共2页/27条首页上一页12下一页尾页
回复:27 阅读:7900
B3803乳腺肿物

1394361892 离线

帖子:655
粉蓝豆:12
经验:1275
注册时间:2011-09-04
加关注  |  发消息
楼主 发表于 2011-11-17 18:31|举报|关注(0)
浏览排序[ 顺序 逆序 楼主 支持 精彩 ]  快捷回复
  • 乳腺肿物图1
    图1
  • 乳腺肿物图2
    图2
  • 乳腺肿物图3
    图3
  • 乳腺肿物图4
    图4
  • 乳腺肿物图5
    图5
  • 乳腺肿物图6
    图6
  • 乳腺肿物图7
    图7
  • 乳腺肿物图8
    图8
  • 乳腺肿物图9
    图9
  • 乳腺肿物图10
    图10
  • 乳腺肿物图11
    图11
  • 乳腺肿物图12
    图12
  • 乳腺肿物图13
    图13
  • 乳腺肿物图14
    图14
  • 乳腺肿物图15
    图15
  • 乳腺肿物图16
    图16
  • 乳腺肿物图17
    图17
  • 乳腺肿物图18
    图18
  • 乳腺肿物图19
    图19
  • 乳腺肿物图20
    图20
  • 乳腺肿物图21
    图21
  • 乳腺肿物图22
    图22
  • 乳腺肿物图23
    图23
  • 乳腺肿物图24
    图24
  • 乳腺肿物图25
    图25
  • 乳腺肿物图26
    图26
  • 乳腺肿物图27
    图27
  • 乳腺肿物图28
    图28
  • 乳腺肿物图29
    图29
  • 乳腺肿物图30
    图30
  • 乳腺肿物图31
    图31
  • 乳腺肿物图32
    图32

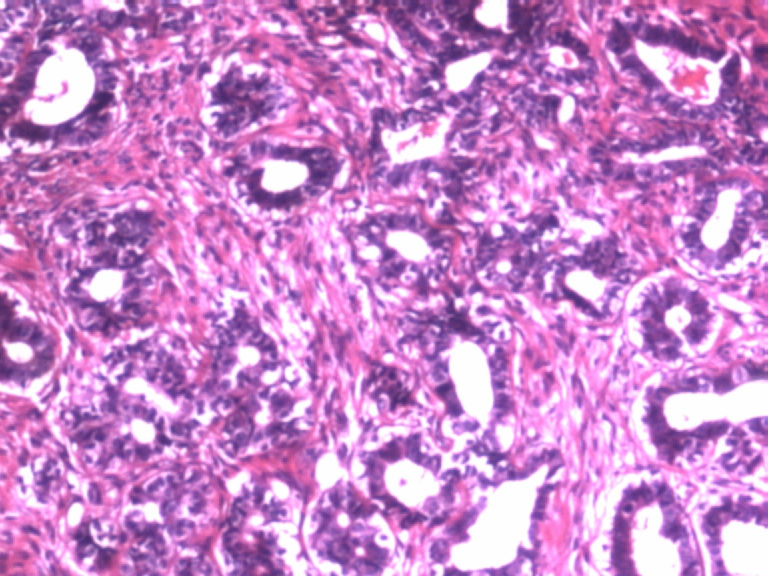
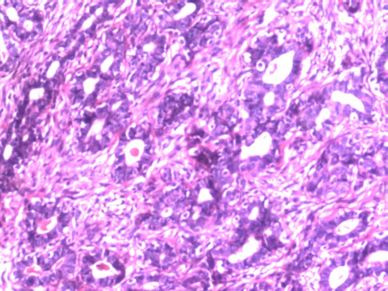
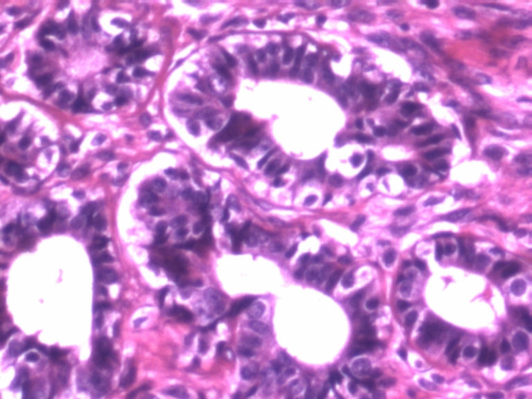
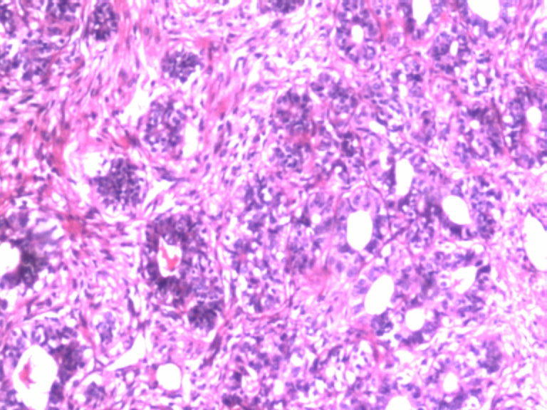
 患者,女,29岁,右侧乳腺肿物一个月。切面淡黄,均匀一致,质中。

