共1页/2条首页上一页1下一页尾页
回复:10 阅读:4152
双小腿红肿伴痒20余天

vendeezone 离线

帖子:31
粉蓝豆:32
经验:68
注册时间:2010-12-07
加关注  |  发消息
楼主 发表于 2012-01-06 15:02|举报|关注(1)
浏览排序[ 顺序 逆序 楼主 支持 精彩 ]  快捷回复

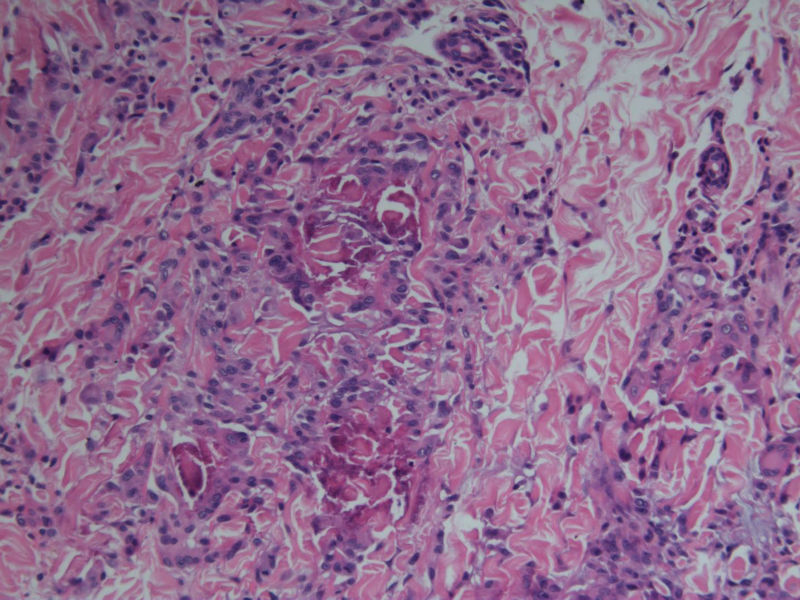
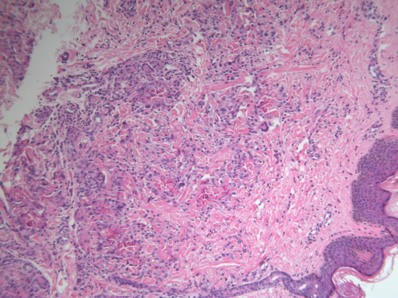
患者 男,8岁,双小腿渐粗红肿伴痒20余天,皮疹渐扩大,且出现硬化萎缩,入院后发现肺吸虫(+)。临床考虑:肺吸虫病硬皮病。请问斑竹大人考虑啥?

  • 双小腿红肿伴痒20余天图1
    图1
  • 双小腿红肿伴痒20余天图2
    图2
  • 双小腿红肿伴痒20余天图3
    图3
  • 双小腿红肿伴痒20余天图4
    图4
  • 双小腿红肿伴痒20余天图5
    图5
  • 双小腿红肿伴痒20余天图6
    图6
  • 双小腿红肿伴痒20余天图7
    图7
  • 双小腿红肿伴痒20余天图8
    图8
标签:
0
×参考诊断
肺吸虫引起的嗜酸性粒细胞增多性疾病

vendeezone 离线

帖子:31
粉蓝豆:32
经验:68
注册时间:2010-12-07
加关注  |  发消息
4 楼    发表于2012-01-06 18:34:12举报|引用
返回顶部 | 快捷回复

 但镜下没看见嗜酸性粒细胞呀

0
回复

vendeezone 离线

帖子:31
粉蓝豆:32
经验:68
注册时间:2010-12-07
加关注  |  发消息
2 楼    发表于2012-01-06 15:34:08举报|引用
返回顶部 | 快捷回复

 肉芽肿中央不是凝固性坏死,好像是胶原纤维,否为环状肉芽肿或类脂质渐进性坏死

0
回复
回复:10 阅读:4152
共1页/2条首页上一页1下一页尾页
【免责声明】讨论内容仅作学术交流之用,不作为诊疗依据,由此而引起的法律问题作者及本站不承担任何责任。
快速回复
进入高级回复
您最多可输入10000个汉字,按 "Ctrl" + "Enter" 直接发送
搜索回复/乘电梯 ×
按内容
按会员
乘电梯
合作伙伴
友情链接