共3页/44条首页上一页123下一页尾页
回复:44 阅读:11802
B3806腺病?癌?其他?(12楼常规,24楼免疫组化及会诊结果)

quyibl 离线

帖子:361
粉蓝豆:9
经验:1876
注册时间:2006-10-23
加关注  |  发消息
楼主 发表于 2011-11-18 21:29|举报|关注(4)
浏览排序[ 顺序 逆序 楼主 支持 精彩 ]  快捷回复
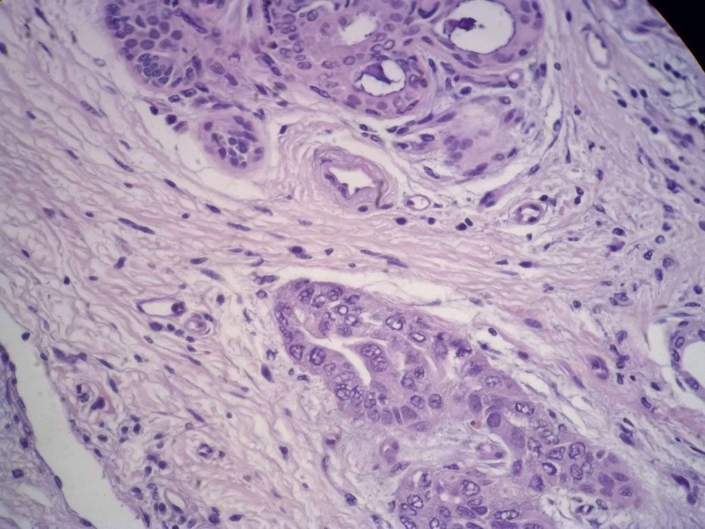
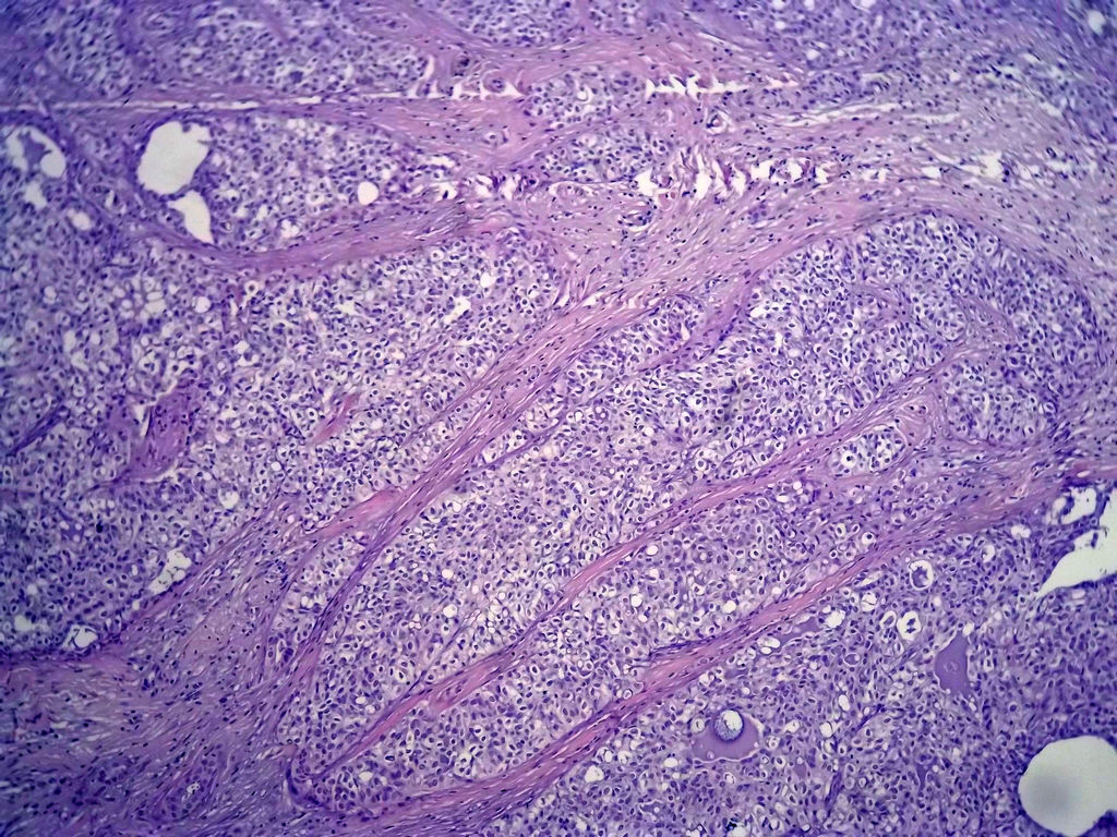
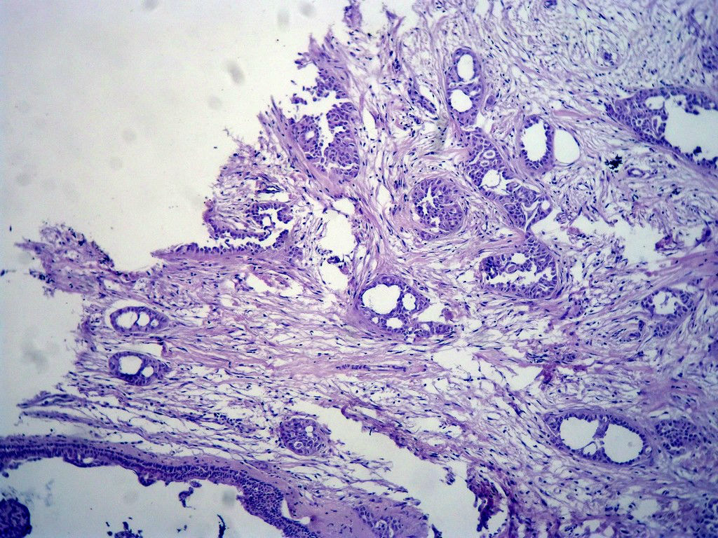
