共2页/33条首页上一页12下一页尾页
回复:33 阅读:6947
求助!面部包块。

wolflovepig 离线

帖子:675
粉蓝豆:55
经验:9062
注册时间:2007-08-25
加关注  |  发消息
楼主 发表于 2012-02-14 16:58|举报|关注(1)
浏览排序[ 顺序 逆序 楼主 支持 精彩 ]  快捷回复

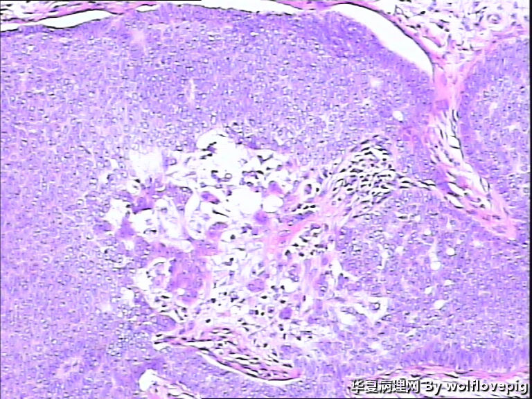
 女,58y,右面部包块10年。灰白不整形带皮组织一块:2.3cm*1.5cm*0.3cm,切面有一灰白区域,质软,边界欠清。

  • 求助!面部包块。图1
    图1
  • 求助!面部包块。图2
    图2
  • 求助!面部包块。图3
    图3
  • 求助!面部包块。图4
    图4
  • 求助!面部包块。图5
    图5
  • 求助!面部包块。图6
    图6
  • 求助!面部包块。图7
    图7
  • 求助!面部包块。图8
    图8
  • 求助!面部包块。图9
    图9
  • 求助!面部包块。图10
    图10
  • 求助!面部包块。图11
    图11
  • 求助!面部包块。图12
    图12
  • 求助!面部包块。图13
    图13
  • 求助!面部包块。图14
    图14
  • 求助!面部包块。图15
    图15

标签:面部包块。
0
×参考诊断
诊断考虑毛母细胞瘤,或毛发上皮瘤。

tz4882284 离线

帖子:112
粉蓝豆:3
经验:141
注册时间:2007-08-07
加关注  |  发消息
33 楼    发表于2012-04-20 23:52:24举报|引用
返回顶部 | 快捷回复

基癌

0
回复

祝平 离线

帖子:2130
粉蓝豆:19
经验:3720
注册时间:2012-03-10
加关注  |  发消息
32 楼    发表于2012-04-20 09:33:53举报|引用
返回顶部 | 快捷回复

考虑毛母细胞瘤。

0
回复
signature
病理小笨。我爱病理。

白晓云 离线

帖子:300
粉蓝豆:2049
经验:1487
注册时间:2007-12-29
加关注  |  发消息
31 楼    发表于2012-04-19 21:48:12举报|引用
返回顶部 | 快捷回复
引用 24 楼 cklas 在 2012-02-18 21:05:03 的发言:

可作标记助诊:Bcl-2,AR,CD10,CK14,CK7等

这么依赖免疫组化?如果你们用的是罗氏的设备和试剂,在郑州要增加患者750元了

0
回复

晓明 离线

帖子:1630
粉蓝豆:56
经验:1784
注册时间:2010-02-02
加关注  |  发消息
30 楼    发表于2012-04-19 21:13:59举报|引用
返回顶部 | 快捷回复

考虑毛母细胞瘤,除外外毛根鞘瘤

0
回复
signature
典型中看不典型,不典型中找典型。

妞妞的牛牛 离线

帖子:7
粉蓝豆:1
经验:9
注册时间:2011-12-07
加关注  |  发消息
29 楼    发表于2012-04-19 21:06:05举报|引用
返回顶部 | 快捷回复

毛母细胞瘤

0
回复

hanbing 离线

帖子:655
粉蓝豆:55
经验:6018
注册时间:2008-04-05
加关注  |  发消息
28 楼    发表于2012-03-23 19:47:57举报|引用
返回顶部 | 快捷回复

毛母细胞瘤

0
回复

甜甜 离线

帖子:3184
粉蓝豆:112
经验:3353
注册时间:2012-03-22
加关注  |  发消息
27 楼    发表于2012-03-23 19:13:13举报|引用
返回顶部 | 快捷回复

毛母细胞瘤 

0
回复
signature
我努力,我坚持就会有美好的成果。

xuesizeng 离线

帖子:1148
粉蓝豆:87
经验:1173
注册时间:2007-02-03
加关注  |  发消息
26 楼    发表于2012-03-21 10:02:42举报|引用
返回顶部 | 快捷回复

