共3页/44条首页上一页123下一页尾页
回复:44 阅读:11499
B3806腺病?癌?其他?(12楼常规,24楼免疫组化及会诊结果)

quyibl 离线

帖子:361
粉蓝豆:9
经验:1876
注册时间:2006-10-23
加关注  |  发消息
楼主 发表于 2011-11-18 21:29|举报|关注(4)
浏览排序[ 顺序 逆序 楼主 支持 精彩 ]  快捷回复
今天的一例术中冰冻。女,49岁,乳腺肿块。人气不旺,换个标题
腺病?癌?其他?(12楼常规,24楼免疫组化及会诊结果)图1
名称:图1
描述:DSCF1751
腺病?癌?其他?(12楼常规,24楼免疫组化及会诊结果)图2
名称:图2
描述:DSCF1752
腺病?癌?其他?(12楼常规,24楼免疫组化及会诊结果)图3
名称:图3
描述:DSCF1753
腺病?癌?其他?(12楼常规,24楼免疫组化及会诊结果)图4
名称:图4
描述:DSCF1754
腺病?癌?其他?(12楼常规,24楼免疫组化及会诊结果)图5
名称:图5
描述:DSCF1755
腺病?癌?其他?(12楼常规,24楼免疫组化及会诊结果)图6
名称:图6
描述:DSCF1756
腺病?癌?其他?(12楼常规,24楼免疫组化及会诊结果)图7
名称:图7
描述:DSCF1757
腺病?癌?其他?(12楼常规,24楼免疫组化及会诊结果)图8
名称:图8
描述:DSCF1758
腺病?癌?其他?(12楼常规,24楼免疫组化及会诊结果)图9
名称:图9
描述:DSCF1759
 
腺病?癌?其他?(12楼常规,24楼免疫组化及会诊结果)图10
名称:图1
描述:DSCF1760
腺病?癌?其他?(12楼常规,24楼免疫组化及会诊结果)图11
名称:图2
描述:DSCF1761
腺病?癌?其他?(12楼常规,24楼免疫组化及会诊结果)图12
名称:图3
描述:DSCF1762
 

 

标签:浸润性导管癌 分泌癌 硬化性腺病
本帖最后由 quyibl 于 2011-12-15 18:42:00 编辑
1
signature
我思故我在! know something about everything,know everything about something.
×参考诊断
乳腺分泌型癌

cqzhao 离线

帖子:5518
粉蓝豆:1071
经验:5755
注册时间:2008-09-29
加关注  |  发消息
20 楼    发表于2011-11-25 03:35:14举报|引用
返回顶部 | 快捷回复

Good luck for us.

We never do frozen to determin the benign or maligant lesions. Before the segmental mastectomy we always know the diagnosis. In other words the patients have breast core biopsy for dx first.

 

The way of frozen for breast lesions is too old and 落后了。中国病理的发展和城市大楼的建设真是不成比例呀。

2

萍水草

youthmd
回复

quyibl 离线

帖子:361
粉蓝豆:9
经验:1876
注册时间:2006-10-23
加关注  |  发消息
27 楼    发表于2011-12-01 20:53:37举报|引用
返回顶部 | 快捷回复
本帖最后由 quyibl 于 2011-12-01 20:54:05 编辑

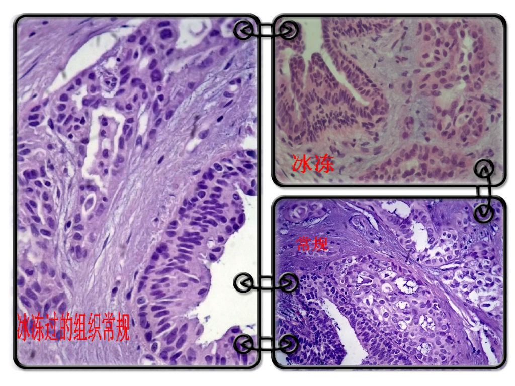
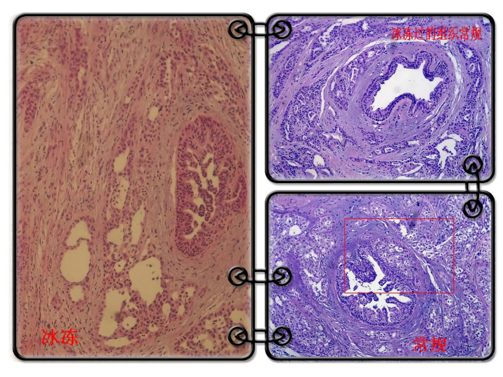
 最后再看一下同一组织形态在冰冻、冰冻石蜡及常规石蜡中的表现。1-3为冰冻、4-5为冰冻过的组织常规、6-8为常规石蜡。

  • 图1
  • 图2
  • 图3
  • 图4
  • 图5
  • 图6
  • 图7
  • 图8
 
2

TK1905

梦想的海..
回复
signature
我思故我在! know something about everything,know everything about something.