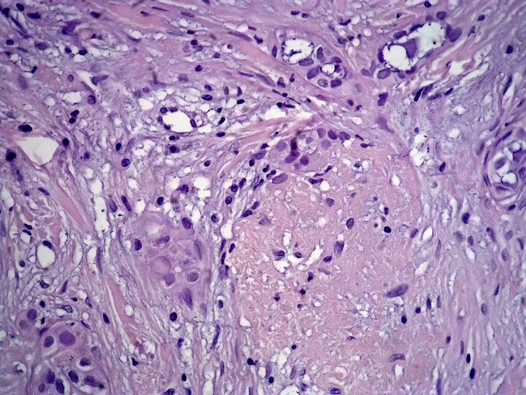
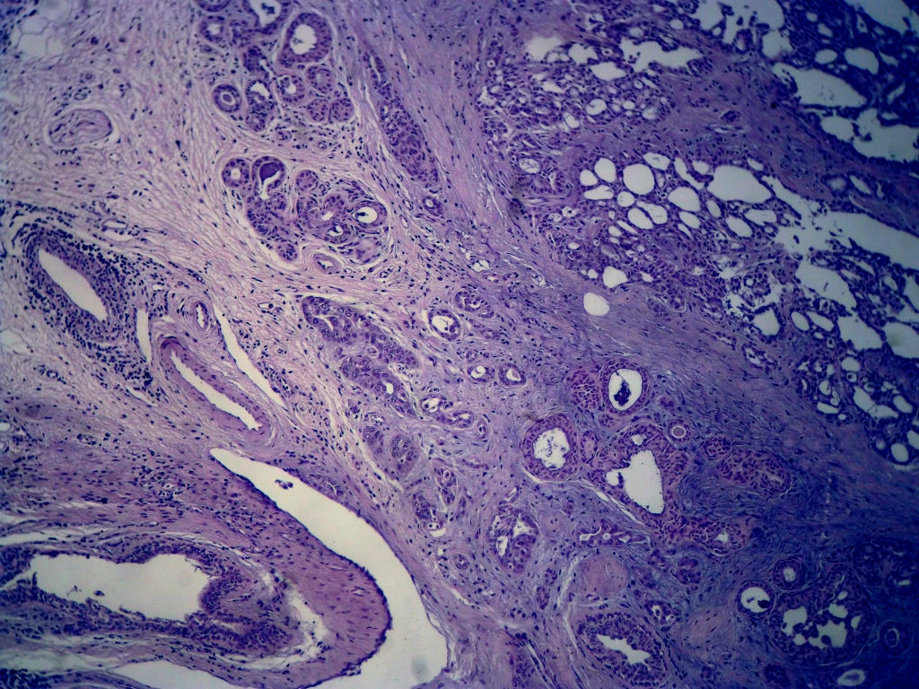
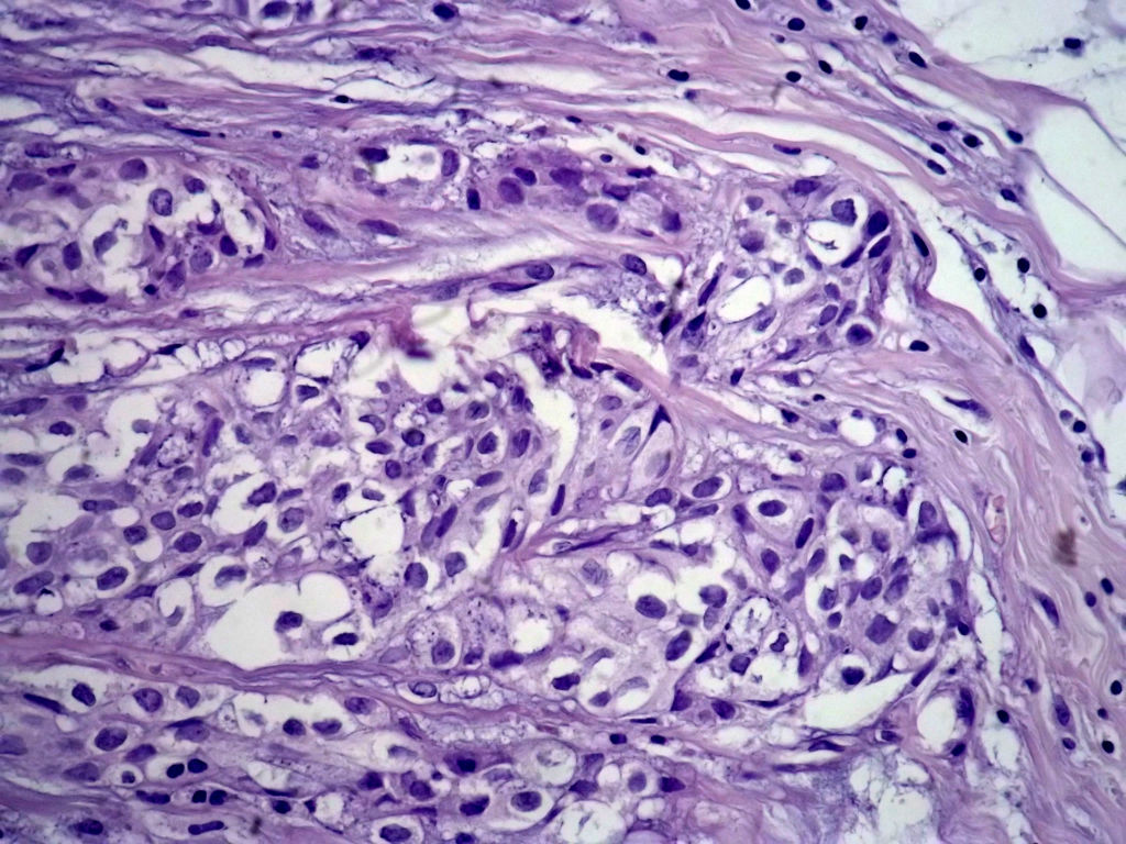
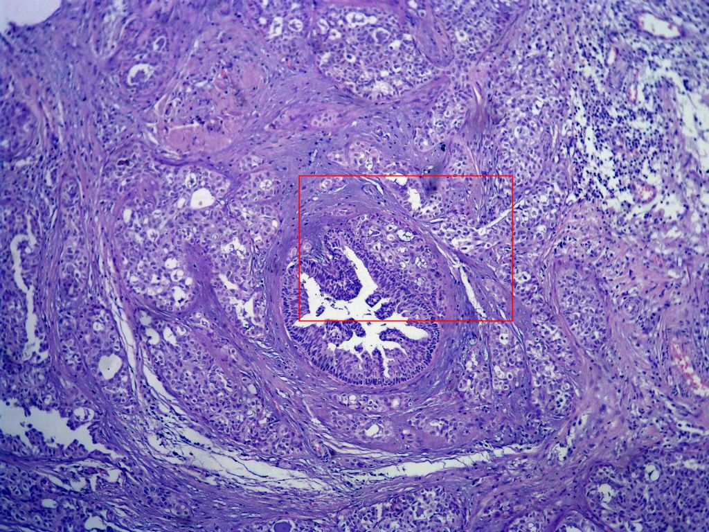
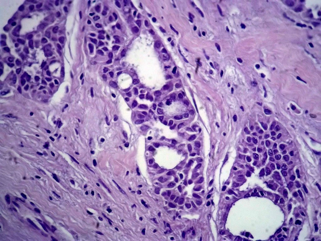
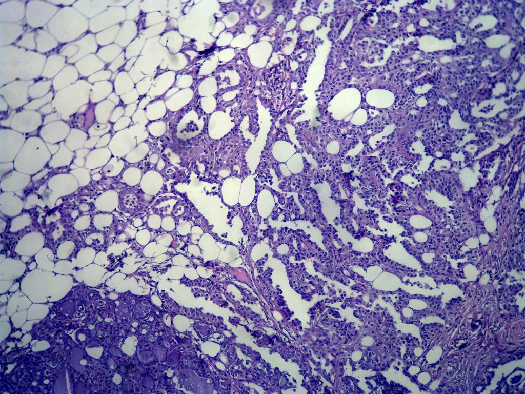
今天的一例术中冰冻。女,49岁,乳腺肿块。人气不旺,换个标题
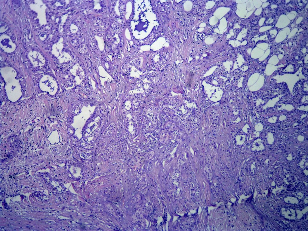
