共2页/31条首页上一页12下一页尾页
回复:31 阅读:6664
左腮腺肿物

泉水叮咚响 离线

帖子:2163
粉蓝豆:113
经验:11663
注册时间:2010-12-30
加关注  |  发消息
楼主 发表于 2012-01-16 15:04|举报|关注(0)
浏览排序[ 顺序 逆序 楼主 支持 精彩 ]  快捷回复
  • 左腮腺肿物图1
    图1
  • 左腮腺肿物图2
    图2
  • 左腮腺肿物图3
    图3
  • 左腮腺肿物图4
    图4
  • 左腮腺肿物图5
    图5
  • 左腮腺肿物图6
    图6
  • 左腮腺肿物图7
    图7
  • 左腮腺肿物图8
    图8
  • 左腮腺肿物图9
    图9
  • 左腮腺肿物图10
    图10
  • 左腮腺肿物图11
    图11
  • 左腮腺肿物图12
    图12
  • 左腮腺肿物图13
    图13
  • 左腮腺肿物图14
    图14
  • 左腮腺肿物图15
    图15

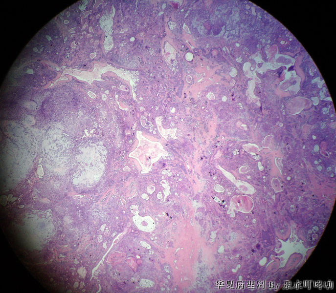
 女,38岁,左耳下方肿物,临床诊断:左腮腺肿物。
大体:灰白肿物一个,大小约4×3.5×3厘米,切面灰白,质略软,可见多发囊腔。

标签:
0
signature
刀不磨会生锈,人不学习会落后。
添加参考诊断
×参考诊断
  

蚊子 离线

帖子:207
粉蓝豆:630
经验:946
注册时间:2007-08-08
加关注  |  发消息
1 楼    发表于2012-01-16 16:22:03举报|引用
返回顶部 | 快捷回复

(左腮腺)多形性腺瘤

4

病理020

lg7391

白晓云

新小兵
回复
signature
每天学习一点,每天进步一点,

yilian206 离线

帖子:204
粉蓝豆:1119
经验:558
注册时间:2010-07-30
加关注  |  发消息
2 楼    发表于2012-01-16 16:27:58举报|引用
返回顶部 | 快捷回复

多形性腺瘤(粘液软骨样区域+上皮成分)

0
回复

夏日 离线

帖子:1057
粉蓝豆:45
经验:1529
注册时间:2011-04-05
加关注  |  发消息
3 楼    发表于2012-01-16 16:41:38举报|引用
返回顶部 | 快捷回复

可疑 多形性腺瘤

0
回复

旅顺病理 离线

帖子:4084
粉蓝豆:144
经验:5113
注册时间:2011-06-04
加关注  |  发消息
4 楼    发表于2012-01-16 17:31:15举报|引用
返回顶部 | 快捷回复

 多形性腺瘤

0
回复

东北鱼 离线

帖子:442
粉蓝豆:212
经验:538
注册时间:2011-11-06
加关注  |  发消息
5 楼    发表于2012-01-16 18:07:38举报|引用
返回顶部 | 快捷回复

多形性腺瘤

0
回复
signature
不经一番寒彻骨,哪得梅花扑鼻香!

zhangyuying 离线

帖子:207
粉蓝豆:18
经验:418
注册时间:2011-07-03
加关注  |  发消息
6 楼    发表于2012-01-16 20:48:13举报|引用
返回顶部 | 快捷回复
引用 4 楼 旅顺病理 在 2012-01-16 17:31:15 的发言:

 多形性腺瘤


0
回复
signature
再长的路,一步一步总能走完;再短的路,不迈开双脚就永远不会到达终点。

kangwang2010 离线

帖子:389
粉蓝豆:13
经验:590
注册时间:2010-03-04
加关注  |  发消息
7 楼    发表于2012-01-16 21:14:47举报|引用
返回顶部 | 快捷回复

多形性腺瘤

0
回复
signature
有时候,称赞别人也是一种美德!

