共1页/19条首页上一页1下一页尾页
回复:19 阅读:7393
卵巢交界性浆液性囊腺瘤?

kdyd 离线

帖子:175
粉蓝豆:1425
经验:411
注册时间:2009-09-26
加关注  |  发消息
楼主 发表于 2011-10-27 13:09|举报|关注(1)
浏览排序[ 顺序 逆序 楼主 支持 精彩 ]  快捷回复

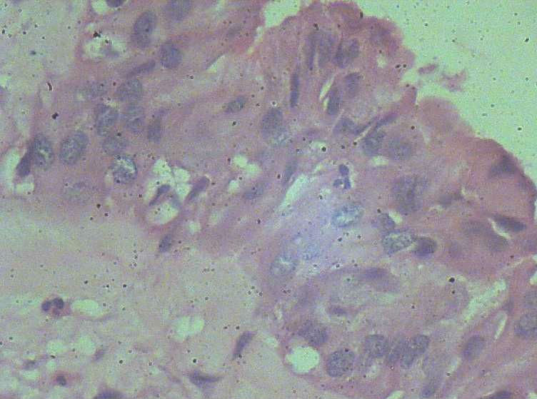
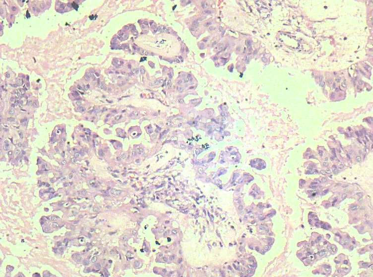
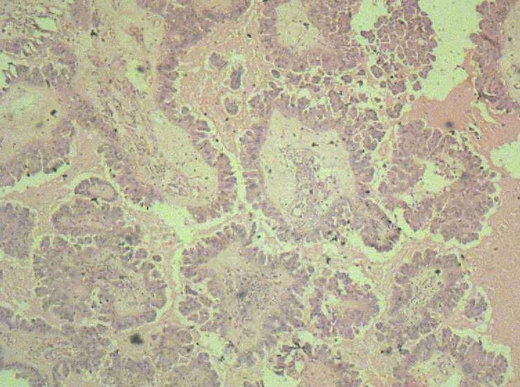
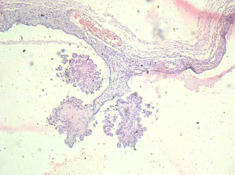
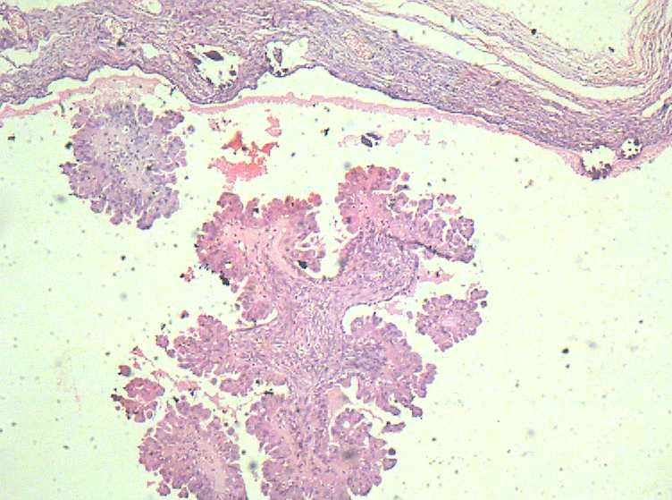
 女,27岁,剖宫产术中见一侧卵巢一肿物。大体:椭圆形肿物大小3*2*1.5表面光滑,剖开内容为浅黄色胶状物,质均,囊内壁较光滑,部分见细小乳结构。

  • 卵巢交界性浆液性囊腺瘤?图1
    图1
  • 卵巢交界性浆液性囊腺瘤?图2
    图2
  • 卵巢交界性浆液性囊腺瘤?图3
    图3
  • 卵巢交界性浆液性囊腺瘤?图4
    图4
  • 卵巢交界性浆液性囊腺瘤?图5
    图5
  • 卵巢交界性浆液性囊腺瘤?图6
    图6
  • 卵巢交界性浆液性囊腺瘤?图7
    图7
  • 卵巢交界性浆液性囊腺瘤?图8
    图8
  • 卵巢交界性浆液性囊腺瘤?图9
    图9
  • 卵巢交界性浆液性囊腺瘤?图10
    图10
  • 卵巢交界性浆液性囊腺瘤?图11
    图11
  • 卵巢交界性浆液性囊腺瘤?图12
    图12
标签:
0
添加参考诊断
×参考诊断
  

