共1页/10条首页上一页1下一页尾页
回复:10 阅读:4153
双小腿红肿伴痒20余天

vendeezone 离线

帖子:31
粉蓝豆:32
经验:68
注册时间:2010-12-07
加关注  |  发消息
楼主 发表于 2012-01-06 15:02|举报|关注(1)
浏览排序[ 顺序 逆序 楼主 支持 精彩 ]  快捷回复

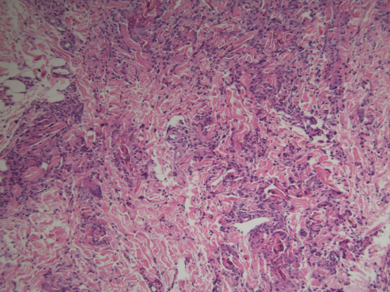
患者 男,8岁,双小腿渐粗红肿伴痒20余天,皮疹渐扩大,且出现硬化萎缩,入院后发现肺吸虫(+)。临床考虑:肺吸虫病硬皮病。请问斑竹大人考虑啥?

  • 双小腿红肿伴痒20余天图1
    图1
  • 双小腿红肿伴痒20余天图2
    图2
  • 双小腿红肿伴痒20余天图3
    图3
  • 双小腿红肿伴痒20余天图4
    图4
  • 双小腿红肿伴痒20余天图5
    图5
  • 双小腿红肿伴痒20余天图6
    图6
  • 双小腿红肿伴痒20余天图7
    图7
  • 双小腿红肿伴痒20余天图8
    图8
标签:
0
×参考诊断
肺吸虫引起的嗜酸性粒细胞增多性疾病

有福不在忙 离线

帖子:2161
粉蓝豆:42
经验:3448
注册时间:2008-11-22
加关注  |  发消息
1 楼    发表于2012-01-06 15:26:04举报|引用
返回顶部 | 快捷回复

肉芽肿性病变。肺吸虫能继发硬皮病吗?

0
回复
signature
有福不在忙

vendeezone 离线

帖子:31
粉蓝豆:32
经验:68
注册时间:2010-12-07
加关注  |  发消息
2 楼    发表于2012-01-06 15:34:08举报|引用
返回顶部 | 快捷回复

 肉芽肿中央不是凝固性坏死,好像是胶原纤维,否为环状肉芽肿或类脂质渐进性坏死

0
回复

brz0001 离线

帖子:3035
粉蓝豆:97
经验:3058
注册时间:2008-05-05
加关注  |  发消息
3 楼    发表于2012-01-06 17:16:53举报|引用
返回顶部 | 快捷回复

要考虑Wells综合征,依据有肺吸虫检查阳性、皮疹表现为肉芽肿样表现,可见到火焰征,不知道临床上血液分析检查结果如何,以及其他的检查结果怎么样?

0
回复

vendeezone 离线

帖子:31
粉蓝豆:32
经验:68
注册时间:2010-12-07
加关注  |  发消息
4 楼    发表于2012-01-06 18:34:12举报|引用
返回顶部 | 快捷回复

 但镜下没看见嗜酸性粒细胞呀

0
回复

一棵小草 离线

帖子:5101
粉蓝豆:12
经验:7184
注册时间:2008-07-07
加关注  |  发消息
5 楼    发表于2012-01-06 22:03:15举报|引用
返回顶部 | 快捷回复
本帖最后由 一棵小草 于 2012-01-09 23:09:12 编辑

肺吸虫病是可以引起皮肤结节,可以先表现游走性皮下包块,最后包块渐缩小而变硬,但好像没听过命名为“肺吸虫硬皮病”的?

肺吸虫皮下结节表现为肉芽肿炎症,这里的图片所显示的就是真皮及皮下组织的肉芽肿炎症,若是肺吸虫所致,按理是多少能见到嗜酸粒细胞的,但这里确实是没有看到,也没见可以的虫体征象,是没切到?也似乎没见很明显的硬皮病相关表现。

但是结合病史,患儿的皮肤改变可能还是用跟肺吸虫有关的东西来解释为妥?

