回复:8 阅读:3881
急!!!!要不要切子宫啊 !再传几张图片!

huhuu 离线

帖子:193
粉蓝豆:41
经验:1459
注册时间:2011-08-25
加关注  |  发消息
楼主 发表于 2011-09-29 11:21|举报|关注(0)
浏览排序[ 顺序 逆序 楼主 支持 精彩 ]  快捷回复
  • 急!!!!要不要切子宫啊 !再传几张图片!图1
    图1
  • 急!!!!要不要切子宫啊 !再传几张图片!图2
    图2
  • 急!!!!要不要切子宫啊 !再传几张图片!图3
    图3
  • 急!!!!要不要切子宫啊 !再传几张图片!图4
    图4
  • 急!!!!要不要切子宫啊 !再传几张图片!图5
    图5
  • 急!!!!要不要切子宫啊 !再传几张图片!图6
    图6
  • 急!!!!要不要切子宫啊 !再传几张图片!图7
    图7
  • 急!!!!要不要切子宫啊 !再传几张图片!图8
    图8
  • 急!!!!要不要切子宫啊 !再传几张图片!图9
    图9
  • 急!!!!要不要切子宫啊 !再传几张图片!图10
    图10
  • 急!!!!要不要切子宫啊 !再传几张图片!图11
    图11
  • 急!!!!要不要切子宫啊 !再传几张图片!图12
    图12

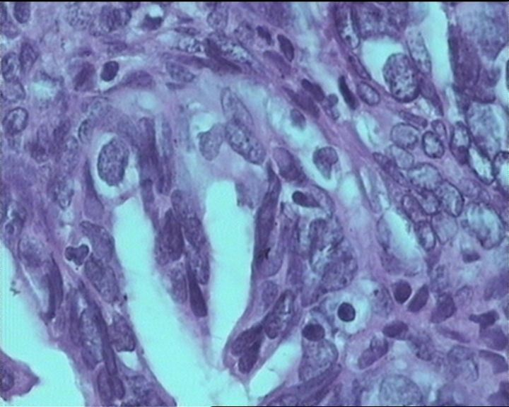
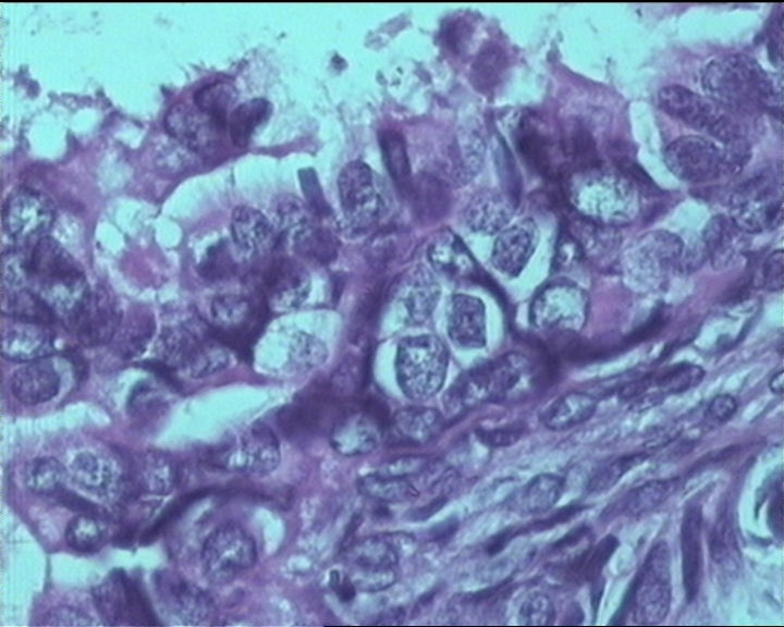
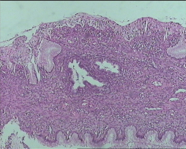
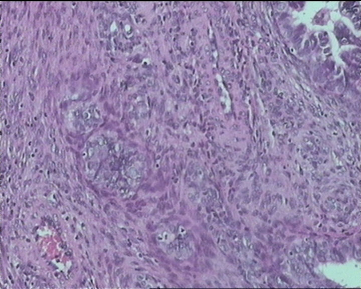
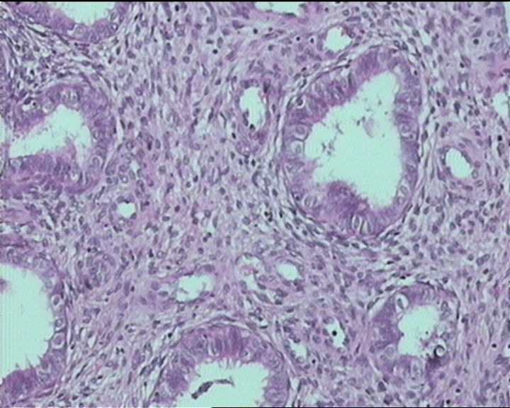
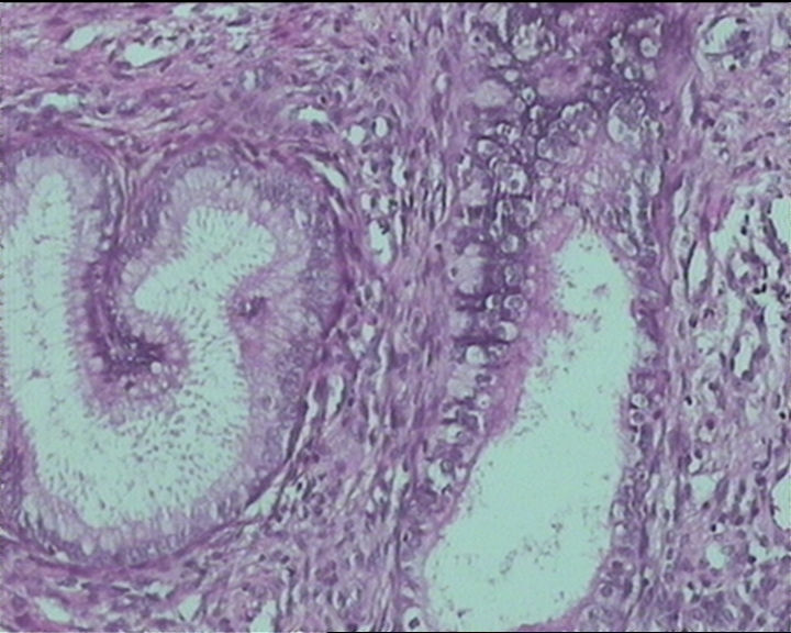
 54岁女性,临床“宫颈息肉”送检;巨检:组织一块1。5*1CM,灰红。