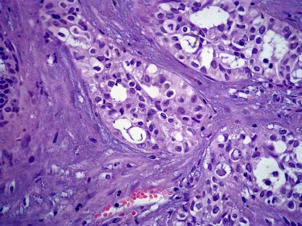
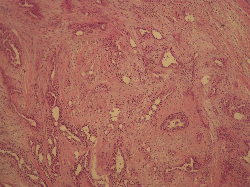
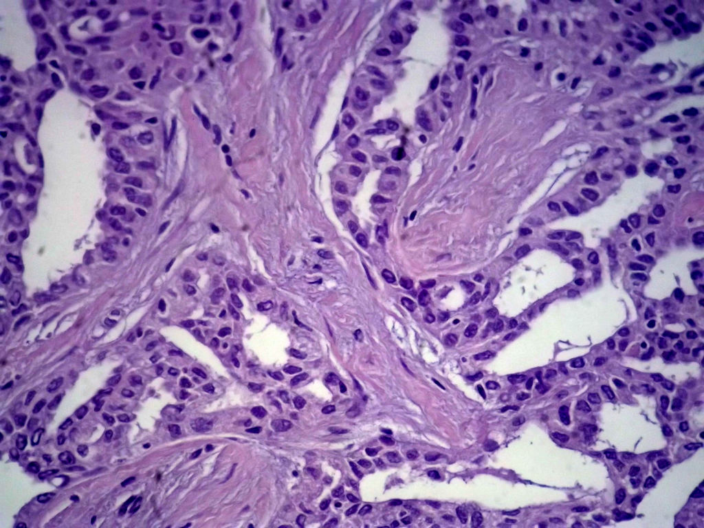
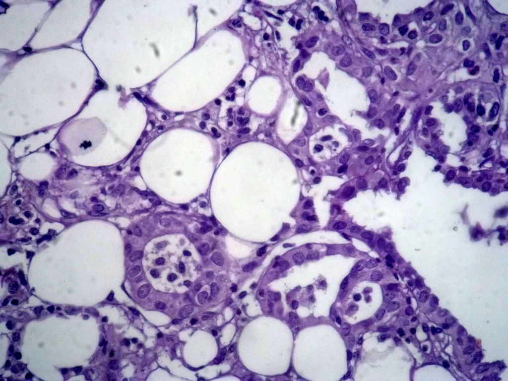
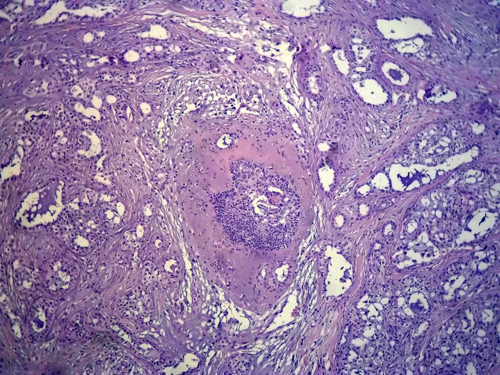
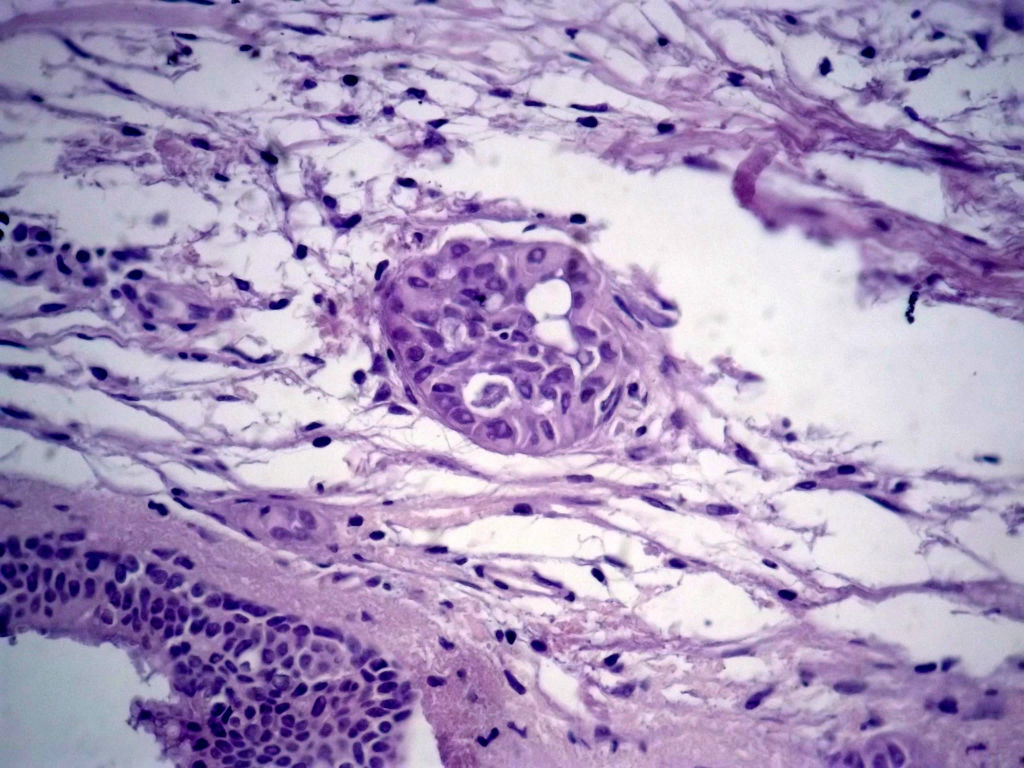
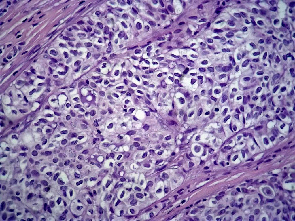
