共1页/15条首页上一页1下一页尾页
回复:15 阅读:9226
病例1-摘自UPMC Web Cases

lzaibo 离线

帖子:11
粉蓝豆:1
经验:16
注册时间:2012-02-23
加关注  |  发消息
楼主 发表于 2012-02-24 06:43|举报|关注(3)
浏览排序[ 顺序 逆序 楼主 支持 精彩 ]  快捷回复

51岁女性表现为慢性疲劳和虚弱持续约6个月。 CT扫描显示左肾脏巨大肿块。病人接受根治性肾切除术。

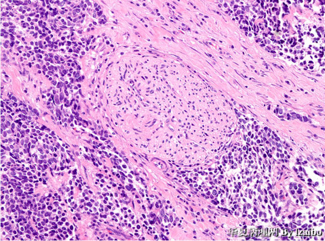
大体标本描述:肿块位于左肾上极,大小为15×9×8.5厘米。切面上,肿瘤为黄色,并具有散落的白色区域和偶尔出血区,没有明显坏死区。肿瘤非常接近血管,但大体上没有侵入到血管壁。大体上可见肿瘤侵犯输尿管和骨盆(图1和图2)。显微图片(图3-7)。

  • 病例1-摘自UPMC Web Cases图1
    图1
  • 病例1-摘自UPMC Web Cases图2
    图2
  • 病例1-摘自UPMC Web Cases图3
    图3
  • 病例1-摘自UPMC Web Cases图4
    图4
  • 病例1-摘自UPMC Web Cases图5
    图5
  • 病例1-摘自UPMC Web Cases图6
    图6
  • 病例1-摘自UPMC Web Cases图7
    图7
标签:
本帖最后由 lzaibo 于 2012-02-24 08:05:43 编辑
0
添加参考诊断
×参考诊断
  

水若寒 离线

帖子:1019
粉蓝豆:971
经验:1383
注册时间:2009-09-23
加关注  |  发消息
2 楼    发表于2012-02-24 12:25:40举报|引用
返回顶部 | 快捷回复

血管内癌栓,神经累犯,染色质细腻。

首先考虑:1.低分化神经内分泌癌(小细胞癌),原发?or转移?

                  2.高级别尿路上皮癌伴神经内分泌分化(原发or 转移)

鉴别:1.少见的PNET.

           2.滑模肉瘤。

           3.肉瘤样肾细胞癌。

4

jiangxia..

风和日丽

冰洋

lzhlyb
回复

sdwf春天 离线

帖子:1578
粉蓝豆:6
经验:6121
注册时间:2007-06-19
加关注  |  发消息
6 楼    发表于2012-02-27 11:58:21举报|引用
返回顶部 | 快捷回复
本帖最后由 sdwf春天 于 2012-02-27 11:59:06 编辑

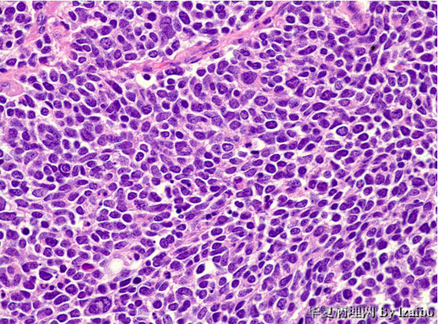
 镜下 肿瘤细胞成巢片状分布,成浸润性生长,侵及神经组织,瘤细胞体积较小,细胞形态呈圆形,椭圆形,短梭形 ,多 角形,核染色质较细腻,核仁不明显,有的隐约可见,胞浆极少。偶就少量的红色胞浆5图,分裂像可见。

                                    诊断 :(左肾上极) PNET.


                                   鉴别诊断:   

                                                       1  小细胞癌神经内分泌癌

                                                       2滑膜肉瘤

                                                       3不排除转移的小细胞性恶性肿瘤

                                                      4髓系肉瘤

                                                      5间变型的肾母细胞瘤

                                免疫组化: CD99  HBA-71  EMA CK Vimentin CD56 NSE  CGA SYN 溶菌酶 MPO WT-1  DESMIN


1

lzhlyb
回复
signature
我喜欢春天,更喜欢华夏病理网

cqzhao 离线

帖子:5518
粉蓝豆:1071
经验:5755
注册时间:2008-09-29
加关注  |  发消息
1 楼    发表于2012-02-24 07:41:53举报|引用
返回顶部 | 快捷回复

 Interesting case.  Thank Dr. Li for edit for this case

0
回复

197 离线

帖子:4781
粉蓝豆:803
经验:5032
注册时间:2006-09-12
加关注  |  发消息
7 楼    发表于2012-02-27 19:36:09举报|引用
返回顶部 | 快捷回复

细胞异型,核沟,坏死,分裂像,血管内瘤栓,神经纤维+-。恶性。

先考虑两个:神经内分泌癌。

?PEComa  应该不会长成这样 。

0
回复
signature
“人生没有彩排,每一天都是现场直播”

