共2页/33条首页上一页12下一页尾页
回复:33 阅读:6942
求助!面部包块。

wolflovepig 离线

帖子:675
粉蓝豆:55
经验:9062
注册时间:2007-08-25
加关注  |  发消息
楼主 发表于 2012-02-14 16:58|举报|关注(1)
浏览排序[ 顺序 逆序 楼主 支持 精彩 ]  快捷回复

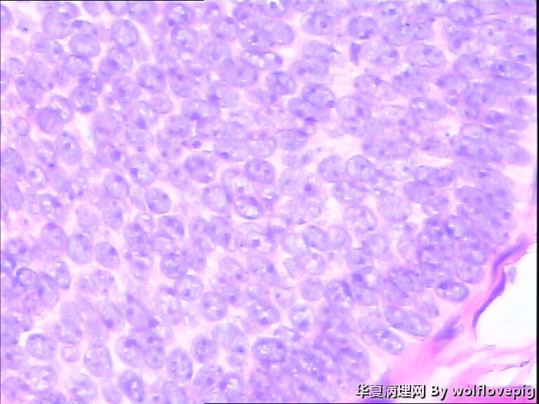
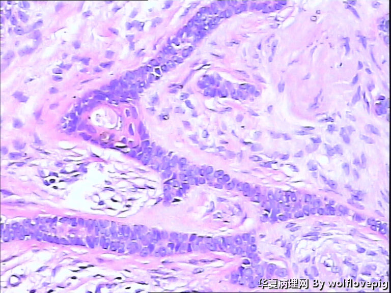
 女,58y,右面部包块10年。灰白不整形带皮组织一块:2.3cm*1.5cm*0.3cm,切面有一灰白区域,质软,边界欠清。

  • 求助!面部包块。图1
    图1
  • 求助!面部包块。图2
    图2
  • 求助!面部包块。图3
    图3
  • 求助!面部包块。图4
    图4
  • 求助!面部包块。图5
    图5
  • 求助!面部包块。图6
    图6
  • 求助!面部包块。图7
    图7
  • 求助!面部包块。图8
    图8
  • 求助!面部包块。图9
    图9
  • 求助!面部包块。图10
    图10
  • 求助!面部包块。图11
    图11
  • 求助!面部包块。图12
    图12
  • 求助!面部包块。图13
    图13
  • 求助!面部包块。图14
    图14
  • 求助!面部包块。图15
    图15

标签:面部包块。
0
×参考诊断
诊断考虑毛母细胞瘤,或毛发上皮瘤。

hys_603 离线

帖子:716
粉蓝豆:1
经验:988
注册时间:2008-06-18
加关注  |  发消息
13 楼    发表于2012-02-14 22:09:51举报|引用
返回顶部 | 快捷回复

基底细胞癌

0
回复

靖哥哥 离线

帖子:182
粉蓝豆:12
经验:524
注册时间:2008-12-05
加关注  |  发消息
12 楼    发表于2012-02-14 22:03:35举报|引用
返回顶部 | 快捷回复

没有基底样物质,没有收缩裂隙,细胞异型不大,无明确核分裂像,考虑:附属器肿瘤,有点像汗腺来源的,如真皮导管瘤或螺旋瘤。请老师指点。

1

白晓云
回复

zhangyajing 离线

帖子:500
粉蓝豆:4
经验:610
注册时间:2008-03-23
加关注  |  发消息
11 楼    发表于2012-02-14 21:49:17举报|引用
返回顶部 | 快捷回复

毛发上皮瘤

0
回复

山川 离线

帖子:324
粉蓝豆:18
经验:926
注册时间:2010-12-28
加关注  |  发消息
10 楼    发表于2012-02-14 21:48:47举报|引用
返回顶部 | 快捷回复

基底细胞癌

0
回复
signature
看图识字

伊恋佳人 离线

帖子:1258
粉蓝豆:505
经验:1714
注册时间:2010-03-13
加关注  |  发消息
9 楼    发表于2012-02-14 21:44:06举报|引用
返回顶部 | 快捷回复

基底细胞癌

0
回复

寿小燕 离线

帖子:163
粉蓝豆:96
经验:219
注册时间:2007-04-06
加关注  |  发消息
8 楼    发表于2012-02-14 20:47:48举报|引用
返回顶部 | 快捷回复

基底细胞癌

0
回复
signature

非淡泊无以明志,非宁静无以致远

owen84007 离线

帖子:354
粉蓝豆:50
经验:406
注册时间:2009-07-10
加关注  |  发消息
7 楼    发表于2012-02-14 20:42:58举报|引用
返回顶部 | 快捷回复

基底细胞癌

0
回复

weiguopfk 离线

帖子:605
粉蓝豆:66
经验:817
注册时间:2008-10-25
加关注  |  发消息
6 楼    发表于2012-02-14 20:40:59举报|引用
返回顶部 | 快捷回复

毛母细胞瘤

0
回复

lvyinhua 离线

帖子:832
粉蓝豆:35
经验:1180
注册时间:2012-01-09
加关注  |  发消息
5 楼    发表于2012-02-14 18:41:33举报|引用
返回顶部 | 快捷回复
引用 1 楼 cklas 在 2012-02-14 17:04:13 的发言:

基底细胞癌


0
回复

chenzhenwei110 离线

帖子:275
粉蓝豆:131
经验:383
注册时间:2009-05-31
加关注  |  发消息
4 楼    发表于2012-02-14 18:34:46举报|引用
返回顶部 | 快捷回复

 基底细胞癌

0
回复
signature
做好自己。

泉水叮咚响 离线

帖子:2163
粉蓝豆:113
经验:11663
注册时间:2010-12-30
加关注  |  发消息
3 楼    发表于2012-02-14 17:36:19举报|引用
返回顶部 | 快捷回复

 基底细胞癌

0
回复
signature
刀不磨会生锈,人不学习会落后。

绿色心情 离线

帖子:418
粉蓝豆:6
经验:524
注册时间:2010-01-09
加关注  |  发消息
2 楼    发表于2012-02-14 17:23:08举报|引用
返回顶部 | 快捷回复

基底细胞癌

1

妞妞的牛..
回复

cklas 离线

帖子:880
粉蓝豆:0
经验:1016
注册时间:2011-05-19
加关注  |  发消息
1 楼    发表于2012-02-14 17:04:13举报|引用
返回顶部 | 快捷回复

基底细胞癌

0
回复
signature
从事病理需要付出更多!并非人人都适合本专业!
回复:33 阅读:6942
共2页/33条首页上一页12下一页尾页
【免责声明】讨论内容仅作学术交流之用,不作为诊疗依据,由此而引起的法律问题作者及本站不承担任何责任。
快速回复
进入高级回复
您最多可输入10000个汉字,按 "Ctrl" + "Enter" 直接发送
搜索回复/乘电梯 ×
按内容
按会员
乘电梯
合作伙伴
友情链接