共2页/27条首页上一页12下一页尾页
回复:27 阅读:7781
甲状腺囊肿,请老师们指教

piaoqing 离线

帖子:16
粉蓝豆:1
经验:16
注册时间:2011-07-06
加关注  |  发消息
楼主 发表于 2011-12-01 14:52|举报|关注(0)
浏览排序[ 顺序 逆序 楼主 支持 精彩 ]  快捷回复

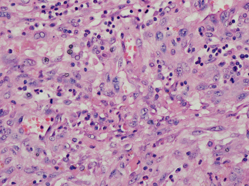
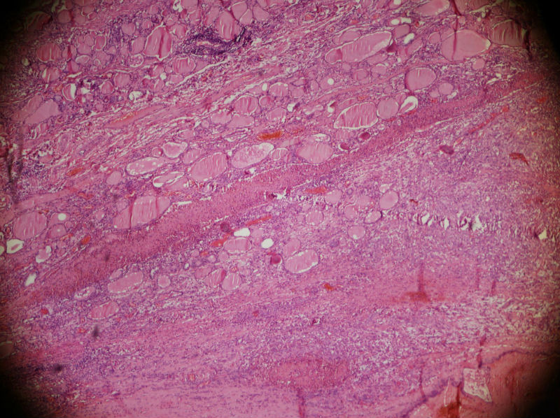
 男,44,甲状腺囊肿.直径1.5公分,内流清亮液

  • 甲状腺囊肿,请老师们指教图1
    图1
  • 甲状腺囊肿,请老师们指教图2
    图2
  • 甲状腺囊肿,请老师们指教图3
    图3
  • 甲状腺囊肿,请老师们指教图4
    图4
  • 甲状腺囊肿,请老师们指教图5
    图5
  • 甲状腺囊肿,请老师们指教图6
    图6
  • 甲状腺囊肿,请老师们指教图7
    图7
  • 甲状腺囊肿,请老师们指教图8
    图8
  • 甲状腺囊肿,请老师们指教图9
    图9
  • 甲状腺囊肿,请老师们指教图10
    图10
  • 甲状腺囊肿,请老师们指教图11
    图11
  • 甲状腺囊肿,请老师们指教图12
    图12
  • 甲状腺囊肿,请老师们指教图13
    图13
  • 甲状腺囊肿,请老师们指教图14
    图14
标签:
0
添加参考诊断
×参考诊断
  

yichvqs 离线

帖子:234
粉蓝豆:233
经验:796
注册时间:2011-02-17
加关注  |  发消息
10 楼    发表于2011-12-01 20:18:26举报|引用
返回顶部 | 快捷回复

结节性甲状腺肿伴囊性变

3

清水波心

piaoqing

yangjinf..
回复

乌之语 离线

帖子:268
粉蓝豆:473
经验:290
注册时间:2011-08-04
加关注  |  发消息
12 楼    发表于2011-12-01 20:54:04举报|引用
返回顶部 | 快捷回复

结节性甲状腺肿伴出血、囊性变。囊肿边上的滤泡大小不一,纤维组织增生,还可见炎细胞浸润。

3

亡羊补牢

东北鱼

大雪素
回复

白晓云 离线

帖子:300
粉蓝豆:2049
经验:1487
注册时间:2007-12-29
加关注  |  发消息
4 楼    发表于2011-12-01 15:22:20举报|引用
返回顶部 | 快捷回复

结节性甲状腺肿伴囊性变。图2右上角的滤泡上皮似乎有些嗜酸性变。总之:良性病变。图13伴有出血。

2

flj20092..

Renghis
回复

hxxtl 离线

帖子:709
粉蓝豆:565
经验:3217
注册时间:2009-01-07
加关注  |  发消息
7 楼    发表于2011-12-01 17:51:32举报|引用
返回顶部 | 快捷回复

结甲囊性变。

该囊肿不与舌骨相连,不是甲状舌骨囊肿。上皮下淋巴细胞不丰富,不是腮裂囊肿。

2

清水波心

flj20092..
回复
signature
集腋成裘 厚积薄发

阿娇 离线

帖子:2054
粉蓝豆:3295
经验:2384
注册时间:2008-05-31
加关注  |  发消息
6 楼    发表于2011-12-01 16:46:31举报|引用
返回顶部 | 快捷回复

结节性甲状腺肿

1

liguoxia..
回复

emilypeaker 离线

帖子:654
粉蓝豆:1570
经验:2182
注册时间:2011-01-03
加关注  |  发消息
9 楼    发表于2011-12-01 18:32:05举报|引用
返回顶部 | 快捷回复

结节性甲状腺肿。

图片很清晰!表扬一下

1

piaoqing
回复
signature
Suffered from papillary thyroid carcinoma, then major in Endocrine tumor.

