回复:11 阅读:3821
肺部肿瘤--类癌?求助大家

人到中年 离线

帖子:25
粉蓝豆:1
经验:43
注册时间:2010-11-16
加关注  |  发消息
楼主 发表于 2012-03-21 19:07|举报|关注(1)
浏览排序[ 顺序 逆序 楼主 支持 精彩 ]  快捷回复

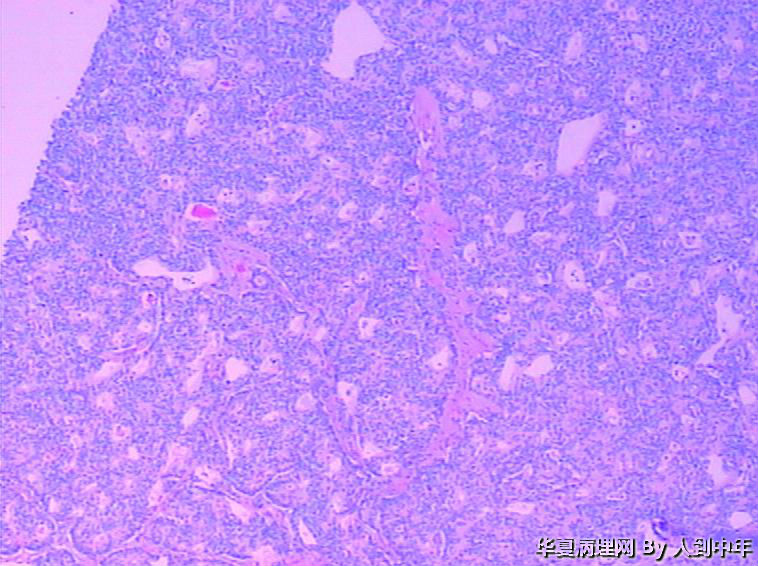
患者,男性,72岁,右肺中叶占位,肺门部肿物,散在多结节状,直径0.2-2.2cm。

没见过,我们也没有免疫组化,全靠HE。临床就想诊断了肿瘤让患者出院,我还想让患者去肿瘤会诊?大家怎么诊断?遇到临床不想会诊这种情况又如何办?

  • 肺部肿瘤--类癌?求助大家图1
    图1
  • 肺部肿瘤--类癌?求助大家图2
    图2
  • 肺部肿瘤--类癌?求助大家图3
    图3
  • 肺部肿瘤--类癌?求助大家图4
    图4
  • 肺部肿瘤--类癌?求助大家图5
    图5
  • 肺部肿瘤--类癌?求助大家图6
    图6
  • 肺部肿瘤--类癌?求助大家图7
    图7
  • 肺部肿瘤--类癌?求助大家图8
    图8
  • 肺部肿瘤--类癌?求助大家图9
    图9
  • 肺部肿瘤--类癌?求助大家图10
    图10
  • 肺部肿瘤--类癌?求助大家图11
    图11
  • 肺部肿瘤--类癌?求助大家图12
    图12
  • 肺部肿瘤--类癌?求助大家图13
    图13
  • 肺部肿瘤--类癌?求助大家图14
    图14
  • 肺部肿瘤--类癌?求助大家图15
    图15
  • 肺部肿瘤--类癌?求助大家图16
    图16
  • 肺部肿瘤--类癌?求助大家图17
    图17
  • 肺部肿瘤--类癌?求助大家图18
    图18
  • 肺部肿瘤--类癌?求助大家图19
    图19
  • 肺部肿瘤--类癌?求助大家图20
    图20
  • 肺部肿瘤--类癌?求助大家图21
    图21
  • 肺部肿瘤--类癌?求助大家图22
    图22
  • 肺部肿瘤--类癌?求助大家图23
    图23
  • 肺部肿瘤--类癌?求助大家图24
    图24
  • 肺部肿瘤--类癌?求助大家图25
    图25
  • 肺部肿瘤--类癌?求助大家图26
    图26

 

 

 

 

 

标签:肺部肿瘤 中央型 类癌 会诊
0
添加参考诊断
×参考诊断
  
回复:11 阅读:3821
【免责声明】讨论内容仅作学术交流之用,不作为诊疗依据,由此而引起的法律问题作者及本站不承担任何责任。
快速回复
进入高级回复
您最多可输入10000个汉字,按 "Ctrl" + "Enter" 直接发送
搜索回复/乘电梯 ×
按内容
按会员
乘电梯
合作伙伴
友情链接