共1页/8条首页上一页1下一页尾页
回复:8 阅读:3634
多发皮下结节

yy369yy 离线

帖子:321
粉蓝豆:27
经验:1131
注册时间:2009-12-18
加关注  |  发消息
楼主 发表于 2011-11-02 21:11|举报|关注(1)
浏览排序[ 顺序 逆序 楼主 支持 精彩 ]  快捷回复

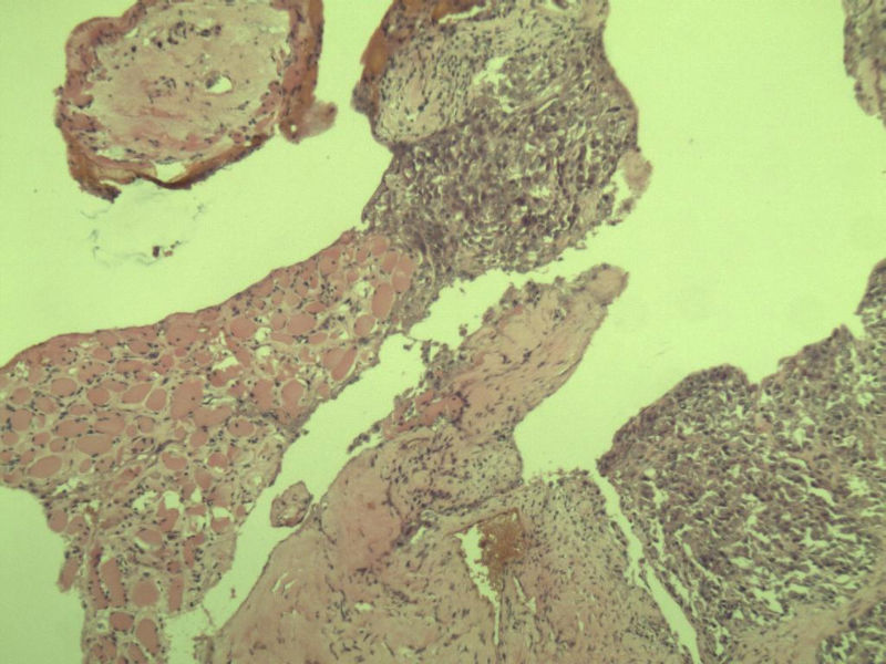
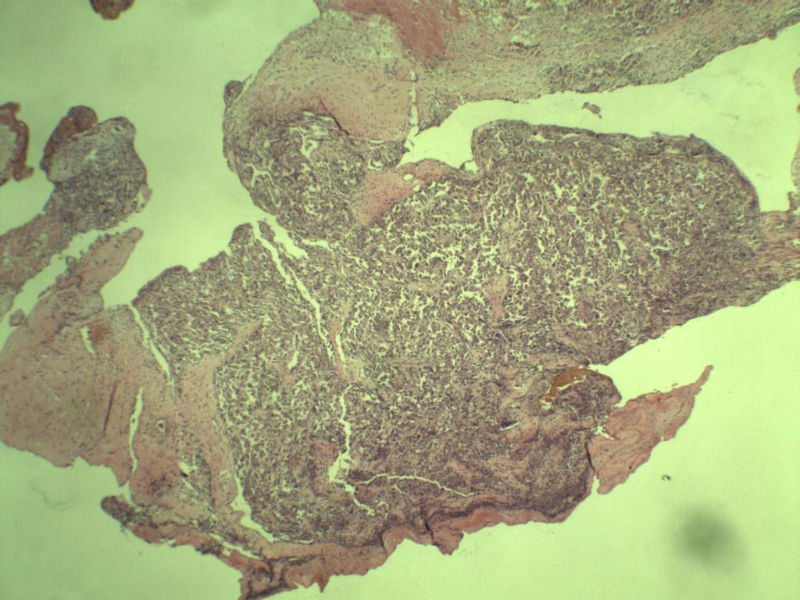
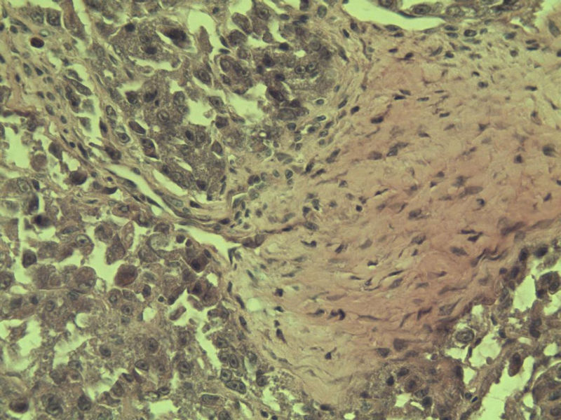