德德亦菲 离线

帖子:1087
粉蓝豆:38
经验:1730
注册时间:2009-09-30
加关注  |  发消息
14 楼    发表于2012-09-03 22:22:08举报|引用
返回顶部 | 快捷回复

谢谢李老师,学习了。

0
回复

雅马哈 离线

帖子:1887
粉蓝豆:1112
经验:4171
注册时间:2010-12-12
加关注  |  发消息
15 楼    发表于2012-09-03 22:24:41举报|引用
返回顶部 | 快捷回复

谢谢分享

0
回复

lzaibo 离线

帖子:11
粉蓝豆:1
经验:16
注册时间:2012-02-23
加关注  |  发消息
8 楼    发表于2012-02-29 21:42:52举报|引用
返回顶部 | 快捷回复

 

  • 图1
  • 图2
  • 图3
  • 图4
  • 图5

 

诊断:肾神经内分泌癌。

 

讨论:

 

肾神经内分泌肿瘤(Neuroendocrine Tumors - NETs)非常罕见。虽然第一例肾类癌的报告出现在40年前,但至今总共不到100例(1-9)。虽然已有报告这些肿瘤很少与神经内分泌症状,但由于这些病变罕见,临床表现仍然不太明确。这些肿瘤通常发病于四十岁到五十岁,男性和女性没有区别。最常见的症状是腹痛,腹部肿块,消瘦,和血尿。由于神经内分泌细胞曾没有在肾实质内发现过,诸多假设提出原发性肾神经内分泌肿瘤的起源。这些假设包括胚胎发育过程中埋陷的神经嵴细胞(10),原始全能干细胞神经内分泌的分化(11 -12),以及化生或畸胎上皮的内原有的神经内分泌细胞增生(13 -15)。最近的一项研究表明, 肾细胞系特异性转录因子配对盒基因2(PAX - 2)和配对盒基因8(PAX – 8)并不在肾类癌中表达。

 

跟在其他解剖部位的神经内分泌肿瘤一样,肾神经内分泌肿瘤可以有不同程度的神经内分泌分化[类癌,非典型类癌,小细胞癌(SCC),大细胞神经内分泌癌(LCNEC)]。肾类癌最常见,为低级别神经内分泌肿瘤,但临床可呈现进展性过程。跟其他解剖部位相似,肾脏小细胞癌和大细胞神经内分泌癌为高度侵略性,远处转移常见,预后极差。

 

肾类癌和小细胞癌各有自己的组织学特征,病例医生可基于形态学作出准确诊断。神经内分泌分化标记物的免疫染色可用来确认诊断。Synaptophysin是最敏感的神经内分泌分化标记物。也可用其他神经内分泌分化标记物如chromogranin和CD56,但较不敏感。 跟其他神经内分泌肿瘤相比, 大细胞神经内分泌癌较难以诊断,易与高级别肾细胞癌或尿道上皮癌混淆。意识到大细胞神经内分泌癌可发生于肾脏和认真取材可避免误诊。神经内分泌分化标记物的阳性免疫染色和CD10的阴性免疫染色倾向大细胞神经内分泌癌的诊断。

 

原发性肾神经内分泌肿瘤的主要治疗手段为手术完全切除,这通常可根治局部疾病。然而,小细胞癌和大细胞神经内分泌癌往往尺寸较大,并有肾外扩展,可能不适合完全切除。现在还没有针对局部晚期或转移性肾神经内分泌肿瘤综合治疗标准方案。远处转移的肾神经内分泌肿瘤可以采取放疗和化疗或姑息治疗。


REFERENCES:

 

