共1页/8条首页上一页1下一页尾页
回复:8 阅读:3885
急!!!!要不要切子宫啊 !再传几张图片!

huhuu 离线

帖子:193
粉蓝豆:41
经验:1459
注册时间:2011-08-25
加关注  |  发消息
楼主 发表于 2011-09-29 11:21|举报|关注(0)
浏览排序[ 顺序 逆序 楼主 支持 精彩 ]  快捷回复
  • 急!!!!要不要切子宫啊 !再传几张图片!图1
    图1
  • 急!!!!要不要切子宫啊 !再传几张图片!图2
    图2
  • 急!!!!要不要切子宫啊 !再传几张图片!图3
    图3
  • 急!!!!要不要切子宫啊 !再传几张图片!图4
    图4
  • 急!!!!要不要切子宫啊 !再传几张图片!图5
    图5
  • 急!!!!要不要切子宫啊 !再传几张图片!图6
    图6
  • 急!!!!要不要切子宫啊 !再传几张图片!图7
    图7
  • 急!!!!要不要切子宫啊 !再传几张图片!图8
    图8
  • 急!!!!要不要切子宫啊 !再传几张图片!图9
    图9
  • 急!!!!要不要切子宫啊 !再传几张图片!图10
    图10
  • 急!!!!要不要切子宫啊 !再传几张图片!图11
    图11
  • 急!!!!要不要切子宫啊 !再传几张图片!图12
    图12

