共2页/21条首页上一页12下一页尾页
回复:21 阅读:5230
左颈部肿物

泉水叮咚响 离线

帖子:2163
粉蓝豆:113
经验:11663
注册时间:2010-12-30
加关注  |  发消息
楼主 发表于 2012-02-18 17:26|举报|关注(1)
浏览排序[ 顺序 逆序 楼主 支持 精彩 ]  快捷回复

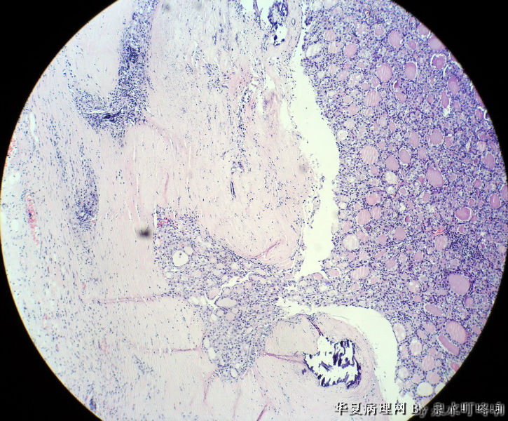
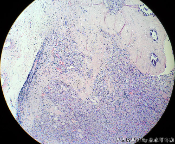
 120212,女,55岁,左颈部肿物七年余。
大体:灰白肿物一个,大小约2.1×1.5×1.3厘米。表面光滑,包膜完整,切面灰白,部分包膜有钙化。
与手术医生沟通,肿物位于左颈部靠近甲状腺部位,比较浅(门诊手术),手术医生认为是淋巴结部位。

  • 左颈部肿物图1
    图1
  • 左颈部肿物图2
    图2
  • 左颈部肿物图3
    图3
  • 左颈部肿物图4
    图4
  • 左颈部肿物图5
    图5
  • 左颈部肿物图6
    图6
  • 左颈部肿物图7
    图7
  • 左颈部肿物图8
    图8
  • 左颈部肿物图9
    图9
  • 左颈部肿物图10
    图10
  • 左颈部肿物图11
    图11
  • 左颈部肿物图12
    图12
  • 左颈部肿物图13
    图13
  • 左颈部肿物图14
    图14
  • 左颈部肿物图15
    图15
标签:
0
signature
刀不磨会生锈,人不学习会落后。
添加参考诊断
×参考诊断
  

zhanglei 离线

帖子:3751
粉蓝豆:2077
经验:3901
注册时间:2006-09-26
加关注  |  发消息
1 楼    发表于2012-02-18 17:44:27举报|引用
返回顶部 | 快捷回复

厚包膜、蕈状浸润----滤泡癌。

0
回复

cklas 离线

帖子:880
粉蓝豆:0
经验:1016
注册时间:2011-05-19
加关注  |  发消息
2 楼    发表于2012-02-18 18:06:29举报|引用
返回顶部 | 快捷回复

滤泡癌转移

0
回复
signature
从事病理需要付出更多!并非人人都适合本专业!

射手笑笑 离线

帖子:1495
粉蓝豆:187
经验:2536
注册时间:2009-05-29
加关注  |  发消息
3 楼    发表于2012-02-18 18:12:31举报|引用
返回顶部 | 快捷回复

滤泡癌

0
回复
signature
人最幸福的一生是人生层次不断上升的一生…… 痛而不言是智慧,笑而不语是豁达……

伊恋佳人 离线

帖子:1258
粉蓝豆:505
经验:1714
注册时间:2010-03-13
加关注  |  发消息
4 楼    发表于2012-02-18 18:56:51举报|引用
返回顶部 | 快捷回复

滤泡癌

0
回复

夏日 离线

帖子:1057
粉蓝豆:45
经验:1529
注册时间:2011-04-05
加关注  |  发消息
5 楼    发表于2012-02-18 19:56:16举报|引用
返回顶部 | 快捷回复
引用 2 楼 cklas 在 2012-02-18 18:06:29 的发言:

滤泡癌转移


0
回复

xinzhu1492 离线

帖子:1038
粉蓝豆:3
经验:2778
注册时间:2008-04-03
加关注  |  发消息
6 楼    发表于2012-02-18 20:34:15举报|引用
返回顶部 | 快捷回复

滤泡癌

0
回复

xiaocaodi 离线

帖子:855
粉蓝豆:46
经验:1917
注册时间:2006-10-21
加关注  |  发消息
7 楼    发表于2012-02-18 21:44:55举报|引用
返回顶部 | 快捷回复

