共1页/4条首页上一页1下一页尾页
回复:20 阅读:4933
40岁,体检病人TCT——有活检结果

apple89 离线

帖子:452
粉蓝豆:862
经验:1633
注册时间:2007-07-01
加关注  |  发消息
楼主 发表于 2012-03-01 22:49|举报|关注(2)
浏览排序[ 顺序 逆序 楼主 支持 精彩 ]  快捷回复

患者40岁,妇科门诊体检病人,无病史 

  • 40岁,体检病人TCT——有活检结果图1
    图1
  • 40岁,体检病人TCT——有活检结果图2
    图2
  • 40岁,体检病人TCT——有活检结果图3
    图3
  • 40岁,体检病人TCT——有活检结果图4
    图4
  • 40岁,体检病人TCT——有活检结果图5
    图5
  • 40岁,体检病人TCT——有活检结果图6
    图6
  • 40岁,体检病人TCT——有活检结果图7
    图7
  • 40岁,体检病人TCT——有活检结果图8
    图8
  • 40岁,体检病人TCT——有活检结果图9
    图9
  • 40岁,体检病人TCT——有活检结果图10
    图10
  • 40岁,体检病人TCT——有活检结果图11
    图11
  • 40岁,体检病人TCT——有活检结果图12
    图12
  • 40岁,体检病人TCT——有活检结果图13
    图13
  • 40岁,体检病人TCT——有活检结果图14
    图14
  • 40岁,体检病人TCT——有活检结果图15
    图15
  • 40岁,体检病人TCT——有活检结果图16
    图16
  • 40岁,体检病人TCT——有活检结果图17
    图17
  • 40岁,体检病人TCT——有活检结果图18
    图18
  • 40岁,体检病人TCT——有活检结果图19
    图19
  • 40岁,体检病人TCT——有活检结果图20
    图20
  • 40岁,体检病人TCT——有活检结果图21
    图21
  • 40岁,体检病人TCT——有活检结果图22
    图22
  • 40岁,体检病人TCT——有活检结果图23
    图23
  • 40岁,体检病人TCT——有活检结果图24
    图24
  • 40岁,体检病人TCT——有活检结果图25
    图25
  • 40岁,体检病人TCT——有活检结果图26
    图26
  • 40岁,体检病人TCT——有活检结果图27
    图27
  • 40岁,体检病人TCT——有活检结果图28
    图28
  • 40岁,体检病人TCT——有活检结果图29
    图29
  • 40岁,体检病人TCT——有活检结果图30
    图30
  • 40岁,体检病人TCT——有活检结果图31
    图31
  • 40岁,体检病人TCT——有活检结果图32
    图32
  • 40岁,体检病人TCT——有活检结果图33
    图33
  • 40岁,体检病人TCT——有活检结果图34
    图34
  • 40岁,体检病人TCT——有活检结果图35
    图35
  • 40岁,体检病人TCT——有活检结果图36
    图36
  • 40岁,体检病人TCT——有活检结果图37
    图37
  • 40岁,体检病人TCT——有活检结果图38
    图38
  • 40岁,体检病人TCT——有活检结果图39
    图39
  • 40岁,体检病人TCT——有活检结果图40
    图40
  • 40岁,体检病人TCT——有活检结果图41
    图41
  • 40岁,体检病人TCT——有活检结果图42
    图42
  • 40岁,体检病人TCT——有活检结果图43
    图43
标签:
本帖最后由 apple89 于 2012-03-02 20:35:43 编辑
0
signature

2023心想事成!

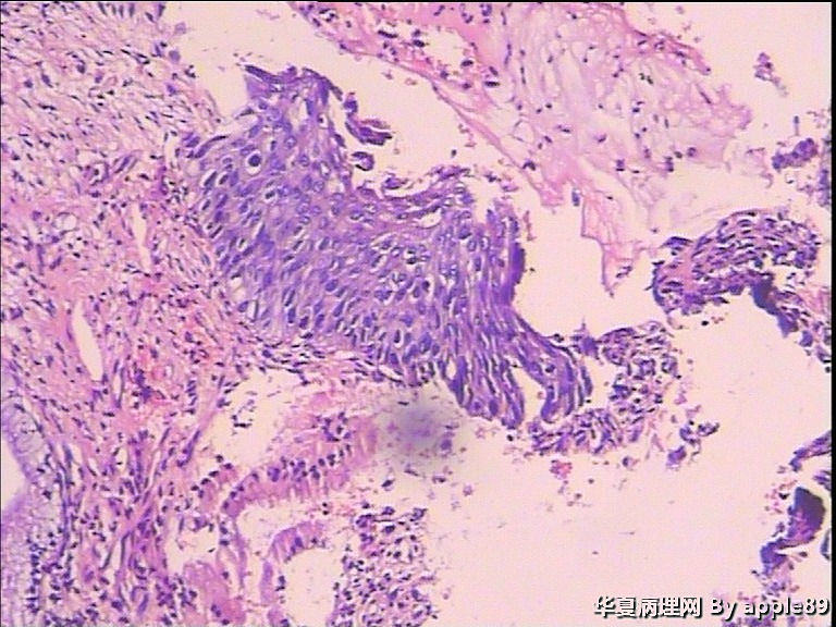
×参考诊断
HSIL

apple89 离线

帖子:452
粉蓝豆:862
经验:1633
注册时间:2007-07-01
加关注  |  发消息
16 楼    发表于2012-03-04 12:47:34举报|引用
返回顶部 | 快捷回复

 这个病人活检的片子补切后我会再看看,必要的话再采几张图上来,TCT看到很多角化珠样的东东,但是活检一点都没有,不知道是没有钳到还是没切到还是本来就没有。如果这个病人有进一步的治疗如leep刀的话,我会继续关注。

0
回复
signature

2023心想事成!

apple89 离线

帖子:452
粉蓝豆:862
经验:1633
注册时间:2007-07-01
加关注  |  发消息
14 楼    发表于2012-03-04 12:34:40举报|引用
返回顶部 | 快捷回复
本帖最后由 apple89 于 2012-03-04 12:36:53 编辑

 这例我报的HSIL,建议阴道镜活检,后来病人活检了,图片如下,组织有点碎,片子刚做好我就拿出来采图了,也许补切过后会更好看点

  • 图1
  • 图2
  • 图3
  • 图4
  • 图5

0
回复
signature

2023心想事成!

apple89 离线

帖子:452
粉蓝豆:862
经验:1633
注册时间:2007-07-01
加关注  |  发消息
8 楼    发表于2012-03-03 21:24:52举报|引用
返回顶部 | 快捷回复

 这一例真的 很多非典型的角化珠存在。我的图是用发报告采图的那个软件采的,图片不是太清晰,虽然我做了后期锐化处理,效果还是不如镜下看的好。明天我会把活检图片上传。

0
回复
signature

2023心想事成!

apple89 离线

帖子:452
粉蓝豆:862
经验:1633
注册时间:2007-07-01
加关注  |  发消息
4 楼    发表于2012-03-02 20:35:01举报|引用
返回顶部 | 快捷回复

 这一例有活检结果,大家继续讨论。我采了活检图在电脑放住了,过几天上传。

0
回复
signature

2023心想事成!

回复:20 阅读:4933
共1页/4条首页上一页1下一页尾页
【免责声明】讨论内容仅作学术交流之用,不作为诊疗依据,由此而引起的法律问题作者及本站不承担任何责任。
快速回复
进入高级回复
您最多可输入10000个汉字,按 "Ctrl" + "Enter" 直接发送
搜索回复/乘电梯 ×
按内容
按会员
乘电梯
合作伙伴
友情链接