| 图片: | |
|---|---|
| 名称: | |
| 描述: | |
女性,42岁。下腹疼痛10余日就诊。既往十数年前右侧卵巢切除,具体不详。
术中诊断子宫肌瘤、左卵巢脓肿分别予以子宫全切和卵巢部分切除。
子宫多发性平滑肌瘤,诊断无疑(未上传照片)。
送检左侧卵巢组织两块,一为黄体(未上传照片);
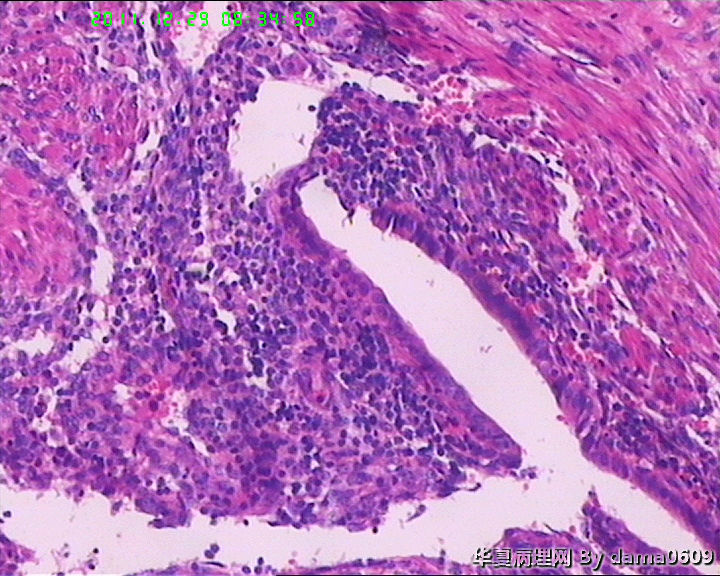
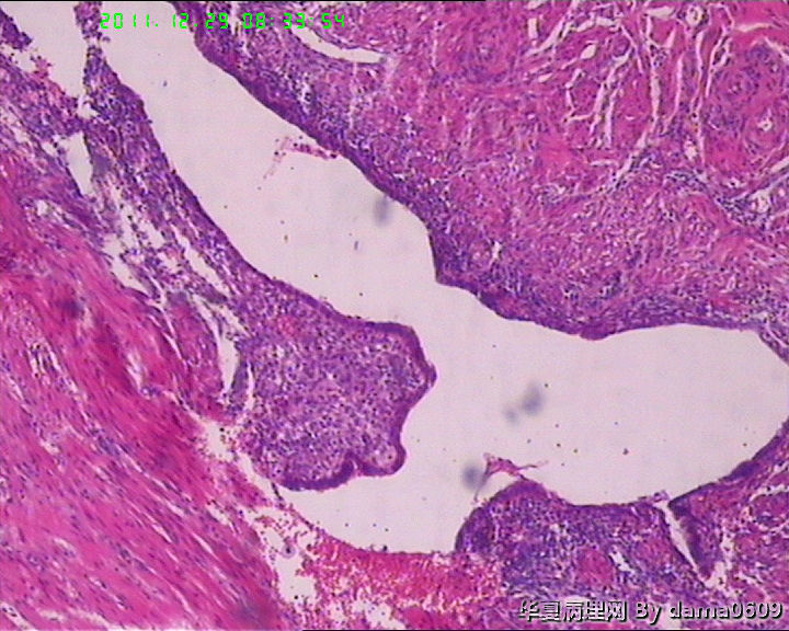
另一为小块囊壁样组织。镜下见卵巢间质内大量淋巴细胞、嗜酸性粒细胞浸润,间质出血。囊壁囊腔一侧见组织细胞、嗜中性粒细胞浸润,小血管增生(图1-9)。局灶见较多的平滑肌组织,内见有异位的子宫内膜组织(图10、11、12)。另于平滑肌组织间见到散在的小腺体(图13~30)。学生不解:1、老年人卵巢内可以出现平滑肌组织,如卵巢门处。此例如此多的平滑肌是正常的吗? 2、平滑肌间的小腺体若是异位的子宫内膜腺体但周围不见内膜间质成分。若非内膜异位腺体,学生又不知如何解释,尤其图19、20、21。请老师们指点迷津。感谢!!

kangwang2010 离线
这种现象很常见(你可以在很多由于卵巢癌或者子宫内膜癌患者切除的卵巢周围看到这种现象,当然不包括炎症),我认为不是自溶。前面的一些腺体可以认为是苗勒管,就好比我们在宫颈深部可以看到这些腺体一样,这是一种正常现象,贴着平滑肌边上的腺体也是苗勒管腺体,有可能是卵巢囊肿感人带的输卵管成分,或者就是卵巢门部的一些苗勒管。我不认为是子宫内膜异位,关于异位一说,有子宫内膜异位,子宫颈内膜异位,还有输卵管内膜异位(大多数认为是苗勒管残余形成)
学习了!谢谢老师!

这种现象很常见(你可以在很多由于卵巢癌或者子宫内膜癌患者切除的卵巢周围看到这种现象,当然不包括炎症),我认为不是自溶。前面的一些腺体可以认为是苗勒管,就好比我们在宫颈深部可以看到这些腺体一样,这是一种正常现象,贴着平滑肌边上的腺体也是苗勒管腺体,有可能是卵巢囊肿感人带的输卵管成分,或者就是卵巢门部的一些苗勒管。我不认为是子宫内膜异位,关于异位一说,有子宫内膜异位,子宫颈内膜异位,还有输卵管内膜异位(大多数认为是苗勒管残余形成)


1394361892 离线
这种现象很常见(你可以在很多由于卵巢癌或者子宫内膜癌患者切除的卵巢周围看到这种现象,当然不包括炎症),我认为不是自溶。前面的一些腺体可以认为是苗勒管,就好比我们在宫颈深部可以看到这些腺体一样,这是一种正常现象,贴着平滑肌边上的腺体也是苗勒管腺体,有可能是卵巢囊肿感人带的输卵管成分,或者就是卵巢门部的一些苗勒管。我不认为是子宫内膜异位,关于异位一说,有子宫内膜异位,子宫颈内膜异位,还有输卵管内膜异位(大多数认为是苗勒管残余形成)