共2页/28条首页上一页12下一页尾页
回复:28 阅读:7233
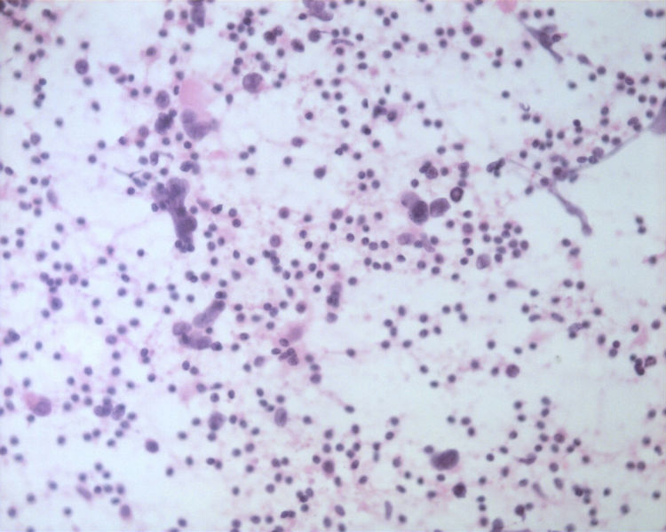
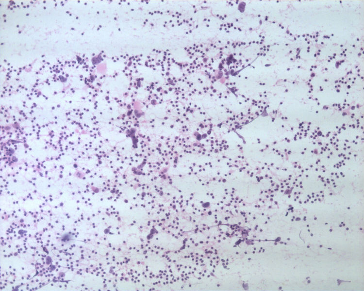
男性,50岁,右锁骨上淋巴结穿刺。

老油 离线

帖子:236
粉蓝豆:525
经验:247
注册时间:2010-11-16
加关注  |  发消息
楼主 发表于 2011-08-09 19:51|举报|关注(0)
浏览排序[ 顺序 逆序 楼主 支持 精彩 ]  快捷回复
  • 男性,50岁,右锁骨上淋巴结穿刺。图1
    图1
  • 男性,50岁,右锁骨上淋巴结穿刺。图2
    图2
  • 男性,50岁,右锁骨上淋巴结穿刺。图3
    图3
  • 男性,50岁,右锁骨上淋巴结穿刺。图4
    图4
  • 男性,50岁,右锁骨上淋巴结穿刺。图5
    图5

标签:
0
×参考诊断
淋巴结转移性的大细胞神经内分泌癌

广秀 离线

帖子:2711
粉蓝豆:1246
经验:3502
注册时间:2009-09-15
加关注  |  发消息
28 楼    发表于2011-09-06 22:08:42举报|引用
返回顶部 | 快捷回复

学习

0
回复
signature
人淡如菊,心素如简。

jani 离线

帖子:1707
粉蓝豆:46
经验:1808
注册时间:2009-03-21
加关注  |  发消息
27 楼    发表于2011-09-01 20:49:53举报|引用
返回顶部 | 快捷回复

谢谢老油  因为看了你的帖子  我今天就遇到一个病人是这样的图像  细胞大小不一   大的很大  小的小  核仁非常清楚  染色质细 均匀 几乎看不到细胞浆 全是裸核  所以报告了大细胞未分化癌淋巴结转移  考虑来源于鼻咽部(CT有占位了)

所以要谢谢你 了  !

0
回复
signature
只有做你不会做的事 才能做会所有的事

lsping666 离线

帖子:99
粉蓝豆:1
经验:108
注册时间:2010-07-07
加关注  |  发消息
26 楼    发表于2011-08-24 19:55:29举报|引用
返回顶部 | 快捷回复

学习了!

0
回复

李建民 离线

帖子:540
粉蓝豆:2
经验:825
注册时间:2009-11-12
加关注  |  发消息
25 楼    发表于2011-08-22 20:32:02举报|引用
返回顶部 | 快捷回复

好病例,有明确的诊断结论。

0
回复

byq 离线

帖子:845
粉蓝豆:130
经验:3229
注册时间:2006-09-25
加关注  |  发消息
24 楼    发表于2011-08-22 19:55:54举报|引用
返回顶部 | 快捷回复

再次证明制作细胞块的优点!赞一个!

0
回复

老油 离线

帖子:236
粉蓝豆:525
经验:247
注册时间:2010-11-16
加关注  |  发消息
23 楼    发表于2011-08-21 20:41:27举报|引用
返回顶部 | 快捷回复

 http://www.ipathology.cn/channel/detail/name/bbs/article/401343.html

我在这个帖子内已经讲解了。

0
回复

路过蜻蜓 离线

帖子:756
粉蓝豆:750
经验:1057
注册时间:2010-09-03
加关注  |  发消息
22 楼    发表于2011-08-21 15:32:41举报|引用
返回顶部 | 快捷回复

请问老油老师,细胞蜡块是怎么做的?

0
回复
signature
一天一点小进步!

诚诚 离线

帖子:143
粉蓝豆:30
经验:472
注册时间:2007-03-20
加关注  |  发消息
21 楼    发表于2011-08-20 17:50:21举报|引用
返回顶部 | 快捷回复

看来是要做细胞块呀?

0
回复
signature
真诚交友,诚实做人.

诚诚 离线

帖子:143
粉蓝豆:30
经验:472
注册时间:2007-03-20
加关注  |  发消息
20 楼    发表于2011-08-20 17:49:18举报|引用
返回顶部 | 快捷回复

学习!谢谢!