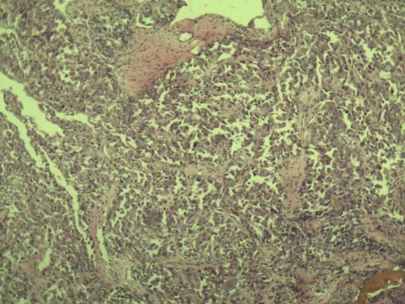
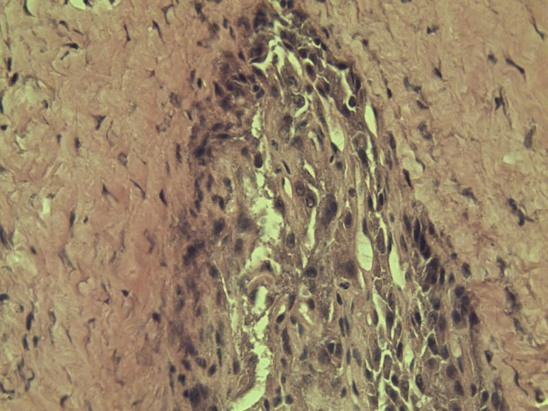
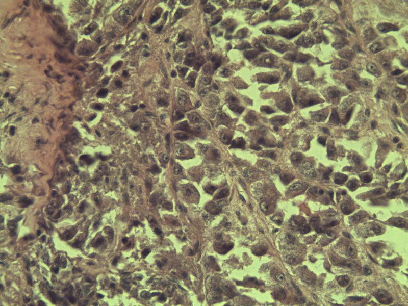
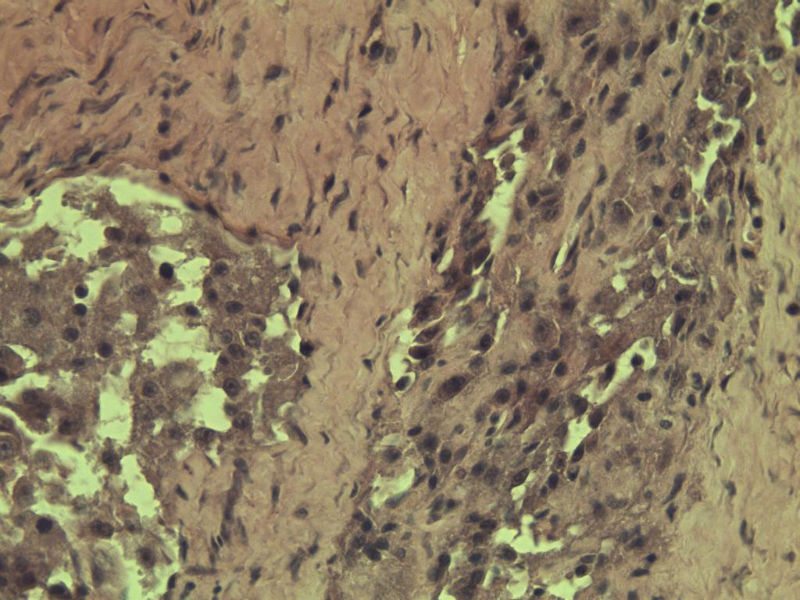
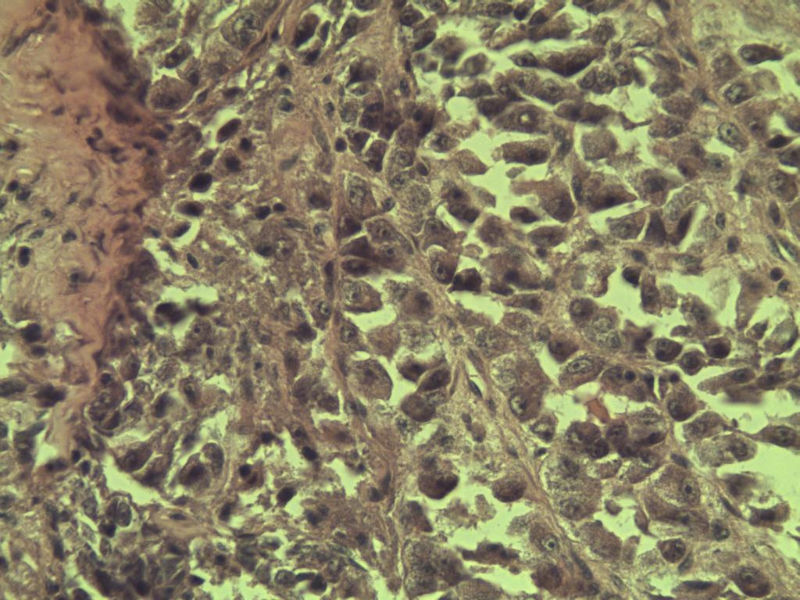
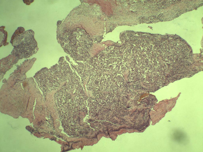