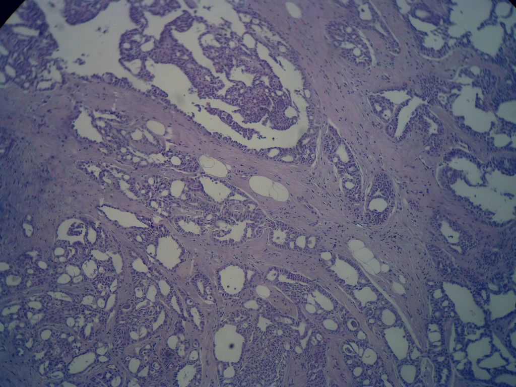
腺病?癌?其他?(12楼常规,24楼免疫组化及会诊结果)图1
名称:图1
描述:DSCF1751
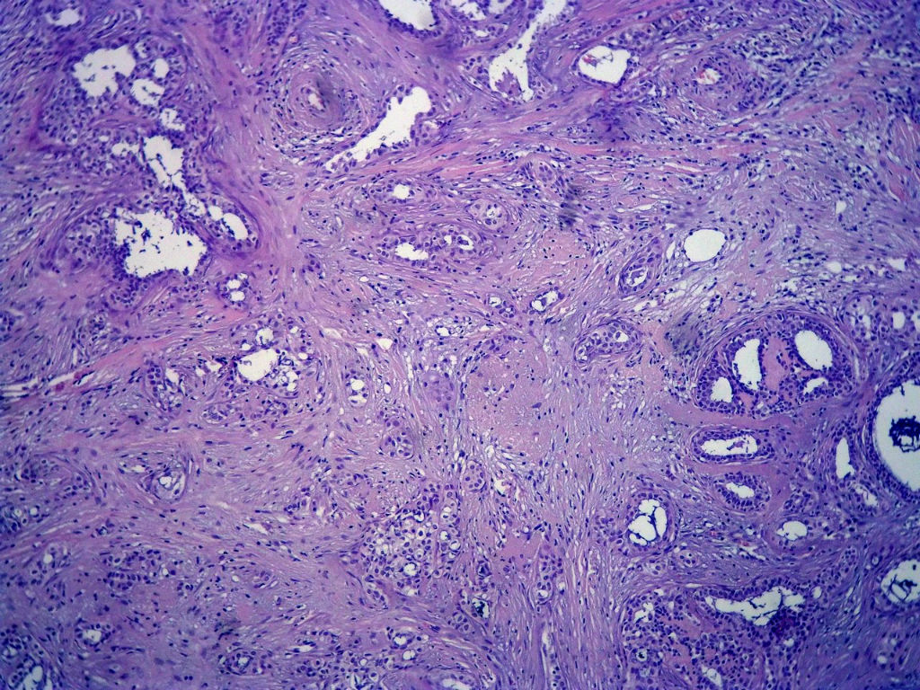
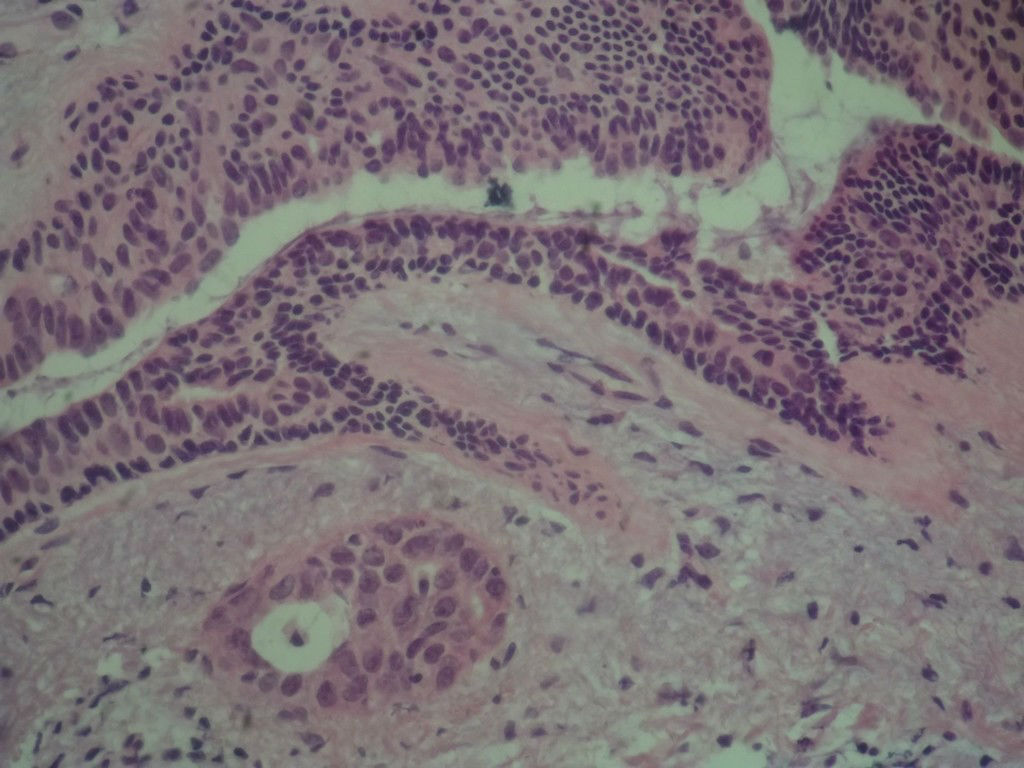
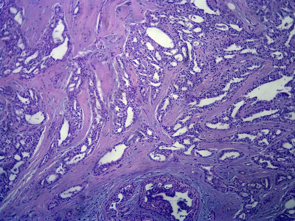
腺病?癌?其他?(12楼常规,24楼免疫组化及会诊结果)图2
名称:图2
描述:DSCF1752
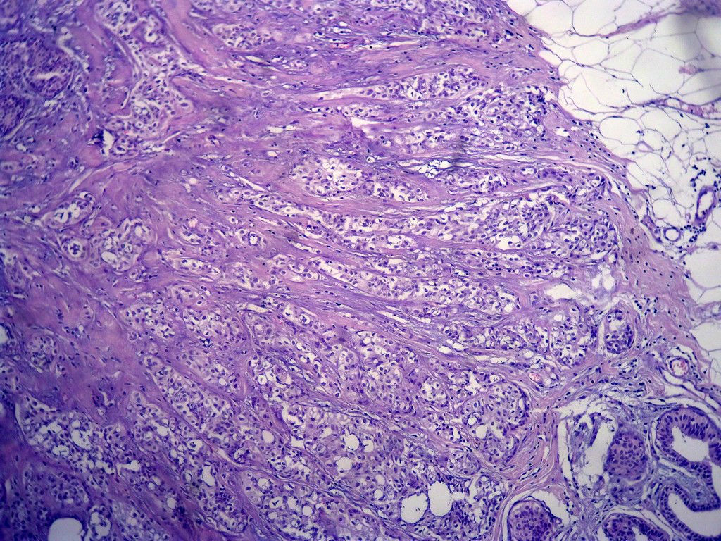
