共2页/22条首页上一页12下一页尾页
回复:22 阅读:6851
B3862乳腺包块

wolflovepig 离线

帖子:675
粉蓝豆:55
经验:9062
注册时间:2007-08-25
加关注  |  发消息
楼主 发表于 2011-12-29 16:18|举报|关注(1)
浏览排序[ 顺序 逆序 楼主 支持 精彩 ]  快捷回复

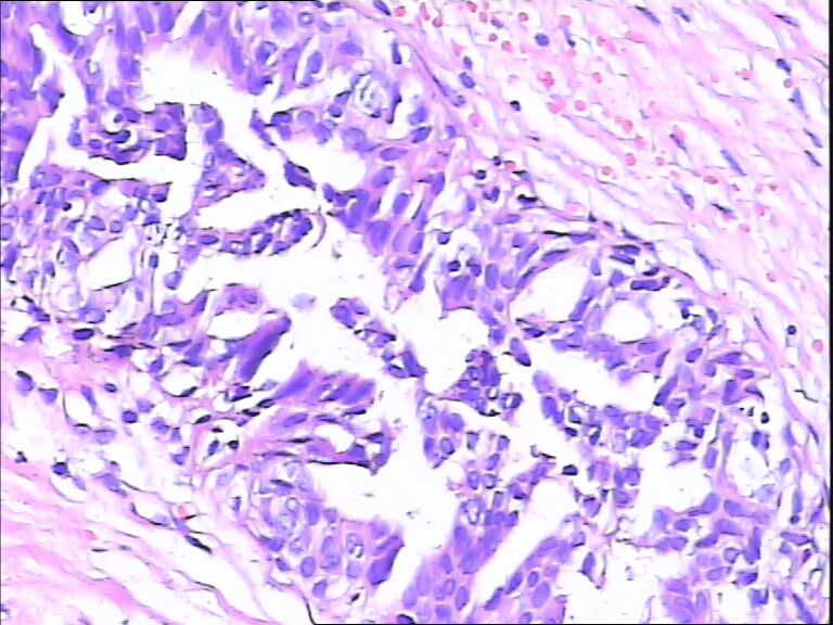
 40岁,发现乳腺包快5月

  • 乳腺包块图1
    图1
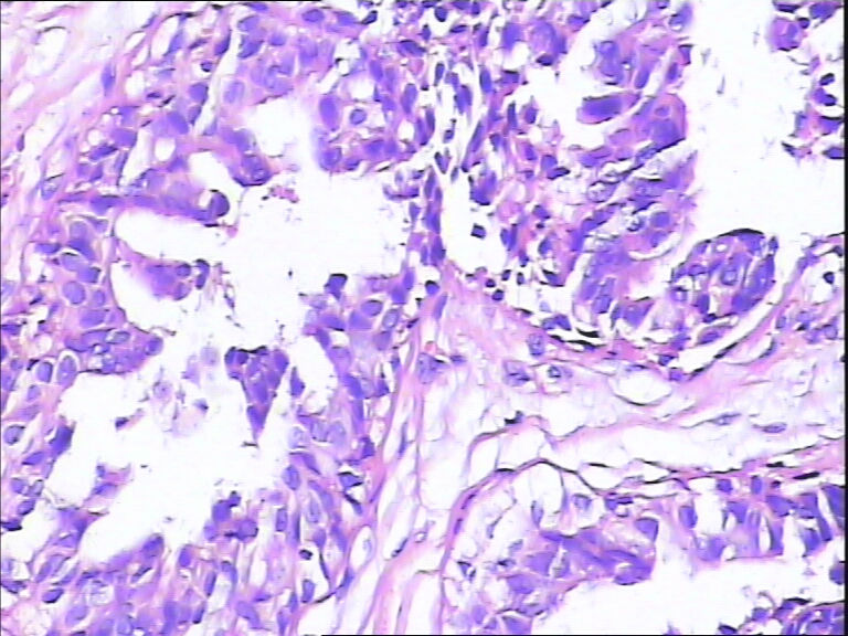
  • 乳腺包块图2
    图2
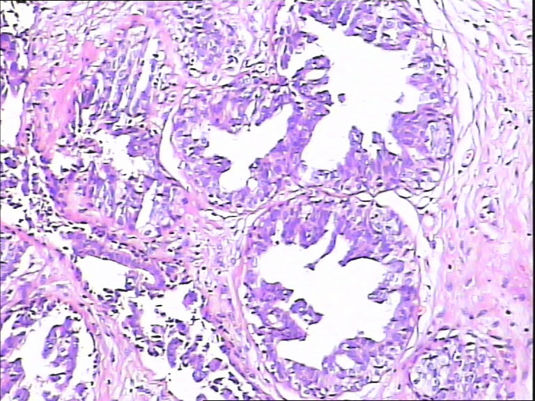
  • 乳腺包块图3
    图3
  • 乳腺包块图4
    图4
  • 乳腺包块图5
    图5
  • 乳腺包块图6
    图6
  • 乳腺包块图7
    图7
  • 乳腺包块图8
    图8
  • 乳腺包块图9
    图9
  • 乳腺包块图10
    图10