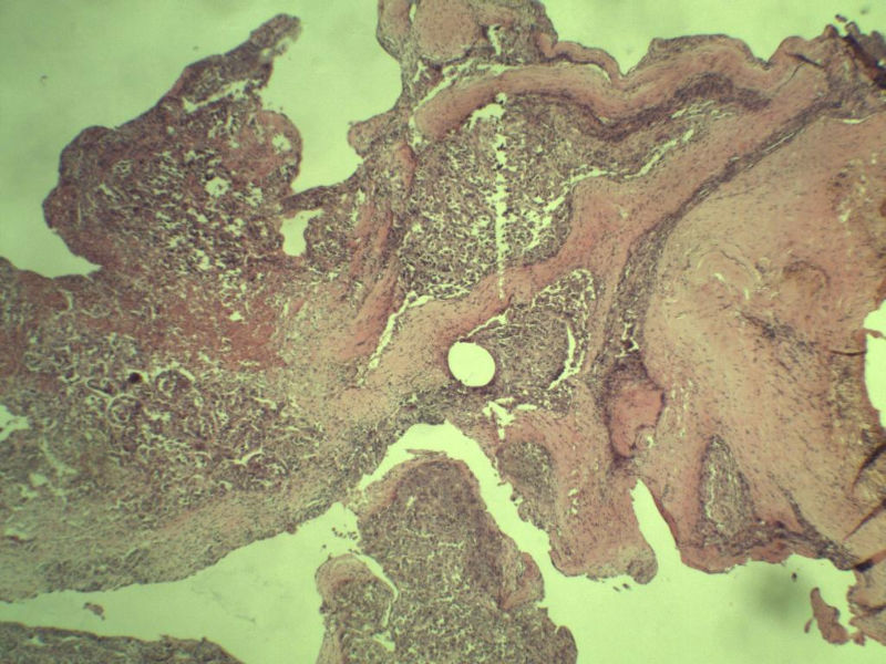
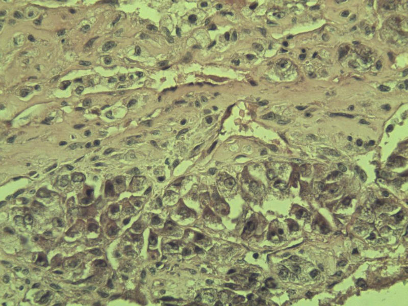
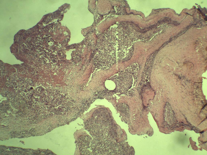
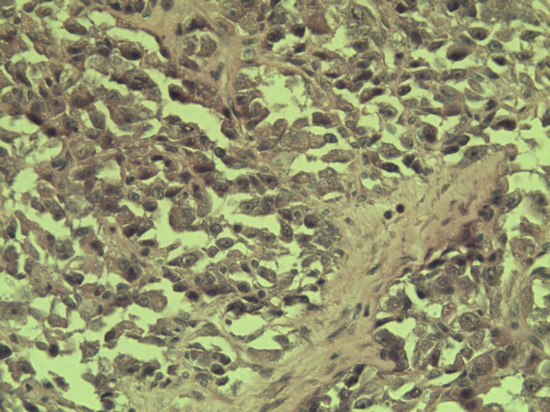
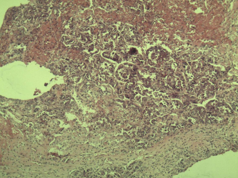
女 70岁 右颈部 头皮 多发皮下结节      取颈部部分结节送检 灰白小组织 1 块,直径 0.4 cm。 请问这个是什么? 

