共2页/31条首页上一页12下一页尾页
回复:31 阅读:5954
直肠活检

泉水叮咚响 离线

帖子:2163
粉蓝豆:113
经验:11663
注册时间:2010-12-30
加关注  |  发消息
楼主 发表于 2012-01-09 09:42|举报|关注(1)
浏览排序[ 顺序 逆序 楼主 支持 精彩 ]  快捷回复
  • 直肠活检图1
    图1
  • 直肠活检图2
    图2
  • 直肠活检图3
    图3
  • 直肠活检图4
    图4
  • 直肠活检图5
    图5
  • 直肠活检图6
    图6
  • 直肠活检图7
    图7
  • 直肠活检图8
    图8
  • 直肠活检图9
    图9
  • 直肠活检图10
    图10
  • 直肠活检图11
    图11

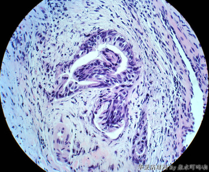
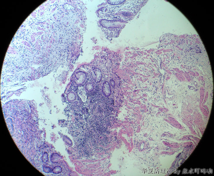
 女,49岁,大便变细2年,结肠镜示距肛门5厘米可见溃疡形成,弥漫肠管全周。

标签:
0
signature
刀不磨会生锈,人不学习会落后。
×参考诊断
腺癌

牡丹古都 离线

帖子:135
粉蓝豆:24
经验:180
注册时间:2008-03-06
加关注  |  发消息
31 楼    发表于2012-04-19 17:30:03举报|引用
返回顶部 | 快捷回复

腺癌

0
回复

gyy_613 离线

帖子:321
粉蓝豆:1
经验:484
注册时间:2010-09-01
加关注  |  发消息
30 楼    发表于2012-04-16 22:36:15举报|引用
返回顶部 | 快捷回复

腺癌

0
回复

fresh_007 离线

帖子:22
粉蓝豆:2
经验:39
注册时间:2007-03-13
加关注  |  发消息
29 楼    发表于2012-04-09 22:35:36举报|引用
返回顶部 | 快捷回复

肿物据肛门太近了,还是退一下比较好,高级别,不能除外腺癌,建议再取材送检吧

0
回复

qinsmile 离线

帖子:40
粉蓝豆:388
经验:280
注册时间:2011-12-18
加关注  |  发消息
28 楼    发表于2012-04-05 23:39:07举报|引用
返回顶部 | 快捷回复

腺癌

0
回复
signature
你现在的付出,都会是一种沉淀,它们会默默铺路,只为让你成为更好的人。

苦咖啡8516 离线

帖子:210
粉蓝豆:106
经验:469
注册时间:2011-07-30
加关注  |  发消息
27 楼    发表于2012-03-28 11:10:33举报|引用
返回顶部 | 快捷回复
引用 20 楼 洋洋洒洒 在 2012-03-24 22:23:13 的发言:

可见异型腺体,疑为直肠腺癌


0
回复
signature
好好学习,天天向上!

fangg 离线

帖子:1426
粉蓝豆:44
经验:1863
注册时间:2007-01-22
加关注  |  发消息
26 楼    发表于2012-03-28 03:03:17举报|引用
返回顶部 | 快捷回复

agree!

this is adenocarcinoma

0
回复
signature
境随心转

xuanxuan 离线

帖子:266
粉蓝豆:1
经验:547
注册时间:2010-08-22
加关注  |  发消息
25 楼    发表于2012-03-25 20:56:56举报|引用
返回顶部 | 快捷回复

好像。。。。。。。?,酶标协助判断

0
回复

lzyjy 离线

帖子:50
粉蓝豆:1
经验:52
注册时间:2012-03-21
加关注  |  发消息
24 楼    发表于2012-03-25 15:35:32举报|引用
返回顶部 | 快捷回复

腺癌

0
回复

lzyjy 离线

帖子:50
粉蓝豆:1
经验:52
注册时间:2012-03-21
加关注  |  发消息
23 楼    发表于2012-03-25 15:34:22举报|引用
返回顶部 | 快捷回复
引用 15 楼 夏日 在 2012-01-10 10:58:42 的发言:
引用 1 楼 白晓云 在 2012-01-09 09:48:41 的发言:

