共1页/2条首页上一页1下一页尾页
回复:19 阅读:7391
卵巢交界性浆液性囊腺瘤?

kdyd 离线

帖子:175
粉蓝豆:1425
经验:411
注册时间:2009-09-26
加关注  |  发消息
楼主 发表于 2011-10-27 13:09|举报|关注(1)
浏览排序[ 顺序 逆序 楼主 支持 精彩 ]  快捷回复

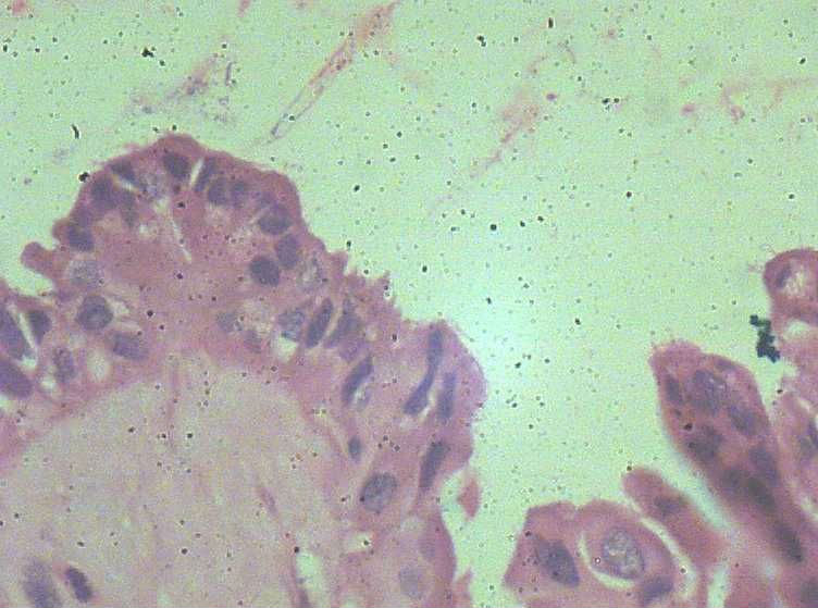
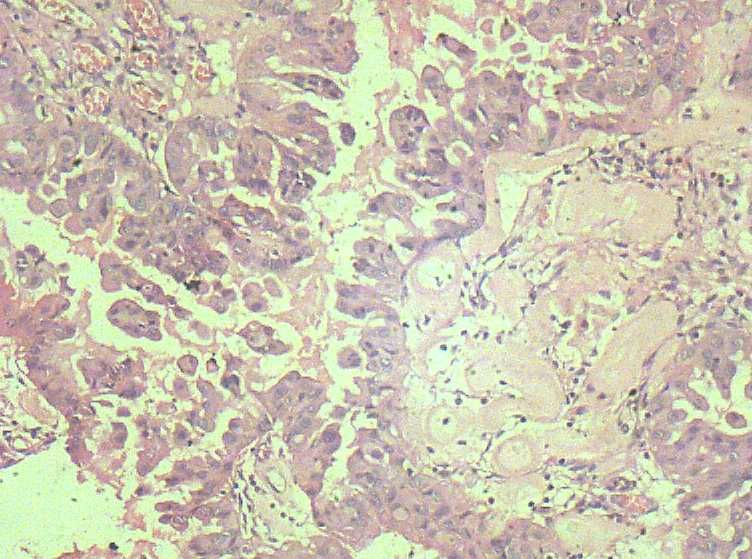
 女,27岁,剖宫产术中见一侧卵巢一肿物。大体:椭圆形肿物大小3*2*1.5表面光滑,剖开内容为浅黄色胶状物,质均,囊内壁较光滑,部分见细小乳结构。

  • 卵巢交界性浆液性囊腺瘤?图1
    图1
  • 卵巢交界性浆液性囊腺瘤?图2
    图2
  • 卵巢交界性浆液性囊腺瘤?图3
    图3
  • 卵巢交界性浆液性囊腺瘤?图4
    图4
  • 卵巢交界性浆液性囊腺瘤?图5
    图5
  • 卵巢交界性浆液性囊腺瘤?图6
    图6
  • 卵巢交界性浆液性囊腺瘤?图7
    图7
  • 卵巢交界性浆液性囊腺瘤?图8
    图8
  • 卵巢交界性浆液性囊腺瘤?图9
    图9
  • 卵巢交界性浆液性囊腺瘤?图10
    图10
  • 卵巢交界性浆液性囊腺瘤?图11
    图11
  • 卵巢交界性浆液性囊腺瘤?图12
    图12
标签:
0
添加参考诊断
×参考诊断
  

kdyd 离线

帖子:175
粉蓝豆:1425
经验:411
注册时间:2009-09-26
加关注  |  发消息
13 楼    发表于2011-10-27 20:55:18举报|引用
返回顶部 | 快捷回复

那这例还真不好下诊断了 组织学已到了交界 但又不得不考虑妊娠的因素。这样的标准究竟是什么?本人感觉是个良性的 但组织学又到了交界 真不知道如何下诊断 要不下个 病变符合交界性?

0
回复

kdyd 离线

帖子:175
粉蓝豆:1425
经验:411
注册时间:2009-09-26
加关注  |  发消息
11 楼    发表于2011-10-27 20:15:17举报|引用
返回顶部 | 快捷回复
有乳头的部位 基本都有取到了 。看来报个交界性不是问题了。谢谢各位老师的意见!

0
回复
回复:19 阅读:7391
共1页/2条首页上一页1下一页尾页
【免责声明】讨论内容仅作学术交流之用,不作为诊疗依据,由此而引起的法律问题作者及本站不承担任何责任。
快速回复
进入高级回复
您最多可输入10000个汉字,按 "Ctrl" + "Enter" 直接发送
搜索回复/乘电梯 ×
按内容
按会员
乘电梯
合作伙伴
友情链接