共1页/18条首页上一页1下一页尾页
回复:18 阅读:3866
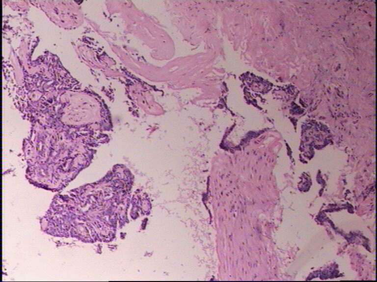
B3858乳腺肿物

小鬼难缠 离线

帖子:393
粉蓝豆:510
经验:2502
注册时间:2009-01-24
加关注  |  发消息
楼主 发表于 2011-12-27 15:52|举报|关注(0)
浏览排序[ 顺序 逆序 楼主 支持 精彩 ]  快捷回复

 女42岁,乳腺肿物一年

  • 乳腺肿物图1
    图1
  • 乳腺肿物图2
    图2
  • 乳腺肿物图3
    图3
  • 乳腺肿物图4
    图4
  • 乳腺肿物图5
    图5
  • 乳腺肿物图6
    图6
  • 乳腺肿物图7
    图7
  • 乳腺肿物图8
    图8
  • 乳腺肿物图9
    图9
  • 乳腺肿物图10
    图10
  • 乳腺肿物图11
    图11
 
标签:乳腺导管内乳头状瘤
0
添加参考诊断
×参考诊断
  

zhjsh 离线

帖子:41
粉蓝豆:5
经验:54
注册时间:2010-01-03
加关注  |  发消息
1 楼    发表于2011-12-27 16:00:02举报|引用
返回顶部 | 快捷回复

乳腺导管内乳头状瘤。

1

Renghis
回复

笃行者 离线

帖子:2689
粉蓝豆:59
经验:3020
注册时间:2006-10-04
加关注  |  发消息
2 楼    发表于2011-12-27 18:10:19举报|引用
返回顶部 | 快捷回复
引用 1 楼 zhjsh 在 2011-12-27 16:00:02 的发言:

乳腺导管内乳头状瘤。


0
回复
signature
博学之,审问之,慎思之,明辨之,笃行之。

linyguo 离线

帖子:2365
粉蓝豆:43
经验:2514
注册时间:2009-08-09
加关注  |  发消息
3 楼    发表于2011-12-27 18:13:12举报|引用
返回顶部 | 快捷回复

导管内乳头状瘤

0
回复

Renghis 离线

帖子:2530
粉蓝豆:92
经验:4081
注册时间:2007-12-13
加关注  |  发消息
4 楼    发表于2011-12-27 18:23:17举报|引用
返回顶部 | 快捷回复

冰冻后的石蜡切片吗?

考虑:导管内乳头状瘤。

0
回复
signature
重归学生时代!

zsg010281 离线

帖子:228
粉蓝豆:2
经验:246
注册时间:2011-06-19
加关注  |  发消息
5 楼    发表于2011-12-27 18:44:51举报|引用
返回顶部 | 快捷回复

乳腺导管内乳头状瘤

0
回复
signature
与世无争,延年益寿。

efeel2001 离线

帖子:23
粉蓝豆:21
经验:58
注册时间:2009-10-16
加关注  |  发消息
6 楼    发表于2011-12-27 20:35:27举报|引用
返回顶部 | 快捷回复

导管内乳头状瘤

0
回复

ltt1208 离线

帖子:345
粉蓝豆:581
经验:396
注册时间:2009-09-14
加关注  |  发消息
7 楼    发表于2011-12-27 21:25:12举报|引用
返回顶部 | 快捷回复

 乳腺导管乳头状瘤

 

0
回复

immunity 离线

帖子:91
粉蓝豆:523
经验:291
注册时间:2009-02-17
加关注  |  发消息
8 楼    发表于2011-12-27 22:17:03举报|引用
返回顶部 | 快捷回复

乳腺导管乳头状瘤

0
回复
signature
......

何生 离线

帖子:1281
粉蓝豆:68
经验:6304
注册时间:2009-04-18
加关注  |  发消息
9 楼    发表于2011-12-28 15:07:21举报|引用
返回顶部 | 快捷回复

乳腺导管内乳头状瘤

0
回复
signature
何生

cqzhao 离线

帖子:5518
粉蓝豆:1071
经验:5755
注册时间:2008-09-29
加关注  |  发消息
10 楼    发表于2011-12-31 19:37:53举报|引用
返回顶部 | 快捷回复
引用 1 楼 zhjsh 在 2011-12-27 16:00:02 的发言:

乳腺导管内乳头状瘤。


0
回复

zhenshijian 离线

帖子:1069
粉蓝豆:91
经验:1364
注册时间:2008-04-20
加关注  |  发消息
11 楼    发表于2011-12-31 19:41:09举报|引用
返回顶部 | 快捷回复
引用 1 楼 zhjsh 在 2011-12-27 16:00:02 的发言:

乳腺导管内乳头状瘤。


0
回复

cdzyy 离线

帖子:12
粉蓝豆:46
经验:95
注册时间:2011-03-22
加关注  |  发消息
12 楼    发表于2011-12-31 19:41:45举报|引用
返回顶部 | 快捷回复

谢谢各位老师,受教了~~!! 

0
回复
signature
快乐工作,快乐生活。

浪里淘沙 离线

帖子:21
粉蓝豆:60
经验:348
注册时间:2009-07-07
加关注  |  发消息
13 楼    发表于2012-01-03 20:24:52举报|引用
返回顶部 | 快捷回复

导管内乳头状瘤

 

0
回复

duhua 离线

帖子:1206
粉蓝豆:152
经验:1738
注册时间:2008-08-19
加关注  |  发消息
14 楼    发表于2012-01-03 20:59:35举报|引用
返回顶部 | 快捷回复

导管内乳头状瘤。

0
回复

周广民 离线

帖子:134
粉蓝豆:6
经验:153
注册时间:2011-03-03
加关注  |  发消息
15 楼    发表于2012-01-03 21:01:53举报|引用
返回顶部 | 快捷回复

导管内乳头状瘤

0
回复

教学课堂 离线

帖子:48
粉蓝豆:9
经验:184
注册时间:2008-03-31
加关注  |  发消息
16 楼    发表于2012-01-03 22:48:27举报|引用
返回顶部 | 快捷回复

乳腺导管内乳头状瘤

0
回复

长河 离线

帖子:74
粉蓝豆:14
经验:124
注册时间:2010-08-16
加关注  |  发消息
17 楼    发表于2012-01-03 23:01:01举报|引用
返回顶部 | 快捷回复

乳腺导管内乳头状瘤

0
回复

fuying 离线

帖子:362
粉蓝豆:2
经验:390
注册时间:2008-04-10
加关注  |  发消息
18 楼    发表于2012-01-04 11:10:51举报|引用
返回顶部 | 快捷回复

导管内乳头状瘤,可见肌上皮。

0
回复
回复:18 阅读:3866
共1页/18条首页上一页1下一页尾页
【免责声明】讨论内容仅作学术交流之用,不作为诊疗依据,由此而引起的法律问题作者及本站不承担任何责任。
快速回复
进入高级回复
您最多可输入10000个汉字,按 "Ctrl" + "Enter" 直接发送
搜索回复/乘电梯 ×
按内容
按会员
乘电梯
合作伙伴
友情链接