标签:乳腺管状腺瘤
本帖最后由 1394361892 于 2011-11-17 18:35:01 编辑
0
添加参考诊断
×参考诊断
  

一了 离线

帖子:2138
粉蓝豆:64
经验:2288
注册时间:2009-03-31
加关注  |  发消息
27 楼    发表于2011-11-30 19:22:21举报|引用
返回顶部 | 快捷回复

腺病

0
回复

小楠8300 离线

帖子:248
粉蓝豆:2
经验:279
注册时间:2008-07-31
加关注  |  发消息
26 楼    发表于2011-11-29 21:30:57举报|引用
返回顶部 | 快捷回复

有肌上皮,若有包膜,考虑管状腺瘤,若无,考虑腺病。

0
回复
signature
我要一步一步往上爬,在最高点乘着叶片往前飞,小小的我有大大的梦想,总有一天我要属于我的天。

收渔人 离线

帖子:543
粉蓝豆:6
经验:737
注册时间:2010-05-23
加关注  |  发消息
25 楼    发表于2011-11-29 20:47:01举报|引用
返回顶部 | 快捷回复

腺管—纤维腺瘤

0
回复

1394361892 离线

帖子:655
粉蓝豆:12
经验:1275
注册时间:2011-09-04
加关注  |  发消息
24 楼    发表于2011-11-29 20:18:12举报|引用
返回顶部 | 快捷回复

最后做免疫组化、会诊、诊断:“纤维腺瘤,伴纤维腺病。”。谢谢各位老师!

0
回复

chaohuj 离线

帖子:470
粉蓝豆:48
经验:604
注册时间:2008-07-03
加关注  |  发消息
23 楼    发表于2011-11-29 19:59:02举报|引用
返回顶部 | 快捷回复

管状腺瘤。

0
回复

杨柳风 离线

帖子:154
粉蓝豆:1
经验:215
注册时间:2007-09-23
加关注  |  发消息
22 楼    发表于2011-11-29 19:41:26举报|引用
返回顶部 | 快捷回复

腺瘤,上皮轻度非典型性

0
回复

zengchao1979 离线

帖子:22
粉蓝豆:1
经验:23
注册时间:2008-01-30
加关注  |  发消息
21 楼    发表于2011-11-29 19:19:27举报|引用
返回顶部 | 快捷回复

腺病

0
回复
signature
坚持!

guoruiping 离线

帖子:70
粉蓝豆:8
经验:129
注册时间:2011-09-27
加关注  |  发消息
20 楼    发表于2011-11-25 18:22:44举报|引用
返回顶部 | 快捷回复

 学习了

0
回复

zgx457 离线

帖子:1290
粉蓝豆:572
经验:3717
注册时间:2007-10-13
加关注  |  发消息
19 楼    发表于2011-11-25 10:16:15举报|引用
返回顶部 | 快捷回复

有肌上皮而且有的地方还有肌上皮增生,应该是腺病,你应该多采些低倍镜的图像,高倍镜的大多了没有太大的意义。

0
回复

cyunsong 离线

帖子:375
粉蓝豆:189
经验:725
注册时间:2008-12-30
加关注  |  发消息
18 楼    发表于2011-11-25 08:18:22举报|引用
返回顶部 | 快捷回复

学习

0
回复
signature
--

200406 离线

帖子:1385
粉蓝豆:145
经验:2735
注册时间:2011-08-08
加关注  |  发消息
17 楼    发表于2011-11-24 22:57:01举报|引用
返回顶部 | 快捷回复

