本帖最后由 xclbljys 于 2011-11-08 21:58:17 编辑
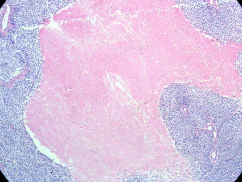
肿瘤性坏死本身是凝固性的一种类型,特点是细胞坏死,但组织轮廓仍存在。其坏死组织是肿瘤成分。
普通的凝固性坏死一般是由血栓栓塞引起的,梗死灶与周围正常组织之间都有炎性充血带。
这是我们科室最近遇到的一例肿瘤,所发生的肿瘤性坏死。

名称:图1
描述:图片1

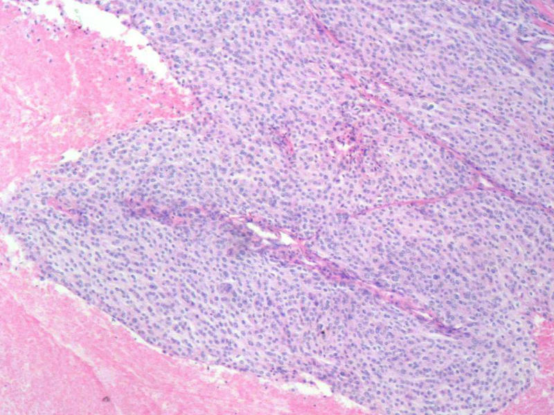
名称:图2
描述:图片2

名称:图2
描述:图片2

名称:图1
描述:脾梗死

名称:图2
描述:肾梗死镜3a
肿瘤性坏死本身是凝固性的一种类型,特点是细胞坏死,但组织轮廓仍存在。其坏死组织是肿瘤成分。
普通的凝固性坏死一般是由血栓栓塞引起的,梗死灶与周围正常组织之间都有炎性充血带。
这是我们科室最近遇到的一例肿瘤,所发生的肿瘤性坏死。

名称:图1
描述:图片1

名称:图2
描述:图片2

名称:图2
描述:图片2

名称:图1
描述:脾梗死

名称:图2
描述:肾梗死镜3a