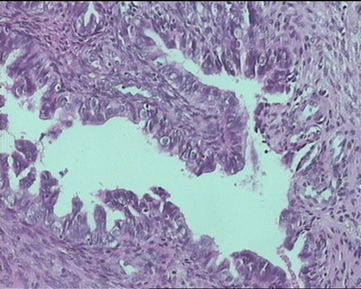
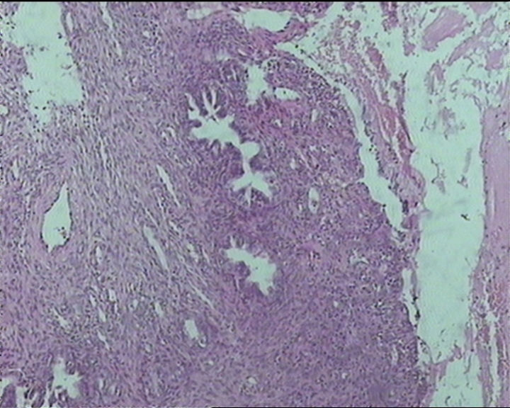
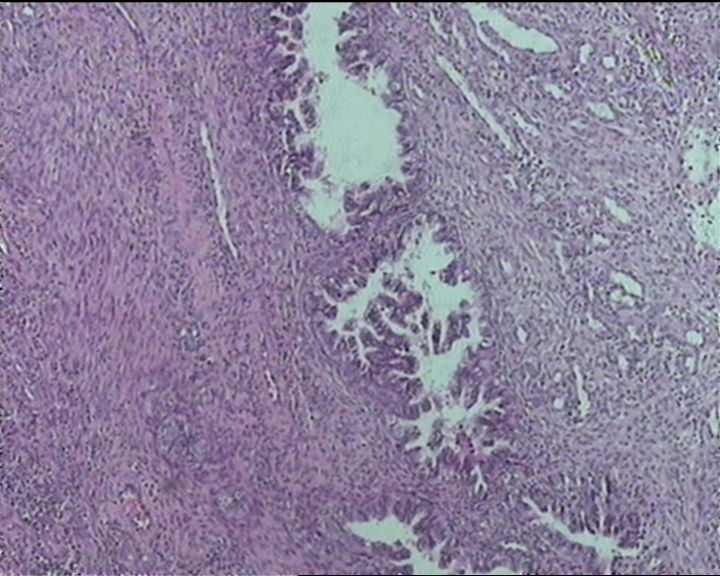
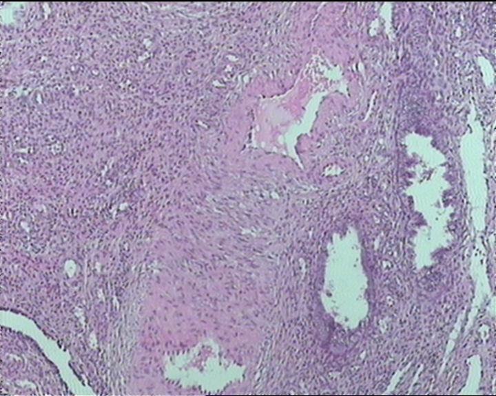
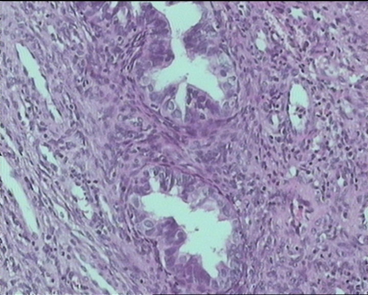
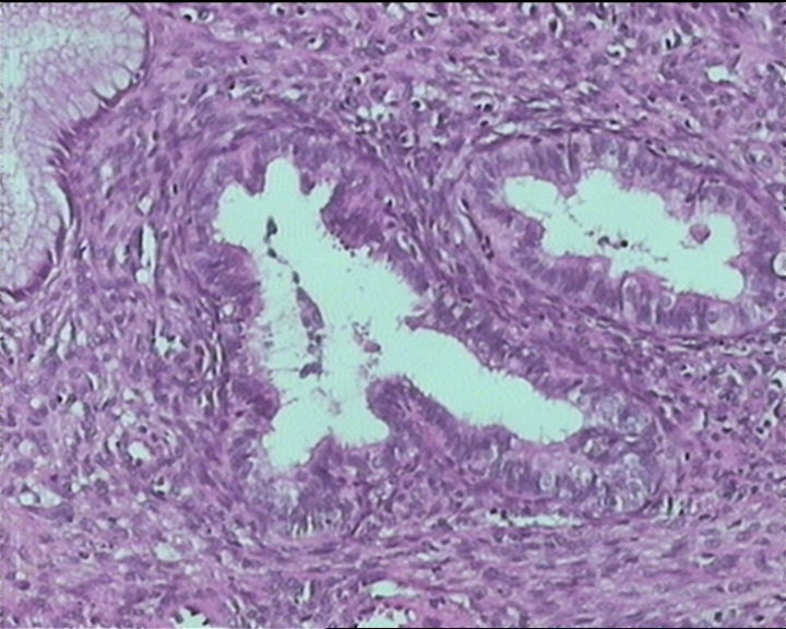
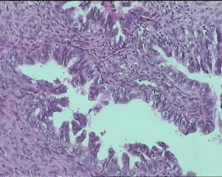
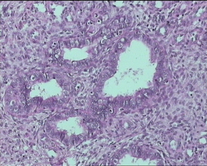
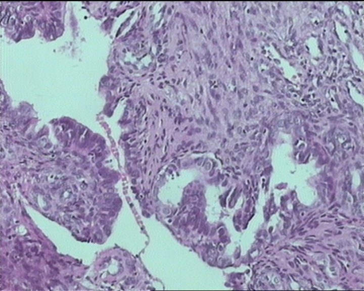
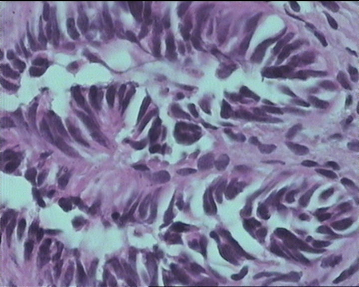
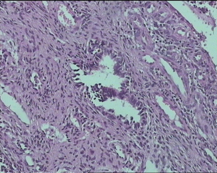
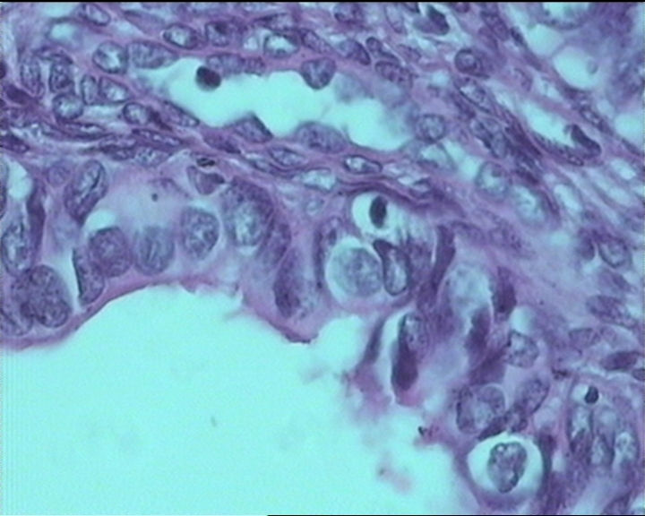
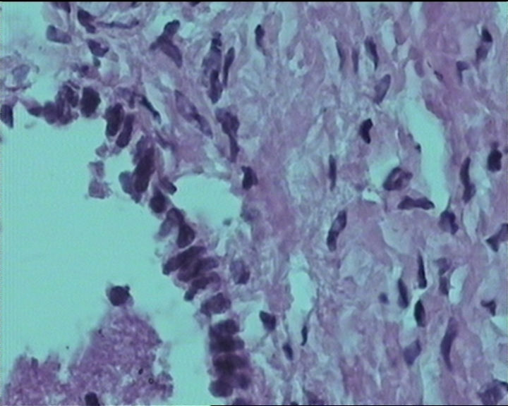
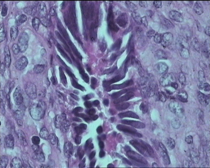
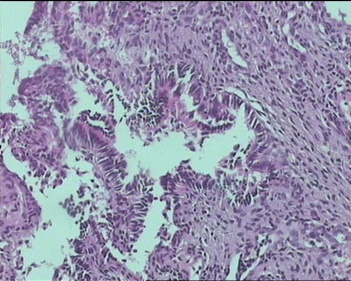
 54岁女性,临床“宫颈息肉”送检;巨检:组织一块1。5*1CM,灰红。

