共2页/21条首页上一页12下一页尾页
回复:21 阅读:6139
这个肿物有些Hold不住

96298 离线

帖子:421
粉蓝豆:19
经验:423
注册时间:2009-03-08
加关注  |  发消息
楼主 发表于 2011-11-30 13:08|举报|关注(4)
浏览排序[ 顺序 逆序 楼主 支持 精彩 ]  快捷回复
  • 这个肿物有些Hold不住图1
    图2
  • 这个肿物有些Hold不住图2
    图3
  • 这个肿物有些Hold不住图3
    图4
  • 这个肿物有些Hold不住图4
    图5
  • 这个肿物有些Hold不住图5
    图6
  • 这个肿物有些Hold不住图6
    图7
  • 这个肿物有些Hold不住图7
    图8
  • 这个肿物有些Hold不住图8
    图9
  • 这个肿物有些Hold不住图9
    图10
  • 这个肿物有些Hold不住图10
    图11
  • 这个肿物有些Hold不住图11
    图12
  • 这个肿物有些Hold不住图12
    图13
  • 这个肿物有些Hold不住图13
    图14
  • 这个肿物有些Hold不住图14
    图15
  • 这个肿物有些Hold不住图15
    图16


  • 这个肿物有些Hold不住图16
    图1
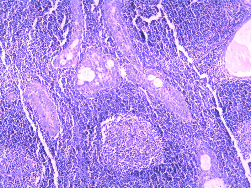
  • 性别 年龄 46 临床诊断 肿物
    临床症状 发现肿物3年
    标本名称 腮腺
    大体所见 肿物V3*2.5*2.5cm,界清。
    镜下形态
    原诊断意见或问题
  •  

    标签:
    本帖最后由 天山望月 于 2011-12-19 21:32:06 编辑
    0
    添加参考诊断
    ×参考诊断
      

    海上明月 离线

    帖子:9476
    粉蓝豆:1172
    经验:10007
    注册时间:2009-08-29
    加关注  |  发消息
    8 楼    发表于2011-12-06 00:26:55举报|引用
    返回顶部 | 快捷回复
    本帖最后由 海上明月 于 2011-12-06 00:28:07 编辑

    要想Hold住这个肿物的病理诊断,需要了解:

    1)发现肿物3年多,那近期是不是增大较快?

    2)腮腺的影像学和大体标本的切面表现如何?

    3)该标本到底是不是靠近腮腺表面的淋巴结?

    4)3cmX2.5cmX2.5cm的肿块虽然大体上显示界清,那镜下的边界到底清不清?

    5)上皮与淋巴组织的增殖活性如何?

    需要鉴别的肿瘤:

    (1)皮脂腺淋巴腺瘤

    (2)伴有淋巴组织间质的皮脂腺癌(皮脂腺淋巴腺癌)

    (3)良性淋巴上皮病

    (4)粘膜相关淋巴组织淋巴瘤(MALT淋巴瘤)

    (5)转移性粘液表皮样癌

    3

    sunyangy..

    hyl76

    limo
    回复
    signature
    王军臣

    kangwang2010 离线

    帖子:389
    粉蓝豆:13
    经验:590
    注册时间:2010-03-04
    加关注  |  发消息
    5 楼    发表于2011-12-05 21:33:56举报|引用
    返回顶部 | 快捷回复

    有更详细的病史吗?

    肿瘤应该没问题,但不一定是粘表,因为片子里有成巢的胞浆透亮细胞,但该细胞并不像黏液上皮,更像是皮脂细胞,并与涎腺导管相混合,背景为弥漫的淋巴细胞,考虑为皮脂淋巴腺瘤。良性,彻底切除可治愈。需要与淋巴上皮癌鉴别。

    2

    flj20092..