无则为腺病

0
回复

200406 离线

帖子:1385
粉蓝豆:145
经验:2735
注册时间:2011-08-08
加关注  |  发消息
16 楼    发表于2011-11-24 22:55:55举报|引用
返回顶部 | 快捷回复

病变组织小叶结构未见,见管状、盲管状的腺管,周围似有空亮的肌上皮,腺上皮可见细小的核仁,染色质均细,导管上皮普通型增生。有包膜为盲管状腺瘤,则为腺病。

0
回复

lvgq 离线

帖子:664
粉蓝豆:1
经验:1043
注册时间:2006-09-27
加关注  |  发消息
15 楼    发表于2011-11-20 23:08:00举报|引用
返回顶部 | 快捷回复

肌上皮存在,良性,腺病

0
回复

phybee 离线

帖子:184
粉蓝豆:53
经验:217
注册时间:2010-05-25
加关注  |  发消息
14 楼    发表于2011-11-20 22:44:55举报|引用
返回顶部 | 快捷回复

本例似乎有肌上皮存在,那就可能是良性的,如果有包膜就是腺瘤,管状腺瘤。

0
回复
signature
努力!努力!向前辈学习!

ryb7 离线

帖子:189
粉蓝豆:3
经验:517
注册时间:2009-05-12
加关注  |  发消息
13 楼    发表于2011-11-18 17:53:01举报|引用
返回顶部 | 快捷回复
引用 10 楼 cqzhao 在 2011-11-18 00:48:20 的发言:
引用 7 楼 笃行者 在 2011-11-17 21:15:47 的发言:
本帖最后由 笃行者 于 2011-11-17 21:16:36 编辑

本例似乎有肌上皮存在,那就可能是良性的,如果有包膜就是腺瘤,管状腺瘤。

Agree.

Looks benign


0
回复

tlm1976 离线

帖子:336
粉蓝豆:2208
经验:382
注册时间:2007-04-20
加关注  |  发消息
12 楼    发表于2011-11-18 11:15:01举报|引用
返回顶部 | 快捷回复
引用 10 楼 cqzhao 在 2011-11-18 00:48:20 的发言:
引用 7 楼 笃行者 在 2011-11-17 21:15:47 的发言:
本帖最后由 笃行者 于 2011-11-17 21:16:36 编辑

本例似乎有肌上皮存在,那就可能是良性的,如果有包膜就是腺瘤,管状腺瘤。

Agree.

Looks benign


1

杨柳风
回复
signature
黎明

1394361892 离线

帖子:655
粉蓝豆:12
经验:1275
注册时间:2011-09-04
加关注  |  发消息
11 楼    发表于2011-11-18 08:55:32举报|引用
返回顶部 | 快捷回复

 谢谢各位老师!

0
回复

cqzhao 离线

帖子:5518
粉蓝豆:1071
经验:5755
注册时间:2008-09-29
加关注  |  发消息
10 楼    发表于2011-11-18 00:48:20举报|引用
返回顶部 | 快捷回复
引用 7 楼 笃行者 在 2011-11-17 21:15:47 的发言:
本帖最后由 笃行者 于 2011-11-17 21:16:36 编辑

本例似乎有肌上皮存在,那就可能是良性的,如果有包膜就是腺瘤,管状腺瘤。

Agree.

Looks benign

1

zblzbl20..
回复

李浩东 离线

帖子:88
粉蓝豆:2
经验:464
注册时间:2011-07-21
加关注  |  发消息
9 楼    发表于2011-11-17 21:26:58举报|引用
返回顶部 | 快捷回复

肌上皮可见,导管不规则,细胞有异性,极性还可。有核仁,考虑乳腺腺病,部分腺体呈不典型增生。

0
回复

中华浔 离线

帖子:5
粉蓝豆:1
经验:7
注册时间:2009-12-05
加关注  |  发消息
8 楼    发表于2011-11-17 21:17:08举报|引用
返回顶部 | 快捷回复

考虑乳腺腺病,做肌上皮的标记

 

0
回复
回复:27 阅读:7900
共2页/27条首页上一页12下一页尾页
【免责声明】讨论内容仅作学术交流之用,不作为诊疗依据,由此而引起的法律问题作者及本站不承担任何责任。
快速回复
进入高级回复
您最多可输入10000个汉字,按 "Ctrl" + "Enter" 直接发送
搜索回复/乘电梯 ×
按内容
按会员
乘电梯
合作伙伴
友情链接