回复:0 阅读:1311
阑尾

yy369yy 离线

帖子:321
粉蓝豆:27
经验:1131
注册时间:2009-12-18
加关注  |  发消息
楼主 发表于 2011-10-28 18:40|举报|关注(2)
浏览排序[ 顺序 逆序 楼主 支持 精彩 ]  快捷回复
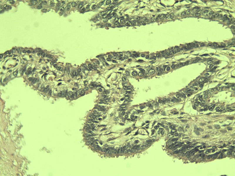
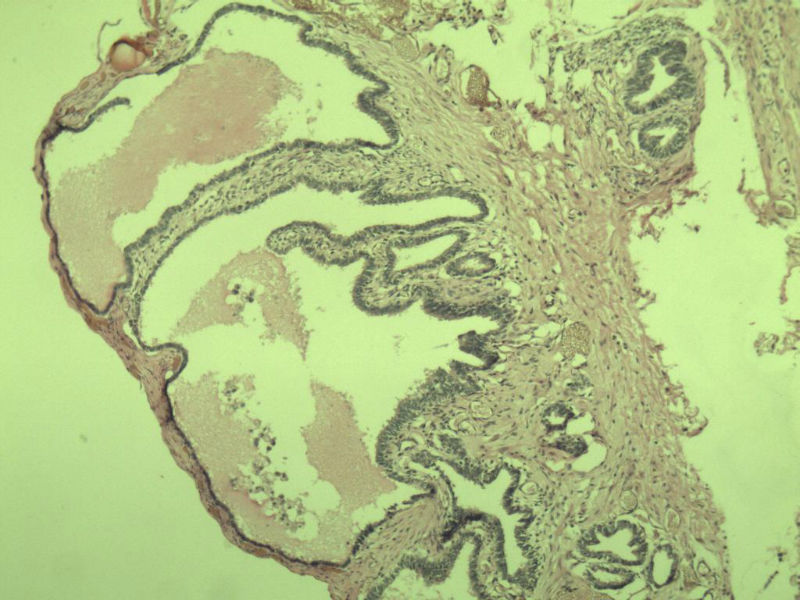
女性患者,42岁 阑尾 大体上看没问题  但是这些东西是什么?? 请指教,谢谢了!阑尾图1名称:图1
描述:a220.Jpg.jpg
阑尾图2
名称:图2
描述:a221.Jpg.jpg
阑尾图3
名称:图3
描述:a222.Jpg.jpg
阑尾图4
名称:图4
描述:a223.Jpg.jpg
阑尾图5
名称:图5
描述:a224.Jpg.jpg
阑尾图6
名称:图6
描述:a225.Jpg.jpg
阑尾图7
名称:图7
描述:a226.Jpg.jpg
阑尾图8
名称:图8
描述:a227.Jpg.jpg
阑尾图9
名称:图9
描述:a228.Jpg.jpg
阑尾图10
名称:图10
描述:a229.Jpg.jpg

 

标签:
0
添加参考诊断
×参考诊断
  
回复:0 阅读:1311
【免责声明】讨论内容仅作学术交流之用,不作为诊疗依据,由此而引起的法律问题作者及本站不承担任何责任。
快速回复
进入高级回复
您最多可输入10000个汉字,按 "Ctrl" + "Enter" 直接发送
搜索回复/乘电梯 ×
按内容
按会员
乘电梯
合作伙伴
友情链接