    认真生活
    回复
    signature
    有时候,称赞别人也是一种美德!

    zgx457 离线

    帖子:1290
    粉蓝豆:572
    经验:3717
    注册时间:2007-10-13
    加关注  |  发消息
    13 楼    发表于2011-12-08 10:08:42举报|引用
    返回顶部 | 快捷回复

    粘液表皮样癌

    1

    wfbjwt
    回复

    zhshch 离线

    帖子:544
    粉蓝豆:10
    经验:2252
    注册时间:2008-09-19
    加关注  |  发消息
    9 楼    发表于2011-12-06 07:56:06举报|引用
    返回顶部 | 快捷回复

    第一印象:黏液表皮样癌。

    1

    flj20092..
    回复

    xhyong 离线

    帖子:1060
    粉蓝豆:519
    经验:1993
    注册时间:2006-10-19
    加关注  |  发消息
    16 楼    发表于2011-12-19 13:52:52举报|引用
    返回顶部 | 快捷回复

    形态符合皮脂腺淋巴腺瘤/癌,目前没有明显癌的证据,至于淋巴细胞也需要了解是否为肿瘤性增生

    1

    天山望月
    回复

    草原 离线

    帖子:1302
    粉蓝豆:1721
    经验:6166
    注册时间:2008-06-28
    加关注  |  发消息
    1 楼    发表于2011-11-30 13:46:50举报|引用
    返回顶部 | 快捷回复

    考虑转移癌。

    1

    亡羊补牢
    回复
    signature
    Stop walking today and you'll have to run tomorrow.

    病理020 离线

    帖子:1344
    粉蓝豆:5612
    经验:1814
    注册时间:2011-10-02
    加关注  |  发消息
    2 楼    发表于2011-11-30 13:47:20举报|引用
    返回顶部 | 快捷回复

    做的片子不是很好,还是有问题的,粘液表皮样癌(富于淋巴组织,把片子做好了再报吧)。

    1

    limo
    回复
    signature
    邓学田

    深海潜望 离线

    帖子:13
    粉蓝豆:1
    经验:13
    注册时间:2011-11-29
    加关注  |  发消息
    11 楼    发表于2011-12-07 08:47:14举报|引用
    返回顶部 | 快捷回复
    良性淋巴上皮病变
    0
    回复

    96298 离线

    帖子:421
    粉蓝豆:19
    经验:423
    注册时间:2009-03-08
    加关注  |  发消息
    12 楼    发表于2011-12-08 00:23:20举报|引用
    返回顶部 | 快捷回复
    本帖最后由 96298 于 2011-12-08 00:24:50 编辑

    回海上明月老师:

     1.不快,(有空来做的)

    2.切面灰白实性

    3.不是淋巴结

    4.镜下的边界清

    5.上皮基本无核分裂

    0
    回复

    96298 离线

    帖子:421
    粉蓝豆:19
    经验:423
    注册时间:2009-03-08
    加关注  |  发消息
    4 楼    发表于2011-12-05 21:25:06举报|引用
    返回顶部 | 快捷回复
    本帖最后由 96298 于 2011-12-05 22:23:52 编辑
    • 引用书上的话,诊断粘表你hold的住吗?
      图1
    引用 2 楼 病理020 在 2011-11-30 13:47:20 的发言:

    做的片子不是很好,还是有问题的,粘液表皮样癌(富于淋巴组织,把片子做好了再报吧)。

    片子还行吧,采集卡一直未调好。


    0
    回复

    96298 离线

    帖子:421
    粉蓝豆:19
    经验:423
    注册时间:2009-03-08
    加关注  |  发消息
    6 楼    发表于2011-12-05 21:45:16举报|引用
    返回顶部 | 快捷回复
    本帖最后由 96298 于 2011-12-05 21:46:10 编辑

