回复:13 阅读:3321
感谢老师们一年来的支持,年终岁尾最后一贴,请老师们指教!!

dama0609 离线

帖子:613
粉蓝豆:1474
经验:708
注册时间:2008-09-08
加关注  |  发消息
楼主 发表于 2011-12-29 14:29|举报|关注(0)
浏览排序[ 顺序 逆序 楼主 支持 精彩 ]  快捷回复

女性,42岁。下腹疼痛10余日就诊。既往十数年前右侧卵巢切除,具体不详。
       术中诊断子宫肌瘤、左卵巢脓肿分别予以子宫全切和卵巢部分切除。
       子宫多发性平滑肌瘤,诊断无疑(未上传照片)。
       送检左侧卵巢组织两块,一为黄体(未上传照片);
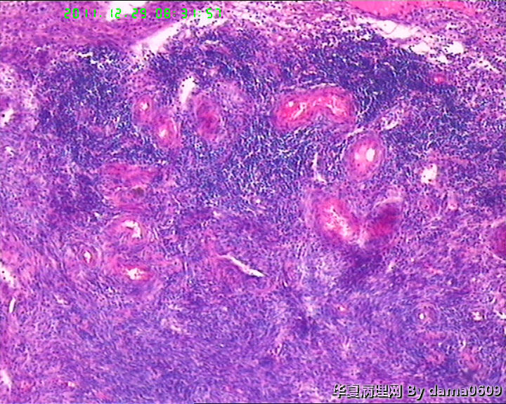
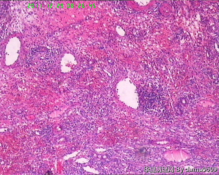
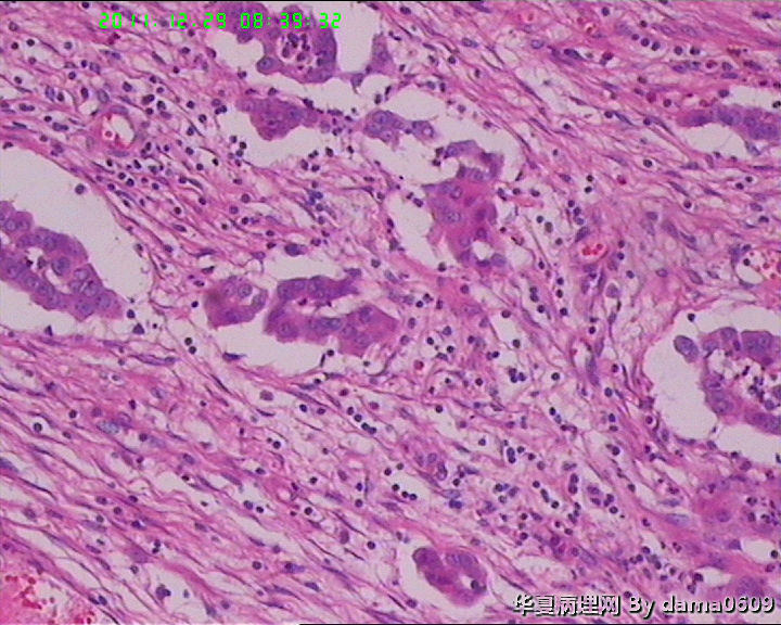
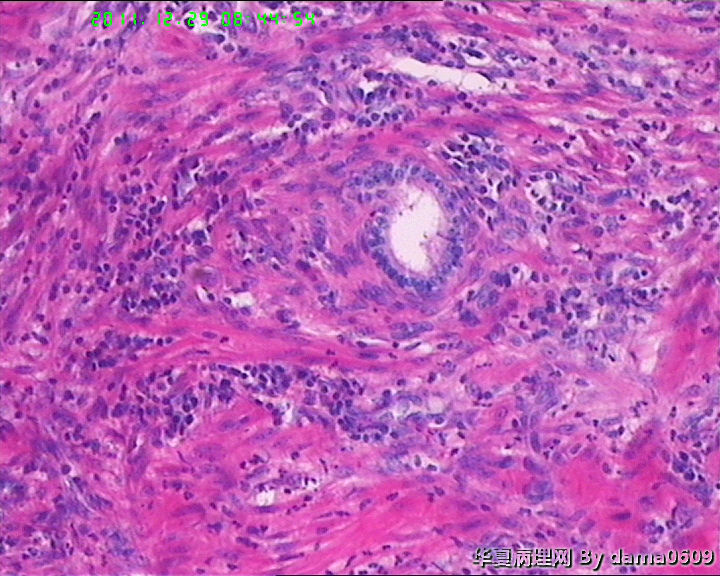