病理020 离线

帖子:1344
粉蓝豆:5614
经验:1814
注册时间:2011-10-02
加关注  |  发消息
1 楼    发表于2011-10-27 13:39:05举报|引用
返回顶部 | 快捷回复

交界性浆液性囊腺瘤

0
回复
signature
邓学田

羽珩 离线

帖子:797
粉蓝豆:25
经验:1208
注册时间:2010-11-24
加关注  |  发消息
2 楼    发表于2011-10-27 14:18:02举报|引用
返回顶部 | 快捷回复

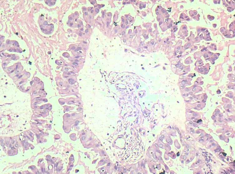
可见增生的上皮,形成乳头或微乳头,见到钉突和出芽式的生长,漂浮的上皮细胞簇,细胞核轻-中度不典型增生。

从所给的图片来看,发交界性浆液性乳头状囊腺瘤,仔细找找是否有微浸润的存在,再排除浸润成为癌的可能性。

0
回复
signature

炎相羽珹

Danrs 离线

帖子:1445
粉蓝豆:176
经验:3050
注册时间:2008-12-09
加关注  |  发消息
3 楼    发表于2011-10-27 14:23:34举报|引用
返回顶部 | 快捷回复

浆液性乳头状瘤是可以确定的。

是否是交界性?图片中乳头分支复杂,细胞确实有异型性。但是不知道在妊娠期,激素水平和平时不同,这时的标准怎么掌握?请高手指教。

2

kdyd

200406
回复

病理 离线

帖子:565
粉蓝豆:1
经验:5228
注册时间:2008-08-07
加关注  |  发消息
4 楼    发表于2011-10-27 16:55:28举报|引用
返回顶部 | 快捷回复

交界性是最低的,还要看看有无更严重的地方,多取材好全面评估。

0
回复

新小兵 离线

帖子:460
粉蓝豆:42
经验:2177
注册时间:2010-12-30
加关注  |  发消息
5 楼    发表于2011-10-27 18:26:18举报|引用
返回顶部 | 快捷回复

交界性浆液性乳头状囊腺瘤

1

fuyong
回复

aihuaxia 离线

帖子:102
粉蓝豆:20
经验:534
注册时间:2007-10-23
加关注  |  发消息
6 楼    发表于2011-10-27 19:05:09举报|引用
返回顶部 | 快捷回复

交界性浆液性乳头状囊腺瘤

1

yujing13..
回复

fyyyblk 离线

帖子:119
粉蓝豆:0
经验:920
注册时间:2010-08-07
加关注  |  发消息
7 楼    发表于2011-10-27 19:07:30举报|引用
返回顶部 | 快捷回复

jiaojie

0
回复

ydsyblgm 离线

帖子:153
粉蓝豆:7
经验:154
注册时间:2011-10-02
加关注  |  发消息
8 楼    发表于2011-10-27 19:55:22举报|引用
返回顶部 | 快捷回复

交界性浆液性乳头状囊腺瘤。瘤细胞的极向有紊乱。图8似有浸润。应考虑灶性癌变。

1

亡羊补牢
回复

wcq321 离线

帖子:667
粉蓝豆:36
经验:1163
注册时间:2008-06-27
加关注  |  发消息
9 楼    发表于2011-10-27 20:02:02举报|引用
返回顶部 | 快捷回复

卵巢交界性浆液性乳头状囊腺瘤,似有微小浸润,不除外癌变

0
回复

syz1959 离线

帖子:222
粉蓝豆:809
经验:734
注册时间:2008-04-29
加关注  |  发消息
10 楼    发表于2011-10-27 20:09:28举报|引用
返回顶部 | 快捷回复

支持3楼的观点

0
回复

kdyd 离线

帖子:175
粉蓝豆:1425
经验:411
注册时间:2009-09-26
加关注  |  发消息
11 楼    发表于2011-10-27 20:15:17举报|引用
返回顶部 | 快捷回复
有乳头的部位 基本都有取到了 。看来报个交界性不是问题了。谢谢各位老师的意见!

0
回复

Liu_Aijun 离线

帖子:1292
粉蓝豆:119
经验:1678
注册时间:2008-04-14
加关注  |  发消息
12 楼    发表于2011-10-27 20:32:45举报|引用
返回顶部 | 快捷回复
引用 3 楼 Danrs 在 2011-10-27 14:23:34 的发言:

浆液性乳头状瘤是可以确定的。

是否是交界性?图片中乳头分支复杂,细胞确实有异型性。但是不知道在妊娠期,激素水平和平时不同,这时的标准怎么掌握?