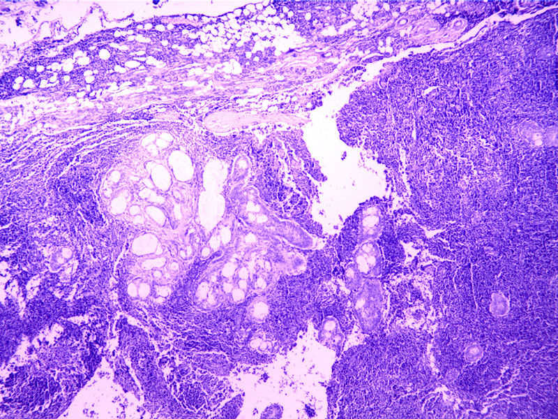
     部分结构这样

    • 图1
    • 图2
    • 图3
    0
    回复

    96298 离线

    帖子:421
    粉蓝豆:19
    经验:423
    注册时间:2009-03-08
    加关注  |  发消息
    7 楼    发表于2011-12-05 22:03:11举报|引用
    返回顶部 | 快捷回复
    本帖最后由 96298 于 2011-12-05 22:28:24 编辑
    • 大部略成结节状或分叶状,簇状这样的结构,粘液细胞可见
      图1



    •      
      • 图1
      图2

     

    0
    回复

    海上明月 离线

    帖子:9476
    粉蓝豆:1172
    经验:10007
    注册时间:2009-08-29
    加关注  |  发消息
    15 楼    发表于2011-12-12 23:09:00举报|引用
    返回顶部 | 快捷回复

    众网友期待结果。谢谢!

    0
    回复
    signature
    王军臣

    西吉彗星 离线

    帖子:272
    粉蓝豆:3375
    经验:468
    注册时间:2008-02-03
    加关注  |  发消息
    19 楼    发表于2011-12-19 21:47:44举报|引用
    返回顶部 | 快捷回复

    考虑转移癌。

    0
    回复

    脚踩两边船 离线

    帖子:60
    粉蓝豆:3
    经验:75
    注册时间:2010-12-11
    加关注  |  发消息
    20 楼    发表于2011-12-19 21:57:11举报|引用
    返回顶部 | 快捷回复

    look not like malignancy

    0
    回复

    shougangmn 离线

    帖子:42
    粉蓝豆:122
    经验:244
    注册时间:2011-05-31
    加关注  |  发消息
    14 楼    发表于2011-12-08 11:45:36举报|引用
    返回顶部 | 快捷回复

    和老师们学习了!期待最总结论。

    0
    回复

    kangwang2010 离线

    帖子:389
    粉蓝豆:13
    经验:590
    注册时间:2010-03-04
    加关注  |  发消息
    10 楼    发表于2011-12-06 08:52:35举报|引用
    返回顶部 | 快捷回复

    以淋巴组织为背景的涎腺病变一般有:淋巴上皮囊肿;warthin瘤;皮脂和非皮脂淋巴腺瘤。本例出现了皮脂样透明细胞及与涎腺导管混合存在,背景为弥漫淋巴细胞,且肉眼界清,在下拙见:更倾向是皮脂淋巴腺瘤。大家热烈讨论啊!

    0
    回复
    signature
    有时候,称赞别人也是一种美德!

    乐乐 离线

    帖子:77
    粉蓝豆:1306
    经验:125
    注册时间:2009-02-06
    加关注  |  发消息
    21 楼    发表于2011-12-19 23:41:15举报|引用
    返回顶部 | 快捷回复

    是否还要考虑MALT淋巴瘤呢

    0
    回复

    蓝月 离线

    帖子:1245
    粉蓝豆:376
    经验:1966
    注册时间:2007-12-18
    加关注  |  发消息
    17 楼    发表于2011-12-19 15:29:10举报|引用
    返回顶部 | 快捷回复

    皮脂腺淋巴腺瘤

    0
    回复

    wei478 离线

    帖子:20
    粉蓝豆:1
    经验:48
    注册时间:2010-12-27
    加关注  |  发消息
    18 楼    发表于2011-12-19 15:37:47举报|引用
    返回顶部 | 快捷回复

    粘液表皮样癌

    0
    回复
    回复:21 阅读:6139
    共2页/21条首页上一页12下一页尾页
    【免责声明】讨论内容仅作学术交流之用,不作为诊疗依据,由此而引起的法律问题作者及本站不承担任何责任。
    快速回复
    进入高级回复
    您最多可输入10000个汉字,按 "Ctrl" + "Enter" 直接发送
    搜索回复/乘电梯 ×
    按内容
    按会员
    乘电梯
    合作伙伴
    友情链接