| 图片: | |
|---|---|
| 名称: | |
| 描述: | |
yonghongchen 离线



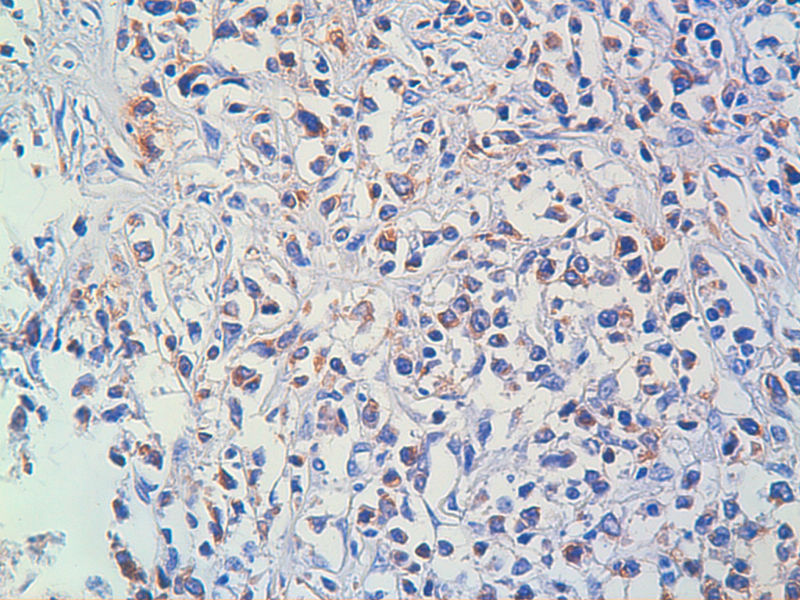
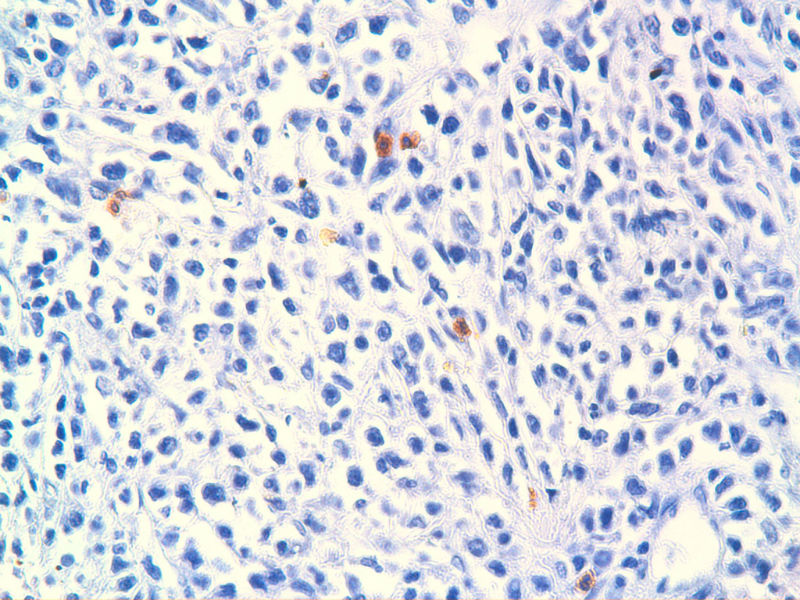
免疫组化染色:CA125(-),PLAP(-),NSE灶状阳性,Vimentin(+),a-inhibin(-),CK7(-),CK20(-),CD15(-),PSA(-),S100(-),MyoD1(-),CD38(-),CD56(-),HMB45(-),CK8(-),NF(-),CGA(-),syn(+),MPO散在(+)可能是炎细胞吧,LCA(+),CD133(+).

yonghongchen 离线
chenliu0552 离线
yonghongchen 离线
yonghongchen 离线
yonghongchen 离线
yonghongchen 离线
flj20092049 离线
chenliu0552 离线
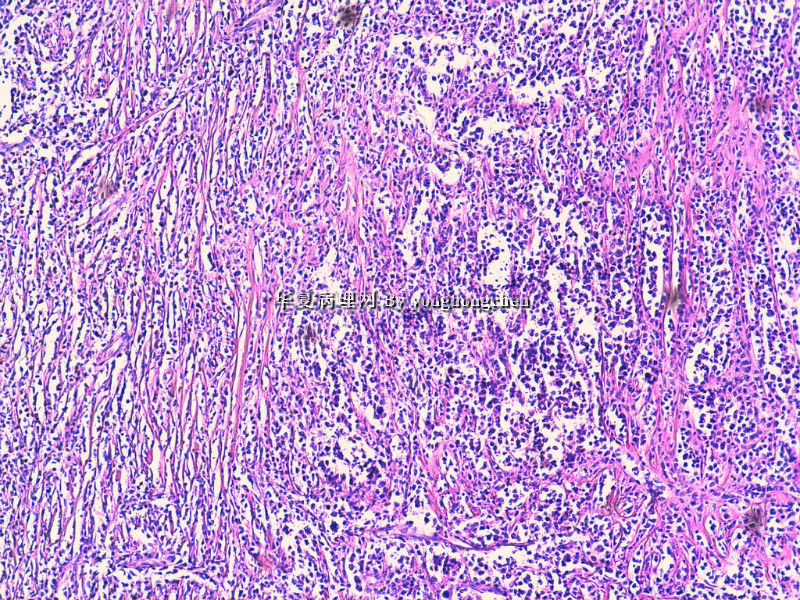
好的HE切片和准确可靠的免疫组化结果是淋巴瘤等较难病例病理诊断的基础。本例从HE来看不太像典型的淋巴瘤或癌,免疫组化就很重要了,但本例组化结果之间似乎不易解释:
1.syn与LCA等淋巴系标记的阳性判断,镜下须观察阳性细胞是否一致,是相同的细胞还是不同的细胞等
2.如果考虑淋巴瘤,B系的标记如CD20和PAX5结果也不太一致,另外CD133+究竟如何也有待探讨,好像楼主未显示其图片
3.ALK等也不太确切,
不知楼主以上的组化结果阴阳性对照如何?我个人经验不足,不敢妄下结论,但认为诊断淋巴瘤(弥漫大B,或间变淋巴瘤)可能会有风险。
yonghongchen 离线
yonghongchen 离线
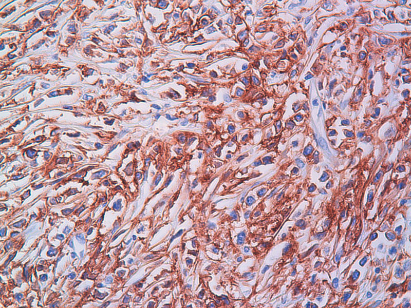
今天又做了免疫组化,请大家帮看看。CD10(-),CD138(-),CDX2(-),CD3(-),CyclinD1(-),CD2(-),CD117(-),CD7(-),CD30(-),CD23(-);CD20强(+),BCL-2,Bcl-6,EMA,PAX-5,MUM-1,CD5,ALK,CD68都是散在阳性,大家帮确定一下是否阳性。B细胞淋巴瘤可以确定了,不知是哪种类型的?

yonghongchen 离线
是的,syn(+),LCA(+), CD79a阳性, CD3阴性,NSE是局部胞核,胞浆着色,主要是胞浆着色;SYN也是局部,主要是胞核着色,胞浆很少。不对吗?我也迷糊。也许我看错了,不像那种典型的胞浆颗粒状着色。大家帮看一看。

chenliu0552 离线