0
回复
signature
真诚交友,诚实做人.

liguoxia71 离线

帖子:4174
粉蓝豆:3122
经验:4677
注册时间:2007-04-01
加关注  |  发消息
19 楼    发表于2011-08-20 16:13:42举报|引用
返回顶部 | 快捷回复

是啊,细胞块细胞模糊。

0
回复
signature
三人行,必有我师焉,择其善者而从之,其不善者而改之。

jani 离线

帖子:1707
粉蓝豆:46
经验:1808
注册时间:2009-03-21
加关注  |  发消息
18 楼    发表于2011-08-19 09:29:27举报|引用
返回顶部 | 快捷回复

谢谢老油     学习了    只是你的片子   我看的不习惯  不太清楚 

0
回复
signature
只有做你不会做的事 才能做会所有的事

lsping666 离线

帖子:99
粉蓝豆:1
经验:108
注册时间:2010-07-07
加关注  |  发消息
17 楼    发表于2011-08-18 22:03:22举报|引用
返回顶部 | 快捷回复

学习!谢谢!

0
回复

轻羽飞扬 离线

帖子:445
粉蓝豆:13
经验:882
注册时间:2009-08-13
加关注  |  发消息
16 楼    发表于2011-08-17 21:45:49举报|引用
返回顶部 | 快捷回复

学习!!谢谢

0
回复
signature
天道酬勤

老油 离线

帖子:236
粉蓝豆:525
经验:247
注册时间:2010-11-16
加关注  |  发消息
15 楼    发表于2011-08-17 21:36:29举报|引用
返回顶部 | 快捷回复

 以前在干组织学的时候,诊断过好几例肺的大细胞神经内分泌癌,所以在一看到涂片的时候,我第一感觉就是想到是肺大细胞癌转移。

0
回复

老油 离线

帖子:236
粉蓝豆:525
经验:247
注册时间:2010-11-16
加关注  |  发消息
14 楼    发表于2011-08-17 21:34:33举报|引用
返回顶部 | 快捷回复

在细胞腊块没有出来前,我的确就首先考虑了肺的大细胞癌。因为核太大,太奇异。而染色质却相对比较均匀,而且部位又是在锁骨上,所以肺的大细胞癌的确是应该首先考虑。除了大细胞癌外,还有可能就是肺的肉瘤样癌,但后者缺乏一些梭形的肿瘤细胞。

我还考虑过HD,总觉得背景和核型不是特别象,但也在我的排除范围之内。

当然最终的确诊需要结合细胞腊块。

这样的病例说明细胞腊块的作用在细胞学的诊断中具有非常重要的作用,没有细胞腊块,我是猜测为大细胞癌,有了细胞腊块,我是确诊为大细胞神经内分泌癌。所以在我们日常穿刺工作中,只要能做细胞腊块的,我是都做的。同时,在很多淋巴结穿刺,我们不仅会报给他是否转移癌,还会告诉患者和临床倾向于哪里转移及建议检查部位。

1

gwls0008
回复

jani 离线

帖子:1707
粉蓝豆:46
经验:1808
注册时间:2009-03-21
加关注  |  发消息
13 楼    发表于2011-08-17 20:46:31举报|引用
返回顶部 | 快捷回复

从你开始的那几张穿刺图片是很难诊断出“淋巴结转移性的大细胞神经内分泌癌”。

0
回复
signature
只有做你不会做的事 才能做会所有的事

byq 离线

帖子:845
粉蓝豆:130
经验:3229
注册时间:2006-09-25
加关注  |  发消息
12 楼    发表于2011-08-16 22:03:32举报|引用
返回顶部 | 快捷回复

细胞块的细胞成分多且有成团趋势,加上IHC支持肺来源的大细胞神经内分泌癌转移至颈部淋巴结。

0
回复

土豆2008 离线

帖子:855
粉蓝豆:381
经验:919
注册时间:2009-01-15
加关注  |  发消息
11 楼    发表于2011-08-15 23:46:56举报|引用
返回顶部 | 快捷回复

大细胞啊?

呵呵,看错了,看成小细胞了

还要学习

0
回复

老油 离线

帖子:236
粉蓝豆:525
经验:247
注册时间:2010-11-16
加关注  |  发消息
10 楼    发表于2011-08-15 18:45:22举报|引用
返回顶部 | 快捷回复

 结合细胞腊块及免疫组化结果,诊断了淋巴结转移性的大细胞神经内分泌癌。

0
回复

老油 离线

帖子:236
粉蓝豆:525
经验:247
注册时间:2010-11-16
加关注  |  发消息
9 楼    发表于2011-08-15 18:44:12举报|引用
返回顶部 | 快捷回复

 

名称:图1 CK
描述:201106181 CK 400.jpg.jpg

名称:图2 SYN
描述:201106181 syn 400.jpg.jpg

名称:图3 CD56
描述:201106181 CD56 400.jpg.jpg

名称:图4 CGA
描述:201106181 CGA 400.jpg.jpg
0
回复
回复:28 阅读:7233
共2页/28条首页上一页12下一页尾页
【免责声明】讨论内容仅作学术交流之用,不作为诊疗依据,由此而引起的法律问题作者及本站不承担任何责任。
快速回复
进入高级回复
您最多可输入10000个汉字,按 "Ctrl" + "Enter" 直接发送
搜索回复/乘电梯 ×
按内容
按会员
乘电梯
合作伙伴
友情链接