quyibl 离线

帖子:361
粉蓝豆:9
经验:1876
注册时间:2006-10-23
加关注  |  发消息
23 楼    发表于2011-11-28 17:51:51举报|引用
返回顶部 | 快捷回复
本帖最后由 quyibl 于 2011-12-01 10:50:01 编辑

个人的一点总结,不对之处请尽管拍砖。
    癌是以侵袭性生长和复发转移为特征的,镜下表现为组织结构的紊乱、细胞的异型性,乳腺冰冻病理的诊断要从大体、镜下组织学表现、细胞形态等方面做出综合判断。组织学形态着重看有无正常结构的消失、是否存在浸润性生长的特征,本例冰冻中看不到小叶结构特征,腺管大小、排列比较杂乱。部分不规则的小腺体围绕正常导管生长,这是否应是浸润的一种表现。细胞学上冰冻切片的细胞异型的判断一般认为是不可靠的,但在切片质量较好,有内对照的参考标尺下还是可以判读的,正常的导管上皮是一把可以利用的标尺。这一例我们结合病人年龄、大体、镜下表现术中报癌了,上级医院会诊标记肌上皮已证实是癌,以后会把相关免疫组化补上。但现在想来这例报癌风险还是很大的,有点后怕,以后在遇到可能会后退一步,也许是不认识类似的硬化性腺病吧,当时做术中诊断有点应了一句话:无知者无畏。


名称:图1
描述:1

名称:图2
描述:2
 
2

TK1905

lcyxxm
回复
signature
我思故我在! know something about everything,know everything about something.

quyibl 离线

帖子:361
粉蓝豆:9
经验:1876
注册时间:2006-10-23
加关注  |  发消息
24 楼    发表于2011-11-30 19:44:07举报|引用
返回顶部 | 快捷回复
本帖最后由 quyibl 于 2011-12-15 18:40:32 编辑

  • 图1
  • 图2
  • 图3
  • 图4
  • 图5
  • 图6
  • 图7
  • 图8
  • 图9
  • 图10
  • 图11
  • 图12
  • 图13
  • 图14

 会诊结果:乳腺分泌型癌。免疫组化:ER(-), PR(-), CerbB-2(-) Ki67阳性率约10%,S-100(+),CEA灶性阳性,P63、SMA肌上皮阴性,CK5/6肿瘤上皮细胞阴性,CK34BE12部分阳性。


名称:图1
描述:DSCF1757_JPG
  

名称:图1
描述:无标题
1

TK1905
回复
signature
我思故我在! know something about everything,know everything about something.

quyibl 离线

帖子:361
粉蓝豆:9
经验:1876
注册时间:2006-10-23
加关注  |  发消息
21 楼    发表于2011-11-25 11:38:54举报|引用
返回顶部 | 快捷回复

首先谢谢zhao老师回复此贴,现在山东省内绝大部分医院还在做乳腺的术中定性诊断,估计短时间内这种现状还改变不了,尤其在县一级的医院,基层医院的病理医生做冰冻诊断确实象在刀尖上跳舞,压力很大,我一直觉得有时好像在拿着患者的“乳腺”及自己的“前及钱途”在赌博。这一例已去上级医院做相关的免疫组化,最终结果出来后我会及时贴出的。不管是腺病还是癌,都有值得总结的地方,既然不能改变乳腺冰冻的这一现实,只能积极去适应,总结经验,避免犯错。

1

亡羊补牢
回复
signature
我思故我在! know something about everything,know everything about something.

youthmd 离线

帖子:1005
粉蓝豆:455
经验:4341
注册时间:2009-12-07
加关注  |  发消息
43 楼    发表于2012-08-21 09:33:30举报|引用
返回顶部 | 快捷回复

很好的病例,认真学习了!

1

文长江
回复

wgprzyy 在线

帖子:47
粉蓝豆:6
经验:142
注册时间:2009-01-30
加关注  |  发消息
31 楼    发表于2012-02-10 21:45:41举报|引用
返回顶部 | 快捷回复

感谢楼主提供了学习机会,通过常规学习冰冻,总结冰冻,乳腺冰冻风险很大,陷阱也很多,要学习的太多了!

 

谢谢!

1

梦想的海..
回复
signature
惟有孜孜以求、知道如何承担,才能快乐永远相伴,像风一样自由!

kint123 离线

帖子:1620
粉蓝豆:240
经验:2095
注册时间:2009-01-31
加关注  |  发消息
11 楼    发表于2011-11-22 21:42:00举报|引用
返回顶部 | 快捷回复

 腺体与腺体之间的对比差异太大,不放心,不除外是癌,如果是我的病例,再次取材冰冻

1

quyibl
回复
signature
The More We See, The Less We Know!

ryb7 离线

帖子:189
粉蓝豆:3
经验:517
注册时间:2009-05-12
加关注  |  发消息
4 楼    发表于2011-11-19 20:55:13举报|引用
返回顶部 | 快捷回复

腺病,不太考虑恶性,期待石蜡诊断

0
回复

cqzhao 离线

帖子:5518
粉蓝豆:1071
经验:5755
注册时间:2008-09-29
加关注  |  发消息
16 楼    发表于2011-11-25 03:22:35举报|引用
返回顶部 | 快捷回复

Looks like IDC?

