回复:15 阅读:9227
病例1-摘自UPMC Web Cases

lzaibo 离线

帖子:11
粉蓝豆:1
经验:16
注册时间:2012-02-23
加关注  |  发消息
楼主 发表于 2012-02-24 06:43|举报|关注(3)
浏览排序[ 顺序 逆序 楼主 支持 精彩 ]  快捷回复

51岁女性表现为慢性疲劳和虚弱持续约6个月。 CT扫描显示左肾脏巨大肿块。病人接受根治性肾切除术。

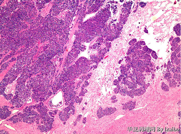
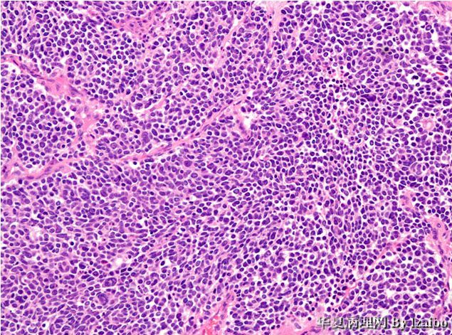
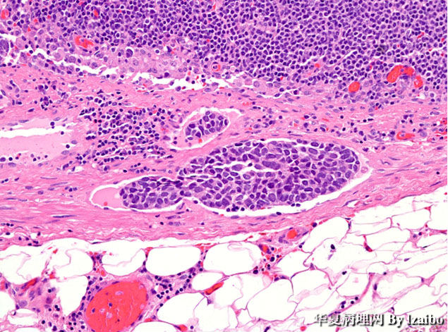
大体标本描述:肿块位于左肾上极,大小为15×9×8.5厘米。切面上,肿瘤为黄色,并具有散落的白色区域和偶尔出血区,没有明显坏死区。肿瘤非常接近血管,但大体上没有侵入到血管壁。大体上可见肿瘤侵犯输尿管和骨盆(图1和图2)。显微图片(图3-7)。

  • 病例1-摘自UPMC Web Cases图1
    图1
  • 病例1-摘自UPMC Web Cases图2
    图2
  • 病例1-摘自UPMC Web Cases图3
    图3
  • 病例1-摘自UPMC Web Cases图4
    图4
  • 病例1-摘自UPMC Web Cases图5
    图5
  • 病例1-摘自UPMC Web Cases图6
    图6
  • 病例1-摘自UPMC Web Cases图7
    图7
标签:
本帖最后由 lzaibo 于 2012-02-24 08:05:43 编辑
0
添加参考诊断
×参考诊断
  
回复:15 阅读:9227
【免责声明】讨论内容仅作学术交流之用,不作为诊疗依据,由此而引起的法律问题作者及本站不承担任何责任。
快速回复
进入高级回复
您最多可输入10000个汉字,按 "Ctrl" + "Enter" 直接发送
搜索回复/乘电梯 ×
按内容
按会员
乘电梯
合作伙伴
友情链接