共2页/25条首页上一页12下一页尾页
回复:25 阅读:5077
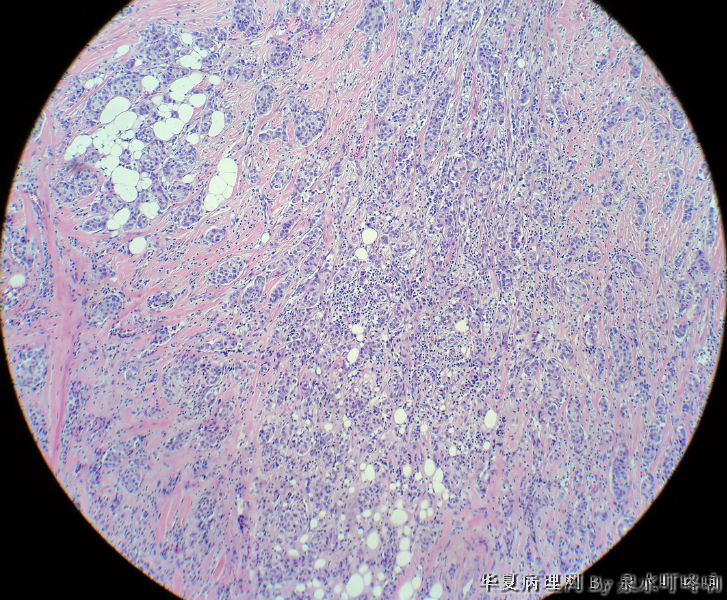
右腋下包块

泉水叮咚响 离线

帖子:2163
粉蓝豆:113
经验:11663
注册时间:2010-12-30
加关注  |  发消息
楼主 发表于 2012-02-14 11:17|举报|关注(1)
浏览排序[ 顺序 逆序 楼主 支持 精彩 ]  快捷回复

 

  • 右腋下包块图1
    图1
  • 右腋下包块图2
    图2
  • 右腋下包块图3
    图3
  • 右腋下包块图4
    图4
  • 右腋下包块图5
    图5
  • 右腋下包块图6
    图6
  • 右腋下包块图7
    图7
  • 右腋下包块图8
    图8
  • 右腋下包块图9
    图9
  • 右腋下包块图10
    图10
  • 右腋下包块图11
    图11
  • 右腋下包块图12
    图12
  • 右腋下包块图13
    图13
标签:
0
signature
刀不磨会生锈,人不学习会落后。
添加参考诊断
×参考诊断
  

泉水叮咚响 离线

帖子:2163
粉蓝豆:113
经验:11663
注册时间:2010-12-30
加关注  |  发消息
25 楼    发表于2012-03-01 09:47:18举报|引用
返回顶部 | 快捷回复

 最后诊断:浸润性导管癌(分化较低),考虑来自乳腺尾叶或副乳恶变。

0
回复
signature
刀不磨会生锈,人不学习会落后。

山川 离线

帖子:324
粉蓝豆:18
经验:926
注册时间:2010-12-28
加关注  |  发消息
24 楼    发表于2012-02-29 22:18:54举报|引用
返回顶部 | 快捷回复

乳腺浸润性导管癌首先考虑乳腺转移。

0
回复
signature
看图识字

伊恋佳人 离线

帖子:1258
粉蓝豆:505
经验:1714
注册时间:2010-03-13
加关注  |  发消息
23 楼    发表于2012-02-29 22:15:47举报|引用
返回顶部 | 快捷回复

乳腺浸润性导管癌

0
回复

一棵小草 离线

帖子:5101
粉蓝豆:12
经验:7184
注册时间:2008-07-07
加关注  |  发消息
22 楼    发表于2012-02-29 22:00:34举报|引用
返回顶部 | 快捷回复

楼主该病例最后诊断了啥呢?

0
回复

wyjy2870 离线

帖子:229
粉蓝豆:3385
经验:438
注册时间:2009-04-19
加关注  |  发消息
21 楼    发表于2012-02-19 11:31:39举报|引用
返回顶部 | 快捷回复

乳腺来源的浸润性导管癌,至于是乳腺癌转移而来还是副乳发生,应该结合临床病史和其他检查结果来综合判定,不是单纯依靠病理切片可以判断的。

0
回复

zhenshijian 离线

帖子:1069
粉蓝豆:91
经验:1364
注册时间:2008-04-20
加关注  |  发消息
20 楼    发表于2012-02-19 10:54:42举报|引用
返回顶部 | 快捷回复
引用 6 楼 薄冰之旅 在 2012-02-14 12:55:10 的发言:

首先考虑 乳腺浸润性导管癌 转移。


0
回复

brz0001 离线

帖子:3035
粉蓝豆:97
经验:3058
注册时间:2008-05-05
加关注  |  发消息
19 楼    发表于2012-02-19 08:32:06举报|引用
返回顶部 | 快捷回复

皮肤转移癌

0
回复

杏林散客 离线

帖子:2097
粉蓝豆:87
经验:2406
注册时间:2008-05-18
加关注  |  发消息
18 楼    发表于2012-02-17 00:32:14举报|引用
返回顶部 | 快捷回复

查一下乳腺吧,首先考虑乳癌转移!

