共3页/44条首页上一页123下一页尾页
回复:44 阅读:11530
B3806腺病?癌?其他?(12楼常规,24楼免疫组化及会诊结果)

quyibl 离线

帖子:361
粉蓝豆:9
经验:1876
注册时间:2006-10-23
加关注  |  发消息
楼主 发表于 2011-11-18 21:29|举报|关注(4)
浏览排序[ 顺序 逆序 楼主 支持 精彩 ]  快捷回复
今天的一例术中冰冻。女,49岁,乳腺肿块。人气不旺,换个标题
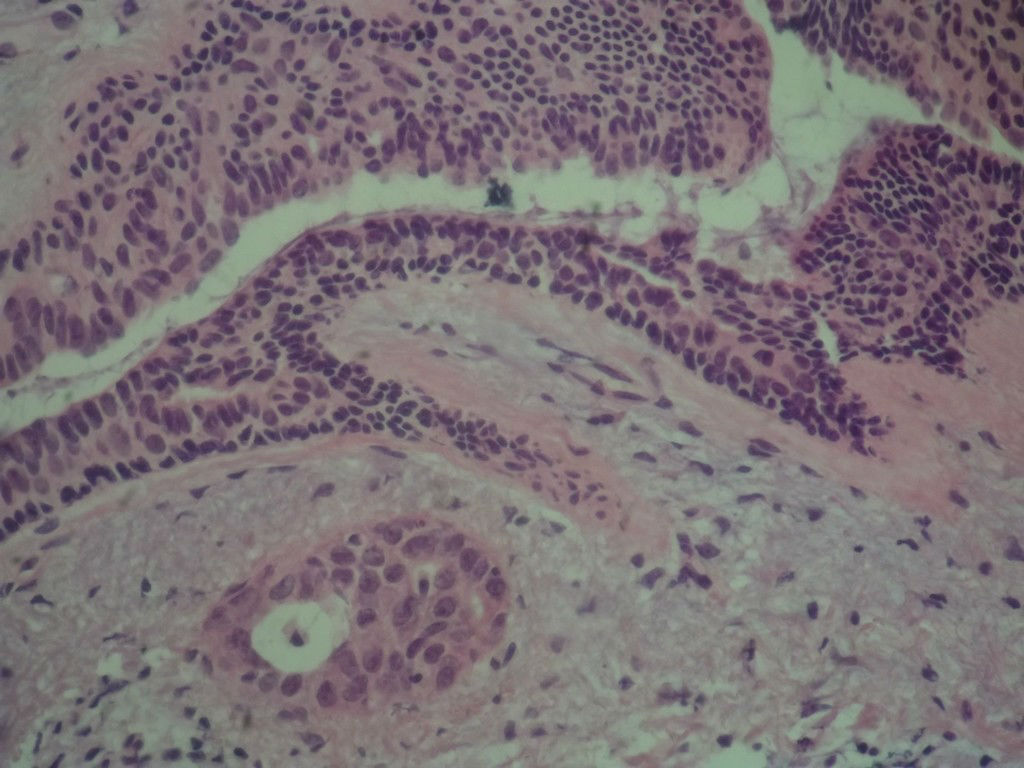
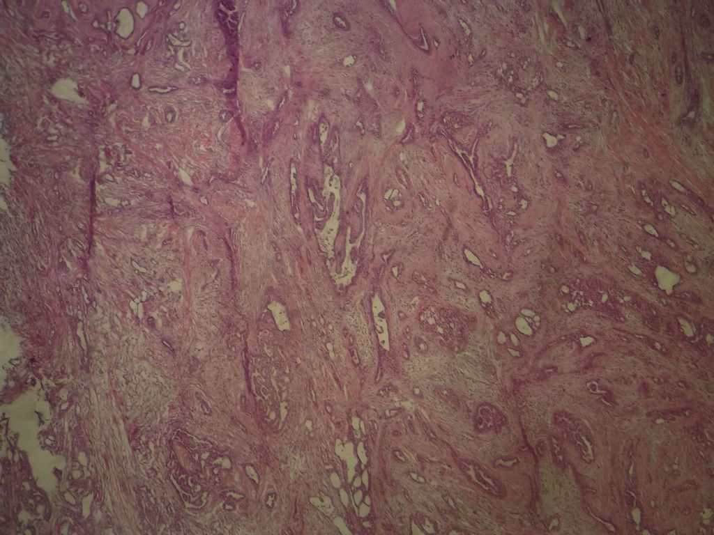
腺病?癌?其他?(12楼常规,24楼免疫组化及会诊结果)图1
名称:图1
描述:DSCF1751
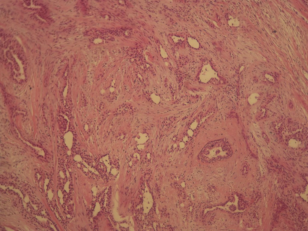
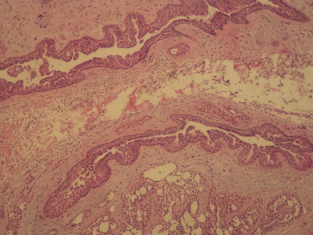
腺病?癌?其他?(12楼常规,24楼免疫组化及会诊结果)图2
名称:图2
描述:DSCF1752
