共2页/31条首页上一页12下一页尾页
回复:31 阅读:6661
左腮腺肿物

泉水叮咚响 离线

帖子:2163
粉蓝豆:113
经验:11663
注册时间:2010-12-30
加关注  |  发消息
楼主 发表于 2012-01-16 15:04|举报|关注(0)
浏览排序[ 顺序 逆序 楼主 支持 精彩 ]  快捷回复
  • 左腮腺肿物图1
    图1
  • 左腮腺肿物图2
    图2
  • 左腮腺肿物图3
    图3
  • 左腮腺肿物图4
    图4
  • 左腮腺肿物图5
    图5
  • 左腮腺肿物图6
    图6
  • 左腮腺肿物图7
    图7
  • 左腮腺肿物图8
    图8
  • 左腮腺肿物图9
    图9
  • 左腮腺肿物图10
    图10
  • 左腮腺肿物图11
    图11
  • 左腮腺肿物图12
    图12
  • 左腮腺肿物图13
    图13
  • 左腮腺肿物图14
    图14
  • 左腮腺肿物图15
    图15

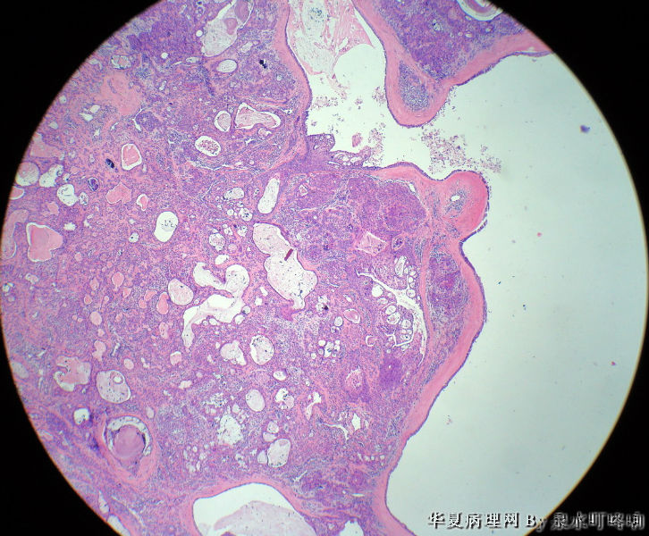
 女,38岁,左耳下方肿物,临床诊断:左腮腺肿物。
大体:灰白肿物一个,大小约4×3.5×3厘米,切面灰白,质略软,可见多发囊腔。

标签:
0
signature
刀不磨会生锈,人不学习会落后。
添加参考诊断
×参考诊断
  

lsm0075 离线

帖子:535
粉蓝豆:2591
经验:1947
注册时间:2011-10-16
加关注  |  发消息
31 楼    发表于2012-03-08 16:10:53举报|引用
返回顶部 | 快捷回复

多形性腺瘤

0
回复
signature
远离外界的浮躁与喧嚣,享受镜下的平和与宁静

hys_603 离线

帖子:716
粉蓝豆:1
经验:988
注册时间:2008-06-18
加关注  |  发消息
30 楼    发表于2012-02-06 14:00:37举报|引用
返回顶部 | 快捷回复

多形性腺瘤

0
回复

qiaoqiao 离线

帖子:4186
粉蓝豆:143
经验:6715
注册时间:2011-08-04
加关注  |  发消息
29 楼    发表于2012-01-31 22:55:54举报|引用
返回顶部 | 快捷回复

多形性腺瘤、境界清楚

2、两种类型细胞:导管上皮+肌上皮,肌上皮与周围间质有融合现象。
3、伴有角化的鳞状分化。
4、间质:软骨粘液样间质+弹力纤维。
0
回复
signature
天生我才必我用

ysllmq 离线

帖子:56
粉蓝豆:1
经验:135
注册时间:2010-11-23
加关注  |  发消息
28 楼    发表于2012-01-31 22:47:57举报|引用
返回顶部 | 快捷回复

 多形性腺瘤

0
回复

快乐之星 离线

帖子:855
粉蓝豆:35
经验:1881
注册时间:2009-06-08
加关注  |  发消息
27 楼    发表于2012-01-31 21:39:04举报|引用
返回顶部 | 快捷回复

多形性腺瘤

0
回复
signature
把握今天,展望明天

hys_603 离线

帖子:716
粉蓝豆:1
经验:988
注册时间:2008-06-18
加关注  |  发消息
26 楼    发表于2012-01-31 21:16:14举报|引用
返回顶部 | 快捷回复