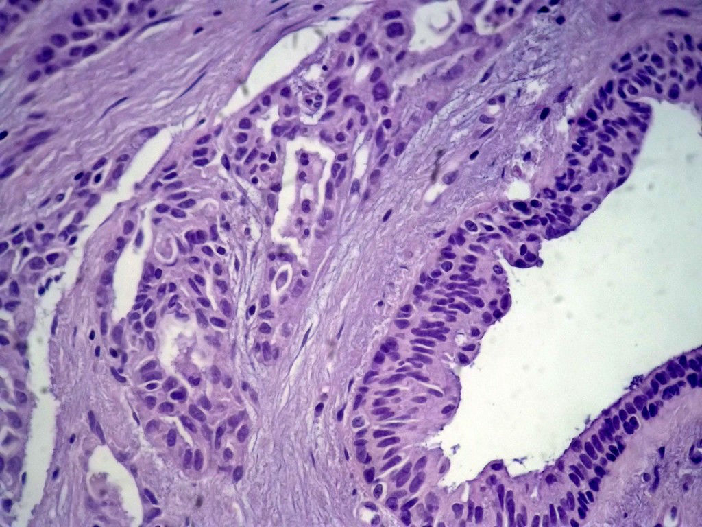
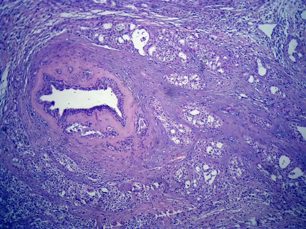
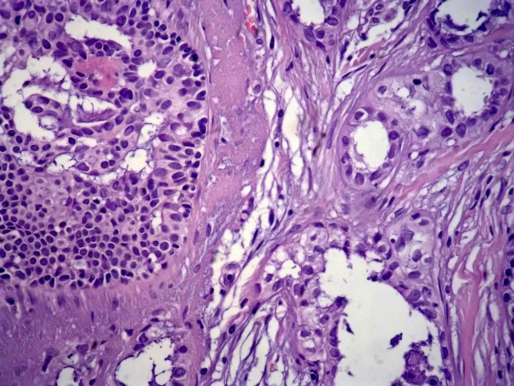
腺病?癌?其他?(12楼常规,24楼免疫组化及会诊结果)图3
名称:图3
描述:DSCF1753
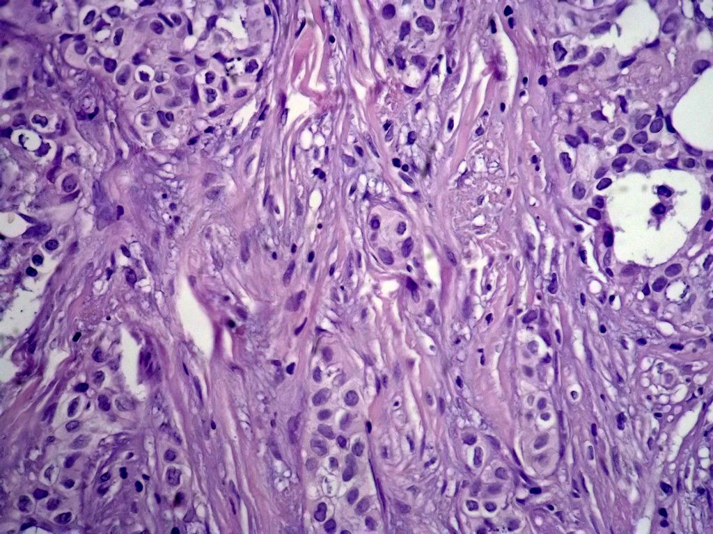
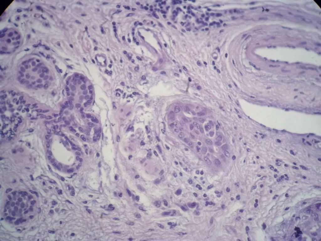
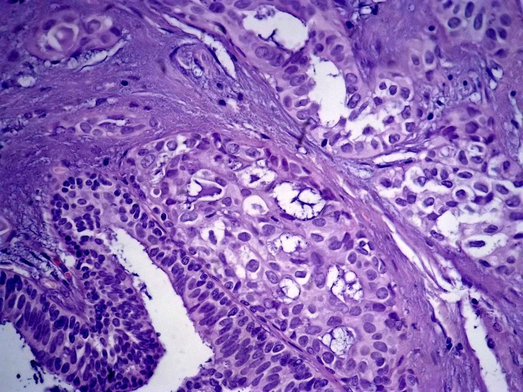
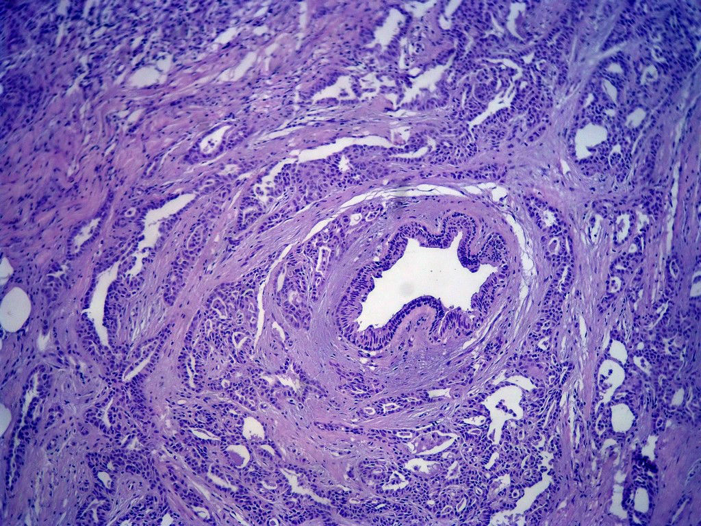
腺病?癌?其他?(12楼常规,24楼免疫组化及会诊结果)图4
名称:图4
描述:DSCF1754
腺病?癌?其他?(12楼常规,24楼免疫组化及会诊结果)图5
名称:图5
描述:DSCF1755
腺病?癌?其他?(12楼常规,24楼免疫组化及会诊结果)图6
名称:图6
描述:DSCF1756
腺病?癌?其他?(12楼常规,24楼免疫组化及会诊结果)图7
名称:图7
描述:DSCF1757
腺病?癌?其他?(12楼常规,24楼免疫组化及会诊结果)图8
名称:图8
描述:DSCF1758
腺病?癌?其他?(12楼常规,24楼免疫组化及会诊结果)图9
名称:图9
描述:DSCF1759
 