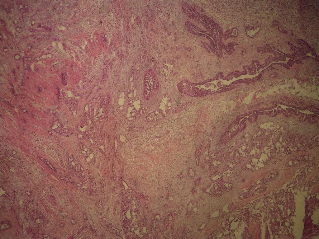
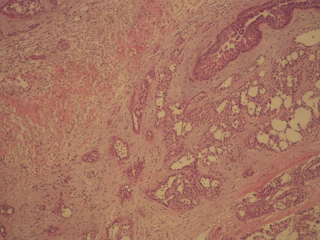
腺病?癌?其他?(12楼常规,24楼免疫组化及会诊结果)图3
名称:图3
描述:DSCF1753
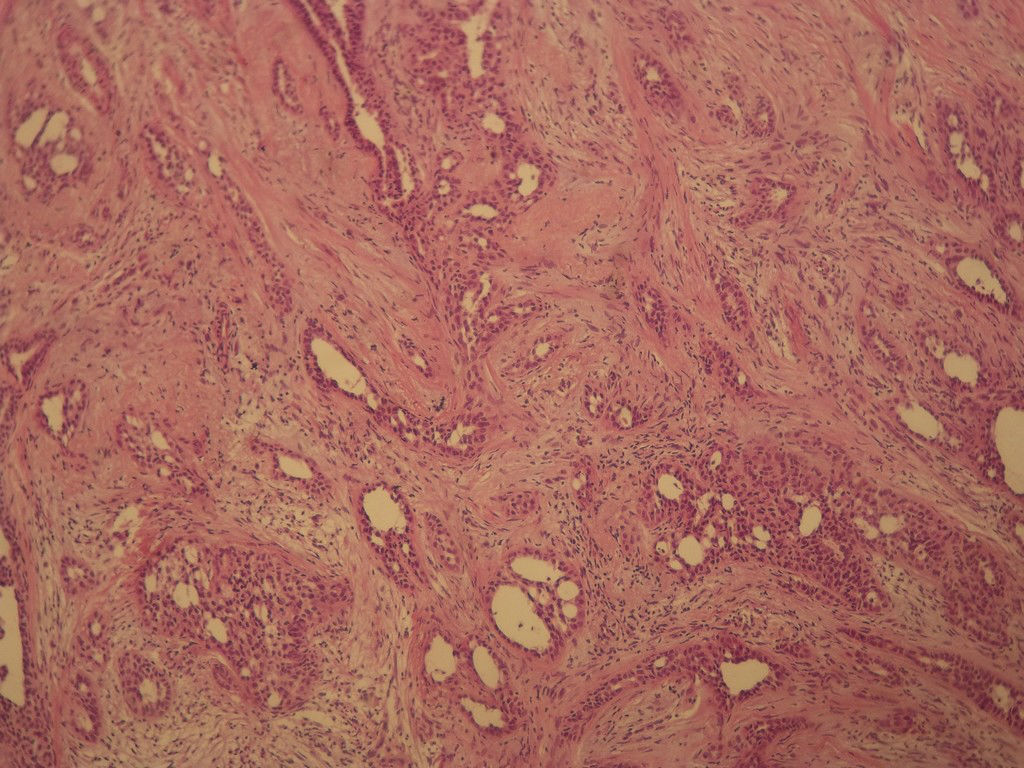
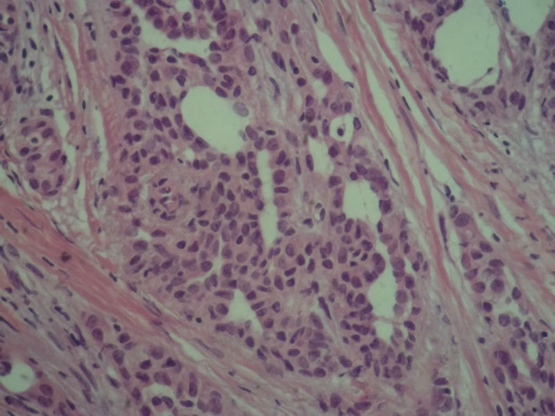
腺病?癌?其他?(12楼常规,24楼免疫组化及会诊结果)图4
名称:图4
描述:DSCF1754
腺病?癌?其他?(12楼常规,24楼免疫组化及会诊结果)图5
名称:图5
描述:DSCF1755
腺病?癌?其他?(12楼常规,24楼免疫组化及会诊结果)图6
名称:图6
描述:DSCF1756
腺病?癌?其他?(12楼常规,24楼免疫组化及会诊结果)图7
名称:图7
描述:DSCF1757
腺病?癌?其他?(12楼常规,24楼免疫组化及会诊结果)图8
名称:图8
描述:DSCF1758
腺病?癌?其他?(12楼常规,24楼免疫组化及会诊结果)图9
名称:图9
描述:DSCF1759
 