这是一个非常好的问题,妊娠合并交界性肿瘤是比较少见的,但确实遇到过几例。有限的经验显示:妊娠时确实会对瘤细胞产生影响,使得细胞增殖更旺盛,胞浆也显得丰富,甚至空亮,给人感觉异型性增大了。所以遇到妊娠时的卵巢上皮性肿瘤,应注意不要过诊断。判断细胞异型性要稍稍退一步。

有的文献讲,妊娠时交界瘤更容易出现微浸润。但是妊娠时判断“微浸润”的门槛是否应该提一提,这仍然有待积累病例进一步观察。曾经遇到过一例妊娠时交界性肿瘤,细胞生长非常旺盛,局部疑有微浸润。一年后,复发性肿瘤显示良性的浆液性囊腺瘤,连交界都够不上。

对待妊娠合并卵巢交界瘤,希望大家多来分享一下各自的经验。

5

kdyd

wfbjwt

闪闪红星

200406

麦田守望..
回复
signature
If you have great talents, industry will improve them; if you have but moderate abilities, industry will supply their deficiency. 如果你很有天赋,勤勉会使其更加完美;如果你能力一般,勤勉会补足其缺陷。

kdyd 离线

帖子:175
粉蓝豆:1425
经验:411
注册时间:2009-09-26
加关注  |  发消息
13 楼    发表于2011-10-27 20:55:18举报|引用
返回顶部 | 快捷回复

那这例还真不好下诊断了 组织学已到了交界 但又不得不考虑妊娠的因素。这样的标准究竟是什么?本人感觉是个良性的 但组织学又到了交界 真不知道如何下诊断 要不下个 病变符合交界性?

0
回复

防港一员 离线

帖子:410
粉蓝豆:30
经验:1041
注册时间:2010-08-13
加关注  |  发消息
14 楼    发表于2011-10-27 21:22:35举报|引用
返回顶部 | 快捷回复

 卵巢交界性浆液性乳头状囊腺瘤,建议随访,复发几率大

0
回复
signature
有志者事竟成

id105 离线

帖子:57
粉蓝豆:5
经验:183
注册时间:2008-11-02
加关注  |  发消息
15 楼    发表于2011-10-27 21:29:10举报|引用
返回顶部 | 快捷回复

交界性浆液性乳头状囊腺瘤

0
回复

亡羊补牢 离线

帖子:1304
粉蓝豆:2
经验:2118
注册时间:2010-09-29
加关注  |  发消息
16 楼    发表于2011-10-27 21:36:49举报|引用
返回顶部 | 快捷回复
引用 8 楼 ydsyblgm 在 2011-10-27 19:55:22 的发言:

交界性浆液性乳头状囊腺瘤。瘤细胞的极向有紊乱。图8似有浸润。应考虑灶性癌变。


 

0
回复
signature

一花一世界,一木一浮生

闪闪红星 离线

帖子:18
粉蓝豆:1
经验:87
注册时间:2011-07-29
加关注  |  发消息
17 楼    发表于2011-10-27 21:38:04举报|引用
返回顶部 | 快捷回复

交界性浆液性乳头状囊腺瘤

0
回复

蝴蝶兰dali2003 离线

帖子:12529
粉蓝豆:2448
经验:13098
注册时间:2009-09-06
加关注  |  发消息
18 楼    发表于2011-10-27 21:48:22举报|引用
返回顶部 | 快捷回复

曾看到过一个课件,说交界性成分在整个肿瘤中所占的比例要超过10%,不到10%的话仍视为良性。

0
回复
signature
相逢是首歌,同行是你和我。

binghongcha 离线

帖子:311
粉蓝豆:452
经验:334
注册时间:2011-08-02
加关注  |  发消息
19 楼    发表于2011-10-27 22:52:37举报|引用
返回顶部 | 快捷回复

交界性浆液性乳头状瘤,多取材除外浸润

0
回复
回复:19 阅读:7393
共1页/19条首页上一页1下一页尾页
【免责声明】讨论内容仅作学术交流之用,不作为诊疗依据,由此而引起的法律问题作者及本站不承担任何责任。
快速回复
进入高级回复
您最多可输入10000个汉字,按 "Ctrl" + "Enter" 直接发送
搜索回复/乘电梯 ×
按内容
按会员
乘电梯
合作伙伴
友情链接