  • 急!!!!要不要切子宫啊 !再传几张图片!图13
    图1
  • 急!!!!要不要切子宫啊 !再传几张图片!图14
    图2
  • 急!!!!要不要切子宫啊 !再传几张图片!图15
    图3
  • 急!!!!要不要切子宫啊 !再传几张图片!图16
    图4
  • 急!!!!要不要切子宫啊 !再传几张图片!图17
    图5
  • 急!!!!要不要切子宫啊 !再传几张图片!图18
    图6
  • 急!!!!要不要切子宫啊 !再传几张图片!图19
    图7
  • 急!!!!要不要切子宫啊 !再传几张图片!图20
    图8
  • 急!!!!要不要切子宫啊 !再传几张图片!图21
    图9
  • 急!!!!要不要切子宫啊 !再传几张图片!图22
    图10
  • 急!!!!要不要切子宫啊 !再传几张图片!图23
    图11
  • 急!!!!要不要切子宫啊 !再传几张图片!图24
    图12
  • 急!!!!要不要切子宫啊 !再传几张图片!图25
    图13
  • 急!!!!要不要切子宫啊 !再传几张图片!图26
    图14
  • 急!!!!要不要切子宫啊 !再传几张图片!图27
    图15
  • 急!!!!要不要切子宫啊 !再传几张图片!图28
    图16
  • 急!!!!要不要切子宫啊 !再传几张图片!图29
    图17
  • 急!!!!要不要切子宫啊 !再传几张图片!图30
    图18
  • 急!!!!要不要切子宫啊 !再传几张图片!图31
    图19
  • 急!!!!要不要切子宫啊 !再传几张图片!图32
    图20
  • 急!!!!要不要切子宫啊 !再传几张图片!图33
    图21
  • 急!!!!要不要切子宫啊 !再传几张图片!图34
    图22
  • 急!!!!要不要切子宫啊 !再传几张图片!图35
    图23
  • 急!!!!要不要切子宫啊 !再传几张图片!图36
    图24
  • 急!!!!要不要切子宫啊 !再传几张图片!图37
    图25
  • 急!!!!要不要切子宫啊 !再传几张图片!图38
    图26
标签:
本帖最后由 huhuu 于 2011-09-30 08:42:47 编辑
0
添加参考诊断
×参考诊断
  

zhouquan 离线

帖子:7752
粉蓝豆:302
经验:8263
注册时间:2008-11-09
加关注  |  发消息
2 楼    发表于2011-09-29 17:26:32举报|引用
返回顶部 | 快捷回复

