共1页/8条首页上一页1下一页尾页
回复:28 阅读:7260
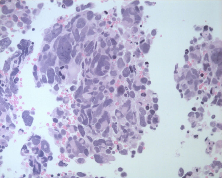
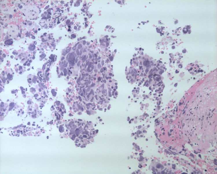
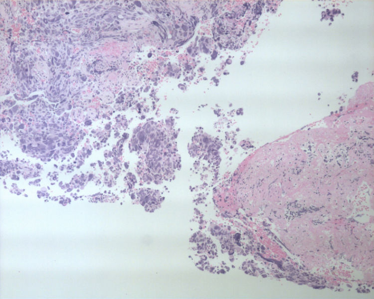
男性,50岁,右锁骨上淋巴结穿刺。

老油 离线

帖子:236
粉蓝豆:525
经验:247
注册时间:2010-11-16
加关注  |  发消息
楼主 发表于 2011-08-09 19:51|举报|关注(0)
浏览排序[ 顺序 逆序 楼主 支持 精彩 ]  快捷回复
  • 男性,50岁,右锁骨上淋巴结穿刺。图1
    图1
  • 男性,50岁,右锁骨上淋巴结穿刺。图2
    图2
  • 男性,50岁,右锁骨上淋巴结穿刺。图3
    图3
  • 男性,50岁,右锁骨上淋巴结穿刺。图4
    图4
  • 男性,50岁,右锁骨上淋巴结穿刺。图5
    图5

标签:
0
×参考诊断
淋巴结转移性的大细胞神经内分泌癌

老油 离线

帖子:236
粉蓝豆:525
经验:247
注册时间:2010-11-16
加关注  |  发消息
23 楼    发表于2011-08-21 20:41:27举报|引用
返回顶部 | 快捷回复

 http://www.ipathology.cn/channel/detail/name/bbs/article/401343.html

我在这个帖子内已经讲解了。

0
回复

老油 离线

帖子:236
粉蓝豆:525
经验:247
注册时间:2010-11-16
加关注  |  发消息
15 楼    发表于2011-08-17 21:36:29举报|引用
返回顶部 | 快捷回复

 以前在干组织学的时候,诊断过好几例肺的大细胞神经内分泌癌,所以在一看到涂片的时候,我第一感觉就是想到是肺大细胞癌转移。

0
回复

老油 离线

帖子:236
粉蓝豆:525
经验:247
注册时间:2010-11-16
加关注  |  发消息
14 楼    发表于2011-08-17 21:34:33举报|引用
返回顶部 | 快捷回复

在细胞腊块没有出来前,我的确就首先考虑了肺的大细胞癌。因为核太大,太奇异。而染色质却相对比较均匀,而且部位又是在锁骨上,所以肺的大细胞癌的确是应该首先考虑。除了大细胞癌外,还有可能就是肺的肉瘤样癌,但后者缺乏一些梭形的肿瘤细胞。

我还考虑过HD,总觉得背景和核型不是特别象,但也在我的排除范围之内。

当然最终的确诊需要结合细胞腊块。

这样的病例说明细胞腊块的作用在细胞学的诊断中具有非常重要的作用,没有细胞腊块,我是猜测为大细胞癌,有了细胞腊块,我是确诊为大细胞神经内分泌癌。所以在我们日常穿刺工作中,只要能做细胞腊块的,我是都做的。同时,在很多淋巴结穿刺,我们不仅会报给他是否转移癌,还会告诉患者和临床倾向于哪里转移及建议检查部位。

1

gwls0008
回复

老油 离线

帖子:236
粉蓝豆:525
经验:247
注册时间:2010-11-16
加关注  |  发消息
10 楼    发表于2011-08-15 18:45:22举报|引用
返回顶部 | 快捷回复

 结合细胞腊块及免疫组化结果,诊断了淋巴结转移性的大细胞神经内分泌癌。

0
回复

老油 离线

帖子:236
粉蓝豆:525
经验:247
注册时间:2010-11-16
加关注  |  发消息
9 楼    发表于2011-08-15 18:44:12举报|引用
返回顶部 | 快捷回复

 

名称:图1 CK
描述:201106181 CK 400.jpg.jpg

名称:图2 SYN
描述:201106181 syn 400.jpg.jpg

名称:图3 CD56
描述:201106181 CD56 400.jpg.jpg

名称:图4 CGA
描述:201106181 CGA 400.jpg.jpg
0
回复

老油 离线

帖子:236
粉蓝豆:525
经验:247
注册时间:2010-11-16
加关注  |  发消息
8 楼    发表于2011-08-15 18:42:40举报|引用
返回顶部 | 快捷回复

 

  • 图1 TTF-1
0
回复

老油 离线

帖子:236
粉蓝豆:525
经验:247
注册时间:2010-11-16
加关注  |  发消息
7 楼    发表于2011-08-15 18:41:57举报|引用
返回顶部 | 快捷回复
这是一例我以前穿刺的病例。当时涂片发现淋巴细胞的背景中散在大而非常异形的细胞。细胞没有成巢现象。
当时我考虑:
1、转移性肺的大细胞神经内分泌癌。这是我首先考虑的诊断。
2、必须要排除霍奇金淋巴瘤。不支持的地方是核仁不够明显,而且背景缺乏组织细胞、嗜酸性细胞等。
3、软组织肉瘤。

还好我当时在制作涂片的同时做了细胞腊块。现将细胞腊块的照片上传。
  • 图1
  • 图2
  • 图3
0
回复

老油 离线

帖子:236
粉蓝豆:525
经验:247
注册时间:2010-11-16
加关注  |  发消息
3 楼    发表于2011-08-11 06:55:32举报|引用
返回顶部 | 快捷回复
其余的视野几乎和这些差不多。
基本都是淋巴细胞背景中散在异形非常明显的细胞。细胞无成巢现象。
0
回复
回复:28 阅读:7260
共1页/8条首页上一页1下一页尾页
【免责声明】讨论内容仅作学术交流之用,不作为诊疗依据,由此而引起的法律问题作者及本站不承担任何责任。
快速回复
进入高级回复
您最多可输入10000个汉字,按 "Ctrl" + "Enter" 直接发送
搜索回复/乘电梯 ×
按内容
按会员
乘电梯
合作伙伴
友情链接