还请版主指点!

0
回复

brz0001 离线

帖子:3035
粉蓝豆:97
经验:3058
注册时间:2008-05-05
加关注  |  发消息
6 楼    发表于2012-01-07 09:50:20举报|引用
返回顶部 | 快捷回复
本帖最后由 brz0001 于 2012-01-07 10:00:28 编辑

  • 图1
  • 图2
  • 图3

补充(临床医生邮件提供)该病人是一个8岁的小男孩,此次就诊主因双小腿肿胀发硬伴痒20天入院。既往体健,无内脏疾病史,入院时无发热、咳嗽、咳痰,无腹痛、腹泻等不适。专科检查:双小腿弥漫肿胀性褐色斑块,皮疹边界清楚,左小腿较右小腿肿胀明显,左小腿皮肤弹性较正常差,皮温正常,皮肤表面未见抓痕,未见红斑、丘疹、结节等,未见糜烂、破溃。入院查血分析嗜酸性粒细胞百分之六十多,余未见明显异常;体液免疫是IgE升高明显,有一百多倍吧,具体记不清。行肺吸虫皮试阳性,胸部CT及全腹CT检查均可见感染性病变,颅脑CT未见异常。给予杀虫治疗1疗程后,左小腿肿胀明显消退,现两小腿粗细相当,左小腿肿胀发硬也明显缓解,但褐色色沉一直未见明显消退,而且还向大腿蔓延,未见明显肿胀发硬的改变。患者现无瘙痒、肿胀感等不适。患者皮疹并不是肺吸虫病的典型皮疹,故行病理检查明确皮疹是否于肺吸虫病相关。

0
回复

一棵小草 离线

帖子:5101
粉蓝豆:12
经验:7184
注册时间:2008-07-07
加关注  |  发消息
7 楼    发表于2012-01-07 21:00:08举报|引用
返回顶部 | 快捷回复
本帖最后由 一棵小草 于 2012-01-07 21:10:34 编辑

谢谢!开了眼界了!再次细看病理图,那些类似于“火焰征”的还真是像脱颗粒的嗜酸粒细胞,只是显而易见的嗜酸粒细胞不多见。末梢血嗜酸粒细胞那么多···推想皮疹应该是和肺吸虫有关,只是我们这辈的没啥见过、也很难见到了,还请前辈多多指点啊!

0
回复

xuesizeng 离线

帖子:1148
粉蓝豆:87
经验:1173
注册时间:2007-02-03
加关注  |  发消息
8 楼    发表于2012-01-09 22:26:47举报|引用
返回顶部 | 快捷回复
本帖最后由 一棵小草 于 2012-01-09 23:07:03 编辑

1、患者的皮损与血液中嗜酸性粒细胞增多有关,病理改变的确类似Wells综合征的灶状坏死,但没有特异性。

2、嗜酸性粒细胞增多可以表现为毛囊炎,蜂窝织炎,脂膜炎,筋膜炎,嗜酸性皮病和增多综合征等,

3、其产生的原因常常是寄生虫,此例明确有肺吸虫。所以两者有明确的相关性。

0
回复

brz0001 离线

帖子:3035
粉蓝豆:97
经验:3058
注册时间:2008-05-05
加关注  |  发消息
9 楼    发表于2012-01-10 12:22:15举报|引用
返回顶部 | 快捷回复

谢谢曾教授!

0
回复

QQ小丽 离线

帖子:65
粉蓝豆:213
经验:232
注册时间:2011-07-30
加关注  |  发消息
10 楼    发表于2012-01-10 13:08:05举报|引用
返回顶部 | 快捷回复

学习了。

0
回复
回复:10 阅读:4153
共1页/10条首页上一页1下一页尾页
【免责声明】讨论内容仅作学术交流之用,不作为诊疗依据,由此而引起的法律问题作者及本站不承担任何责任。
快速回复
进入高级回复
您最多可输入10000个汉字,按 "Ctrl" + "Enter" 直接发送
搜索回复/乘电梯 ×
按内容
按会员
乘电梯
合作伙伴
友情链接