0
回复
signature
皮毛之事,方寸之间,大千世界!

dongguoyou 离线

帖子:253
粉蓝豆:9
经验:4133
注册时间:2007-11-04
加关注  |  发消息
17 楼    发表于2012-02-16 14:42:04举报|引用
返回顶部 | 快捷回复

乳腺来源的浸润性导管癌,至于是乳腺癌转移而来还是副乳发生,应该结合临床病史和其他检查结果来综合判定,不是单纯依靠病理切片可以判断的。

1

sunny520..
回复

wskik120 离线

帖子:485
粉蓝豆:1260
经验:1819
注册时间:2007-04-06
加关注  |  发消息
16 楼    发表于2012-02-15 08:59:21举报|引用
返回顶部 | 快捷回复

此片叮咚响 人家咋做的?

0
回复

何生 离线

帖子:1281
粉蓝豆:68
经验:6304
注册时间:2009-04-18
加关注  |  发消息
15 楼    发表于2012-02-15 08:42:35举报|引用
返回顶部 | 快捷回复

转移癌,乳腺浸润性导管癌。

0
回复
signature
何生

箫箫笛 离线

帖子:1287
粉蓝豆:63
经验:2299
注册时间:2006-11-01
加关注  |  发消息
14 楼    发表于2012-02-15 08:28:59举报|引用
返回顶部 | 快捷回复

同意:乳腺浸润型导管癌(副乳起源?还是原发灶在乳腺,腋下为癌结节?)

0
回复

ahhbhzlin 离线

帖子:3090
粉蓝豆:50
经验:11826
注册时间:2008-07-24
加关注  |  发消息
13 楼    发表于2012-02-14 23:41:26举报|引用
返回顶部 | 快捷回复

转移癌,考虑乳腺来源

0
回复

防港一员 离线

帖子:410
粉蓝豆:30
经验:1041
注册时间:2010-08-13
加关注  |  发消息
12 楼    发表于2012-02-14 23:23:16举报|引用
返回顶部 | 快捷回复

 乳腺浸润型导管癌 转移?副乳腺原发?

0
回复
signature
有志者事竟成

zhangyajing 离线

帖子:500
粉蓝豆:4
经验:610
注册时间:2008-03-23
加关注  |  发消息
11 楼    发表于2012-02-14 22:30:09举报|引用
返回顶部 | 快捷回复

皮肤转移癌 脉管内见栓 考虑来自乳腺

1

一棵小草
回复

红枫71 离线

帖子:223
粉蓝豆:8
经验:242
注册时间:2010-09-21
加关注  |  发消息
10 楼    发表于2012-02-14 16:31:24举报|引用
返回顶部 | 快捷回复

乳腺浸润性导管癌转移

0
回复

绿色心情 离线

帖子:418
粉蓝豆:6
经验:524
注册时间:2010-01-09
加关注  |  发消息
9 楼    发表于2012-02-14 16:06:54举报|引用
返回顶部 | 快捷回复

乳腺浸润型导管癌

0
回复

yl0819 离线

帖子:83
粉蓝豆:5
经验:95
注册时间:2008-04-29
加关注  |  发消息
8 楼    发表于2012-02-14 14:42:36举报|引用
返回顶部 | 快捷回复
乳腺浸润性导管癌,需要查乳腺是否有原发灶,确定是否来源于副乳腺!
0
回复

寂静山林 离线

帖子:179
粉蓝豆:35
经验:331
注册时间:2011-03-03
加关注  |  发消息
7 楼    发表于2012-02-14 13:39:22举报|引用
返回顶部 | 快捷回复

乳腺来源的浸润性导管癌,至于是乳腺癌转移而来还是副乳发生,应该结合临床病史和其他检查结果来综合判定,不是单纯依靠病理切片可以判断的。

0
回复
signature
淡淡地再一次聆听过去,如亲临阿尔卑斯山的原始天籁!

薄冰之旅 离线

帖子:1566
粉蓝豆:2098
经验:3456
注册时间:2006-11-05
加关注  |  发消息
6 楼    发表于2012-02-14 12:55:10举报|引用
返回顶部 | 快捷回复

首先考虑 乳腺浸润性导管癌 转移。

1

martina8..
回复
回复:25 阅读:5077
共2页/25条首页上一页12下一页尾页
【免责声明】讨论内容仅作学术交流之用,不作为诊疗依据,由此而引起的法律问题作者及本站不承担任何责任。
快速回复
进入高级回复
您最多可输入10000个汉字,按 "Ctrl" + "Enter" 直接发送
搜索回复/乘电梯 ×
按内容
按会员
乘电梯
合作伙伴
友情链接