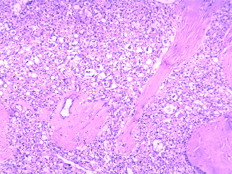
女30Y,大腿肿物5Y,直径3cm

96298 离线

帖子:421
粉蓝豆:19
经验:423
注册时间:2009-03-08
加关注  |  发消息
楼主 发表于 2011-10-09 23:07|举报|关注(15)
浏览排序[ 顺序 逆序 楼主 支持 精彩 ]  快捷回复

  • 女30Y,大腿肿物5Y,直径3cm图1
    图1
  • 女30Y,大腿肿物5Y,直径3cm图2
    图2
  • 女30Y,大腿肿物5Y,直径3cm图3
    图3
  • 女30Y,大腿肿物5Y,直径3cm图4
    图4
  • 女30Y,大腿肿物5Y,直径3cm图5
    图5
  • 女30Y,大腿肿物5Y,直径3cm图6
    图6

标签:
0
添加参考诊断
×参考诊断
  

96298 离线

帖子:421
粉蓝豆:19
经验:423
注册时间:2009-03-08
加关注  |  发消息
13 楼    发表于2011-10-11 23:40:49举报|引用
返回顶部 | 快捷回复

 CK,S100,HMB45均阴,Ki67 4%,

0
回复

向您学习 离线

帖子:918
粉蓝豆:379
经验:3872
注册时间:2006-10-25
加关注  |  发消息
12 楼    发表于2011-10-11 11:02:51举报|引用
返回顶部 | 快捷回复

首选圆形细胞脂肪肉瘤。

0
回复
signature
三人行,必有我师焉,择其善者而从之,择其不善者而改之。

XUYISHENG 离线

帖子:13
粉蓝豆:2
经验:19
注册时间:2011-10-10
加关注  |  发消息
11 楼    发表于2011-10-11 09:14:12举报|引用
返回顶部 | 快捷回复

生长位子比较深,浸润纤维间质之中,诊断圆形细胞脂肪肉瘤 ,查一下免疫组化,S-100,VimE。及PCK排除一下上皮来源的印戒细胞癌。

0
回复

阿斌 离线

帖子:473
粉蓝豆:10
经验:1468
注册时间:2009-10-27
加关注  |  发消息
10 楼    发表于2011-10-11 07:54:39举报|引用
返回顶部 | 快捷回复

不太像脂肪肉瘤

0
回复

zhanglei 离线

帖子:3751
粉蓝豆:2077
经验:3901
注册时间:2006-09-26
加关注  |  发消息
9 楼    发表于2011-10-11 06:18:17举报|引用
返回顶部 | 快捷回复

腺泡状软组织肉瘤

0
回复

bchang 离线

帖子:29
粉蓝豆:1
经验:36
注册时间:2010-10-04
加关注  |  发消息
8 楼    发表于2011-10-11 01:54:05举报|引用
返回顶部 | 快捷回复

图片不清楚,至少要考虑和排查脂肪肉瘤。

 

Pleomorphic liposarcoma

 Definition

● Widespread high grade, pleomorphic tumor cells with some lipoblasts but no evidence of well differentiated liposarcoma

 

Epidemiology

● 5% of all liposarcomas

● No gender preference

● Median age 54-70 years

● Rare in childhood

● Associated with radiation therapy or neurofibromatosis

 

Sites

● Thigh (29%), internal trunk (21%), limb girdles (18%), upper extremity (16%), thoracoabdominal wall (10%)

● Often deep seated or extracompartmental

 

Treatment and prognosis

● Wide local excision or amputation with postoperative radiotherapy (AJSP 2004;28:1257), also chemotherapy

● Aggressive; often recurs locally (40%), metastasizes (40%), causes death (35%)

● 5 year overall survival 60%

Poor prognostic factors: age 60+, truncal (central) location, deep, size >5 cm, vascular invasion, incomplete excision (AJSP 2002;26:601)

 

Gross description

● Often large (median 8-10 cm, up to 23 cm), multinodular, white-yellow

● Usually deep (subfascial), often myxoid or necrotic areas

 