0
回复

杨宝军 离线

帖子:1631
粉蓝豆:35
经验:1891
注册时间:2007-02-10
加关注  |  发消息
44 楼    发表于2012-11-14 23:55:52举报|引用
返回顶部 | 快捷回复

每看一次都有收获

0
回复

quyibl 离线

帖子:361
粉蓝豆:9
经验:1876
注册时间:2006-10-23
加关注  |  发消息
3 楼    发表于2011-11-19 17:31:59举报|引用
返回顶部 | 快捷回复
引用 2 楼 强子 在 2011-11-19 17:07:33 的发言:

您的冰冻片子做的太漂亮了

为此给您加2分


多谢强版主,这可是俺亲自全程操作的一张片子,俺的一点小经验是“组织要干”,“冷冻要快”,这个病例有点考验俺的神经,发上来听听高手们的意见。大体是乳腺组织一块,切面见一质硬结节,直径2cm,边界欠清,切面灰白色。强版别光夸片子漂亮啊,留下你的高见才放行

0
回复
signature
我思故我在! know something about everything,know everything about something.

cqzhao 离线

帖子:5518
粉蓝豆:1071
经验:5755
注册时间:2008-09-29
加关注  |  发消息
5 楼    发表于2011-11-20 01:22:25举报|引用
返回顶部 | 快捷回复

Great work. Beautiful.

0
回复

cqzhao 离线

帖子:5518
粉蓝豆:1071
经验:5755
注册时间:2008-09-29
加关注  |  发消息
6 楼    发表于2011-11-20 01:25:49举报|引用
返回顶部 | 快捷回复
本帖最后由 Renghis 于 2011-11-29 19:48:57 编辑

1. Most likely no invasive cancer

2 Sclerosing adenosis

3 Ductal epithelial hyperplasia

4. Bundles d Smooth muscle?

0
回复

owen84007 离线

帖子:354
粉蓝豆:50
经验:406
注册时间:2009-07-10
加关注  |  发消息
8 楼    发表于2011-11-20 08:23:58举报|引用
返回顶部 | 快捷回复

导管是乎可见双层上皮,部分上皮增生并有一定异型,考虑硬化性腺病,待石蜡。

0
回复

lvgq 离线

帖子:664
粉蓝豆:1
经验:1043
注册时间:2006-09-27
加关注  |  发消息
10 楼    发表于2011-11-20 23:29:48举报|引用
返回顶部 | 快捷回复

冰冻符合乳腺腺病

0
回复

quyibl 离线

帖子:361
粉蓝豆:9
经验:1876
注册时间:2006-10-23
加关注  |  发消息
12 楼    发表于2011-11-23 19:48:43举报|引用
返回顶部 | 快捷回复
本帖最后由 quyibl 于 2011-11-23 19:55:38 编辑

占楼传常规1-11为冰对。

  • 图1
  • 图2
  • 图3
  • 图4
  • 图5
  • 图6
  • 图7
  • 图8
  • 图9
  • 图10
  • 图11
  • 图12
  • 图13
  • 图14
  • 图15
  • 图16
  • 图17
  • 图18
  • 图19
  • 图20
  • 图21
  • 图22
  • 图23
  • 图24
  • 图25
  • 图26
  • 图27
  • 图28
 
0
回复
signature
我思故我在! know something about everything,know everything about something.

xiaorijing 离线

帖子:73
粉蓝豆:22
经验:114
注册时间:2009-05-05
加关注  |  发消息
14 楼    发表于2011-11-24 21:33:59举报|引用
返回顶部 | 快捷回复

浸润性导管癌

0
回复

200406 离线

帖子:1385
粉蓝豆:145
经验:2735
注册时间:2011-08-08
加关注  |  发消息
13 楼    发表于2011-11-23 20:32:49举报|引用
返回顶部 | 快捷回复

后取的恶性特征明显多了,神经内分泌癌?

0
回复

蔷薇 离线

帖子:846
粉蓝豆:40
经验:1591
注册时间:2007-06-25
加关注  |  发消息
15 楼    发表于2011-11-24 22:35:25举报|引用
返回顶部 | 快捷回复

浸润性导管癌。冰冻切片的诊断是很困难,直接诊断癌风险很大,但是在明显正常的导管间这种成片、成巢有腔的细胞团块也不是良性的表现,有的还似乎有围绕正常导管生长的倾向。诊断ADH还可以,但是不能归到任何一种DCIS的生长方式里。这例值得我好好学习。

0
回复
signature
超越自我,自由飞翔!
回复:44 阅读:11499
共3页/44条首页上一页123下一页尾页
【免责声明】讨论内容仅作学术交流之用,不作为诊疗依据,由此而引起的法律问题作者及本站不承担任何责任。
快速回复
进入高级回复
您最多可输入10000个汉字,按 "Ctrl" + "Enter" 直接发送
搜索回复/乘电梯 ×
按内容
按会员
乘电梯
合作伙伴
友情链接