200406 离线

帖子:1385
粉蓝豆:145
经验:2735
注册时间:2011-08-08
加关注  |  发消息
8 楼    发表于2012-01-16 22:49:47举报|引用
返回顶部 | 快捷回复

多形性腺瘤

0
回复

lvyinhua 离线

帖子:832
粉蓝豆:35
经验:1180
注册时间:2012-01-09
加关注  |  发消息
9 楼    发表于2012-01-17 00:20:27举报|引用
返回顶部 | 快捷回复

(左腮腺)多形性腺瘤

0
回复

广秀 离线

帖子:2711
粉蓝豆:1246
经验:3502
注册时间:2009-09-15
加关注  |  发消息
10 楼    发表于2012-01-17 22:58:37举报|引用
返回顶部 | 快捷回复

(左腮腺)多形性腺瘤

瘤组织由多种上皮成分(腺上皮+肌上皮+鳞化上皮)及黏液软骨样基质构成,多形性腺瘤可以囊性变,多结节状分布。

3

射手笑笑

zhouzhen..

sjluwfmc
回复
signature
人淡如菊,心素如简。

大雪素 离线

帖子:1544
粉蓝豆:226
经验:8540
注册时间:2010-01-25
加关注  |  发消息
11 楼    发表于2012-01-20 20:47:52举报|引用
返回顶部 | 快捷回复

多形性腺瘤

0
回复
signature
挺挺花卉中,竹有节而啬花,梅有花而啬叶,松有叶而啬香,唯兰独并有之

duhua 离线

帖子:1206
粉蓝豆:152
经验:1738
注册时间:2008-08-19
加关注  |  发消息
12 楼    发表于2012-01-20 21:03:46举报|引用
返回顶部 | 快捷回复

多形性腺瘤

0
回复

开心辞典 离线

帖子:966
粉蓝豆:345
经验:5049
注册时间:2009-09-09
加关注  |  发消息
13 楼    发表于2012-01-20 22:56:55举报|引用
返回顶部 | 快捷回复

多形性腺瘤

0
回复

未知陨石 离线

帖子:479
粉蓝豆:13
经验:559
注册时间:2010-09-11
加关注  |  发消息
14 楼    发表于2012-01-24 10:54:46举报|引用
返回顶部 | 快捷回复

 多形性腺瘤,肌上皮、腺上皮增生,鳞化、粘液背景

0
回复
signature

happyxl 离线

帖子:65
粉蓝豆:6
经验:265
注册时间:2011-11-23
加关注  |  发消息
15 楼    发表于2012-01-25 17:22:50举报|引用
返回顶部 | 快捷回复

多形性腺瘤

0
回复
signature
Pathologist is doctor's doctor.

chord9809 离线

帖子:694
粉蓝豆:173
经验:12111
注册时间:2007-08-25
加关注  |  发消息
16 楼    发表于2012-01-26 12:46:04举报|引用
返回顶部 | 快捷回复
1、境界清楚
2、两种类型细胞:导管上皮+肌上皮,肌上皮与周围间质有融合现象。
3、伴有角化的鳞状分化。
4、间质:软骨粘液样间质+弹力纤维。
综上:多形性腺瘤。
不知分析得正确与否,请各位老师指教。
2

刀尖上的..

hys_603
回复

慧子 离线

帖子:81
粉蓝豆:96
经验:207
注册时间:2008-10-15
加关注  |  发消息
17 楼    发表于2012-01-26 20:11:06举报|引用
返回顶部 | 快捷回复

多形

0
回复

伊恋佳人 离线

帖子:1258
粉蓝豆:505
经验:1714
注册时间:2010-03-13
加关注  |  发消息
18 楼    发表于2012-01-26 22:31:29举报|引用
返回顶部 | 快捷回复

多形性腺瘤

0
回复

徐泉 离线

帖子:90
粉蓝豆:2
经验:116
注册时间:2010-11-21
加关注  |  发消息
19 楼    发表于2012-01-26 22:37:41举报|引用
返回顶部 | 快捷回复

同意

0
回复

mustang 离线

帖子:46
粉蓝豆:4837
经验:58
注册时间:2008-01-05
加关注  |  发消息
20 楼    发表于2012-01-27 10:04:34举报|引用
返回顶部 | 快捷回复

多形性腺瘤

0
回复
回复:31 阅读:6664
共2页/31条首页上一页12下一页尾页
【免责声明】讨论内容仅作学术交流之用,不作为诊疗依据,由此而引起的法律问题作者及本站不承担任何责任。
快速回复
进入高级回复
您最多可输入10000个汉字,按 "Ctrl" + "Enter" 直接发送
搜索回复/乘电梯 ×
按内容
按会员
乘电梯
合作伙伴
友情链接