共1页/20条首页上一页1下一页尾页
回复:20 阅读:4943
40岁,体检病人TCT——有活检结果

apple89 离线

帖子:452
粉蓝豆:862
经验:1633
注册时间:2007-07-01
加关注  |  发消息
楼主 发表于 2012-03-01 22:49|举报|关注(2)
浏览排序[ 顺序 逆序 楼主 支持 精彩 ]  快捷回复

患者40岁,妇科门诊体检病人,无病史 

  • 40岁,体检病人TCT——有活检结果图1
    图1
  • 40岁,体检病人TCT——有活检结果图2
    图2
  • 40岁,体检病人TCT——有活检结果图3
    图3
  • 40岁,体检病人TCT——有活检结果图4
    图4
  • 40岁,体检病人TCT——有活检结果图5
    图5
  • 40岁,体检病人TCT——有活检结果图6
    图6
  • 40岁,体检病人TCT——有活检结果图7
    图7
  • 40岁,体检病人TCT——有活检结果图8
    图8
  • 40岁,体检病人TCT——有活检结果图9
    图9
  • 40岁,体检病人TCT——有活检结果图10
    图10
  • 40岁,体检病人TCT——有活检结果图11
    图11
  • 40岁,体检病人TCT——有活检结果图12
    图12
  • 40岁,体检病人TCT——有活检结果图13
    图13
  • 40岁,体检病人TCT——有活检结果图14
    图14
  • 40岁,体检病人TCT——有活检结果图15
    图15
  • 40岁,体检病人TCT——有活检结果图16
    图16
  • 40岁,体检病人TCT——有活检结果图17
    图17
  • 40岁,体检病人TCT——有活检结果图18
    图18
  • 40岁,体检病人TCT——有活检结果图19
    图19
  • 40岁,体检病人TCT——有活检结果图20
    图20
  • 40岁,体检病人TCT——有活检结果图21
    图21
  • 40岁,体检病人TCT——有活检结果图22
    图22
  • 40岁,体检病人TCT——有活检结果图23
    图23
  • 40岁,体检病人TCT——有活检结果图24
    图24
  • 40岁,体检病人TCT——有活检结果图25
    图25
  • 40岁,体检病人TCT——有活检结果图26
    图26
  • 40岁,体检病人TCT——有活检结果图27
    图27
  • 40岁,体检病人TCT——有活检结果图28
    图28
  • 40岁,体检病人TCT——有活检结果图29
    图29
  • 40岁,体检病人TCT——有活检结果图30
    图30
  • 40岁,体检病人TCT——有活检结果图31
    图31
  • 40岁,体检病人TCT——有活检结果图32
    图32
  • 40岁,体检病人TCT——有活检结果图33
    图33
  • 40岁,体检病人TCT——有活检结果图34
    图34
  • 40岁,体检病人TCT——有活检结果图35
    图35
  • 40岁,体检病人TCT——有活检结果图36
    图36
  • 40岁,体检病人TCT——有活检结果图37
    图37
  • 40岁,体检病人TCT——有活检结果图38
    图38
  • 40岁,体检病人TCT——有活检结果图39
    图39
  • 40岁,体检病人TCT——有活检结果图40
    图40
  • 40岁,体检病人TCT——有活检结果图41
    图41
  • 40岁,体检病人TCT——有活检结果图42
    图42
  • 40岁,体检病人TCT——有活检结果图43
    图43
标签:
本帖最后由 apple89 于 2012-03-02 20:35:43 编辑
0
signature

2023心想事成!

×参考诊断
HSIL

xiaogang 离线

帖子:5664
粉蓝豆:48
经验:6068
注册时间:2008-12-18
加关注  |  发消息
1 楼    发表于2012-03-02 08:15:59举报|引用
返回顶部 | 快捷回复

总体“良性”感觉,

建议随访观察。

0
回复

flj20092049 离线

帖子:212
粉蓝豆:9
经验:470
注册时间:2011-11-23
加关注  |  发消息
2 楼    发表于2012-03-02 10:34:18举报|引用
返回顶部 | 快捷回复

良性的,部分淡染的小细胞团考虑是内膜间质,如图20

0
回复
signature

灰太狼2009 离线

帖子:1067
粉蓝豆:3
经验:1144
注册时间:2009-10-30
加关注  |  发消息
3 楼    发表于2012-03-02 13:15:51举报|引用
返回顶部 | 快捷回复

不敢放过

0
回复

apple89 离线

帖子:452
粉蓝豆:862
经验:1633
注册时间:2007-07-01
加关注  |  发消息
4 楼    发表于2012-03-02 20:35:01举报|引用
返回顶部 | 快捷回复

 这一例有活检结果,大家继续讨论。我采了活检图在电脑放住了,过几天上传。

0
回复
signature

2023心想事成!

