共2页/27条首页上一页12下一页尾页
回复:27 阅读:7791
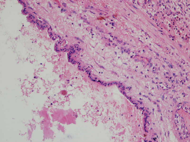
甲状腺囊肿,请老师们指教

piaoqing 离线

帖子:16
粉蓝豆:1
经验:16
注册时间:2011-07-06
加关注  |  发消息
楼主 发表于 2011-12-01 14:52|举报|关注(0)
浏览排序[ 顺序 逆序 楼主 支持 精彩 ]  快捷回复

 男,44,甲状腺囊肿.直径1.5公分,内流清亮液

  • 甲状腺囊肿,请老师们指教图1
    图1
  • 甲状腺囊肿,请老师们指教图2
    图2
  • 甲状腺囊肿,请老师们指教图3
    图3
  • 甲状腺囊肿,请老师们指教图4
    图4
  • 甲状腺囊肿,请老师们指教图5
    图5
  • 甲状腺囊肿,请老师们指教图6
    图6
  • 甲状腺囊肿,请老师们指教图7
    图7
  • 甲状腺囊肿,请老师们指教图8
    图8
  • 甲状腺囊肿,请老师们指教图9
    图9
  • 甲状腺囊肿,请老师们指教图10
    图10
  • 甲状腺囊肿,请老师们指教图11
    图11
  • 甲状腺囊肿,请老师们指教图12
    图12
  • 甲状腺囊肿,请老师们指教图13
    图13
  • 甲状腺囊肿,请老师们指教图14
    图14
标签:
0
添加参考诊断
×参考诊断
  

哲哲 离线

帖子:73
粉蓝豆:7
经验:166
注册时间:2010-03-21
加关注  |  发消息
21 楼    发表于2011-12-02 14:18:12举报|引用
返回顶部 | 快捷回复

结甲伴出血及囊性变

0
回复

zxczsg010281 离线

帖子:4
粉蓝豆:1
经验:4
注册时间:2011-12-01
加关注  |  发消息
22 楼    发表于2011-12-02 19:04:10举报|引用
返回顶部 | 快捷回复

结节性甲状腺肿伴囊性变。

0
回复
signature
好好工作,好好生活。

精于本业 离线

帖子:131
粉蓝豆:147
经验:221
注册时间:2011-09-05
加关注  |  发消息
23 楼    发表于2011-12-05 00:23:34举报|引用
返回顶部 | 快捷回复

结节性甲状腺肿伴囊性变

0
回复

shougangmn 离线

帖子:42
粉蓝豆:122
经验:244
注册时间:2011-05-31
加关注  |  发消息
24 楼    发表于2011-12-05 09:05:27举报|引用
返回顶部 | 快捷回复

请教老师们:有上皮内衬的一侧为囊壁的内衬上皮,是滤泡上皮吗?肉芽组织及出血区应该是继发的反应吧?

0
回复

maggiemaj 离线

帖子:102
粉蓝豆:12
经验:146
注册时间:2008-06-23
加关注  |  发消息
25 楼    发表于2011-12-05 10:50:52举报|引用
返回顶部 | 快捷回复

结节性甲状腺肿伴囊性变

0
回复

piaoqing 离线

帖子:16
粉蓝豆:1
经验:16
注册时间:2011-07-06
加关注  |  发消息
26 楼    发表于2011-12-09 15:47:47举报|引用
返回顶部 | 快捷回复

 谢谢各位老师们!结甲伴出血、囊性变

0
回复

学海无涯 离线

帖子:165
粉蓝豆:81
经验:803
注册时间:2008-04-24
加关注  |  发消息
27 楼    发表于2011-12-09 15:59:51举报|引用
返回顶部 | 快捷回复

结甲囊性变

0
回复
回复:27 阅读:7791
共2页/27条首页上一页12下一页尾页
【免责声明】讨论内容仅作学术交流之用,不作为诊疗依据,由此而引起的法律问题作者及本站不承担任何责任。
快速回复
进入高级回复
您最多可输入10000个汉字,按 "Ctrl" + "Enter" 直接发送
搜索回复/乘电梯 ×
按内容
按会员
乘电梯
合作伙伴
友情链接