共1页/3条首页上一页1下一页尾页
回复:27 阅读:7897
B3803乳腺肿物

1394361892 离线

帖子:655
粉蓝豆:12
经验:1275
注册时间:2011-09-04
加关注  |  发消息
楼主 发表于 2011-11-17 18:31|举报|关注(0)
浏览排序[ 顺序 逆序 楼主 支持 精彩 ]  快捷回复
  • 乳腺肿物图1
    图1
  • 乳腺肿物图2
    图2
  • 乳腺肿物图3
    图3
  • 乳腺肿物图4
    图4
  • 乳腺肿物图5
    图5
  • 乳腺肿物图6
    图6
  • 乳腺肿物图7
    图7
  • 乳腺肿物图8
    图8
  • 乳腺肿物图9
    图9
  • 乳腺肿物图10
    图10
  • 乳腺肿物图11
    图11
  • 乳腺肿物图12
    图12
  • 乳腺肿物图13
    图13
  • 乳腺肿物图14
    图14
  • 乳腺肿物图15
    图15
  • 乳腺肿物图16
    图16
  • 乳腺肿物图17
    图17
  • 乳腺肿物图18
    图18
  • 乳腺肿物图19
    图19
  • 乳腺肿物图20
    图20
  • 乳腺肿物图21
    图21
  • 乳腺肿物图22
    图22
  • 乳腺肿物图23
    图23
  • 乳腺肿物图24
    图24
  • 乳腺肿物图25
    图25
  • 乳腺肿物图26
    图26
  • 乳腺肿物图27
    图27
  • 乳腺肿物图28
    图28
  • 乳腺肿物图29
    图29
  • 乳腺肿物图30
    图30
  • 乳腺肿物图31
    图31
  • 乳腺肿物图32
    图32

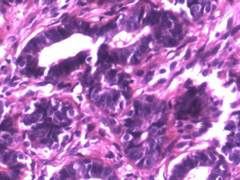
 患者,女,29岁,右侧乳腺肿物一个月。切面淡黄,均匀一致,质中。

标签:乳腺管状腺瘤
本帖最后由 1394361892 于 2011-11-17 18:35:01 编辑
0
添加参考诊断
×参考诊断
  

1394361892 离线

帖子:655
粉蓝豆:12
经验:1275
注册时间:2011-09-04
加关注  |  发消息
24 楼    发表于2011-11-29 20:18:12举报|引用
返回顶部 | 快捷回复

最后做免疫组化、会诊、诊断:“纤维腺瘤,伴纤维腺病。”。谢谢各位老师!

0
回复

1394361892 离线

帖子:655
粉蓝豆:12
经验:1275
注册时间:2011-09-04
加关注  |  发消息
11 楼    发表于2011-11-18 08:55:32举报|引用
返回顶部 | 快捷回复

 谢谢各位老师!

0
回复

1394361892 离线

帖子:655
粉蓝豆:12
经验:1275
注册时间:2011-09-04
加关注  |  发消息
1 楼    发表于2011-11-17 18:39:21举报|引用
返回顶部 | 快捷回复

 请各位老师帮忙看看此片!

0
回复
回复:27 阅读:7897
共1页/3条首页上一页1下一页尾页
【免责声明】讨论内容仅作学术交流之用,不作为诊疗依据,由此而引起的法律问题作者及本站不承担任何责任。
快速回复
进入高级回复
您最多可输入10000个汉字,按 "Ctrl" + "Enter" 直接发送
搜索回复/乘电梯 ×
按内容
按会员
乘电梯
合作伙伴
友情链接