  1. Gonzalez-Lois C, Madero S, Redondo P, Alonso I, Salas A, Angeles Montalban M. Small cell carcinoma of the kidney: a case report and review of the literature. Arch Pathol Laboratory Med 2001; 125: 796-8
  2. Majhail NS, Elson P, Bukowski RM. Therapy and outcome of small cell carcinoma of the kidney: Report of two cases and a systematic review of the literature. Cancer 2003; 97: 1436-41
  3. Kilicarsalan Akkaya B, Mustafa U, Esin O, Turker K, Gulten K. Primary small cell carcinoma of the kidney. Urol Oncol 2003; 21: 11-3
  4. Kim JH, Lee SH, Park J et al. Extrapulmonary small-cell carcinoma: a single-institution experience. Jpn J Clin Oncol 2004; 34: 250-4
  5. Karadeniz-Bilgili MY, Semelka RC, Hyslop WB et al. MRI findings of primary small-cell carcinoma of kidney. Magn Reson Imaging 2005; 23: 515-7
  6. Chung CH, Park CY. Small cell carcinoma of the kidney. Korean J Intern Med 2006; 21: 191-3
  7. Romero FR, Rais-Bahrami S, Permpongkosol S, Fine SW, Kohanim S, Jarrett TW. Primary carcinoid tumors of the kidney. J Urol 2006; 176: 2359-66
  8. Lane BR, Jour G, Zhou M. Renal neuroendocrine tumors. Indian J Urol. 2009; 25 (2):155-60.
  9. Lane BR, Chery F, Jour G, Sercia L, Magi-Galluzzi C, Novick AC, Zhou M. Renal neuroendocrine tumours: a clinicopathological study. BJU Int. 2007; 100 (5):1030-5.
  10. Zak FG, Jindrak K and Capozzi F. Carcinoidal tumor of the kidney. Ultrastruct Pathol 1983; 4: pp 51 -59.
  11. Unger PD, Russel A and Thung SN et al. Primary renal carcinoid, Arch Pathol Lab Med 1990; 114: pp. 68-71.
  12. Krishnan B, Truong LD and Saleh G et al. Horseshoe kidney is associated with an increased relative risk of primary renal carcinoid tumor, J Urol 1997; 157: pp. 2059-2066.
  13. Kuroda N, Katto K and Tamura M et al. Carcinoid tumor of the renal pelvis: consideration on the histiogenesis, Pathol Int 2008; 58: pp. 51-54.
  14. Kim J and Suh K. Primary carcinoid tumor in a mature teratoma of the kidney: ultrasonographic and computer tomographic findings, J Ultrasound Med 2004; 23: pp. 433-437.
  15. Quinchon JF, Aubert S, Biserte J, Lemaitre L, Gosselin B and Leroy X. Primary atypical carcinoid of the kidney: a classification is needed, Pathology 2003; 35: pp. 353-355.
  16. Jeung JA, Cao D, Selli BW, Clapp WL, Oliai BR, Parwani AV, Allan RW. Primary renal carcinoid tumors: clinicopathologic features of 9 cases with emphasis on novel immunohistochemical findings. Hum Pathol. 2011 Apr 13.
0
回复

cqzhao 离线

帖子:5518
粉蓝豆:1071
经验:5755
注册时间:2008-09-29
加关注  |  发消息
4 楼    发表于2012-02-27 08:00:21举报|引用
返回顶部 | 快捷回复
引用 2 楼 水若寒 在 2012-02-24 12:25:40 的发言:

血管内癌栓,神经累犯,染色质细腻。

首先考虑:1.低分化神经内分泌癌(小细胞癌),原发?or转移?

                  2.高级别尿路上皮癌伴神经内分泌分化(原发or 转移)

鉴别:1.少见的PNET.

           2.滑模肉瘤。

           3.肉瘤样肾细胞癌。

Good analysis

0
回复

荷语莲心 离线

帖子:36
粉蓝豆:15
经验:188
注册时间:2011-07-19
加关注  |  发消息
9 楼    发表于2012-03-04 22:46:05举报|引用
返回顶部 | 快捷回复

好病例。谢谢。

0
回复

失常的比喻 离线

帖子:53
粉蓝豆:52
经验:212
注册时间:2008-11-18
加关注  |  发消息
3 楼    发表于2012-02-26 10:59:00举报|引用
返回顶部 | 快捷回复

小细胞恶性肿瘤考虑:1.恶性横纹肌样瘤;

2.浆细胞淋巴瘤.

3PNET

0
回复

xiaogang 离线

帖子:5664
粉蓝豆:48
经验:6068
注册时间:2008-12-18
加关注  |  发消息
5 楼    发表于2012-02-27 08:25:25举报|引用
返回顶部 | 快捷回复

赞同,肿瘤组织侵犯神经组织、周围软组织、考虑原发恶性肿瘤;

考虑神经内分泌癌。

0
回复

蔷薇 离线

帖子:846
粉蓝豆:40
经验:1591
注册时间:2007-06-25
加关注  |  发消息
11 楼    发表于2012-04-18 23:54:50举报|引用
返回顶部 | 快捷回复

好好学习。谢谢楼主

0
回复
signature
超越自我,自由飞翔!

youthmd 离线

帖子:1005
粉蓝豆:455
经验:4341
注册时间:2009-12-07
加关注  |  发消息
13 楼    发表于2012-06-15 11:15:23举报|引用
返回顶部 | 快捷回复

 学习了!谢谢!

0
回复

chinaroc 离线

帖子:1168
粉蓝豆:924
经验:1343
注册时间:2006-11-01
加关注  |  发消息
12 楼    发表于2012-05-21 22:15:08举报|引用
返回顶部 | 快捷回复

 第一次见到,谢谢!

0
回复
signature
用心做事、真情做人!

jani 离线

帖子:1707
粉蓝豆:46
经验:1808
注册时间:2009-03-21
加关注  |  发消息
10 楼    发表于2012-03-10 11:49:37举报|引用
返回顶部 | 快捷回复

学习了  谢谢楼主!

0
回复
signature
只有做你不会做的事 才能做会所有的事
回复:15 阅读:9226
共1页/15条首页上一页1下一页尾页
【免责声明】讨论内容仅作学术交流之用,不作为诊疗依据,由此而引起的法律问题作者及本站不承担任何责任。
快速回复
进入高级回复
您最多可输入10000个汉字,按 "Ctrl" + "Enter" 直接发送
搜索回复/乘电梯 ×
按内容
按会员
乘电梯
合作伙伴
友情链接