多发皮下结节图1
名称:图1
描述:a243.Jpg.jpg
多发皮下结节图2
名称:图2
描述:a244.Jpg.jpg
多发皮下结节图3
名称:图3
描述:a245.Jpg.jpg
多发皮下结节图4
名称:图4
描述:a246.Jpg.jpg
多发皮下结节图5
名称:图5
描述:a247.Jpg.jpg
多发皮下结节图6
名称:图6
描述:a243.Jpg.jpg
多发皮下结节图7
名称:图7
描述:a253.Jpg.jpg
多发皮下结节图8
名称:图8
描述:a249.Jpg.jpg
多发皮下结节图9
名称:图9
描述:a250.Jpg.jpg
多发皮下结节图10
名称:图10
描述:a251.Jpg.jpg
多发皮下结节图11
名称:图11
描述:a255.Jpg.jpg
多发皮下结节图12
名称:图12
描述:a254.Jpg.jpg
多发皮下结节图13
名称:图13
描述:a244.Jpg.jpg
多发皮下结节图14
名称:图14
描述:a252.Jpg.jpg
多发皮下结节图15
名称:图15
描述:a251.Jpg.jpg
多发皮下结节图16
名称:图16
描述:a253.Jpg.jpg
多发皮下结节图17
名称:图17
描述:a254.Jpg.jpg
多发皮下结节图18
名称:图18
描述:a255.Jpg.jpg
 