多形性腺瘤

0
回复

zhangyajing 离线

帖子:500
粉蓝豆:4
经验:610
注册时间:2008-03-23
加关注  |  发消息
25 楼    发表于2012-01-31 21:10:24举报|引用
返回顶部 | 快捷回复

多形性腺瘤

0
回复

刀尖上的舞者 离线

帖子:1763
粉蓝豆:87
经验:3356
注册时间:2010-12-14
加关注  |  发消息
24 楼    发表于2012-01-30 11:04:01举报|引用
返回顶部 | 快捷回复

多形性腺瘤

0
回复

xiaocaodi 离线

帖子:855
粉蓝豆:46
经验:1917
注册时间:2006-10-21
加关注  |  发消息
23 楼    发表于2012-01-27 17:39:35举报|引用
返回顶部 | 快捷回复

多形性腺瘤

0
回复

dan1616 离线

帖子:39
粉蓝豆:31
经验:71
注册时间:2009-09-15
加关注  |  发消息
22 楼    发表于2012-01-27 15:07:23举报|引用
返回顶部 | 快捷回复

多形性腺瘤。

0
回复

hanjp 离线

帖子:12
粉蓝豆:197
经验:25
注册时间:2010-06-08
加关注  |  发消息
21 楼    发表于2012-01-27 11:09:31举报|引用
返回顶部 | 快捷回复

 多形性腺瘤

0
回复

mustang 离线

帖子:46
粉蓝豆:4836
经验:58
注册时间:2008-01-05
加关注  |  发消息
20 楼    发表于2012-01-27 10:04:34举报|引用
返回顶部 | 快捷回复

多形性腺瘤

0
回复

徐泉 离线

帖子:90
粉蓝豆:2
经验:116
注册时间:2010-11-21
加关注  |  发消息
19 楼    发表于2012-01-26 22:37:41举报|引用
返回顶部 | 快捷回复

同意

0
回复

伊恋佳人 离线

帖子:1258
粉蓝豆:505
经验:1714
注册时间:2010-03-13
加关注  |  发消息
18 楼    发表于2012-01-26 22:31:29举报|引用
返回顶部 | 快捷回复

多形性腺瘤

0
回复

慧子 离线

帖子:81
粉蓝豆:96
经验:207
注册时间:2008-10-15
加关注  |  发消息
17 楼    发表于2012-01-26 20:11:06举报|引用
返回顶部 | 快捷回复

多形

0
回复

chord9809 离线

帖子:694
粉蓝豆:173
经验:12111
注册时间:2007-08-25
加关注  |  发消息
16 楼    发表于2012-01-26 12:46:04举报|引用
返回顶部 | 快捷回复
1、境界清楚
2、两种类型细胞:导管上皮+肌上皮,肌上皮与周围间质有融合现象。
3、伴有角化的鳞状分化。
4、间质:软骨粘液样间质+弹力纤维。
综上:多形性腺瘤。
不知分析得正确与否,请各位老师指教。
2

刀尖上的..

hys_603
回复

happyxl 离线

帖子:65
粉蓝豆:6
经验:265
注册时间:2011-11-23
加关注  |  发消息
15 楼    发表于2012-01-25 17:22:50举报|引用
返回顶部 | 快捷回复

多形性腺瘤

0
回复
signature
Pathologist is doctor's doctor.

未知陨石 离线

帖子:479
粉蓝豆:13
经验:559
注册时间:2010-09-11
加关注  |  发消息
14 楼    发表于2012-01-24 10:54:46举报|引用
返回顶部 | 快捷回复

 多形性腺瘤,肌上皮、腺上皮增生,鳞化、粘液背景

0
回复
signature

开心辞典 离线

帖子:966
粉蓝豆:345
经验:5049
注册时间:2009-09-09
加关注  |  发消息
13 楼    发表于2012-01-20 22:56:55举报|引用
返回顶部 | 快捷回复

多形性腺瘤

0
回复

duhua 离线

帖子:1206
粉蓝豆:152
经验:1738
注册时间:2008-08-19
加关注  |  发消息
12 楼    发表于2012-01-20 21:03:46举报|引用
返回顶部 | 快捷回复

多形性腺瘤

0
回复
回复:31 阅读:6661
共2页/31条首页上一页12下一页尾页
【免责声明】讨论内容仅作学术交流之用,不作为诊疗依据,由此而引起的法律问题作者及本站不承担任何责任。
快速回复
进入高级回复
您最多可输入10000个汉字,按 "Ctrl" + "Enter" 直接发送
搜索回复/乘电梯 ×
按内容
按会员
乘电梯
合作伙伴
友情链接