腺病?癌?其他?(12楼常规,24楼免疫组化及会诊结果)图10
名称:图1
描述:DSCF1760
腺病?癌?其他?(12楼常规,24楼免疫组化及会诊结果)图11
名称:图2
描述:DSCF1761
腺病?癌?其他?(12楼常规,24楼免疫组化及会诊结果)图12
名称:图3
描述:DSCF1762
 

 

标签:浸润性导管癌 分泌癌 硬化性腺病
本帖最后由 quyibl 于 2011-12-15 18:42:00 编辑
1
signature
我思故我在! know something about everything,know everything about something.
×参考诊断
乳腺分泌型癌

cqzhao 离线

帖子:5518
粉蓝豆:1071
经验:5755
注册时间:2008-09-29
加关注  |  发消息
17 楼    发表于2011-11-25 03:23:16举报|引用
返回顶部 | 快捷回复

Do you have myoepithelial stains?

0
回复

cqzhao 离线

帖子:5518
粉蓝豆:1071
经验:5755
注册时间:2008-09-29
加关注  |  发消息
18 楼    发表于2011-11-25 03:25:10举报|引用
返回顶部 | 快捷回复

 

Difficult to say it is IDC in frozen

0
回复

cqzhao 离线

帖子:5518
粉蓝豆:1071
经验:5755
注册时间:2008-09-29
加关注  |  发消息
19 楼    发表于2011-11-25 03:27:25举报|引用
返回顶部 | 快捷回复

Two questions:

1.Do you get the tumor in the frozen if it is invasive cancer case finally?

2. Do you have myoepithelail stains to confirm the IDC in perminant sections?

 

0
回复

chaikeqin 离线

帖子:1355
粉蓝豆:8
经验:1483
注册时间:2009-12-31
加关注  |  发消息
22 楼    发表于2011-11-25 16:01:10举报|引用
返回顶部 | 快捷回复

浸润性导管癌

0
回复
回复:44 阅读:11530
共3页/44条首页上一页123下一页尾页
【免责声明】讨论内容仅作学术交流之用,不作为诊疗依据,由此而引起的法律问题作者及本站不承担任何责任。
快速回复
进入高级回复
您最多可输入10000个汉字,按 "Ctrl" + "Enter" 直接发送
搜索回复/乘电梯 ×
按内容
按会员
乘电梯
合作伙伴
友情链接