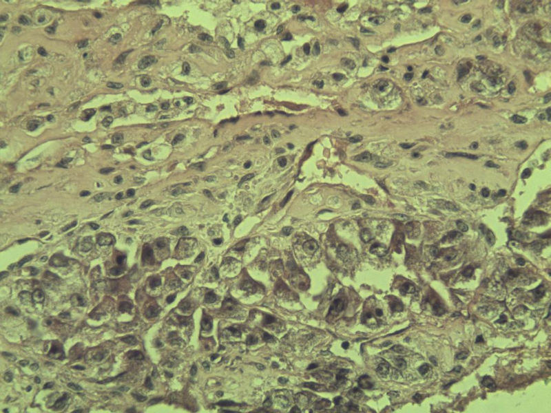
女 70岁 右颈部 头皮 多发皮下结节 取颈部部分结节送检 灰白小组织 1 块,直径 0.4 cm。 请问这个是什么?

名称:图1
描述:a243.Jpg.jpg

名称:图2
描述:a244.Jpg.jpg

名称:图3
描述:a245.Jpg.jpg

名称:图4
描述:a246.Jpg.jpg

名称:图5
描述:a247.Jpg.jpg

名称:图6
描述:a243.Jpg.jpg

名称:图7
描述:a253.Jpg.jpg

名称:图8
描述:a249.Jpg.jpg

名称:图9
描述:a250.Jpg.jpg

名称:图10
描述:a251.Jpg.jpg

名称:图11
描述:a255.Jpg.jpg

名称:图12
描述:a254.Jpg.jpg

名称:图13
描述:a244.Jpg.jpg

名称:图14
描述:a252.Jpg.jpg

名称:图15
描述:a251.Jpg.jpg

名称:图16
描述:a253.Jpg.jpg

名称:图17
描述:a254.Jpg.jpg

名称:图18
描述:a255.Jpg.jpg