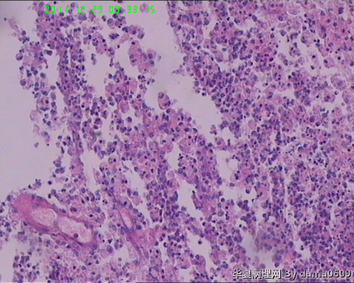
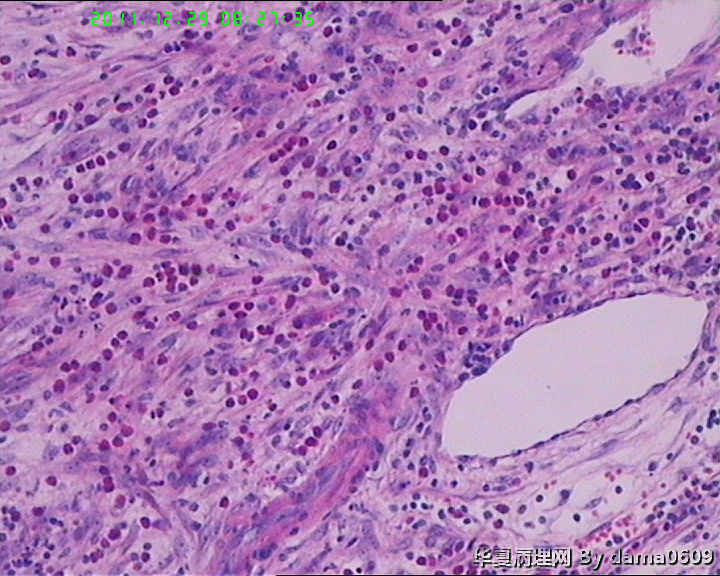
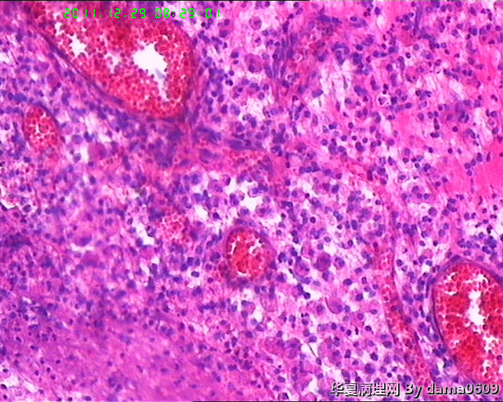
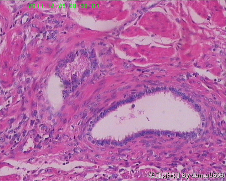
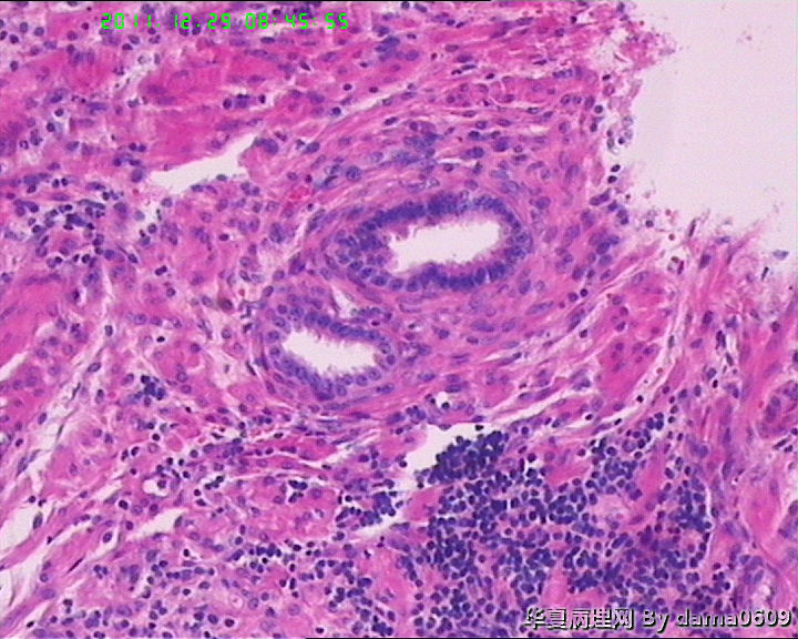
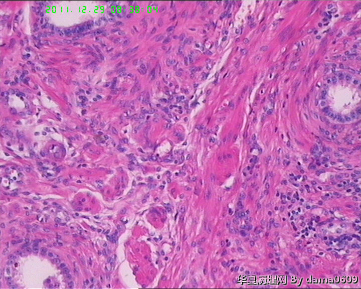
       另一为小块囊壁样组织。镜下见卵巢间质内大量淋巴细胞、嗜酸性粒细胞浸润,间质出血。囊壁囊腔一侧见组织细胞、嗜中性粒细胞浸润,小血管增生(图1-9)。局灶见较多的平滑肌组织,内见有异位的子宫内膜组织(图10、11、12)。另于平滑肌组织间见到散在的小腺体(图13~30)。学生不解:1、老年人卵巢内可以出现平滑肌组织,如卵巢门处。此例如此多的平滑肌是正常的吗?   2、平滑肌间的小腺体若是异位的子宫内膜腺体但周围不见内膜间质成分。若非内膜异位腺体,学生又不知如何解释,尤其图19、20、21。请老师们指点迷津。感谢!!