输卵管粘膜化生

1

listli19..
回复
signature
成功不是得到多少东西,而是把身上多余的东西的扔掉多少。   

无忧草 离线

帖子:3
粉蓝豆:1
经验:5
注册时间:2011-09-15
加关注  |  发消息
5 楼    发表于2011-09-30 09:33:50举报|引用
返回顶部 | 快捷回复
引用 3 楼 杨斌 在 2011-09-30 04:44:53 的发言:

 It is benign. Benign endocervical polyp with tubal metaplasia.


赞同

0
回复

不会游泳 离线

帖子:19
粉蓝豆:2
经验:88
注册时间:2009-11-26
加关注  |  发消息
1 楼    发表于2011-09-29 15:33:14举报|引用
返回顶部 | 快捷回复

细胞及腺体均有异形,图6、11、16象有纤维间质反应,考虑高级别上皮内瘤变/原位癌,腺癌不能除外。

0
回复

珠江人家 离线

帖子:356
粉蓝豆:1856
经验:887
注册时间:2008-03-19
加关注  |  发消息
8 楼    发表于2011-10-03 21:58:31举报|引用
返回顶部 | 快捷回复

Sternberg病理学上诊断宫颈原位腺癌的标准是腺体的上皮去粘液分化,呈乳头状或筛网状增生,核分裂易见,这例显然达不到此标准。此例还是归入到腺上皮不典型增生为好。

0
回复

杨斌 离线

帖子:370
粉蓝豆:6
经验:423
注册时间:2007-06-22
加关注  |  发消息
6 楼    发表于2011-09-30 21:38:57举报|引用
返回顶部 | 快捷回复

 Thanks for providing more photos from this case. If you are really concerning this case for dysplasia which is in the differential diagnosis, please perform a p16 immunohistochemistry to have a peaceful mind. 

0
回复
signature
不坠青云之志,长怀赤子之心

白桦林 离线

帖子:523
粉蓝豆:414
经验:1411
注册时间:2007-06-21
加关注  |  发消息
7 楼    发表于2011-09-30 21:52:51举报|引用
返回顶部 | 快捷回复

良性病变

0
回复

杨斌 离线

帖子:370
粉蓝豆:6
经验:423
注册时间:2007-06-22
加关注  |  发消息
3 楼    发表于2011-09-30 04:44:53举报|引用
返回顶部 | 快捷回复

 It is benign. Benign endocervical polyp with tubal metaplasia.

0
回复
signature
不坠青云之志,长怀赤子之心

zhouquan 离线

帖子:7752
粉蓝豆:302
经验:8263
注册时间:2008-11-09
加关注  |  发消息
4 楼    发表于2011-09-30 06:33:12举报|引用
返回顶部 | 快捷回复
引用 3 楼 杨斌 在 2011-09-30 04:44:53 的发言:

 It is benign. Benign endocervical polyp with tubal metaplasia.


杨老师说它是良性的,是个颈管内膜息肉伴输卵管上皮化生,良性

0
回复
signature
成功不是得到多少东西,而是把身上多余的东西的扔掉多少。   
回复:8 阅读:3885
共1页/8条首页上一页1下一页尾页
【免责声明】讨论内容仅作学术交流之用,不作为诊疗依据,由此而引起的法律问题作者及本站不承担任何责任。
快速回复
进入高级回复
您最多可输入10000个汉字,按 "Ctrl" + "Enter" 直接发送
搜索回复/乘电梯 ×
按内容
按会员
乘电梯
合作伙伴
友情链接