共1页/11条首页上一页1下一页尾页
回复:11 阅读:3820
肺部肿瘤--类癌?求助大家

人到中年 离线

帖子:25
粉蓝豆:1
经验:43
注册时间:2010-11-16
加关注  |  发消息
楼主 发表于 2012-03-21 19:07|举报|关注(1)
浏览排序[ 顺序 逆序 楼主 支持 精彩 ]  快捷回复

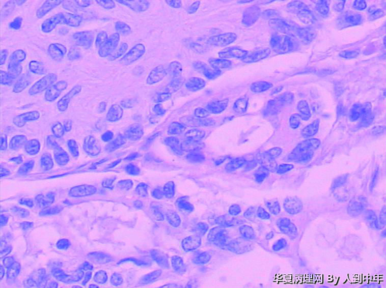
患者,男性,72岁,右肺中叶占位,肺门部肿物,散在多结节状,直径0.2-2.2cm。

没见过,我们也没有免疫组化,全靠HE。临床就想诊断了肿瘤让患者出院,我还想让患者去肿瘤会诊?大家怎么诊断?遇到临床不想会诊这种情况又如何办?

  • 肺部肿瘤--类癌?求助大家图1
    图1
  • 肺部肿瘤--类癌?求助大家图2
    图2
  • 肺部肿瘤--类癌?求助大家图3
    图3
  • 肺部肿瘤--类癌?求助大家图4
    图4
  • 肺部肿瘤--类癌?求助大家图5
    图5
  • 肺部肿瘤--类癌?求助大家图6
    图6
  • 肺部肿瘤--类癌?求助大家图7
    图7
  • 肺部肿瘤--类癌?求助大家图8
    图8
  • 肺部肿瘤--类癌?求助大家图9
    图9
  • 肺部肿瘤--类癌?求助大家图10
    图10
  • 肺部肿瘤--类癌?求助大家图11
    图11
  • 肺部肿瘤--类癌?求助大家图12
    图12
  • 肺部肿瘤--类癌?求助大家图13
    图13
  • 肺部肿瘤--类癌?求助大家图14
    图14
  • 肺部肿瘤--类癌?求助大家图15
    图15
  • 肺部肿瘤--类癌?求助大家图16
    图16
  • 肺部肿瘤--类癌?求助大家图17
    图17
  • 肺部肿瘤--类癌?求助大家图18
    图18
  • 肺部肿瘤--类癌?求助大家图19
    图19
  • 肺部肿瘤--类癌?求助大家图20
    图20
  • 肺部肿瘤--类癌?求助大家图21
    图21
  • 肺部肿瘤--类癌?求助大家图22
    图22
  • 肺部肿瘤--类癌?求助大家图23
    图23
  • 肺部肿瘤--类癌?求助大家图24
    图24
  • 肺部肿瘤--类癌?求助大家图25
    图25
  • 肺部肿瘤--类癌?求助大家图26
    图26

 

 

 

 

 

标签:肺部肿瘤 中央型 类癌 会诊
0
添加参考诊断
×参考诊断
  

ahhbhzlin 离线

帖子:3090
粉蓝豆:50
经验:11826
注册时间:2008-07-24
加关注  |  发消息
3 楼    发表于2012-03-21 20:35:48举报|引用
返回顶部 | 快捷回复

低分化癌,可能伴神经内分泌分化。不能标记也要建议会诊,去不去是他们的事

2

xxmcwm

wang4160
回复

ljfwz007 离线

帖子:60
粉蓝豆:24
经验:79
注册时间:2011-11-27
加关注  |  发消息
5 楼    发表于2012-04-15 17:10:28举报|引用
返回顶部 | 快捷回复

微囊、细胞梭形或立方、癌巢周边细胞见栅栏状(图22),不能排除基底细胞样癌。

 

1

快乐之星
回复
signature

快乐之星 离线

帖子:855
粉蓝豆:35
经验:1881
注册时间:2009-06-08
加关注  |  发消息
10 楼    发表于2012-04-15 21:11:30举报|引用
返回顶部 | 快捷回复

癌,微囊、细胞梭形或立方、癌巢周边细胞见栅栏状,不能排除基底细胞样癌。多结节,也要排除转移性涎腺型恶性肿瘤,腺样囊腺癌等。

1

40500354..
回复
signature
把握今天,展望明天

晓明 离线

帖子:1630
粉蓝豆:56
经验:1784
注册时间:2010-02-02
加关注  |  发消息
2 楼    发表于2012-03-21 20:34:38举报|引用
返回顶部 | 快捷回复

低分化癌,看到有腺样结构,肿瘤多结节,也要排除转移。

0
回复
signature
典型中看不典型,不典型中找典型。

slf521 离线

帖子:126
粉蓝豆:3
经验:174
注册时间:2012-04-27
加关注  |  发消息
11 楼    发表于2012-04-28 21:51:54举报|引用
返回顶部 | 快捷回复

 腺癌,临床不想要他去会诊,这个是你报告单上写上可以会诊就可以了啊,去不去和你无关,不去会诊出了什么事情临床医生又不给你担着

0
回复

zhenshijian 离线

帖子:1069
粉蓝豆:91
经验:1364
注册时间:2008-04-20
加关注  |  发消息
6 楼    发表于2012-04-15 18:59:08举报|引用
返回顶部 | 快捷回复

涎腺型恶性肿瘤?

0
回复

临床医生 离线

帖子:158
粉蓝豆:4
经验:239
注册时间:2009-08-01
加关注  |  发消息
7 楼    发表于2012-04-15 20:42:31举报|引用
返回顶部 | 快捷回复

微囊、细胞梭形或立方、癌巢周边细胞见栅栏状,不能排除基底细胞样癌。

0
回复

hu8afu 离线

帖子:1177
粉蓝豆:35
经验:1230
注册时间:2009-02-11
加关注  |  发消息
8 楼    发表于2012-04-15 20:56:12举报|引用
返回顶部 | 快捷回复

腺癌

0
回复

lcyxxm 离线

帖子:13332
粉蓝豆:9
经验:14051
注册时间:2006-10-25
加关注  |  发消息
9 楼    发表于2012-04-15 20:56:20举报|引用
返回顶部 | 快捷回复

低分化癌,腺癌可能性大

0
回复
signature

刀尖上的舞者 离线

帖子:1763
粉蓝豆:87
经验:3356
注册时间:2010-12-14
加关注  |  发消息
4 楼    发表于2012-03-23 15:14:44举报|引用
返回顶部 | 快捷回复
引用 3 楼 ahhbhzlin 在 2012-03-21 20:35:48 的发言:

低分化癌,可能伴神经内分泌分化。不能标记也要建议会诊,去不去是他们的事


0
回复

wfbjwt 离线

帖子:6628
粉蓝豆:163
经验:7418
注册时间:2006-10-08
加关注  |  发消息
1 楼    发表于2012-03-21 19:53:45举报|引用
返回顶部 | 快捷回复

NT。需计数分裂像分级。

0
回复
signature
嫁人就嫁灰太狼,学习要上华夏网。
回复:11 阅读:3820
共1页/11条首页上一页1下一页尾页
【免责声明】讨论内容仅作学术交流之用,不作为诊疗依据,由此而引起的法律问题作者及本站不承担任何责任。
快速回复
进入高级回复
您最多可输入10000个汉字,按 "Ctrl" + "Enter" 直接发送
搜索回复/乘电梯 ×
按内容
按会员
乘电梯
合作伙伴
友情链接