标签:
0
添加参考诊断
×参考诊断
  

萨达姆VS卡扎菲 离线

帖子:2
粉蓝豆:1
经验:2
注册时间:2011-11-02
加关注  |  发消息
1 楼    发表于2011-11-02 21:51:36举报|引用
返回顶部 | 快捷回复

melanoma

0
回复

Renghis 离线

帖子:2530
粉蓝豆:92
经验:4081
注册时间:2007-12-13
加关注  |  发消息
2 楼    发表于2011-11-02 22:02:48举报|引用
返回顶部 | 快捷回复

首选 恶性黑色素瘤

0
回复
signature
重归学生时代!

一棵小草 离线

帖子:5101
粉蓝豆:12
经验:7184
注册时间:2008-07-07
加关注  |  发消息
3 楼    发表于2011-11-02 22:12:14举报|引用
返回顶部 | 快捷回复

看不太明白,有想过恶黑,结合临床的话,那就考虑转移性的了?

0
回复

西江月 离线

帖子:151
粉蓝豆:10
经验:259
注册时间:2008-09-18
加关注  |  发消息
4 楼    发表于2011-11-02 22:16:32举报|引用
返回顶部 | 快捷回复

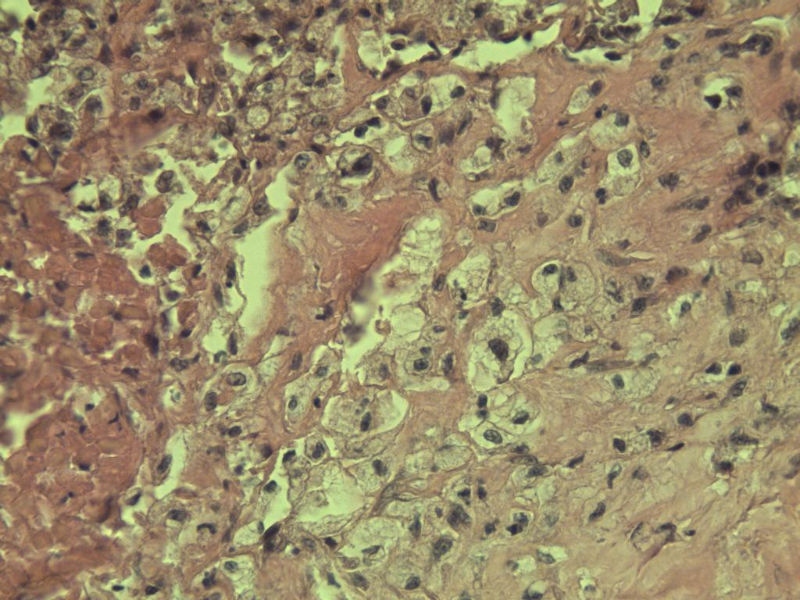
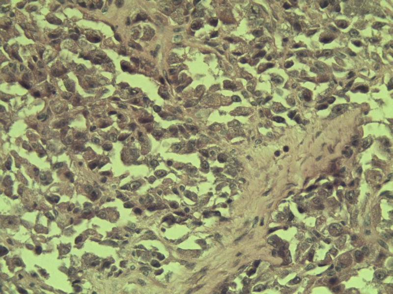
肿瘤细胞大,上皮样,核空泡状,核仁明显,胞质嗜酸性或透明。

考虑:恶性黑色素瘤?

          近心型上皮样肉瘤?

          软组织透明细胞肉瘤?

         上皮样多形性脂肪肉瘤?

         等免疫组化标记!

 

0
回复

杏林散客 离线

帖子:2097
粉蓝豆:87
经验:2406
注册时间:2008-05-18
加关注  |  发消息
5 楼    发表于2011-11-03 22:59:32举报|引用
返回顶部 | 快捷回复

此片染色欠佳,取材或切面也有问题,加大了诊断的难度,恶黑确实需要考虑,但其他一些转移癌也需要排除,比如肺癌之类的,还是期待免疫组化!

1

亡羊补牢
回复
signature
皮毛之事,方寸之间,大千世界!

亡羊补牢 离线

帖子:1304
粉蓝豆:2
经验:2118
注册时间:2010-09-29
加关注  |  发消息
6 楼    发表于2011-11-03 23:08:59举报|引用
返回顶部 | 快捷回复

恶性黑色素瘤,转移癌?

1

id105
回复
signature

一花一世界,一木一浮生

ziranse 离线

帖子:165
粉蓝豆:31
经验:182
注册时间:2010-12-22
加关注  |  发消息
7 楼    发表于2011-11-05 10:37:17举报|引用
返回顶部 | 快捷回复

   恶黑

0
回复

jeffyqi 离线

帖子:107
粉蓝豆:12
经验:125
注册时间:2010-08-11
加关注  |  发消息
8 楼    发表于2011-11-07 20:56:52举报|引用
返回顶部 | 快捷回复

转移癌

0
回复
signature

学海无涯,××是岸!

回复:8 阅读:3634
共1页/8条首页上一页1下一页尾页
【免责声明】讨论内容仅作学术交流之用,不作为诊疗依据,由此而引起的法律问题作者及本站不承担任何责任。
快速回复
进入高级回复
您最多可输入10000个汉字,按 "Ctrl" + "Enter" 直接发送
搜索回复/乘电梯 ×
按内容
按会员
乘电梯
合作伙伴
友情链接