腺病?癌?其他?(12楼常规,24楼免疫组化及会诊结果)图10
名称:图1
描述:DSCF1760
腺病?癌?其他?(12楼常规,24楼免疫组化及会诊结果)图11
名称:图2
描述:DSCF1761
腺病?癌?其他?(12楼常规,24楼免疫组化及会诊结果)图12
名称:图3
描述:DSCF1762
 

 

标签:浸润性导管癌 分泌癌 硬化性腺病
本帖最后由 quyibl 于 2011-12-15 18:42:00 编辑
1
signature
我思故我在! know something about everything,know everything about something.
×参考诊断
乳腺分泌型癌

linyguo 离线

帖子:2365
粉蓝豆:43
经验:2514
注册时间:2009-08-09
加关注  |  发消息
1 楼    发表于2011-11-19 08:56:36举报|引用
返回顶部 | 快捷回复

腺病,导管上皮乳头状瘤

0
回复

强子 离线

帖子:950
粉蓝豆:535
经验:1218
注册时间:2007-10-28
加关注  |  发消息
2 楼    发表于2011-11-19 17:07:33举报|引用
返回顶部 | 快捷回复

您的冰冻片子做的太漂亮了

为此给您加2分

0
回复
signature
赚点散碎银子养家,乐呵呵的穿衣吃饭

quyibl 离线

帖子:361
粉蓝豆:9
经验:1876
注册时间:2006-10-23
加关注  |  发消息
3 楼    发表于2011-11-19 17:31:59举报|引用
返回顶部 | 快捷回复
引用 2 楼 强子 在 2011-11-19 17:07:33 的发言:

您的冰冻片子做的太漂亮了

为此给您加2分


多谢强版主,这可是俺亲自全程操作的一张片子,俺的一点小经验是“组织要干”,“冷冻要快”,这个病例有点考验俺的神经,发上来听听高手们的意见。大体是乳腺组织一块,切面见一质硬结节,直径2cm,边界欠清,切面灰白色。强版别光夸片子漂亮啊,留下你的高见才放行

0
回复
signature
我思故我在! know something about everything,know everything about something.

ryb7 离线

帖子:189
粉蓝豆:3
经验:517
注册时间:2009-05-12
加关注  |  发消息
4 楼    发表于2011-11-19 20:55:13举报|引用
返回顶部 | 快捷回复

腺病,不太考虑恶性,期待石蜡诊断

0
回复

cqzhao 离线

帖子:5518
粉蓝豆:1071
经验:5755
注册时间:2008-09-29
加关注  |  发消息
5 楼    发表于2011-11-20 01:22:25举报|引用
返回顶部 | 快捷回复

Great work. Beautiful.

0
回复

cqzhao 离线

帖子:5518
粉蓝豆:1071
经验:5755
注册时间:2008-09-29
加关注  |  发消息
6 楼    发表于2011-11-20 01:25:49举报|引用
返回顶部 | 快捷回复
本帖最后由 Renghis 于 2011-11-29 19:48:57 编辑

1. Most likely no invasive cancer

2 Sclerosing adenosis

3 Ductal epithelial hyperplasia

4. Bundles d Smooth muscle?

0
回复

cqzhao 离线

帖子:5518
粉蓝豆:1071
经验:5755
注册时间:2008-09-29
加关注  |  发消息
7 楼    发表于2011-11-20 01:26:32举报|引用
返回顶部 | 快捷回复

Not sure if ADH is present

0
回复

owen84007 离线

帖子:354
粉蓝豆:50
经验:406
注册时间:2009-07-10
加关注  |  发消息
8 楼    发表于2011-11-20 08:23:58举报|引用
返回顶部 | 快捷回复

