共1页/8条首页上一页1下一页尾页
回复:8 阅读:9074
什么叫肿瘤性坏死

Tracy 离线

帖子:39
粉蓝豆:8
经验:157
注册时间:2009-07-12
加关注  |  发消息
楼主 发表于 2011-11-08 13:49|举报|关注(0)
浏览排序[ 顺序 逆序 楼主 支持 精彩 ]  快捷回复

 请教一个基础问题,什么叫肿瘤性坏死呢,多谢了!

标签:
0
添加参考诊断
×参考诊断
  

周宝宝 离线

帖子:456
粉蓝豆:262
经验:764
注册时间:2010-09-02
加关注  |  发消息
8 楼    发表于2013-03-19 21:39:15举报|引用
返回顶部 | 快捷回复
引用 2 楼 xclbljys 在 2011-11-08 21:56:49 的发言:

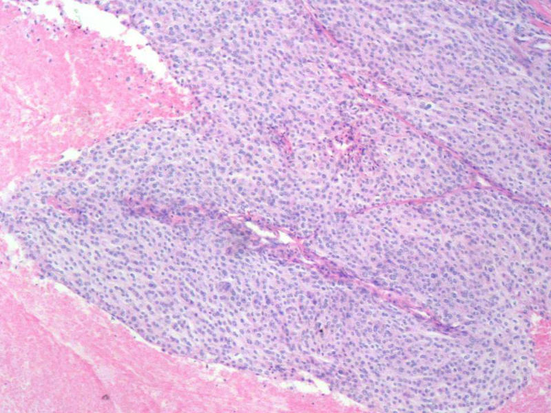
 肿瘤性坏死本身是凝固性的一种类型,特点是细胞坏死,但组织轮廓仍存在。其坏死组织是肿瘤成分。

普通的凝固性坏死一般是由血栓栓塞引起的,梗死灶与周围正常组织之间都有炎性充血带。

这是我们科室最近遇到的一例肿瘤,所发生的肿瘤性坏死。


名称:图1
描述:图片1

名称:图2
描述:图片2


名称:图2
描述:图片2


名称:图1
描述:脾梗死

名称:图2
描述:肾梗死镜3a


0
回复
signature
友直,友谅,友多闻,益矣。 友便僻,友柔善,友便佞,损矣

dadada 离线

帖子:276
粉蓝豆:13
经验:461
注册时间:2007-06-30
加关注  |  发消息
7 楼    发表于2013-03-08 22:24:01举报|引用
返回顶部 | 快捷回复

肿瘤性坏死周边的血管周围有存活的肿瘤细胞,有时也会有炎细胞带,但没有肉芽肿形成的趋势,此外,还要和尸检时组织的自溶相鉴别。

1

lhsongwe..
回复

YT 离线

帖子:2
粉蓝豆:3
经验:49
注册时间:2013-02-25
加关注  |  发消息
6 楼    发表于2013-03-03 23:52:21举报|引用
返回顶部 | 快捷回复

路过,学习

0
回复

青青草 离线

帖子:608
粉蓝豆:1799
经验:734
注册时间:2008-05-01
加关注  |  发消息
5 楼    发表于2013-03-03 21:27:14举报|引用
返回顶部 | 快捷回复

肿瘤性坏死常常可以是单细胞的凝固性坏死。2楼老师讲解的真好!

0
回复
signature
每天进步一点点(2013-5-29)

甜甜 离线

帖子:3184
粉蓝豆:112
经验:3353
注册时间:2012-03-22
加关注  |  发消息
4 楼    发表于2013-03-02 19:08:47举报|引用
返回顶部 | 快捷回复

凝固性坏死

0
回复
signature
我努力,我坚持就会有美好的成果。

Tracy 离线

帖子:39
粉蓝豆:8
经验:157
注册时间:2009-07-12
加关注  |  发消息
3 楼    发表于2013-03-02 18:48:02举报|引用
返回顶部 | 快捷回复

 万分感谢xclbljys老师给予的讲解,没想到会有您如此细致的讲解,对我来说是个惊奇,

0
回复

xclbljys 离线

帖子:5253
粉蓝豆:224
经验:7005
注册时间:2008-11-21
加关注  |  发消息
2 楼    发表于2011-11-08 21:56:49举报|引用
返回顶部 | 快捷回复
本帖最后由 xclbljys 于 2011-11-08 21:58:17 编辑

 肿瘤性坏死本身是凝固性的一种类型,特点是细胞坏死,但组织轮廓仍存在。其坏死组织是肿瘤成分。

普通的凝固性坏死一般是由血栓栓塞引起的,梗死灶与周围正常组织之间都有炎性充血带。

这是我们科室最近遇到的一例肿瘤,所发生的肿瘤性坏死。


名称:图1
描述:图片1

名称:图2
描述:图片2


名称:图2
描述:图片2


名称:图1
描述:脾梗死

名称:图2
描述:肾梗死镜3a

0
回复
signature
许春雷

病理020 离线

帖子:1344
粉蓝豆:5580
经验:1814
注册时间:2011-10-02
加关注  |  发消息
1 楼    发表于2011-11-08 14:01:02举报|引用
返回顶部 | 快捷回复

是一种凝固性坏死

1

浪漫主义
回复
signature
邓学田
回复:8 阅读:9074
共1页/8条首页上一页1下一页尾页
【免责声明】讨论内容仅作学术交流之用,不作为诊疗依据,由此而引起的法律问题作者及本站不承担任何责任。
快速回复
进入高级回复
您最多可输入10000个汉字,按 "Ctrl" + "Enter" 直接发送
搜索回复/乘电梯 ×
按内容
按会员
乘电梯
合作伙伴
友情链接