共1页/2条首页上一页1下一页尾页
回复:8 阅读:2407
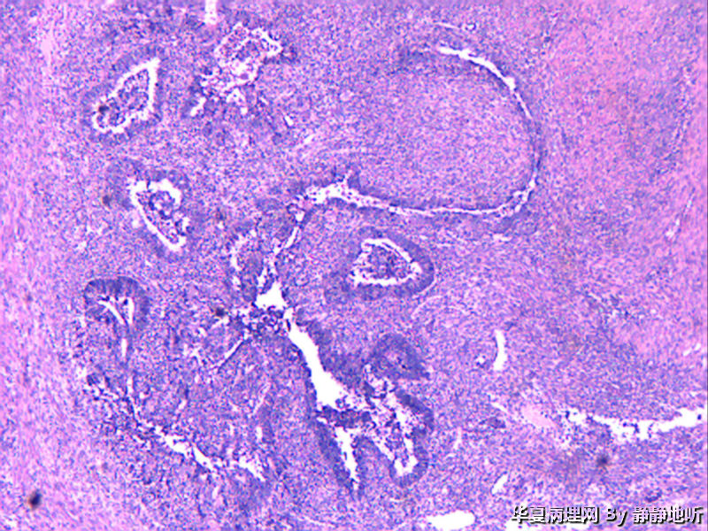
子宫肿瘤

静静地听 离线

帖子:177
粉蓝豆:60
经验:780
注册时间:2010-03-25
加关注  |  发消息
楼主 发表于 2012-02-28 17:41|举报|关注(2)
浏览排序[ 顺序 逆序 楼主 支持 精彩 ]  快捷回复
  • 子宫肿瘤图1
    图1
  • 子宫肿瘤图2
    图2
  • 子宫肿瘤图3
    图3
  • 子宫肿瘤图4
    图4
  • 子宫肿瘤图5
    图5
  • 子宫肿瘤图6
    图6
  • 子宫肿瘤图7
    图7
  • 子宫肿瘤图8
    图8
  • 子宫肿瘤图9
    图9

 

标签:
0
添加参考诊断
×参考诊断
  

静静地听 离线

帖子:177
粉蓝豆:60
经验:780
注册时间:2010-03-25
加关注  |  发消息
8 楼    发表于2012-02-28 21:44:12举报|引用
返回顶部 | 快捷回复

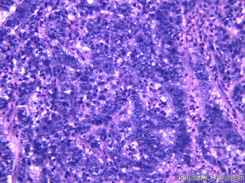
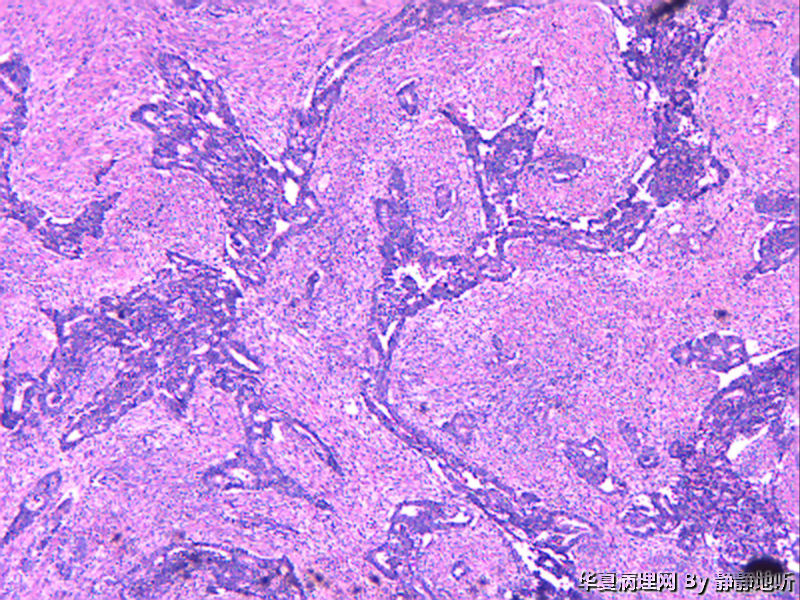
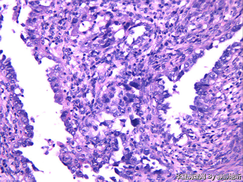
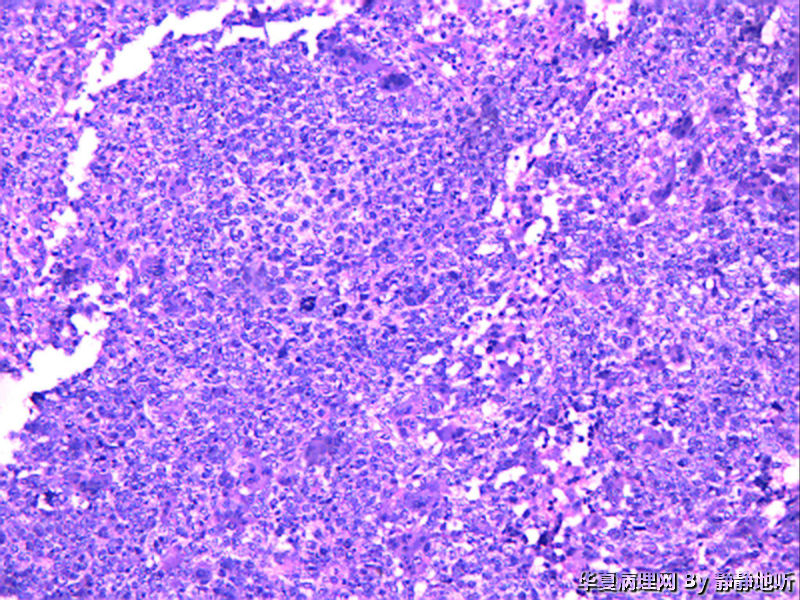
免疫组化:ck7-    CEA-    ER -   PR -   CD10 -   Vimentin -   ki-67 约60%

0
回复

静静地听 离线

帖子:177
粉蓝豆:60
经验:780
注册时间:2010-03-25
加关注  |  发消息
1 楼    发表于2012-02-28 17:45:39举报|引用
返回顶部 | 快捷回复

女性46岁,子宫峡部肿瘤,息肉样,体积3.5*4*3厘米,脱入宫颈,大体侵肌层。子宫肌壁明显增厚,大体似子宫腺肌症。

0
回复
回复:8 阅读:2407
共1页/2条首页上一页1下一页尾页
【免责声明】讨论内容仅作学术交流之用,不作为诊疗依据,由此而引起的法律问题作者及本站不承担任何责任。
快速回复
进入高级回复
您最多可输入10000个汉字,按 "Ctrl" + "Enter" 直接发送
搜索回复/乘电梯 ×
按内容
按会员
乘电梯
合作伙伴
友情链接