同意甲状腺滤泡癌

0
回复

ahhbhzlin 离线

帖子:3090
粉蓝豆:50
经验:11826
注册时间:2008-07-24
加关注  |  发消息
8 楼    发表于2012-02-18 22:43:48举报|引用
返回顶部 | 快捷回复

甲状腺滤泡癌

0
回复

左右逢源 离线

帖子:2052
粉蓝豆:68
经验:2526
注册时间:2009-12-23
加关注  |  发消息
9 楼    发表于2012-02-18 23:10:11举报|引用
返回顶部 | 快捷回复
引用 2 楼 cklas 在 2012-02-18 18:06:29 的发言:

滤泡癌转移


0
回复
signature
不憧憬明天,不留念昨天,只把握今天。

xuanxuan 离线

帖子:266
粉蓝豆:1
经验:547
注册时间:2010-08-22
加关注  |  发消息
10 楼    发表于2012-02-18 23:59:56举报|引用
返回顶部 | 快捷回复

甲状腺癌转移

0
回复

zhouquan 离线

帖子:7752
粉蓝豆:302
经验:8263
注册时间:2008-11-09
加关注  |  发消息
11 楼    发表于2012-02-19 11:56:59举报|引用
返回顶部 | 快捷回复

滤泡癌,典型

0
回复
signature
成功不是得到多少东西,而是把身上多余的东西的扔掉多少。   

hyl76 离线

帖子:781
粉蓝豆:656
经验:3771
注册时间:2007-06-05
加关注  |  发消息
12 楼    发表于2012-02-20 09:10:06举报|引用
返回顶部 | 快捷回复

甲状腺滤泡癌

0
回复
signature
学无止境,不进则退!

happyxl 离线

帖子:65
粉蓝豆:6
经验:265
注册时间:2011-11-23
加关注  |  发消息
13 楼    发表于2012-02-20 12:39:28举报|引用
返回顶部 | 快捷回复

甲状腺滤泡癌

0
回复
signature
Pathologist is doctor's doctor.

江风海韵 离线

帖子:282
粉蓝豆:117
经验:953
注册时间:2010-07-15
加关注  |  发消息
14 楼    发表于2012-02-20 13:23:13举报|引用
返回顶部 | 快捷回复

甲状腺滤泡性肿瘤,可见包膜及血管侵犯,考虑滤泡癌。

0
回复
signature
以宏观的视野在微观世界里漫游

老黄牛 离线

帖子:108
粉蓝豆:6
经验:138
注册时间:2011-02-10
加关注  |  发消息
15 楼    发表于2012-02-25 08:03:42举报|引用
返回顶部 | 快捷回复

甲状腺滤泡状癌,有包膜浸润及血管内瘤栓

0
回复
signature
李郝

Renghis 离线

帖子:2530
粉蓝豆:92
经验:4081
注册时间:2007-12-13
加关注  |  发消息
16 楼    发表于2012-02-25 08:50:40举报|引用
返回顶部 | 快捷回复

甲状腺滤泡癌

0
回复
signature
重归学生时代!

何生 离线

帖子:1281
粉蓝豆:68
经验:6304
注册时间:2009-04-18
加关注  |  发消息
17 楼    发表于2012-02-25 09:58:00举报|引用
返回顶部 | 快捷回复

甲状腺滤泡癌

0
回复
signature
何生

dbz19701110 离线

帖子:384
粉蓝豆:60
经验:817
注册时间:2008-08-23
加关注  |  发消息
18 楼    发表于2012-02-25 10:25:56举报|引用
返回顶部 | 快捷回复

甲状腺滤泡癌

0
回复
signature
邹冬梅

zhanghx 离线

帖子:197
粉蓝豆:0
经验:243
注册时间:2008-03-22
加关注  |  发消息
19 楼    发表于2012-02-25 22:50:47举报|引用
返回顶部 | 快捷回复

 FC

1

微观世界..
回复

200406 离线

帖子:1385
粉蓝豆:145
经验:2735
注册时间:2011-08-08
加关注  |  发消息
20 楼    发表于2012-02-25 23:01:43举报|引用
返回顶部 | 快捷回复

甲状腺滤泡癌

0
回复
回复:21 阅读:5230
共2页/21条首页上一页12下一页尾页
【免责声明】讨论内容仅作学术交流之用,不作为诊疗依据,由此而引起的法律问题作者及本站不承担任何责任。
快速回复
进入高级回复
您最多可输入10000个汉字,按 "Ctrl" + "Enter" 直接发送
搜索回复/乘电梯 ×
按内容
按会员
乘电梯
合作伙伴
友情链接