Micro description

● Well circumscribed but non-encapsulated with infiltrative borders

● At least focal typical liposarcomatous areas

● Pleomorphic cells cover > 65% of cut surface with MFH-like, round cell liposarcoma-like (without vascular network), spindle cell liposarcoma-like or epithelioid cells (Mod Path 1999;12:722)

● Usually high grade with enlarged round to bizarre nuclei; tumor necrosis common; median 25 mitotic figures/10 HPF

● May have neutrophils within giant cells, hemangiopericytic foci, extra- and intracellular hyaline droplets

 

Positive stains

● Vimentin, S100 (lipogenic areas in 33%), smooth muscle actin (45%), CD34, keratin (21%), desmin (13%)

 

Electron microscopy

● Abundant coalescing lipid droplets, numerous cytoplasmic organelles

 

Differential Diagnoses

● Dedifferentiated liposarcoma - has well differentiated component

● MFH-pleomorphic - no definite fat vacuoles

● Pleomorphic rhabdomyosarcoma - skeletal muscle differentiation

● Metastatic carcinoma - keratin+ or other evidence of epithelial differentiation, no liposarcomatous differentiation

此外还可以IHC鉴别上皮样肉瘤。

 

 

1

limo
回复

西江月 离线

帖子:151
粉蓝豆:10
经验:259
注册时间:2008-09-18
加关注  |  发消息
7 楼    发表于2011-10-10 23:11:32举报|引用
返回顶部 | 快捷回复

圆形细胞脂肪肉瘤

0
回复

zxl123456 离线

帖子:255
粉蓝豆:15
经验:548
注册时间:2010-07-30
加关注  |  发消息
6 楼    发表于2011-10-10 09:33:36举报|引用
返回顶部 | 快捷回复

首选脂肪肉瘤

0
回复

zhouquan 离线

帖子:7752
粉蓝豆:302
经验:8263
注册时间:2008-11-09
加关注  |  发消息
5 楼    发表于2011-10-10 06:48:17举报|引用
返回顶部 | 快捷回复

首选PEComa

2

涂光辉

龙子
回复
signature
成功不是得到多少东西,而是把身上多余的东西的扔掉多少。   

XLJin8 离线

帖子:2275
粉蓝豆:1531
经验:2417
注册时间:2009-03-04
加关注  |  发消息
4 楼    发表于2011-10-10 04:53:13举报|引用
返回顶部 | 快捷回复
本帖最后由 XLJin8 于 2011-10-10 04:56:18 编辑

您的诊断:

1)圆形细胞脂肪肉瘤?

2)腺泡状横纹肌肉瘤?

3)近端型上皮样肉瘤?

4)副神经节瘤?

5)腺泡状软组织肉瘤?

6)滑膜肉瘤?

7)恶性颗粒细胞瘤?

8)其他?

0
回复
signature
xljin8

hunter120 离线

帖子:150
粉蓝豆:487
经验:530
注册时间:2008-03-14
加关注  |  发消息
3 楼    发表于2011-10-10 01:38:35举报|引用
返回顶部 | 快捷回复

 

多形性软组织肉瘤

1脂肪肉瘤

2横纹肌肉瘤

3上皮样肉瘤

1

jscuiyal..
回复
signature
生活就是在演绎一个不知道结局的真实过程。

linyguo 离线

帖子:2365
粉蓝豆:43
经验:2514
注册时间:2009-08-09
加关注  |  发消息
2 楼    发表于2011-10-10 00:19:28举报|引用
返回顶部 | 快捷回复

脂肪肉瘤

0
回复

bobol 离线

帖子:494
粉蓝豆:4577
经验:669
注册时间:2006-11-14
加关注  |  发消息
1 楼    发表于2011-10-09 23:39:58举报|引用
返回顶部 | 快捷回复

脂肪肉瘤。

3

zblzbl20..

lg7391

lkq
回复
回复:73 阅读:16480
共4页/73条首页上一页234下一页尾页
【免责声明】讨论内容仅作学术交流之用,不作为诊疗依据,由此而引起的法律问题作者及本站不承担任何责任。
快速回复
进入高级回复
您最多可输入10000个汉字,按 "Ctrl" + "Enter" 直接发送
搜索回复/乘电梯 ×
按内容
按会员
乘电梯
合作伙伴
友情链接