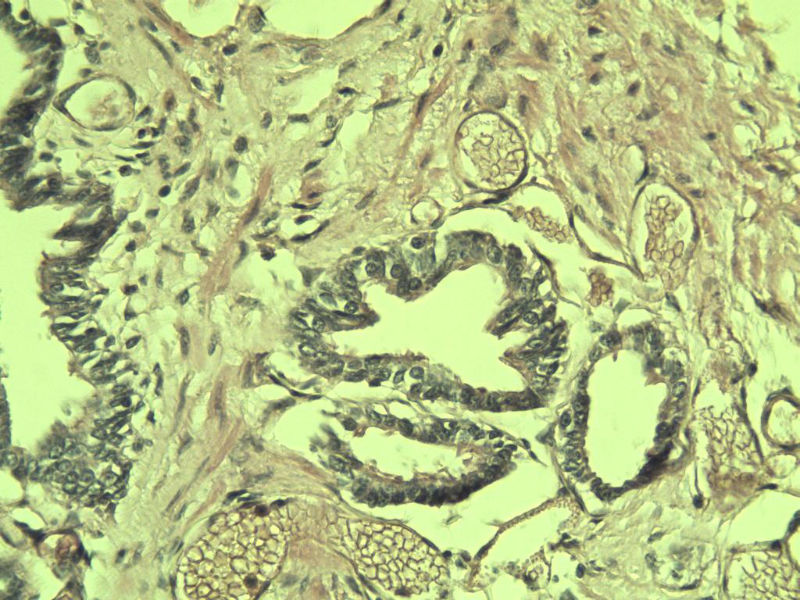
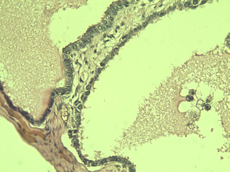
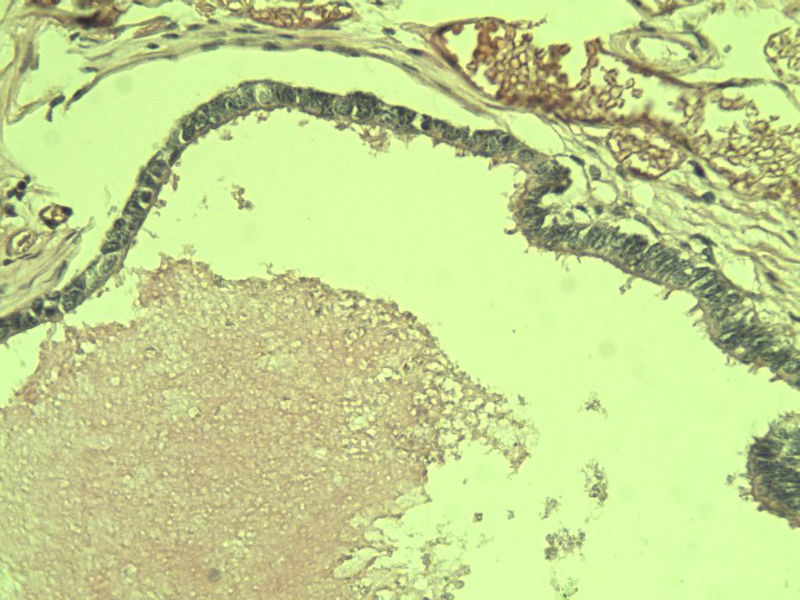
女性患者,42岁 阑尾 大体上看没问题 但是这些东西是什么?? 请指教,谢谢了!

名称:图1
描述:a220.Jpg.jpg

名称:图2
描述:a221.Jpg.jpg

名称:图3
描述:a222.Jpg.jpg

名称:图4
描述:a223.Jpg.jpg

名称:图5
描述:a224.Jpg.jpg

名称:图6
描述:a225.Jpg.jpg

名称:图7
描述:a226.Jpg.jpg

名称:图8
描述:a227.Jpg.jpg

名称:图9
描述:a228.Jpg.jpg

名称:图10
描述:a229.Jpg.jpg