晨风 离线

帖子:240
粉蓝豆:41
经验:473
注册时间:2008-11-10
加关注  |  发消息
5 楼    发表于2012-03-03 07:35:36举报|引用
返回顶部 | 快捷回复

我觉得有问题,我报ASC-H,感觉问题还要严重一点。

0
回复

www810910 离线

帖子:5455
粉蓝豆:349
经验:7608
注册时间:2010-05-27
加关注  |  发消息
6 楼    发表于2012-03-03 17:21:20举报|引用
返回顶部 | 快捷回复

裸核很多,染色质细腻均匀,异型性不大;另外还可以看到宫颈管细胞、双核细胞,有个别细胞内还可以看到角化珠;总体给人的直觉是没有问题,但是图10、13会让你感觉不是很放心,不能放过此例,ASC-US。

0
回复
signature
做人要知足,做事要知不足,做学问要不知足!

涢水清- 离线

帖子:2045
粉蓝豆:9
经验:2208
注册时间:2010-04-19
加关注  |  发消息
7 楼    发表于2012-03-03 20:40:17举报|引用
返回顶部 | 快捷回复

12、13图可以看到角化不良细胞及高核浆比的异常鳞状细胞,还有一些图也可以看到问题细胞,很多的细胞珠存在,应该是ASC-H,阴道镜+宫颈活检

1

mmmjjj22..
回复

apple89 离线

帖子:452
粉蓝豆:862
经验:1633
注册时间:2007-07-01
加关注  |  发消息
8 楼    发表于2012-03-03 21:24:52举报|引用
返回顶部 | 快捷回复

 这一例真的 很多非典型的角化珠存在。我的图是用发报告采图的那个软件采的,图片不是太清晰,虽然我做了后期锐化处理,效果还是不如镜下看的好。明天我会把活检图片上传。

0
回复
signature

2023心想事成!

lymell 离线

帖子:91
粉蓝豆:16
经验:232
注册时间:2010-09-27
加关注  |  发消息
9 楼    发表于2012-03-03 22:30:39举报|引用
返回顶部 | 快捷回复

感觉不能放过,最起码报个ASC-US。

0
回复
signature
李玉梅

清香情浓 离线

帖子:1101
粉蓝豆:2839
经验:1371
注册时间:2009-09-24
加关注  |  发消息
10 楼    发表于2012-03-04 00:11:05举报|引用
返回顶部 | 快捷回复

ASC-H,图24那样的细胞不放心,要么没问题,有问题都可能是个鳞癌。

0
回复
signature
清香淡淡,情深为浓。

巴山夜雨涨秋池 离线

帖子:12152
粉蓝豆:77
经验:12941
注册时间:2009-01-25
加关注  |  发消息
11 楼    发表于2012-03-04 08:10:57举报|引用
返回顶部 | 快捷回复

hsil-scc

0
回复
signature

body>h1>span>...................This signature is very handsome.

xiaogang 离线

帖子:5664
粉蓝豆:48
经验:6068
注册时间:2008-12-18
加关注  |  发消息
12 楼    发表于2012-03-04 09:04:36举报|引用
返回顶部 | 快捷回复

再看后,同意几位老师的意见;

少数细胞有异型、梭性,和不清楚的角化珠,可以考虑“高度病变”。

0
回复

洋洋洒洒 离线

帖子:1445
粉蓝豆:256
经验:2479
注册时间:2010-12-13
加关注  |  发消息
13 楼    发表于2012-03-04 12:30:52举报|引用
返回顶部 | 快捷回复

HSIL

0
回复

apple89 离线

帖子:452
粉蓝豆:862
经验:1633
注册时间:2007-07-01
加关注  |  发消息
14 楼    发表于2012-03-04 12:34:40举报|引用
返回顶部 | 快捷回复
本帖最后由 apple89 于 2012-03-04 12:36:53 编辑