  • 急!!!!要不要切子宫啊 !再传几张图片!图13
    图1
  • 急!!!!要不要切子宫啊 !再传几张图片!图14
    图2
  • 急!!!!要不要切子宫啊 !再传几张图片!图15
    图3
  • 急!!!!要不要切子宫啊 !再传几张图片!图16
    图4
  • 急!!!!要不要切子宫啊 !再传几张图片!图17
    图5
  • 急!!!!要不要切子宫啊 !再传几张图片!图18
    图6
  • 急!!!!要不要切子宫啊 !再传几张图片!图19
    图7
  • 急!!!!要不要切子宫啊 !再传几张图片!图20
    图8
  • 急!!!!要不要切子宫啊 !再传几张图片!图21
    图9
  • 急!!!!要不要切子宫啊 !再传几张图片!图22
    图10
  • 急!!!!要不要切子宫啊 !再传几张图片!图23
    图11
  • 急!!!!要不要切子宫啊 !再传几张图片!图24
    图12
  • 急!!!!要不要切子宫啊 !再传几张图片!图25
    图13
  • 急!!!!要不要切子宫啊 !再传几张图片!图26
    图14
  • 急!!!!要不要切子宫啊 !再传几张图片!图27
    图15
  • 急!!!!要不要切子宫啊 !再传几张图片!图28
    图16
  • 急!!!!要不要切子宫啊 !再传几张图片!图29
    图17
  • 急!!!!要不要切子宫啊 !再传几张图片!图30
    图18
  • 急!!!!要不要切子宫啊 !再传几张图片!图31
    图19
  • 急!!!!要不要切子宫啊 !再传几张图片!图32
    图20
  • 急!!!!要不要切子宫啊 !再传几张图片!图33
    图21
  • 急!!!!要不要切子宫啊 !再传几张图片!图34
    图22
  • 急!!!!要不要切子宫啊 !再传几张图片!图35
    图23
  • 急!!!!要不要切子宫啊 !再传几张图片!图36
    图24
  • 急!!!!要不要切子宫啊 !再传几张图片!图37
    图25
  • 急!!!!要不要切子宫啊 !再传几张图片!图38
    图26
标签:
本帖最后由 huhuu 于 2011-09-30 08:42:47 编辑
0
添加参考诊断
×参考诊断
  
回复:8 阅读:3881
【免责声明】讨论内容仅作学术交流之用,不作为诊疗依据,由此而引起的法律问题作者及本站不承担任何责任。
快速回复
进入高级回复
您最多可输入10000个汉字,按 "Ctrl" + "Enter" 直接发送
搜索回复/乘电梯 ×
按内容
按会员
乘电梯
合作伙伴
友情链接