| 图片: | |
|---|---|
| 名称: | |
| 描述: | |
shougangmn 离线
kangwang2010 离线
要想Hold住这个肿物的病理诊断,需要了解:
1)发现肿物3年多,那近期是不是增大较快?
2)腮腺的影像学和大体标本的切面表现如何?
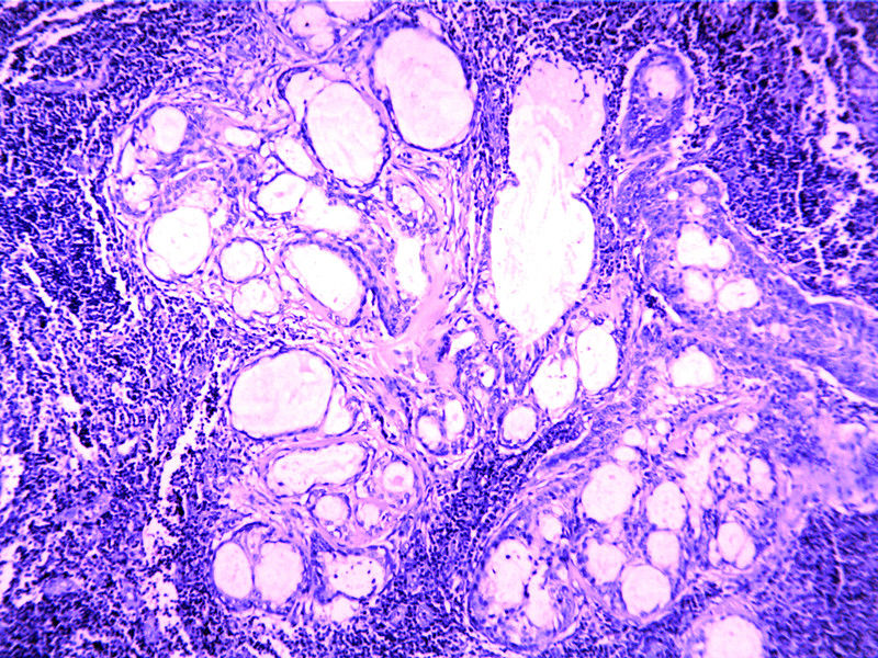
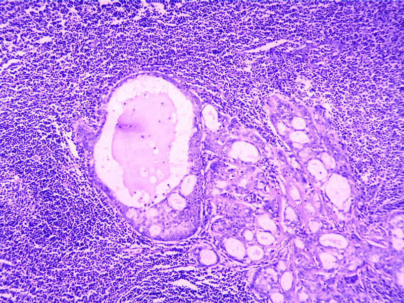
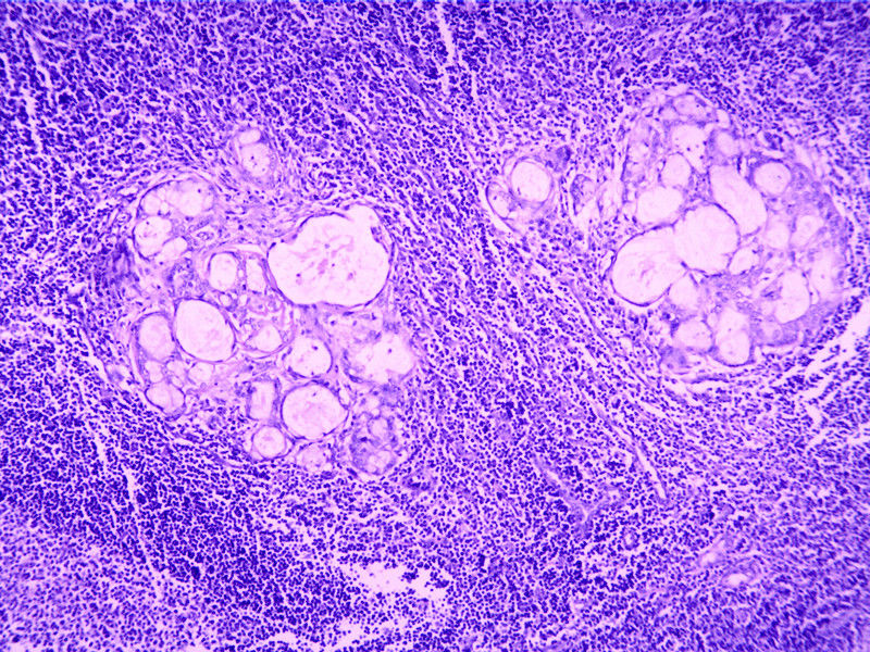
3)该标本到底是不是靠近腮腺表面的淋巴结?
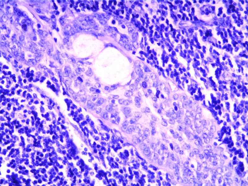
4)3cmX2.5cmX2.5cm的肿块虽然大体上显示界清,那镜下的边界到底清不清?
5)上皮与淋巴组织的增殖活性如何?
需要鉴别的肿瘤:
(1)皮脂腺淋巴腺瘤
(2)伴有淋巴组织间质的皮脂腺癌(皮脂腺淋巴腺癌)
(3)良性淋巴上皮病
(4)粘膜相关淋巴组织淋巴瘤(MALT淋巴瘤)
(5)转移性粘液表皮样癌

kangwang2010 离线