诊断考虑毛母细胞瘤,或毛发上皮瘤。细胞团块周围可见嗜酸性纤维包绕,间质内纤维增生明显。

1

jcw62
回复

ziranse 离线

帖子:165
粉蓝豆:31
经验:182
注册时间:2010-12-22
加关注  |  发消息
25 楼    发表于2012-03-01 16:57:58举报|引用
返回顶部 | 快捷回复

毛母细胞瘤

0
回复

cklas 离线

帖子:880
粉蓝豆:0
经验:1016
注册时间:2011-05-19
加关注  |  发消息
24 楼    发表于2012-02-18 21:05:03举报|引用
返回顶部 | 快捷回复

可作标记助诊:Bcl-2,AR,CD10,CK14,CK7等

0
回复
signature
从事病理需要付出更多!并非人人都适合本专业!

杏林散客 离线

帖子:2097
粉蓝豆:87
经验:2406
注册时间:2008-05-18
加关注  |  发消息
23 楼    发表于2012-02-17 00:30:51举报|引用
返回顶部 | 快捷回复

角囊肿不多,考虑毛母细胞瘤!

0
回复
signature
皮毛之事,方寸之间,大千世界!

一棵小草 离线

帖子:5101
粉蓝豆:12
经验:7184
注册时间:2008-07-07
加关注  |  发消息
22 楼    发表于2012-02-15 21:56:47举报|引用
返回顶部 | 快捷回复

倾向于毛母细胞瘤一点。

0
回复

草原 离线

帖子:1302
粉蓝豆:1721
经验:6166
注册时间:2008-06-28
加关注  |  发消息
21 楼    发表于2012-02-15 13:34:21举报|引用
返回顶部 | 快捷回复

毛母细胞瘤

0
回复
signature
Stop walking today and you'll have to run tomorrow.

hyl76 离线

帖子:781
粉蓝豆:656
经验:3771
注册时间:2007-06-05
加关注  |  发消息
20 楼    发表于2012-02-15 11:03:23举报|引用
返回顶部 | 快捷回复

毛母细胞瘤 

1

妞妞的牛..
回复
signature
学无止境,不进则退!

cissy 离线

帖子:250
粉蓝豆:14
经验:322
注册时间:2010-12-19
加关注  |  发消息
19 楼    发表于2012-02-15 10:57:11举报|引用
返回顶部 | 快捷回复

毛母细胞瘤?

0
回复

wskik120 离线

帖子:485
粉蓝豆:1260
经验:1819
注册时间:2007-04-06
加关注  |  发消息
18 楼    发表于2012-02-15 08:55:23举报|引用
返回顶部 | 快捷回复

与表皮无关,表皮无破溃,无收缩间隙-------不支持BCC  有角囊肿 促纤维增生-----支持毛发上皮瘤

1

lg7391
回复

何生 离线

帖子:1281
粉蓝豆:68
经验:6304
注册时间:2009-04-18
加关注  |  发消息
17 楼    发表于2012-02-15 08:47:08举报|引用
返回顶部 | 快捷回复

基底细胞癌

0
回复
signature
何生

箫箫笛 离线

帖子:1287
粉蓝豆:63
经验:2299
注册时间:2006-11-01
加关注  |  发消息
16 楼    发表于2012-02-15 08:31:51举报|引用
返回顶部 | 快捷回复

基底细胞癌

0
回复

闹闹 离线

帖子:944
粉蓝豆:24
经验:1921
注册时间:2007-07-25
加关注  |  发消息
15 楼    发表于2012-02-14 22:22:34举报|引用
返回顶部 | 快捷回复

毛母细胞瘤 

0
回复

二土匪 离线

帖子:771
粉蓝豆:23
经验:1213
注册时间:2011-10-11
加关注  |  发消息
14 楼    发表于2012-02-14 22:19:14举报|引用
返回顶部 | 快捷回复

栅栏状外周结构,疏松的间质,基底细胞癌

0
回复
signature
红尘中有独处的心,独处时有红尘的怀抱。
回复:33 阅读:6947
共2页/33条首页上一页12下一页尾页
【免责声明】讨论内容仅作学术交流之用,不作为诊疗依据,由此而引起的法律问题作者及本站不承担任何责任。
快速回复
进入高级回复
您最多可输入10000个汉字,按 "Ctrl" + "Enter" 直接发送
搜索回复/乘电梯 ×
按内容
按会员
乘电梯
合作伙伴
友情链接