共1页/8条首页上一页1下一页尾页
回复:8 阅读:2401
子宫肿瘤

静静地听 离线

帖子:177
粉蓝豆:60
经验:780
注册时间:2010-03-25
加关注  |  发消息
楼主 发表于 2012-02-28 17:41|举报|关注(2)
浏览排序[ 顺序 逆序 楼主 支持 精彩 ]  快捷回复
  • 子宫肿瘤图1
    图1
  • 子宫肿瘤图2
    图2
  • 子宫肿瘤图3
    图3
  • 子宫肿瘤图4
    图4
  • 子宫肿瘤图5
    图5
  • 子宫肿瘤图6
    图6
  • 子宫肿瘤图7
    图7
  • 子宫肿瘤图8
    图8
  • 子宫肿瘤图9
    图9

 

标签:
0
添加参考诊断
×参考诊断
  

静静地听 离线

帖子:177
粉蓝豆:60
经验:780
注册时间:2010-03-25
加关注  |  发消息
1 楼    发表于2012-02-28 17:45:39举报|引用
返回顶部 | 快捷回复

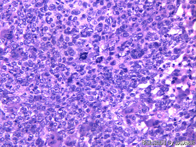
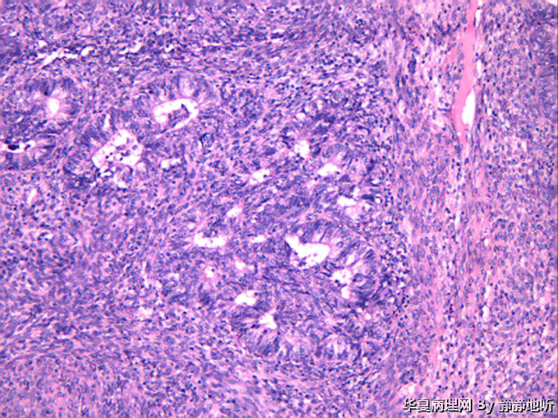
女性46岁,子宫峡部肿瘤,息肉样,体积3.5*4*3厘米,脱入宫颈,大体侵肌层。子宫肌壁明显增厚,大体似子宫腺肌症。

0
回复

cklas 离线

帖子:880
粉蓝豆:0
经验:1016
注册时间:2011-05-19
加关注  |  发消息
2 楼    发表于2012-02-28 18:02:19举报|引用
返回顶部 | 快捷回复

恶性:腺癌?类癌?

0
回复
signature
从事病理需要付出更多!并非人人都适合本专业!

zhouquan 离线

帖子:7752
粉蓝豆:302
经验:8263
注册时间:2008-11-09
加关注  |  发消息
3 楼    发表于2012-02-28 18:18:17举报|引用
返回顶部 | 快捷回复

低分化子宫内膜样腺癌

0
回复
signature
成功不是得到多少东西,而是把身上多余的东西的扔掉多少。   

lvyinhua 离线

帖子:832
粉蓝豆:35
经验:1180
注册时间:2012-01-09
加关注  |  发消息
4 楼    发表于2012-02-28 19:13:21举报|引用
返回顶部 | 快捷回复

子宫内膜样腺癌

0
回复

田园 离线

帖子:165
粉蓝豆:445
经验:790
注册时间:2007-12-01
加关注  |  发消息
5 楼    发表于2012-02-28 19:13:33举报|引用
返回顶部 | 快捷回复

恶性肿瘤,倾向癌肉瘤

0
回复
signature
田园

zysy 离线

帖子:71
粉蓝豆:21
经验:267
注册时间:2009-05-10
加关注  |  发消息
6 楼    发表于2012-02-28 19:22:05举报|引用
返回顶部 | 快捷回复
引用 3 楼 zhouquan 在 2012-02-28 18:18:17 的发言:

低分化子宫内膜样腺癌


0
回复

greatcyz 离线

帖子:158
粉蓝豆:25
经验:168
注册时间:2008-04-01
加关注  |  发消息
7 楼    发表于2012-02-28 19:25:28举报|引用
返回顶部 | 快捷回复
恶性腺癌,分化差,希望有免疫组化鉴别下来源,需除外恶性苗勒混合瘤
0
回复
signature
幸福就是每天变得比昨天更智慧,更健康,更博爱,更宽怀。

静静地听 离线

帖子:177
粉蓝豆:60
经验:780
注册时间:2010-03-25
加关注  |  发消息
8 楼    发表于2012-02-28 21:44:12举报|引用
返回顶部 | 快捷回复

免疫组化:ck7-    CEA-    ER -   PR -   CD10 -   Vimentin -   ki-67 约60%

0
回复
回复:8 阅读:2401
共1页/8条首页上一页1下一页尾页
【免责声明】讨论内容仅作学术交流之用,不作为诊疗依据,由此而引起的法律问题作者及本站不承担任何责任。
快速回复
进入高级回复
您最多可输入10000个汉字,按 "Ctrl" + "Enter" 直接发送
搜索回复/乘电梯 ×
按内容
按会员
乘电梯
合作伙伴
友情链接