  • 感谢老师们一年来的支持,年终岁尾最后一贴,请老师们指教!!图1
    图1
  • 感谢老师们一年来的支持,年终岁尾最后一贴,请老师们指教!!图2
    图2
  • 感谢老师们一年来的支持,年终岁尾最后一贴,请老师们指教!!图3
    图3
  • 感谢老师们一年来的支持,年终岁尾最后一贴,请老师们指教!!图4
    图4
  • 感谢老师们一年来的支持,年终岁尾最后一贴,请老师们指教!!图5
    图5
  • 感谢老师们一年来的支持,年终岁尾最后一贴,请老师们指教!!图6
    图6
  • 感谢老师们一年来的支持,年终岁尾最后一贴,请老师们指教!!图7
    图7
  • 感谢老师们一年来的支持,年终岁尾最后一贴,请老师们指教!!图8
    图8
  • 感谢老师们一年来的支持,年终岁尾最后一贴,请老师们指教!!图9
    图9
  • 感谢老师们一年来的支持,年终岁尾最后一贴,请老师们指教!!图10
    图10
  • 感谢老师们一年来的支持,年终岁尾最后一贴,请老师们指教!!图11
    图11
  • 感谢老师们一年来的支持,年终岁尾最后一贴,请老师们指教!!图12
    图12
  • 感谢老师们一年来的支持,年终岁尾最后一贴,请老师们指教!!图13
    图13
  • 感谢老师们一年来的支持,年终岁尾最后一贴,请老师们指教!!图14
    图14
  • 感谢老师们一年来的支持,年终岁尾最后一贴,请老师们指教!!图15
    图15
  • 感谢老师们一年来的支持,年终岁尾最后一贴,请老师们指教!!图16
    图16
  • 感谢老师们一年来的支持,年终岁尾最后一贴,请老师们指教!!图17
    图17
  • 感谢老师们一年来的支持,年终岁尾最后一贴,请老师们指教!!图18
    图18
  • 感谢老师们一年来的支持,年终岁尾最后一贴,请老师们指教!!图19
    图19
  • 感谢老师们一年来的支持,年终岁尾最后一贴,请老师们指教!!图20
    图20
  • 感谢老师们一年来的支持,年终岁尾最后一贴,请老师们指教!!图21
    图21
  • 感谢老师们一年来的支持,年终岁尾最后一贴,请老师们指教!!图22
    图22
  • 感谢老师们一年来的支持,年终岁尾最后一贴,请老师们指教!!图23
    图23
  • 感谢老师们一年来的支持,年终岁尾最后一贴,请老师们指教!!图24
    图24
  • 感谢老师们一年来的支持,年终岁尾最后一贴,请老师们指教!!图25
    图25
  • 感谢老师们一年来的支持,年终岁尾最后一贴,请老师们指教!!图26
    图26
  • 感谢老师们一年来的支持,年终岁尾最后一贴,请老师们指教!!图27
    图27
  • 感谢老师们一年来的支持,年终岁尾最后一贴,请老师们指教!!图28
    图28
  • 感谢老师们一年来的支持,年终岁尾最后一贴,请老师们指教!!图29
    图29
  • 感谢老师们一年来的支持,年终岁尾最后一贴,请老师们指教!!图30
    图30
 
标签:
0
signature
过河小马!
添加参考诊断
×参考诊断
  
回复:13 阅读:3321
【免责声明】讨论内容仅作学术交流之用,不作为诊疗依据,由此而引起的法律问题作者及本站不承担任何责任。
快速回复
进入高级回复
您最多可输入10000个汉字,按 "Ctrl" + "Enter" 直接发送
搜索回复/乘电梯 ×
按内容
按会员
乘电梯
合作伙伴
友情链接