李浩东 离线

帖子:88
粉蓝豆:2
经验:464
注册时间:2011-07-21
加关注  |  发消息
11 楼    发表于2011-12-01 20:38:13举报|引用
返回顶部 | 快捷回复

结节性甲状腺肿伴囊性变。不知道有没有穿刺病史。

0
回复

piaoqing 离线

帖子:16
粉蓝豆:1
经验:16
注册时间:2011-07-06
加关注  |  发消息
13 楼    发表于2011-12-01 20:54:44举报|引用
返回顶部 | 快捷回复

没有穿刺病史.,谢谢各位老师! 

0
回复

白桦林 离线

帖子:523
粉蓝豆:414
经验:1411
注册时间:2007-06-21
加关注  |  发消息
14 楼    发表于2011-12-01 21:40:12举报|引用
返回顶部 | 快捷回复

结节性甲状腺肿囊性变伴周围慢性炎细胞感染。

0
回复

piaoqing 离线

帖子:16
粉蓝豆:1
经验:16
注册时间:2011-07-06
加关注  |  发消息
1 楼    发表于2011-12-01 15:15:14举报|引用
返回顶部 | 快捷回复

 补充,,包膜不完整..囊内壁就是图2,图3..

0
回复

haozhaoxing 离线

帖子:769
粉蓝豆:51
经验:1503
注册时间:2010-03-14
加关注  |  发消息
3 楼    发表于2011-12-01 15:19:08举报|引用
返回顶部 | 快捷回复

就目前切片来说就是结甲

0
回复
signature

厚积薄发

学海无涯 离线

帖子:165
粉蓝豆:81
经验:803
注册时间:2008-04-24
加关注  |  发消息
27 楼    发表于2011-12-09 15:59:51举报|引用
返回顶部 | 快捷回复

结甲囊性变

0
回复

baixuefeng 离线

帖子:73
粉蓝豆:422
经验:411
注册时间:2006-10-21
加关注  |  发消息
15 楼    发表于2011-12-01 22:01:33举报|引用
返回顶部 | 快捷回复
引用 14 楼 白桦林 在 2011-12-01 21:40:12 的发言:

结节性甲状腺肿囊性变伴周围慢性炎细胞感染。


0
回复

高倍镜 离线

帖子:89
粉蓝豆:22
经验:93
注册时间:2006-10-22
加关注  |  发消息
5 楼    发表于2011-12-01 15:51:04举报|引用
返回顶部 | 快捷回复
结节性甲状腺肿伴囊性变     还可见囊壁周围伴有感染吧。
0
回复

xxlj 离线

帖子:237
粉蓝豆:803
经验:368
注册时间:2007-09-03
加关注  |  发消息
16 楼    发表于2011-12-01 22:43:26举报|引用
返回顶部 | 快捷回复

结节性甲状腺肿伴出血、囊性变。

0
回复
signature
谦谦君子,温润如玉

明浩 离线

帖子:491
粉蓝豆:1381
经验:1100
注册时间:2010-05-13
加关注  |  发消息
17 楼    发表于2011-12-02 00:26:46举报|引用
返回顶部 | 快捷回复

结节性甲状腺肿

0
回复
signature

花诺盛开蝴蝶自来,你诺精彩天自安排。。。

fyyyblk 离线

帖子:119
粉蓝豆:0
经验:920
注册时间:2010-08-07
加关注  |  发消息
8 楼    发表于2011-12-01 17:57:41举报|引用
返回顶部 | 快捷回复

结节性甲状腺肿

0
回复

凌孤寒 离线

帖子:151
粉蓝豆:0
经验:287
注册时间:2009-07-06
加关注  |  发消息
18 楼    发表于2011-12-02 10:08:37举报|引用
返回顶部 | 快捷回复

结甲伴出血、囊性变

0
回复

happyxl 离线

帖子:65
粉蓝豆:6
经验:265
注册时间:2011-11-23
加关注  |  发消息
19 楼    发表于2011-12-02 12:48:12举报|引用
返回顶部 | 快捷回复

结甲囊性变

0
回复
signature
Pathologist is doctor's doctor.

病理020 离线

帖子:1344
粉蓝豆:5577
经验:1814
注册时间:2011-10-02
加关注  |  发消息
20 楼    发表于2011-12-02 13:02:23举报|引用
返回顶部 | 快捷回复

结节性甲状腺肿囊性变

0
回复
signature
邓学田
回复:27 阅读:7781
共2页/27条首页上一页12下一页尾页
【免责声明】讨论内容仅作学术交流之用,不作为诊疗依据,由此而引起的法律问题作者及本站不承担任何责任。
快速回复
进入高级回复
您最多可输入10000个汉字,按 "Ctrl" + "Enter" 直接发送
搜索回复/乘电梯 ×
按内容
按会员
乘电梯
合作伙伴
友情链接