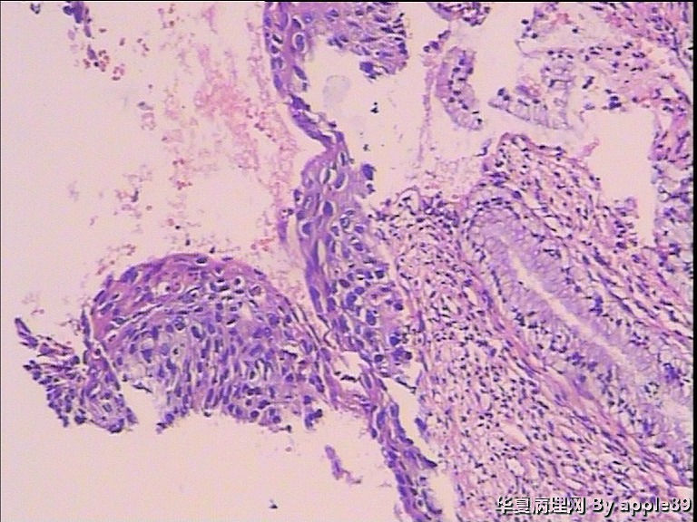
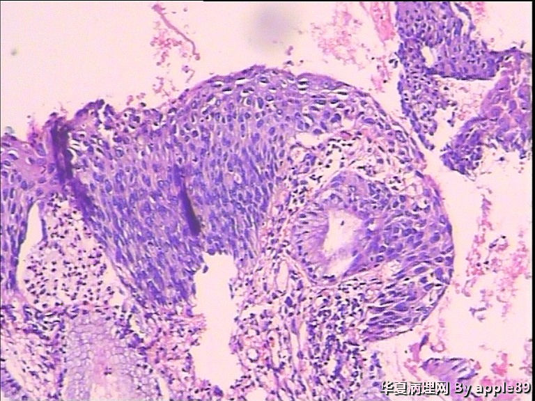
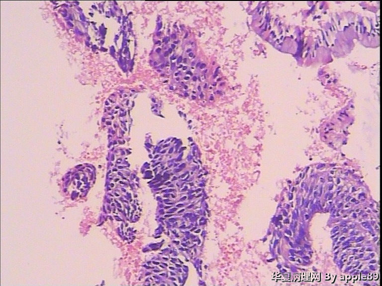
 这例我报的HSIL,建议阴道镜活检,后来病人活检了,图片如下,组织有点碎,片子刚做好我就拿出来采图了,也许补切过后会更好看点

  • 图1
  • 图2
  • 图3
  • 图4
  • 图5

0
回复
signature

2023心想事成!

米迷 离线

帖子:9
粉蓝豆:1
经验:381
注册时间:2011-12-08
加关注  |  发消息
15 楼    发表于2012-03-04 12:38:38举报|引用
返回顶部 | 快捷回复

报ASC-US比较稳妥,该例考虑有病毒感染 角珠样结构中心的大核样结构是否为病毒核内包涵体

0
回复

apple89 离线

帖子:452
粉蓝豆:862
经验:1633
注册时间:2007-07-01
加关注  |  发消息
16 楼    发表于2012-03-04 12:47:34举报|引用
返回顶部 | 快捷回复

 这个病人活检的片子补切后我会再看看,必要的话再采几张图上来,TCT看到很多角化珠样的东东,但是活检一点都没有,不知道是没有钳到还是没切到还是本来就没有。如果这个病人有进一步的治疗如leep刀的话,我会继续关注。

0
回复
signature

2023心想事成!

蓝月 离线

帖子:1245
粉蓝豆:376
经验:1966
注册时间:2007-12-18
加关注  |  发消息
17 楼    发表于2012-03-26 20:52:55举报|引用
返回顶部 | 快捷回复

谢谢apple89 老师提供的好病例,学习了。

0
回复

ynzy1 离线

帖子:187
粉蓝豆:252
经验:844
注册时间:2009-06-08
加关注  |  发消息
18 楼    发表于2012-03-27 19:04:56举报|引用
返回顶部 | 快捷回复

我觉得细胞有退变,但是不能放过,报ASC-US,建议活检和Leep刀。

0
回复
signature
张银

yuhuimin 离线

帖子:80
粉蓝豆:217
经验:112
注册时间:2007-04-18
加关注  |  发消息
19 楼    发表于2012-03-27 21:08:04举报|引用
返回顶部 | 快捷回复

HSIL

0
回复

常乐无限 离线

帖子:768
粉蓝豆:23
经验:833
注册时间:2012-07-02
加关注  |  发消息
20 楼    发表于2012-07-23 10:33:54举报|引用
返回顶部 | 快捷回复

细胞学报告:HSIL

0
回复
signature
从微观世界寻求真理,是一件快乐的事情!
回复:20 阅读:4943
共1页/20条首页上一页1下一页尾页
【免责声明】讨论内容仅作学术交流之用,不作为诊疗依据,由此而引起的法律问题作者及本站不承担任何责任。
快速回复
进入高级回复
您最多可输入10000个汉字,按 "Ctrl" + "Enter" 直接发送
搜索回复/乘电梯 ×
按内容
按会员
乘电梯
合作伙伴
友情链接