导管是乎可见双层上皮,部分上皮增生并有一定异型,考虑硬化性腺病,待石蜡。

0
回复

phybee 离线

帖子:184
粉蓝豆:53
经验:217
注册时间:2010-05-25
加关注  |  发消息
9 楼    发表于2011-11-20 22:36:30举报|引用
返回顶部 | 快捷回复

导管可见双层上皮,部分上皮增生并有一定异型,考虑硬化性腺病

0
回复
signature
努力!努力!向前辈学习!

lvgq 离线

帖子:664
粉蓝豆:1
经验:1043
注册时间:2006-09-27
加关注  |  发消息
10 楼    发表于2011-11-20 23:29:48举报|引用
返回顶部 | 快捷回复

冰冻符合乳腺腺病

0
回复

kint123 离线

帖子:1620
粉蓝豆:240
经验:2095
注册时间:2009-01-31
加关注  |  发消息
11 楼    发表于2011-11-22 21:42:00举报|引用
返回顶部 | 快捷回复

 腺体与腺体之间的对比差异太大,不放心,不除外是癌,如果是我的病例,再次取材冰冻

1

quyibl
回复
signature
The More We See, The Less We Know!

quyibl 离线

帖子:361
粉蓝豆:9
经验:1876
注册时间:2006-10-23
加关注  |  发消息
12 楼    发表于2011-11-23 19:48:43举报|引用
返回顶部 | 快捷回复
本帖最后由 quyibl 于 2011-11-23 19:55:38 编辑

占楼传常规1-11为冰对。

  • 图1
  • 图2
  • 图3
  • 图4
  • 图5
  • 图6
  • 图7
  • 图8
  • 图9
  • 图10
  • 图11
  • 图12
  • 图13
  • 图14
  • 图15
  • 图16
  • 图17
  • 图18
  • 图19
  • 图20
  • 图21
  • 图22
  • 图23
  • 图24
  • 图25
  • 图26
  • 图27
  • 图28
 
0
回复
signature
我思故我在! know something about everything,know everything about something.

200406 离线

帖子:1385
粉蓝豆:145
经验:2735
注册时间:2011-08-08
加关注  |  发消息
13 楼    发表于2011-11-23 20:32:49举报|引用
返回顶部 | 快捷回复

后取的恶性特征明显多了,神经内分泌癌?

0
回复

xiaorijing 离线

帖子:73
粉蓝豆:22
经验:114
注册时间:2009-05-05
加关注  |  发消息
14 楼    发表于2011-11-24 21:33:59举报|引用
返回顶部 | 快捷回复

浸润性导管癌

0
回复

蔷薇 离线

帖子:846
粉蓝豆:40
经验:1591
注册时间:2007-06-25
加关注  |  发消息
15 楼    发表于2011-11-24 22:35:25举报|引用
返回顶部 | 快捷回复

浸润性导管癌。冰冻切片的诊断是很困难,直接诊断癌风险很大,但是在明显正常的导管间这种成片、成巢有腔的细胞团块也不是良性的表现,有的还似乎有围绕正常导管生长的倾向。诊断ADH还可以,但是不能归到任何一种DCIS的生长方式里。这例值得我好好学习。

0
回复
signature
超越自我,自由飞翔!

cqzhao 离线

帖子:5518
粉蓝豆:1071
经验:5755
注册时间:2008-09-29
加关注  |  发消息
16 楼    发表于2011-11-25 03:22:35举报|引用
返回顶部 | 快捷回复

Looks like IDC?

0
回复

cqzhao 离线

帖子:5518
粉蓝豆:1071
经验:5755
注册时间:2008-09-29
加关注  |  发消息
17 楼    发表于2011-11-25 03:23:16举报|引用
返回顶部 | 快捷回复

Do you have myoepithelial stains?

0
回复

cqzhao 离线

帖子:5518
粉蓝豆:1071
经验:5755
注册时间:2008-09-29
加关注  |  发消息
18 楼    发表于2011-11-25 03:25:10举报|引用
返回顶部 | 快捷回复

 

Difficult to say it is IDC in frozen

0
回复

cqzhao 离线

帖子:5518
粉蓝豆:1071
经验:5755
注册时间:2008-09-29
加关注  |  发消息
19 楼    发表于2011-11-25 03:27:25举报|引用
返回顶部 | 快捷回复

Two questions:

1.Do you get the tumor in the frozen if it is invasive cancer case finally?

2. Do you have myoepithelail stains to confirm the IDC in perminant sections?

 

0
回复

cqzhao 离线

帖子:5518
粉蓝豆:1071
经验:5755
注册时间:2008-09-29
加关注  |  发消息
20 楼    发表于2011-11-25 03:35:14举报|引用
返回顶部 | 快捷回复

Good luck for us.

We never do frozen to determin the benign or maligant lesions. Before the segmental mastectomy we always know the diagnosis. In other words the patients have breast core biopsy for dx first.

 

The way of frozen for breast lesions is too old and 落后了。中国病理的发展和城市大楼的建设真是不成比例呀。

2

萍水草

youthmd
回复
回复:44 阅读:11802
共3页/44条首页上一页123下一页尾页
【免责声明】讨论内容仅作学术交流之用,不作为诊疗依据,由此而引起的法律问题作者及本站不承担任何责任。
快速回复
进入高级回复
您最多可输入10000个汉字,按 "Ctrl" + "Enter" 直接发送
搜索回复/乘电梯 ×
按内容
按会员
乘电梯
合作伙伴
友情链接