| 图片: | |
|---|---|
| 名称: | |
| 描述: | |
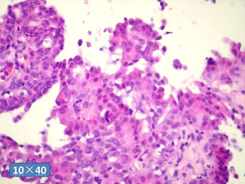
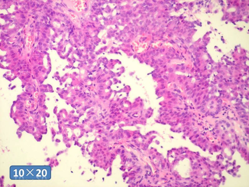
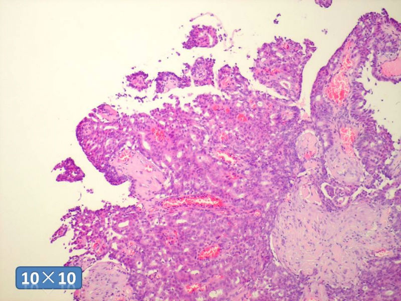
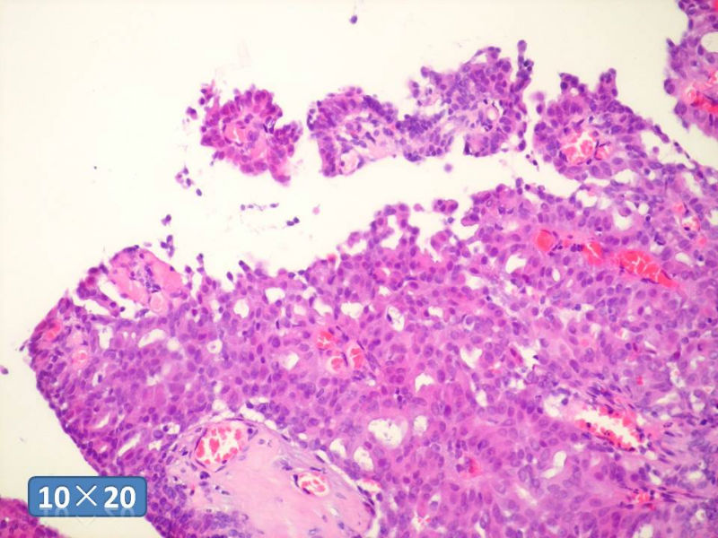
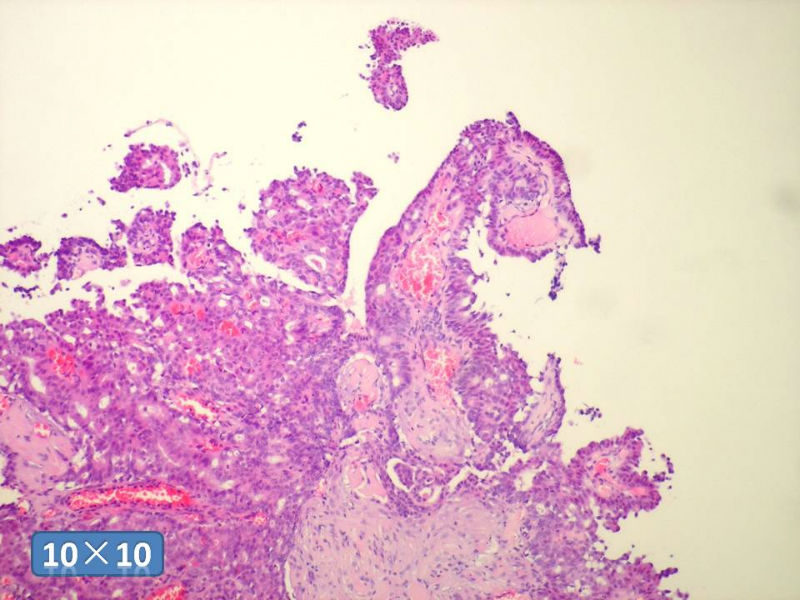
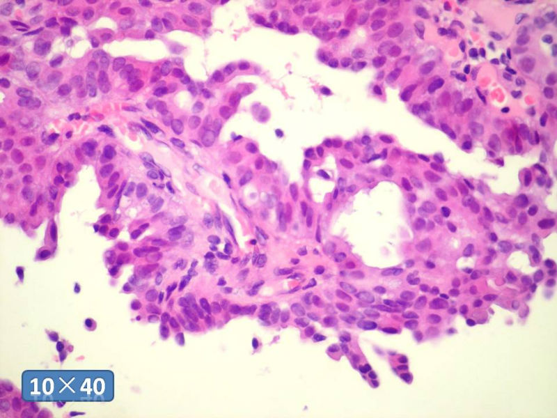
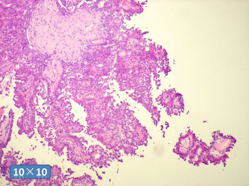
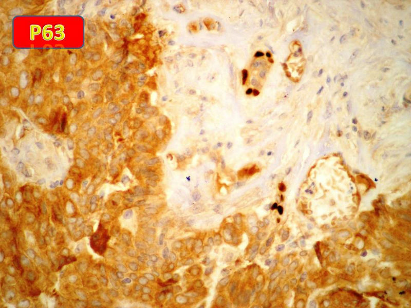
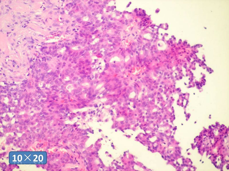
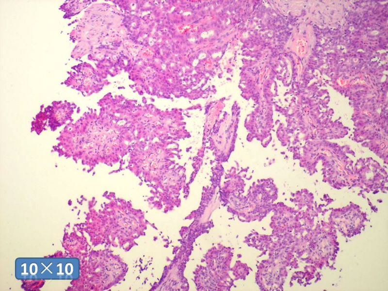
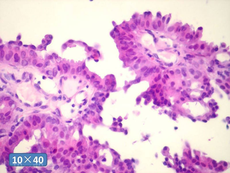
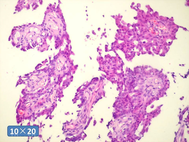
只能说是乳头状瘤
是不是导管内
咋说?
乳头状瘤 and 导管内乳头状瘤 are the same; Benign lesion.
After you work up and you still cannot be sure it is benign , atypical or maignant lesion, you can call 乳头状lesion.
If this is excisonal case, you should figure out the nature of the papillary lesion.
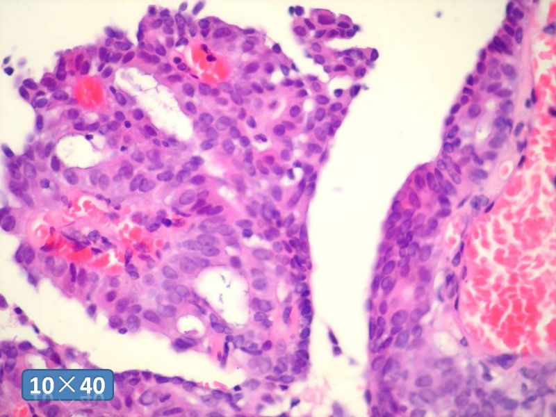
只能说是乳头状瘤
是不是导管内
咋说?
乳头状瘤 and 导管内乳头状瘤 are the same; Benign lesion.
After you work up and you still cannot be sure it is benign , atypical or maignant lesion, you can call 乳头状lesion.
If this is excisonal case, you should figure out the nature of the papillary lesion.

我的意思就是提醒大家 在不是很确定的情况下 尽量少给自己套枷锁