腺癌。



0
回复

祝平 离线

帖子:2130
粉蓝豆:19
经验:3720
注册时间:2012-03-10
加关注  |  发消息
22 楼    发表于2012-03-25 14:08:46举报|引用
返回顶部 | 快捷回复

直肠腺癌。

0
回复
signature
病理小笨。我爱病理。

1394361892 离线

帖子:655
粉蓝豆:12
经验:1275
注册时间:2011-09-04
加关注  |  发消息
21 楼    发表于2012-03-25 10:09:24举报|引用
返回顶部 | 快捷回复
引用 7 楼 病理020 在 2012-01-09 19:26:31 的发言:

纤维组织中可见异型腺体浸润,诊断腺癌。


0
回复

洋洋洒洒 离线

帖子:1445
粉蓝豆:256
经验:2479
注册时间:2010-12-13
加关注  |  发消息
20 楼    发表于2012-03-24 22:23:13举报|引用
返回顶部 | 快捷回复

可见异型腺体,疑为直肠腺癌

0
回复

梦飞 离线

帖子:213
粉蓝豆:38
经验:440
注册时间:2011-11-17
加关注  |  发消息
19 楼    发表于2012-03-24 22:01:48举报|引用
返回顶部 | 快捷回复

结肠中分化腺癌

0
回复
signature
医学是我的生命。

宁静致远 离线

帖子:4242
粉蓝豆:2853
经验:6556
注册时间:2007-03-27
加关注  |  发消息
18 楼    发表于2012-01-10 21:37:52举报|引用
返回顶部 | 快捷回复

腺癌

0
回复

flj20092049 离线

帖子:212
粉蓝豆:9
经验:470
注册时间:2011-11-23
加关注  |  发消息
17 楼    发表于2012-01-10 14:43:51举报|引用
返回顶部 | 快捷回复

疑癌好,退一步。直肠,距肛门多少?

1

mdjyan
回复
signature

周广民 离线

帖子:134
粉蓝豆:6
经验:153
注册时间:2011-03-03
加关注  |  发消息
16 楼    发表于2012-01-10 11:33:31举报|引用
返回顶部 | 快捷回复

腺癌

0
回复

夏日 离线

帖子:1057
粉蓝豆:45
经验:1529
注册时间:2011-04-05
加关注  |  发消息
15 楼    发表于2012-01-10 10:58:42举报|引用
返回顶部 | 快捷回复
引用 1 楼 白晓云 在 2012-01-09 09:48:41 的发言:

腺癌。


0
回复

minerhaoxue 离线

帖子:142
粉蓝豆:20
经验:253
注册时间:2009-09-23
加关注  |  发消息
14 楼    发表于2012-01-09 20:51:43举报|引用
返回顶部 | 快捷回复

理论上算腺癌了,但实际工作这么少的腺体,粘膜表面异形不明显,心里有点忐忑啊

6

苦咖啡85..

mdjyan

新小兵

lily-yan..

csx学习

清秋
回复

ahhbhzlin 离线

帖子:3090
粉蓝豆:50
经验:11826
注册时间:2008-07-24
加关注  |  发消息
13 楼    发表于2012-01-09 20:11:24举报|引用
返回顶部 | 快捷回复

0
回复

bingliwang 离线

帖子:81
粉蓝豆:514
经验:639
注册时间:2006-11-13
加关注  |  发消息
12 楼    发表于2012-01-09 20:03:24举报|引用
返回顶部 | 快捷回复

分化较好的腺癌。

0
回复
signature
病理观片法重要,法不精通脖架刀; 先用低倍后用高,弄清结构弄细胞; 实质下落间质飘,背景当中向外挑; 细胞源性快寻到,思维开阔勿担稍; 免疫组化常用到,前沿科技不可少; 千形万态慎思考,留有余地更重要。
回复:31 阅读:5954
共2页/31条首页上一页12下一页尾页
【免责声明】讨论内容仅作学术交流之用,不作为诊疗依据,由此而引起的法律问题作者及本站不承担任何责任。
快速回复
进入高级回复
您最多可输入10000个汉字,按 "Ctrl" + "Enter" 直接发送
搜索回复/乘电梯 ×
按内容
按会员
乘电梯
合作伙伴
友情链接