标签:UDH ADH
0
添加参考诊断
×参考诊断
  

kangwang2010 离线

帖子:389
粉蓝豆:13
经验:590
注册时间:2010-03-04
加关注  |  发消息
8 楼    发表于2011-12-30 08:59:33举报|引用
返回顶部 | 快捷回复

觉得像UDH,做CK5,P63,UDH CK5腺上皮阳性,ADH CK5腺上皮阴性

1

DeBoQ..
回复
signature
有时候,称赞别人也是一种美德!

射手笑笑 离线

帖子:1495
粉蓝豆:187
经验:2536
注册时间:2009-05-29
加关注  |  发消息
2 楼    发表于2011-12-29 17:43:06举报|引用
返回顶部 | 快捷回复

标记CK5/6,CKH,P63

1

zhanghs
回复
signature
人最幸福的一生是人生层次不断上升的一生…… 痛而不言是智慧,笑而不语是豁达……

qiaoqiao 离线

帖子:4186
粉蓝豆:143
经验:6715
注册时间:2011-08-04
加关注  |  发消息
12 楼    发表于2012-02-22 22:09:46举报|引用
返回顶部 | 快捷回复

导管内原位癌  需做组化确诊

0
回复
signature
天生我才必我用

别问我是谁 离线

帖子:234
粉蓝豆:1841
经验:584
注册时间:2011-09-27
加关注  |  发消息
6 楼    发表于2011-12-30 08:51:49举报|引用
返回顶部 | 快捷回复

ADH

0
回复

sxzyy 离线

帖子:282
粉蓝豆:16
经验:1088
注册时间:2006-12-11
加关注  |  发消息
7 楼    发表于2011-12-30 08:57:10举报|引用
返回顶部 | 快捷回复

DIN1b

0
回复
signature
李守谦

200406 离线

帖子:1385
粉蓝豆:145
经验:2735
注册时间:2011-08-08
加关注  |  发消息
9 楼    发表于2011-12-30 09:03:43举报|引用
返回顶部 | 快捷回复

ADH

 

0
回复

东北鱼 离线

帖子:442
粉蓝豆:212
经验:538
注册时间:2011-11-06
加关注  |  发消息
11 楼    发表于2011-12-31 22:37:15举报|引用
返回顶部 | 快捷回复

导管不典型增生,不够导管内癌,做一做免疫组化就一目了然了

0
回复
signature
不经一番寒彻骨,哪得梅花扑鼻香!

