共1页/1条首页上一页1下一页尾页
回复:21 阅读:5235
左颈部肿物

泉水叮咚响 离线

帖子:2163
粉蓝豆:113
经验:11663
注册时间:2010-12-30
加关注  |  发消息
楼主 发表于 2012-02-18 17:26|举报|关注(1)
浏览排序[ 顺序 逆序 楼主 支持 精彩 ]  快捷回复

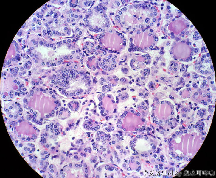
 120212,女,55岁,左颈部肿物七年余。
大体:灰白肿物一个,大小约2.1×1.5×1.3厘米。表面光滑,包膜完整,切面灰白,部分包膜有钙化。
与手术医生沟通,肿物位于左颈部靠近甲状腺部位,比较浅(门诊手术),手术医生认为是淋巴结部位。

  • 左颈部肿物图1
    图1
  • 左颈部肿物图2
    图2
  • 左颈部肿物图3
    图3
  • 左颈部肿物图4
    图4
  • 左颈部肿物图5
    图5
  • 左颈部肿物图6
    图6
  • 左颈部肿物图7
    图7
  • 左颈部肿物图8
    图8
  • 左颈部肿物图9
    图9
  • 左颈部肿物图10
    图10
  • 左颈部肿物图11
    图11
  • 左颈部肿物图12
    图12
  • 左颈部肿物图13
    图13
  • 左颈部肿物图14
    图14
  • 左颈部肿物图15
    图15
标签:
0
signature
刀不磨会生锈,人不学习会落后。
添加参考诊断
×参考诊断
  

泉水叮咚响 离线

帖子:2163
粉蓝豆:113
经验:11663
注册时间:2010-12-30
加关注  |  发消息
21 楼    发表于2012-02-28 14:54:04举报|引用
返回顶部 | 快捷回复

 会诊结果:(颈左)考虑为甲状腺滤泡亚型乳头状癌,请结合临床进一步确认。

0
回复
signature
刀不磨会生锈,人不学习会落后。
回复:21 阅读:5235
共1页/1条首页上一页1下一页尾页
【免责声明】讨论内容仅作学术交流之用,不作为诊疗依据,由此而引起的法律问题作者及本站不承担任何责任。
快速回复
进入高级回复
您最多可输入10000个汉字,按 "Ctrl" + "Enter" 直接发送
搜索回复/乘电梯 ×
按内容
按会员
乘电梯
合作伙伴
友情链接