| 图片: | |
|---|---|
| 名称: | |
| 描述: | |
yonghongchen 离线



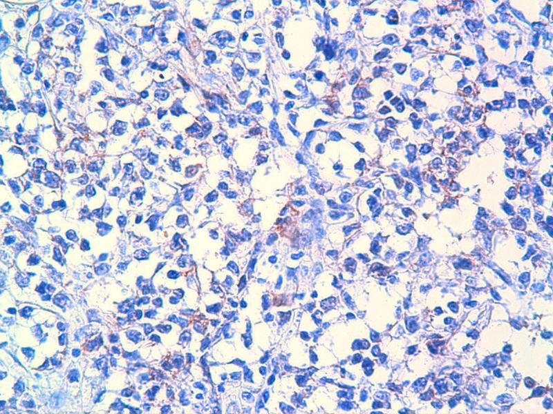
免疫组化染色:CA125(-),PLAP(-),NSE灶状阳性,Vimentin(+),a-inhibin(-),CK7(-),CK20(-),CD15(-),PSA(-),S100(-),MyoD1(-),CD38(-),CD56(-),HMB45(-),CK8(-),NF(-),CGA(-),syn(+),MPO散在(+)可能是炎细胞吧,LCA(+),CD133(+).

yonghongchen 离线
yonghongchen 离线
yonghongchen 离线
yonghongchen 离线
chenliu0552 离线
yonghongchen 离线
是的,syn(+),LCA(+), CD79a阳性, CD3阴性,NSE是局部胞核,胞浆着色,主要是胞浆着色;SYN也是局部,主要是胞核着色,胞浆很少。不对吗?我也迷糊。也许我看错了,不像那种典型的胞浆颗粒状着色。大家帮看一看。

yonghongchen 离线
今天又做了免疫组化,请大家帮看看。CD10(-),CD138(-),CDX2(-),CD3(-),CyclinD1(-),CD2(-),CD117(-),CD7(-),CD30(-),CD23(-);CD20强(+),BCL-2,Bcl-6,EMA,PAX-5,MUM-1,CD5,ALK,CD68都是散在阳性,大家帮确定一下是否阳性。B细胞淋巴瘤可以确定了,不知是哪种类型的?

yonghongchen 离线
yonghongchen 离线