二土匪 离线

帖子:771
粉蓝豆:23
经验:1213
注册时间:2011-10-11
加关注  |  发消息
18 楼    发表于2012-02-26 21:13:04举报|引用
返回顶部 | 快捷回复

感觉不是普通型增生(UDH),应该到ADH或DCIS  免疫组化 ck5/6  34bE12

0
回复
signature
红尘中有独处的心,独处时有红尘的怀抱。

刀尖上的舞者 离线

帖子:1763
粉蓝豆:87
经验:3356
注册时间:2010-12-14
加关注  |  发消息
19 楼    发表于2012-02-26 21:28:12举报|引用
返回顶部 | 快捷回复

有意思,做免疫组化了在学习

0
回复

白桦林 离线

帖子:523
粉蓝豆:414
经验:1411
注册时间:2007-06-21
加关注  |  发消息
20 楼    发表于2012-02-26 21:29:53举报|引用
返回顶部 | 快捷回复

ADH

0
回复

笑傲江湖 离线

帖子:548
粉蓝豆:14
经验:748
注册时间:2009-04-07
加关注  |  发消息
13 楼    发表于2012-02-25 23:15:15举报|引用
返回顶部 | 快捷回复
引用 11 楼 东北鱼 在 2011-12-31 22:37:15 的发言:

导管不典型增生,不够导管内癌,做一做免疫组化就一目了然了


0
回复

gyy_613 离线

帖子:321
粉蓝豆:1
经验:484
注册时间:2010-09-01
加关注  |  发消息
22 楼    发表于2012-02-27 21:11:37举报|引用
返回顶部 | 快捷回复

UDH

0
回复

dbz19701110 离线

帖子:384
粉蓝豆:60
经验:817
注册时间:2008-08-23
加关注  |  发消息
14 楼    发表于2012-02-26 10:24:23举报|引用
返回顶部 | 快捷回复

觉得像UDH,做CK5,P63,UDH CK5腺上皮阳性,ADH CK5腺上皮阴性

0
回复
signature
邹冬梅

一孔天下 离线

帖子:106
粉蓝豆:104
经验:118
注册时间:2009-03-28
加关注  |  发消息
1 楼    发表于2011-12-29 17:08:11举报|引用
返回顶部 | 快捷回复

导管内癌

 

0
回复

zhanghs 离线

帖子:209
粉蓝豆:9
经验:495
注册时间:2007-11-19
加关注  |  发消息
15 楼    发表于2012-02-26 11:27:39举报|引用
返回顶部 | 快捷回复

ADH

0
回复
signature
把我们应该做的做到最好!

夏日 离线

帖子:1057
粉蓝豆:45
经验:1529
注册时间:2011-04-05
加关注  |  发消息
4 楼    发表于2011-12-29 18:05:47举报|引用
返回顶部 | 快捷回复

觉得不够癌

0
回复

douzhongbao521 离线

帖子:5
粉蓝豆:32
经验:52
注册时间:2010-11-14
加关注  |  发消息
5 楼    发表于2011-12-29 18:07:37举报|引用
返回顶部 | 快捷回复

考虑导管内原位癌  需做组化确诊

0
回复
signature
一分耕耘,一分收获

tangguiming 离线

帖子:66
粉蓝豆:2
经验:178
注册时间:2012-02-19
加关注  |  发消息
16 楼    发表于2012-02-26 12:12:48举报|引用
返回顶部 | 快捷回复

做免疫组化

标记CK5/6,CKH,P63

0
回复

cqzhao 离线

帖子:5518
粉蓝豆:1071
经验:5755
注册时间:2008-09-29
加关注  |  发消息
10 楼    发表于2011-12-31 19:32:32举报|引用
返回顶部 | 快捷回复

Quality of the slides is not good.

More like UDH

0
回复

YURENFUOSHUO 离线

帖子:78
粉蓝豆:10
经验:366
注册时间:2012-01-10
加关注  |  发消息
17 楼    发表于2012-02-26 14:58:45举报|引用
返回顶部 | 快捷回复

adh 免疫组化 标记

0
回复
signature
求实
回复:22 阅读:6851
共2页/22条首页上一页12下一页尾页
【免责声明】讨论内容仅作学术交流之用,不作为诊疗依据,由此而引起的法律问题作者及本站不承担任何责任。
快速回复
进入高级回复
您最多可输入10000个汉字,按 "Ctrl" + "Enter" 直接发送
搜索回复/乘电梯 ×
按内容
按会员
乘电梯
合作伙伴
友情链接